AOTRAUMA.ORG Центр Илизарова  

Ортопедия и травматология Общие вопросы/General questions Help Информационные технологии в медицине
 вверх
 отправить
 поиск
 админ
 главная


Перелом плеча
Ортопедия и травматология Отправлено Сергей Зырянов 14 Февраль 2003, 10:13
123
Больная 45 лет оперирована в июле 2002 г, иммобилизация в течение 3 месяцев. После операции были явления неврита лучевого нерва, которые в последующем исчезли. Во время проведения ЛФК отмечается появление болей, патологическая подвижность в месте перелома, деформация плеча.
Проводилась консультация на форуме октябрь 2002, по дальнейшей тактике лечения . Из-за поломки дрелей пришлось ограничиться закрытой репозицией и иммобилизацией торакобрахиальной повязкой в течении 3 мес. Проводили стимуляцию сращения препаратами:"Миокальцикс" и "Ca D3 Никомед" Рентгенконтроль 14.01.03 . Клинически сращение хорошее.Интересно узнать какие препараты используются вами для стимуляции сращения?

<  |  >

 

  • Сообщения о Ортопедия и травматология
  • Также Сергей Зырянов
  • Связаться с автором
  • Ответить

    Re: Перелом плеча
    Anton V. Vladzimirskiy 15 Февраль 2003, 03:32
    Чаще всего - "Кальцемин", далее - "Витрум Кальций", "Ca D3 Никомед". Редко - "Миокальцик" и очень редко - "Остеогенон".

    С уважением,
    А.В.Владзимирский
    [ Ответить ]

    Re: Перелом плеча
    Anatoliy Borzunov 15 Февраль 2003, 03:33
    Моё личное мнение, что стимуляция сращения это миф, хотя пациентам это не говорю и соответственно сложившимся современным традициям
    использую препараты кальция совмещённые с вит. D. Миакальцик и остеогенон практически не использую из-за дороговизны препаратов.

    Считаю, что в травматологии должны быть соблюдены два принципа точная репозиция и малая травматичность способа точной репозиции и кто найдет "золотую" середину, тот достигнет наилучших результатов.

    --
    С уважением,
    Анатолий Борзунов
    г. Евпатория
    [ Ответить ]

    • Re: Перелом плеча
      Отправитель: Alexander Chelnokov 16 Февраль 2003, 19:40
      AB> Считаю, что в травматологии должны быть соблюдены два принципа точная
      AB> репозиция

      Например, нужна ли она, и зачем, при многооскольчатом внесуставном переломе?
      А если восстановить только ось, длину и ротацию, даже не очень прецизионно, это для чего-то недостаточно?

      [ Ответить ]
      • Re: Перелом плеча
        Отправитель: Йоси Воск 16 Февраль 2003, 19:45
        Думаю, Александр, Вы правы. Ювелирная репозиция и красивый Р-снимок зачастую достигаются тяжёлой оперативной травмой, грубым эстетическим изъяном конечности и фиаско в сращении. Приемлемая ось, полное отсутствие ротационного дефекта и сохранение (+ -) 1-1,5 см дефекта длины кости вполне достаточны для возврата конечности к предпереломной функции и только это, в конце концов, критерий качества нашего лечения.
        Й.Воск

        [ Ответить ]
      • Re: Перелом плеча
        Отправитель: Anatoliy Borzunov 19 Февраль 2003, 20:49
        Точная репозиция не должна являться самоцелью, но к ней необходимо стремиться, естественно при многооскольчатом переломе она недостижима и нецелесообразна. Часто необходимо о главном принципе медицины, который говорит не навреди. Вероятно мы подразумеваем одни и те же мысли, но способы выражения разные.
        Я против говорить о допустимых смешениях в травматологии, лучше стремиться чтобы их не было, но не всегда это можно достигнуть и целесообразно это делать. А затем объяснить, прежде всего себе, причины по каким не достигнута "хорошая анатомия".
        Но это вопрос больше философский.

