AOTRAUMA.ORG Центр Илизарова  

Ортопедия и травматология Общие вопросы/General questions Help Информационные технологии в медицине
 вверх
 отправить
 поиск
 админ
 главная


Повреждение пальцев
Ортопедия и травматология Отправлено Артем Дыдыкин 27 Май 2002, 22:43 БСМП г.Ангарск
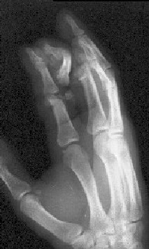
Уважаемые коллеги, в травмотделение БСМП Ангарска поступил пациент с отрывом 3 пальца на уровне проксимального межфалангового сустава (дистальная
часть пальца висит на кожном лоскуте с латеральной стороны пальца шириной 1 см, повреждены сухожилия сгибателей и разгибателей), многооскольчатым переломом головки основной фаланги 2 пальца, рваной раной в проекции сустава, превышающей половину диаметра пальца (сухожилия целы)(снимок 1, снимок 2). Выполнена ПХО ран, МОС спицами трансартикулярно (снимок 3, снимок 4). При обсуждении тактики лечения возникли разногласия между врачом, выполнявшим ПХО, и заведующим. Зав. отделением считает, что выбранная тактика неверна, и необходимо было после проведения ПХО сделать вытяжение типа Черкес-Заде за пальцы. Просим высказать присутствующих свое мнение о выполненной операции и о дальнейшей тактике лечение больного. Заранее спасибо.

<  |  >

 

  • Сообщения о Ортопедия и травматология
  • Также Артем Дыдыкин
  • Связаться с автором
  • Ответить

    Re: Повреждение пальцев
    В.Е.Казённов 29 Май 2002, 16:47
    К сожалению, рентгенограммы не дошли.
    По моему мнению, избранный способ фиксации является правильным.
    Мы не пользуемся вытяжением за пальцы уже давно:
    -- недостаточно стабильная фиксация;
    -- растягиваются связки межфаланговых суставов, что приводит к стойким
    контрактурам;
    -- необходимость ухода за спицами (скобками);
    -- обременительность метода для больных.
    Тактика дальнейшего лечения будет зависеть, естественно, в первую очередь от
    жизнеспособности пальца и от течения раневого процесса.

    В.Е.Казённов,
    Хабаровск
    [ Ответить ]

    Re: Повреждение пальцев
    Товстограй Вадим, г. Днепропетровск, Центр хирургии кисти 30 Май 2002, 03:12
    Судя по данному Вами описанию, я считаю что в данном случае имелись показания к наложению аппарата внешней фиксации (рамочной конструкции - типа Коршунова, Волковой или Илизарова)с созданием умеренной дистракции для использования принципа лигаментотаксиса.При отсутствии конструкций возможно использование ПВХ - трубок, расположенных по латеральным поверхностям пальца с поперечно проведенными спицами (методика предложена в Донецке).
    [ Ответить ]

    Re: Повреждение пальцев
    Тарас Ковалишин 06 Февраль 2009, 16:32
    Неизвестно, было ли выполнено шов сухожилий. При неполном отрыве этого делать не стоит. возможно, следует подождать заживления раны. Вопрос актуальный и на сегодня, поскольку прошло 6 лет. Какова судьба больного в дальнейшем?
    [ Ответить ]


    ( Ответить )

    Powered by Zope  Squishdot Powered MedLink
    Посетитель: 0388343
      "По форме правильно, а по существу - издевательство" В.И.Ленин
    ©2001-2019Orthoforum Coordinator.
    [ Главная | Отправить сообщение | Поиск | Админ ]