AOTRAUMA.ORG Центр Илизарова  

Ортопедия и травматология Общие вопросы/General questions Help Информационные технологии в медицине
 вверх
 отправить
 поиск
 админ
 главная


Остеобластокластома вертлужной впадины
Ортопедия и травматология Отправлено Alexander Chelnokov 28 Сентябрь 2002, 19:33
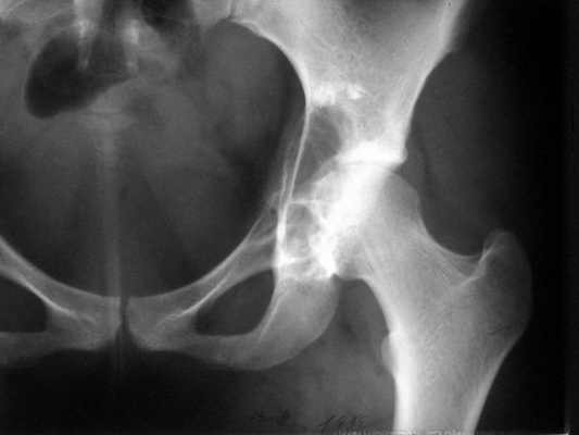
Женщина 22 лет поступила с протрузией вертлужной впадины.Рентгенограммы (1, 2) с интервалом в 1 год. В онкодиспансере сделали биопсию - ОБК без малигнизации. Какой объем операции здесь следует предпринять? Есть ли какие-то шансы на первичное эндопротезирование? Где такие операции делают? В том числе в Европе. Заранее спасибо.


<  |  >

 

  • Сообщения о Ортопедия и травматология
  • Также Alexander Chelnokov
  • Связаться с автором
  • Ответить

    Re: Остеобластокластома вертлужной впадины
    John Ruth 28 Сентябрь 2002, 19:35
    I think you need to get the opinion of a musculoskeletal oncologist, but it appears that this patient has an aggressive giant cell tumor and will likely require an aggressive wide excision. As a result reconstruction will be difficult.
    [ Ответить ]

    Re: Остеобластокластома вертлужной впадины
    Dr. Blardoni 28 Сентябрь 2002, 19:37
    I don't know what kind of hip prostheses could be done. I'll do a resection of the bone tumour, and you can use the iliac wing and the upper extremity of the femur for an arthrodesis and obtain an stable hip, without tumour.The
    best approach for this procedure is the Smith Peterson approach. After that if you obtain an stable hip maybe you will do a hip protheses.

    Best regard
    Francisco Blardoni
    Fructuoso Rodriguez Orthopedic Hospital
    Havana Cuba
    [ Ответить ]

    Re: Остеобластокластома вертлужной впадины
    DR TARIQ MAHMOOD. 28 Сентябрь 2002, 19:38
    forget any replacement procedure at the moment and try to achive a tumour free area by curetage +BG.
    [ Ответить ]

    Re: Остеобластокластома вертлужной впадины
    Christian Veillette 28 Сентябрь 2002, 19:41
    This is obviously a difficult case and most likely best managed by a specialist in orthopaedic oncology (if available).
    More information is required for pre-operative planning.

    The xray appearance is consistent with a bengin aggessive or malignant lesion involving both the acetablum and the femoral epiphysis (there appears to be erosions of the femoral head). The differential diagnosis would include non-tumor conditions such as Brown's tumor (a serum calcium should be measured), benign aggressive lesions such as GCT, ABC and chondroblastoma, and malignant lesions such as telangiectatic osteosarcoma and MFH of bone.

    What were the results of the staging bone scan? Is this a solitary bone lesion? How was the initial biopsy performed? What was the delay in treatment of 12 month from the initial images?

    Most important is cross-sectional imaging with MRI to obtain a better idea of the boney involvement as well as the soft tissue extension into the pelvis. In addition systemic staging including a CXR/CT scan of the chest is
    important as GCT have metastatic potential (<5%) despite being "benign" lesions.