        --
        С уважением,
        Анатолий Борзунов
        г. Евпатория

        [ Ответить ]
        • Re: Перелом плеча
          Отправитель: Alexander Chelnokov 19 Февраль 2003, 20:59
          B> Точная репозиция не должна являться самоцелью, но к ней необходимо
          AB> стремиться, естественно при многооскольчатом переломе она недостижима

          Понятно, что всегда стремимся восстановить анатомию. Но все-таки важный вопрос, до какой степени нужно восстанавливать любой ценой.
          Скажем, гоняем фрагменты в аппарате - уже закончить с вальгусом 5 градусов, но отломки в контакте, или еще два дня этим заниматься? Есть ли какие-то объективные, серьезно обоснованные критерии - мол, так еще плохо, а этак уже приемлемо?

          AB> и нецелесообразна. Часто необходимо о главном принципе медицины,
          AB> который говорит не навреди. Вероятно мы подразумеваем одни и те же

          Очень возможно. Проблема в в том, что у разных врачей могут быть разные мнения насчет того, где граница между пользой и вредом.

          AB> Я против говорить о допустимых смешениях в травматологии,

          Проблема-то от этого не исчезнет. Пока зачастую ситуация сводится к известному "я начальник - ты дурак". А хотелось бы иметь более рациональную основу, чем "каждый иммеет право на свое мнение".

          AB> лучше стремиться чтобы их не было,

          Это близко к "лучше быть богатым, но здоровым". Да все стремятся, только до какой степени прикладывать усилия? Что грозит пациенту, если осталась угловая деформация 5 градусов и смещение на 3 мм?

          С какого остаточного смещения или деформации они становятся значимыми? Суждение, что любое отклонение - есть неприемлемое зло, слишком легко и просто, чтобы быть правильным.

          AB> но не всегда это можно достигнуть и целесообразно это делать.

          Достичь в принципе можно чего угодно, вопрос только - ценой каких затрат сил, средств и времени, и, главное, что пациент за эту цену получает? То есть когда же это нецелесообразно делать?

          Если пациента, сросшегося с угловой деформацией 5 градусов и смещением по ширине 3 мм берут на корригирующую остеотомию, то, надо полагать, доктора убеждены, что без этой операции пациент в большой беде?

          Может быть, наоборот, дополнительная операция, фиксация, разработка движений и прочее дадут только рентгенограмму поровнее, а клинический статус будет хуже, чем без этой операции, и неблагоприятные последствия последуют раньше?

          AB> А затем объяснить, прежде всего себе, причины по каким не
          AB> достигнута "хорошая анатомия". Но это вопрос больше философский.

          Вопрос сугубо практический - с какого угла начинается "нехорошая анатомия"? И чем именно плохим она чревата - есть видимое отклонение
          на рентгенограмме, следовательно что? Пациент погибнет в течение ближайшего года? У 70% разовьется деформирующй артроз в течение 10 лет? Кто, когда и как определил, что вот такая анатомия - "нехорошая"?


          [ Ответить ]
          • Re: Перелом плеча
            Отправитель: Anatoliy Borzunov 20 Февраль 2003, 15:23
            Alexander Chelnokov> Скажем, гоняем фрагменты в аппарате - уже закончить с вальгусом 5
            Alexander Chelnokov> градусов, но отломки в контакте, или еще два дня этим заниматься?

            С моей точки зрения лучше 5 градусов варуса, чем 5 градусов вальгуса.

            Alexander Chelnokov> Очень возможно. Проблема в в том, что у разных врачей могут быть разные
            Alexander Chelnokov> мнения насчет того, где граница между пользой и вредом.
            Поэтому во время обсуждений и не приходим к одинаковому мнению.

            Alexander Chelnokov> Это близко к "лучше быть богатым, но здоровым". Да все стремятся,
            Alexander Chelnokov> только до какой степени прикладывать усилия?
            Между прочим это одно из моих любимых выражений, которое часто употребляю. Каждый определяет свою планку и плохо когда перестаёт стремиться. Есть врачи, которые измеряют угол таким способом, которым деформация кажется наименьшей. Например при закрытой репозиции мы договорились больше двух раз репозицию не производить или оставлять
            или оперировать.

            Alexander Chelnokov> Что грозит пациенту, если
            Alexander Chelnokov> осталась угловая деформация 5 градусов и смещение на 3 мм?

            Смещение по ширине на 3 мм. ничем не грозит, 5 градусов вальгуса на голени вполне могут быть заметными клинически, после полного исчезновения отека.


