AOTRAUMA.ORG Центр Илизарова  

Ортопедия и травматология Общие вопросы/General questions Help Информационные технологии в медицине
 ВХОД ДЛЯ ПАЦИЕНТОВ
 вверх
 поиск
 админ
 главная


Последствия травмы голеностопного сустава
Ортопедия и травматология Прислано Alexander Chelnokov 09 Январь 2003, 00:23
из
1 2
3 4
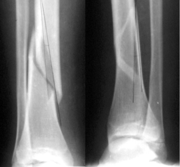
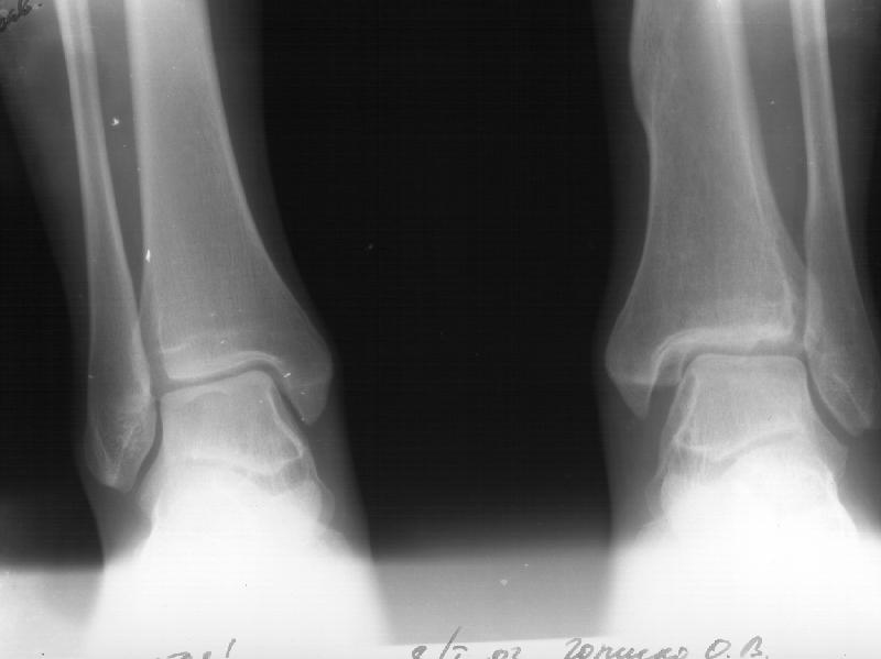
Девочка 14 лет полтора года назад оперирована в детской больнице по поводу спирального перелома костей голени (снимок 1)- выполнен закрытый остеосинтез стержнем Богданова, введенным ретроградно с медиальной стороны (снимок 2). Фиксатор после сращения удален
(см. снимки 3 и 4, после удаления, для сравнения со здоровой стороной, фас - стоя с нагрузкой на обе ноги). В настоящее время беспокоят боль и отеки в области голеностопного сустава при нагрузках, после ходьбы. В покое и ночью боли нет. Амплитуда движений в голеностопном суставе практически полная. Имеется заметная боковая нестабильность, т.е. несостоятельность дельтовидной связки и межберцоого синдесмоза. Складывается впечатление, что при остеосинтезе был отколот и смещен в сторону сустава костный фрагмент позади внутренней лодыжки, увеличилось смещение отломка заднего края, что привело к столь ранним проявлениям деформирующего артроза. Встает вопрос - что делать сейчас? Артодез - наверно, рано. Ревизию сустава, моделирующую резекцию? Пластику связок? Что-то еще? Заранее спасибо.

Послать ответ

Имя
Email
Уведомление Сообщить мне по e-mail об ответах на это сообщение
Название
Комментарий
(Проверьте URL! Не забудьте написать http://!)
Кодировка
Если не знаете, что выбрать, выберите "Просто текст"!
Приложение
Можно приложить к сообщению файл c изображением, который затем будет доступен увидевшим сообщение.
Подготовка иллюстраций:
  • Рентгенограммы: черно-белые полутоновые изображения в формате JPEG (8 bit, greyscale) с разрешением от 300х200 до 1024х768 пикселов;
  • Клинические фотографии: полноцветные изображения в формате JPEG (24 bit, truecolor) с разрешением от 300х200 до 1024х768 пикселов;
  • Схемы и рисунки: черно-белые (2 bit) штриховые (line-art) изображения в формате GIF или compressed TIFF
  • Подберите степень сжатия файла JPEG и размер изображения таким образом, чтобы необходимые детали были различимы, но размер файла не превышал 75 кб.
  • Учтите, что текущая версия программного обеспечения Форума позволяет приложить к одному сообщению лишь один файл-вложение. Поэтому, если необходимо отправить несколько изображений, можно либо послать каждое как отдельное сообщение, либо в графическом редакторе объединить изображения в одно (сделать коллаж).
  • Если при подготовке изображений встречаются трудности, не стесняйтесь обратиться к координатору Форума.

  • Введите видимые символы в обратном порядке. Enter the above characters in reverse order (*Обязательно)
    В тексте сообщения можно использовать теги HTML <B> <I> <P> <A> <LI> <OL> <UL> <EM> <BR> <TT> <HR> <STRONG> <BLOCKQUOTE> <DIV .*> <DIV> <P .*>
  • Обратите внимание: Поля с жирными названиями обязательны.
  • Старайтесь отвечать в рамках обсуждаемой темы, а не начинать новые обсуждения.
  • Указывайте адекватную тему сообщения, чтобы было ясно, о чем оно.
  • Не послайте сообщений не по теме (оффтопик), раздраженных, грубых или обидных комментариев. Здесь это неуместно.
  • Powered by Zope  Squishdot Powered MedLink
    Посетитель: 0380934
      "По форме правильно, а по существу - издевательство" В.И.Ленин
    ©2001-2019Orthoforum Coordinator.
    [ Главная | Отправить сообщение | Поиск | Админ ]