    If this was a proximal tibia or distal femur then curretage, burring of the surfaces and either bone graft or cement augmentation and fixation would be the current management. In addition to adjuvant therapy which is
    controversial.
    However, the extent of the tumor in the pelvis and lack of a cortical rim leading to a large uncontained defect would be too much bone loss for any type of acetabular reconstruction.
    A wide resection with reconstruction with a saddle modular prosthesis would be an option depending on the status of the remainder of the ilium.

    I would be willing to run this by the orthosarcoma team on Monday rounds if you were to send me some images of the MRI and other details as above.

    Interesting case!!

    Christian

    ****************************************
    Christian Veillette M.D., B.Sc.(Hon)
    Orthopaedic Surgery Resident
    University of Toronto
    [ Ответить ]

    Re: Остеобластокластома вертлужной впадины
    Баграт Степанович Григорян 28 Сентябрь 2002, 19:44
    считаем, что возможно проведение тотального
    замещения левого тазобедренного сустава с использованием антипротрузионной опоры Брушнайдера. Обратится можно в ОТО МОНИКИ
    г.Москва ул Щепкина 61/2 11к 3 этаж. Тел.-095 2810612
    С уважением Григорян Баграт Степанович
    [ Ответить ]

    Re: Остеобластокластома вертлужной впадины
    Рашид Муртузалиевич Тихилов 28 Сентябрь 2002, 19:49
    Это очень тяжелое поражение тазобедренного сустава с вовлечением в процесс подвздошной кости. В эом случае необходима пересадка
    аллотрансплантата вертлужной впадины с участком подвздошной кости с одновременным эндопротезированием сустава. В качестве вертлужного компонента используется либо цементная чашка, либо нестандартное опорное кольцо + цементная чашка. Только кольца Bursh-Schneider'a будет мало. Подобную операцию я видел в исполнении д-ра Фитцека. Если это интересно, я могу отправить Р-граммы на консультацию д-ру Шейнкопу в Чикаго.

    С уважением, Рашид Тихилов
    [ Ответить ]

    • Re: Остеобластокластома вертлужной впадины
      Отправитель: Alexander Chelnokov 28 Сентябрь 2002, 23:33
      Был бы признателен.
      Имеющиеся КТ выложены тут и тут.



      [ Ответить ]
      • Re: Остеобластокластома вертлужной впадины
        Отправитель: Rashid Tikhilov 09 Октябрь 2002, 13:45
        This is a forwarded message
        To: tikhilov@unitel.spb.ru (Рашид Муртузалиевич Тихилов
        Date: Tuesday, October 8, 2002, 9:33:41 PM
        Subject: Hi from St.Petersburg

        ===8<==============Original message text===============
        Rashid
        The case is as tough as it gets. One final soultion is ablative disarticulation or an internal hemipelvectomy. Second is resection and reconstruction. The general surgeon would do the resection with the orthopedic surgeon and then a saddle prostheis is used for reconstruction. THe second alternative is an acetabula allograft.The third is to send the patient to the Chicago unit of the Shriner's Hospital. The Shriner's will undertake the care and treatment of patients up to age 21 and bring them here and treat without concern of finances as a humanatarian outreach. Let me know if I can be of further help.
        Mitch

        ===8<===========End of original message text===========

        Alexander, I send to you answer Dr.Sheinkop. He is boss of orthopaedic group Rush Hospital in Chicago.

        --
        Best regards,
        Rashid Tikhilov

        [ Ответить ]
    Re: Остеобластокластома вертлужной впадины
    Shah Alam Khan 28 Сентябрь 2002, 20:24
    I think the best step forward would be to evaluate the tumor and the associated soft tissue mass(which is very common with a GCT at this site. The best means to do would be a CT or an MRI. After this only can the possibility of a primary THR be considered. The tumor may require embolisation of the feeder vessels as will be seen on an arteriogram.