            Alexander Chelnokov> Если пациента, сросшегося с угловой деформацией 5 градусов и смещением
            Alexander Chelnokov> по ширине 3 мм берут на корригирующую остеотомию, то, надо полагать,
            Alexander Chelnokov> доктора убеждены, что без этой операции пациент в большой беде?

            С моей точки зрения, если уже достигнута консолидация естественно 5 градусов надо считать
            допустимой деформацией.
            Но если пациент будет настойчиво искать врача, который возьмется оперировать, вероятней всего он найдет такого врача.

            Alexander Chelnokov> Может быть, наоборот, дополнительная операция, фиксация, разработка
            Alexander Chelnokov> движений и прочее дадут только рентгенограмму поровнее, а клинический
            Alexander Chelnokov> статус будет хуже, чем без этой операции, и неблагоприятные
            Alexander Chelnokov> последствия последуют раньше?

            Да и как правило функциональный результат будет хуже в отдаленном периоде.

            Немного отклонюсь от темы. Я смотрю много больных прооперированных 30-40 лет назад по поводу врожденного вывиха бедра и неоперированных. Функциональные результаты у неоперированных больных намного лучше, особенно с высоким, двухсторонним вывихом.


            --
            С уважением,
            Анатолий Борзунов
            г. Евпатория

            [ Ответить ]
            • Re: Перелом плеча
              Отправитель: Alexander Chelnokov 22 Февраль 2003, 20:13
              AB> С моей точки зрения лучше 5 градусов варуса, чем 5 градусов вальгуса.

              И еще традиционно антекурвацию считают лучше рекурвации.
              Вместе с тем, в недавней статье "Отдаленные результаты диафизарных переломов голени: важно ли несращение?" (реферат из medline ниже)
              имеется вывод, что "хотя иногда встречающаяся варусная деформация после сращения может быть причиной деформирующего артроза в медиальном
              отделе коленного сустава, другие факторы менее значимы в качестве причины артроза после диафизарногого перелома голени".

              ================================================
              J Bone Joint Surg Am 2002 Jun;84-A(6):971-80

              Long-term outcome after tibial shaft fracture: is malunion important?

              Milner SA, Davis TR, Muir KR, Greenwood DC, Doherty M.

              Department of Orthopaedic and Accident Surgery, Queen's Medical Center, Nottingham, United Kingdom. stephen.milner@clara.net

              BACKGROUND: Fractures of the shaft of the tibia often heal with some angulation. Although there is biomechanical evidence that such angulation alters load transmission through the joints of the lower limb, it is not clear whether it can eventually lead to osteoarthritis. METHODS: One hundred and sixty-four individuals who had sustained a tibial shaft fracture were assessed in a research clinic thirty to forty-three years after the injury. The subjects were evaluated with regard to self-reported lower limb joint pain, stiffness, and disability (assessed with the Western Ontario and McMaster Universities [WOMAC] osteoarthritis questionnaire); clinical
              signs of osteoarthritis; and radiographic evidence of osteophytes and joint-space narrowing in the knees, ankles, and subtalar joints.
              RESULTS: Twenty-two (15%) of the 151 subjects who reported no other knee injury reported at least moderate knee pain, and eight (6%) of the 145 subjects who reported no other ankle injury reported at least moderate ankle pain. Seventeen (13%) of the 135 subjects who reported no other knee or ankle injury reported at least moderate disability. The ipsilateral side demonstrated a higher prevalence than the contralateral side in terms of pain with passive ankle movement (nineteen versus nine subjects, p = 0.02), pain with passive subtalar movement (fifteen versus four subjects, p = 0.01), and radiographic
              signs of ankle joint space narrowing (twelve subjects versus one subject, p = 0.0055). Knee osteoarthritis was frequently bilateral.
              Forty-seven fractures (29%) healed with coronal angulation of > or = 5 degrees. Apart from an association between shortening of > or = 10 mm
              and self-reported knee pain (p = 0.016), there were no significant univariate associations between these malunions and the development of
              osteoarthritis. Seventeen (15%) of 114 eligible subjects had overall malalignment of the lower limb, defined as a hip-knee-ankle angle outside the normal range of 6.25 degrees of varus to 4.75 degrees of valgus. This malalignment was due to the fracture malunion in nine subjects and predated the fracture in eight. In limbs with varus or valgus malalignment, there was an excess of subtalar stiffness (p = 0.04) and a nonsignificant trend toward more frequent knee pain. In limbs with varus malalignment, there was a nonsignificant trend toward more frequent radiographic evidence of osteoarthritis in the medial compartment of the knee joint. Most of the subjects in whom osteoarthritis was observed had normal overall alignment of the lower limb. CONCLUSIONS: The thirty-year outcome after a tibial shaft fracture is usually good, although mild osteoarthritis is common.
              Fracture malunion is not the cause of the higher prevalence of symptomatic ankle and subtalar osteoarthritis on the side of the fracture. Although varus malalignment of the lower limb occurs occasionally and may cause osteoarthritis in the medial compartment of the knee, other factors are more important in causing osteoarthritis after a tibial shaft fracture.
              ================================================

