AOTRAUMA.ORG Центр Илизарова  

Ортопедия и травматология Общие вопросы/General questions Help Информационные технологии в медицине
 вверх
 отправить
 поиск
 админ
 главная


Застарелый вывих пяточной кости
Ортопедия и травматология Отправлено Глеб Коробушкин 20 Июнь 2002, 20:36
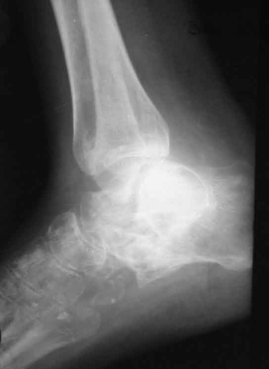
Больная, 41 год, продавец, поступила в плановом порядке. Травма 1 год назад, вышла из двери второго этажа недостроенного дома с высоты 3 м. ДЗ. закр. перелом обеих лодыжек со смещением. Оскольчатый перелом пяточной кости. Вывих пяточной кости в подтаранном суставе кнаружи. При поступлении наложено вытяжение за пяточную кость 27.07 под в/в наркозом попытка устранения вывиха в подтаранном суставе (растягивался голеностопный сустав) безуспешна. Наложен гипс.
В последующем развился некроз кожного лоскута в области внутреней лодыжки 4х5 из-за натяжения кожи над внутренней лодыжкой. Консервативное лечение некроза кожи.Рана в области внутренней лодыжки зажила вторичным натяжением.В настоящее время Больная ходит на костылях с минимальной нагрузкой. При ходьбе беспокоят боли в стопе по подошве, в среднем отделе стопы, в области голеностопного сустава, переднего отдела стопы.Местно: имеется вальгусная деформация заднего отдела стопы, по внутренней поверхности стопы рубец - результат заживления раны вторичным натяжением, при пальпации резкая болезненность по подошвенно-внутренней поверхности стопы, движения в подтаранном суставе отсутствуют, при попытке их совершить появляется боль в проекции подтаранного сустава, сгибание разгибание в голеностопном суставе сохранены, болезненность появляется в крайних положениях сгибания-разгибания, имеются пронационные супинационные движения в голеностопном суставе.ДЗ Сросшийся со смещением перелом обеих лодыжек, подвывих книзу, сросшийся со смещением перелом пяточной кости вывих пяточной кости кнаружи.Коллеги, поделитесь мнением, что делать в такой ситуации?Снимок 1
Снимок 2
Снимок 3
Снимок 4
С уважением Коробушкин Глеб.

<  |  >

 

  • Сообщения о Ортопедия и травматология
  • Также Глеб Коробушкин
  • Связаться с автором
  • Ответить

    Re: Застарелый вывих пяточной кости
    Леонид Соломин 23 Июнь 2002, 18:33
    Мы бы, очевидно, предприняли двухэтапное лечение: дозированная во времени коррекция деформации стопы приемами чрескостного остеосинтеза. Затем, не демонтируя (частично перемонтируя апарат) артродез: подтаранный - точно, "каких других" суставов - надо подумать после первого этапа.
    [ Ответить ]

    Re: Застарелый вывих пяточной кости
    Дмитрий Панчуков 26 Июнь 2002, 20:57
    По-моему, необходимо в открытую вправить вывих пяточной кости с последующим подтаранным артродезом, осуществляемым при помощи АВФ.
    С уважением, Дмитрий Панчуков, Ангарск, БСМП.
    [ Ответить ]


    ( Ответить )

    Powered by Zope  Squishdot Powered MedLink
    Посетитель: 0187364
      "По форме правильно, а по существу - издевательство" В.И.Ленин
    ©2001-2019Orthoforum Coordinator.
    [ Главная | Отправить сообщение | Поиск | Админ ]