    Thanks,
    Sincerely,
    Dr. Shah Alam Khan
    Derbyshire Royal Infirmary
    Derby, UK
    [ Ответить ]

    Re: Остеобластокластома вертлужной впадины
    Андрей Цориев 03 Октябрь 2002, 11:42
    Согласен с необходимостью проведения МРТ для оценки мягкотканного компонента, исключения регоинальных метастазов в случае, если это не ОБК.
    Для информации - прилагаю интересную статью.
    Кликните для загрузки файла hemipelvicectomy.pdf
    45KB (46928 bytes)

    [ Ответить ]

    Re: Остеобластокластома вертлужной впадины
    В.Е.Казеннов 04 Октябрь 2002, 18:02
    Заключение доцента Рыкова А.Г.:

    1 .Большое сомнение в правильности гистологического заключения.
    2. Впечатление о злокачественном процессе в костях таза.
    3. Разговор не о первичном протезировании, а о радикальной операции.
    4. Лечение: по России- в онкологическом центре в городе Москве (НИИ им. П.А. Герцена), по дальнему зарубежью v в Австрии (город Вена), клиника Хиари (директор Райнер Корст).

    [ Ответить ]

    Re: Остеобластокластома вертлужной впадины
    Dr. Hans Roland Dьrr 09 Октябрь 2002, 13:42
    this is an interesting case, thank you for allowing us to participate.

    In any case one has to be definitely sure about the exact pathology. Is it a giant cell tumor ? Is it anything else ? Is it really non-malignant ? Are there any hints of metastasis to the chest or lymph nodes (chest CT, sonography of the abdomen)?

    Is an infection (tuberculosis, ....) excluded ?

    Would be very nice if you could keep us informed.

    Greetings to Russia from Rostock,

    Sincerely yours,

    Hans Roland Dьrr
    Peter Ernst Mьller
    [ Ответить ]

    Re: Остеобластокластома вертлужной впадины
    Narunas Porvaneckas 17 Октябрь 2002, 11:14
    looking to the X-rays and CT scan it appears this young lady has an aggressive bone leasion.
    I completely agree with Christian Veillete concerning differential diagnosis. There is necessary to perform biopsy to evaluate the tumor and its histological degree. Also should be done three dimensional CT scan and MRI to evaluate the precise lack of the bone tissue and involvement of surrounding tissues.

    The X-ray and CT scan appearance is likely as the chondrosarcoma what is seldom but common
    finding in the replacement surgery of the hip. Having precise histological, CT and MRI data should be planed the amount of surgery after detailed discussion with patient. There is no any possibility to perform primary replacement. If there is the chondrosarcoma hemipelvectomy would be the most live saving procedure. If there is an aggressive giant cell tumor or other findings about allografting, reconstructive surgery with custom made implant or saddle modular prostheses (W.Link) could be discussed. In other wards there are so many different thinks what should be discussed with patient
    having all of investigation data. Actually this young lady should be investigated as soon as possible because the time is not her ally.

    With regards

    Narunas Porvaneckas
    Heart and orthopaedic surgery center
    Vilnius
    [ Ответить ]

    Re: Остеобластокластома вертлужной впадины
    Alexander Chelnokov 17 Октябрь 2002, 11:52
    Еще одна статья по эндопротезированию при опухолях области вертлужной впадины A. J. S. Renard, R. P. H. Veth,H. W. B. Schreuder,
    M. Pruszczynski, A. Keller, Q. van Hoesel,
    J. P. M. Bökkerink. The saddle prosthesis in pelvic primary and secondary musculoskeletal tumors: functional results at several postoperative intervals//Arch Orthop Trauma Surg (2000) 120 :188–194. Файл в формате Acrobat PDF, запакован rar, размером 1,1Мб. Брать здесь.

    [ Ответить ]


    ( Ответить )

    Powered by Zope  Squishdot Powered MedLink
    Посетитель: 0187465
      "По форме правильно, а по существу - издевательство" В.И.Ленин
    ©2001-2019Orthoforum Coordinator.
    [ Главная | Отправить сообщение | Поиск | Админ ]