              Alexander Chelnokov>> мнения насчет того, где граница между пользой и вредом.
              AB> Поэтому во время обсуждений и не приходим к одинаковому мнению.

              По тем проблемам, где мнения можно обосновать научными фактами, а не эмоционально-интуитивными представлениями, консенсус находится
              достаточно легко.

              AB> употребляю. Каждый определяет свою планку

              Тут уж недалеко до "что хочу, то и ворочу".

              AB> и плохо когда перестаёт стремиться. Есть врачи, которые измеряют
              AB> угол таким способом, которым деформация кажется наименьшей.

              Тоже интересный вопрос, кстати. Была как-то статья про измерение углов после сросшихся переломов, где показано, что разные врачи на одном снимке намеряют что-то около плюс-минус 5 градусов. В качесте решения предлагалось использовать снимок здоровой кончности как шаблон.

              AB> Например при закрытой репозиции мы договорились больше двух раз
              AB> репозицию не производить или оставлять или оперировать.

              Что-то такое рекомендуется и в учебниках.

              AB> Смещение по ширине на 3 мм. ничем не грозит, 5 градусов вальгуса на
              AB> голени вполне могут быть заметными клинически, после полного

              Еще и мягкие ткани контур сегмента определяют. Ну и отнюдь не повод считать значимой для пациента проблемой то, что заметно пристрелянному
              глазу профессионала. А косметических проблем хватает, кстати, и с нормальной рентгенологической осью, коллега Артемьев может об этом бльше сказать.

              AB> С моей точки зрения, если уже достигнута консолидация естественно 5 градусов надо считать
              AB> допустимой деформацией.

              А 7? А 10? А 15?

              AB> Но если пациент будет настойчиво искать врача, который возьмется
              AB> оперировать, вероятней всего он найдет такого врача.

              Если по косметической мотивации - конечно. А если нет кометической проблемы?

              Alexander Chelnokov>> последствия последуют раньше?
              AB> Да и как правило функциональный результат будет хуже в отдаленном
              AB> периоде.

              Интересно бы посмотреть на результаты предметного исследования...

              AB> оперированных больных намного лучше, особенно с высоким,
              AB> двухсторонним вывихом.

              В смысле, с неустраненным вывихом лучше?


              [ Ответить ]
              • Re: Перелом плеча
                Отправитель: Анатолий Борзунов 24 Февраль 2003, 16:13
                Здравствуйте, Alexander.

                Вы писали 22 февраля 2003 г., 18:01:26:


                Alexander Chelnokov> имеется вывод, что "хотя иногда встречающаяся варусная деформация
                Alexander Chelnokov> после сращения может быть причиной деформирующего артроза в медиальном
                Alexander Chelnokov> отделе коленного сустава, другие факторы менее значимы в качестве
                Alexander Chelnokov> причины артроза после диафизарногого перелома голени".
                Спасибо за информацию.

                Alexander Chelnokov> Тут уж недалеко до "что хочу, то и ворочу".

                Но часто так и происходит, когда человек работает практически один,
                в некоторых районах у нас травматолог один на всю больницу, например в
                Черноморском районе вообще нет травматолога, всё делают хирурги.

                Alexander Chelnokov>>> последствия последуют раньше?
                AB>> Да и как правило функциональный результат будет хуже в отдаленном
                AB>> периоде.
                Alexander Chelnokov> Интересно бы посмотреть на результаты предметного исследования...

                Естественно исследований не производил, но я думаю это аксиома, целое
                всегда лучше, чем сломанное и не только в медицине. Травма
                отрицательно влияет в первую очередь на суставы (даже диафизарные
                переломы), операция это травма.

                AB>> оперированных больных намного лучше, особенно с высоким,
                AB>> двухсторонним вывихом.
                Alexander Chelnokov> В смысле, с неустраненным вывихом лучше?

                Да с не устраненным вывихом, исследований не производил.

                В медицине нет чёрного и белого а есть ещё нечто серое.
                --
                С уважением,
                Анатолий Борзунов
                г. Евпатория


                [ Ответить ]
    Re: Перелом плеча
    Alexander Chelnokov 15 Февраль 2003, 03:35
    Уместен несколько другой вопрос - есть ли препараты, эффект которых в отношении стимуляции сращения можно считать сколько-нибудь существенным, и достоверно доказанным?
    Ни про миакальцик, ни про остальное, в том числе названное коллегой А.Владзимирским, таких данных встретить мне не довелось.
    Насколько мне известно, препараты от остеопороза снижают риск возникновения новых переломов, но какого-либо влияния на уже имеющиеся не оказывают.
    [ Ответить ]

    • Re: Перелом плеча
      Отправитель: Йоси Воск 16 Февраль 2003, 19:47
      На нынешнем этапе нашего развития, медикаментозная стимуляция сращения является хоть розовым, но всё-таки бредом. Жаль тратить на это копья, время и деньги пациентов.
      Й.Воск

      [ Ответить ]
    • Re: Перелом плеча
      Отправитель: Сергей Зырянов 19 Февраль 2003, 20:55
      AЧ> но какого-либо влияния на уже имеющиеся не оказывают.

      Я согласен, что хорошая, своевременная, щадящая репозиция, надежное шинирование это залог успешного лечения перелома. Переломы крупных костей, неправильное длительное лечение, пожилой возраст приводят к регионарному
      остеопорозу..
      Мене приходилось неоднократно встречать и влияние других факторов на процесс сращения и на его длительность. Это замедленное сращение при истощении, у людей, работающих с вредными веществами, у пожилых больных и т.д. Мне кажется, при замедленном сращении вполне уместно применение стимуляторов минерального обмена. На сегодняшний день определить достоверно у нас в
      больнице степень нарушения минерального обмена невозможно. Поэтому, используя клинические данные, данные анамнеза, мы профилактически применяем препараты с наличием минеральных веществ и препараты, воздействующие на
      минеральный обмен у больных с предполагаемым замедленным сращением.

      Вот один из примеров результатов рандомизированного исследования по воздействию миакальцика на переломы - http://www.novartis.ru/.

      АЧ>Факт закупки больницей или ее вышестоящей структурой снадобий типа
      Д3-Никомеда - повод вызвать милицию...

      Стоимость этого препарата (см. вложение) небольшая. Другой вопрос, что миакальцик не так дешев ( пациент затратил около 3000 руб).

      ККК>Считаю неграмотным вкручивание винтов с конусными или закругленными
      головками, так как они вклиниваясь в кость, раскалывают ее

      Подобное межфрагментарная фиксация описана и рекомендована группой АО (Швейцария ).
      Привожу рисунок из руководства по внутреннему остеосинтезу.tmpB 201-6

      В том , что остеосинтез проведен с грубыми нарушениями техники фиксации, которые привели к плохому сращению перелома согласен.

      Сергей Зырянов.
      Новосибирская область г. Куйбышев ЦРБ

      Кликните для загрузки файла tmpB201-6.jpg
      12KB (12357 bytes)

      [ Ответить ]
      • Re: Перелом плеча
        Отправитель: Anatoliy Borzunov 19 Февраль 2003, 20:57
        zsn_1> кажется, при замедленном сращении вполне уместно применение стимуляторов
        zsn_1> минерального обмена.

        Я с Вами согласен, но при другой логике. Нельзя полностью разрушать веру человека в чудеса. Каждому человеку свойственно верить в чудо и
        отнимать это у пациента нецелесообразно. Вера позволяет человеку в выздоровлении. Но врачу делать ставку на стимуляторы минерального обмена не следует.

        ККК>>Считаю неграмотным вкручивание винтов с конусными или закругленными
        zsn_1> головками, так как они вклиниваясь в кость, раскалывают ее

        Иногда врачам, работающим в крупном учреждении трудно понять врачей, работающих в ЦРБ и отдаленных больницах. А логика проста, какие шурупы имеются те и вкручиваем.

        С уважением,
        Анатолий Борзунов
        г. Евпатория

        [ Ответить ]
      • Re: Перелом плеча
        Отправитель: Alexander Chelnokov 19 Февраль 2003, 21:02
        z> неправильное длительное лечение, пожилой возраст приводят к регионарному
        z> остеопорозу..

        Локальный остеопороз от бездействия бывает в любом возрасте.

        z> Мене приходилось неоднократно встречать и влияние других факторов на процесс
        z> сращения и на его длительность.

        То есть остеопороз относится к факторам, "влияющим на..."?!
        Похоже, здесь путаница причины и следствия. Известно, что в отсутствие функции/нагрузки наблюдается снижение плостности кости. Так что не
        остеопороз влияет на сращение, а наоборот, он появляется в ходе иммобилизации, и выраженных степеней достигает при длительном выключении сегмента из функции. Т.е. остеопороз - это не причина проблемы, а ее следствие.

        Надо сказать, у нас в одной из клиник есть сторонники в чем-то схожей точки зрения - при тяжелом остеопрозе, который имеется, скажем, через 5-10 лет бездействия при ложном суставе, любое "железо" легко вырезается из кости. Вот коллеги и мучаются над тем, как сначала
        полечить от остеопороза, а потом прооперировать псевдартроз, не опасаясь скорой несостоятельности фиксатора.

        z> Это замедленное сращение при истощении, у людей, работающих с
        z> вредными веществами, у пожилых больных и т.д.

        Каких-то четких зависимостей нигде не встречал.

        z> Мне кажется, при замедленном сращении вполне уместно применение стимуляторов
        z> минерального обмена.

        При намерении давать средства, влияющие на минеральный обмен, надо в первую очередь знать, какое *системное* нарушение имеется, и быть уверенным, что *местная* проблема действительно обусловлена именно этим нарушением.

        Если еще не забывать, 1)что остеопороз от бездействия не является проявлением каких-либо системных нарушений минерального обмена, 2)что регенерация в порозной кости идет просто замечательно, 3)минерализация - это отнюдь не начальная фаза сращения (сосудистые связи должны
        раньше образоваться!), то станет более очевидна сомнительность суждения об уместности применения "стимуляторов минерального обмена" в лечении проблем со сращением.

        z> На сегодняшний день определить достоверно у нас в
        z> больнице степень нарушения минерального обмена невозможно. Поэтому,
        z> используя клинические данные, данные анамнеза, мы профилактически применяем

        То есть раз не знаем, надо ли, то дадим. Практика, мягко говоря, малообоснованная.

        z> препараты с наличием минеральных веществ и препараты, воздействующие на
        z> минеральный обмен у больных с предполагаемым замедленным сращением.

        И в наших краях благодаря агрессивной рекламе в СМИ, а также деятельности рапространителей, в т.ч. врачей, многие пациенты пребывают в убеждении, что "кальций нужен для сращения", и им
        непременно надо что-то этакое принимать "для ускорения". И даже готовы перестать доверять тем врачам, которые им говорят, что это напрасная трата денег.

        z> Вот один из примеров результатов рандомизированного исследования по
        z> воздействию миакальцика на переломы - http://www.novartis.ru/.

        Если это о статье "Дополнительное фармакологическое лечение переломов Коллиса: сравнительное рандомизированное исследование", то там ничего не сказано о влиянии на собственно сращение. Только про то, что к году у принимавших плацебо остеопороз был более выражен - и что тут имеет отношение к данному случаю, да и вообще собственно к *лечению*
        переломов, а не к профилактике последующих?

        Ну и кстати, есть независимые от фирм-производителей источники, например, просто Medline, или Cochrane Collaboration...
        И никаких данных о том, что доказан эффект препаратов кальция или лекарств от остеопороза в лечении свежих переломов или несращений, найти не удается. То есть никто не продемонстрировал, что от них есть какая-то польза в этом отношении. Соответственно, нет оснований на нее
        рассчитывать, и применять в лечении переломов и их последствий эти средства.

        z> Д3-Никомеда - повод вызвать милицию...
        z> Стоимость этого препарата (см. вложение) небольшая. Другой вопрос, что
        z> миакальцик не так дешев ( пациент затратил около 3000 руб).

        Тем обиднее переводить такие суммы в унитаз, извините за грубость. И правда, можно было дрель купить.

        z> В том , что остеосинтез проведен с грубыми нарушениями техники фиксации,

        Если изначально был лишь изолированный перелом плеча, то оперировать его не было необходимости даже в условиях полной доступности всех современных фиксаторов.

        [ Ответить ]
        • Re: Перелом плеча
          Отправитель: Евгений Михайлович Беляев 22 Февраль 2003, 20:18
          Коллеги! Не забывайте о том, что в классификации остеопороза имеется такая форма, как ВТОРИЧНЫЙ ИММОБИЛИЗАЦИОННЫЙ. А насчет вызывать милицию при
          закупке Кальций Д3-никомед - не стоит горячится, не плохой препарат занимающий не последнее место в лечении различных форм остеопороза (угнетает
          деятельность остеокластов и уменьшает таким образом резорбцию кости).
          С уважением, Беляев Евгений.

          [ Ответить ]
          • Re: Перелом плеча
            Отправитель: Alexander Chelnokov 22 Февраль 2003, 20:36
            ЕМБ> Коллеги! Не забывайте о том, что в классификации остеопороза имеется такая
            ЕМБ> форма, как ВТОРИЧНЫЙ ИММОБИЛИЗАЦИОННЫЙ.

            Конечно. И еще раз вспомним, что причиной несращения он не является.

            ЕМБ> А насчет вызывать милицию при закупке Кальций Д3-никомед - не
            ЕМБ> стоит горячится, не плохой препарат занимающий не последнее место
            ЕМБ> в лечении различных форм остеопороза

            Не вдаваясь в проверку его эффективности, не будем забывать, что курс лечения остеопороза представляет собой многомесячный прием таблеток.
            Который как минимум не требует стационарных условий. И приобретать подобные препараты для больницы - по меньшей мере неразумно.

            [ Ответить ]
    Re: Перелом плеча
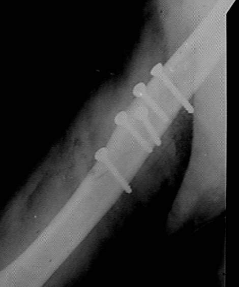
    Казбек Урусханович КУДЗАЕВ 15 Февраль 2003, 14:30
    На мой взгляд, в данном случае, перелом сросся скорее не благодаря, а вопреки "лечению".
    Считаю неграмотным вкручивание винтов с конусными или закругленными головками, так как они вклиниваясь в кость, раскалывают ее. Два крайних винта на представленных снимках захватили только по одному из отломков. О
    серкляже и говорить не хочется: циркулярно жгутирует кость, зачастую удаление проволоки травматичнее ее установки и т.д. За двадцать лет работы ни разу не наладывал торакобрахиальную гипсовую повязку т.к. считаю ее издевательством над пациентом. При таких грубых нарушениях современных принципов травматологии странно слушать вопросы о препаратах, стимулирующих сращение. За деньги, которые потрачены на приобретение таких дорогих препаратов как миакальцик, Са Д3, остеогенон, Вы могли бы приобрести нормальные металлоконструкции для полноценного остеосинтеза и запасную дрель.
    С уважением Кудзаев К.У.
    [ Ответить ]

    • Re: Перелом плеча
      Отправитель: Йоси Воск 16 Февраль 2003, 19:43
      Дорогой Казбек,
      Согласен с каждым Вашим словом. Более того, это не мнение ,на мой взгляд, а кардинальная позиция, определяющая границу между нормальной
      орто-травматологией и дремучей безграмотностью и врачебным беспределом. В одном аспекте я предпочитаю не быть слишком категлричным: торако-брахиальная ("самолёт") гипсовая повязка. Я и сам её не делал лет двадцать, может быть потому что в моих краях обычно не допускают тех "пиковых" ситуаций, в которой оказался данный больной. Я убеждён, что именно эта повязка выручила больного. Ясное дело, что такой гипс очень неудобен для пациента, но как опция это было логичной и эффективной манипуляцией и выручила его из явно дерьмовой ситуации.
      Й. Воск

      [ Ответить ]
    • Re: Перелом плеча
      Отправитель: Борис Максимов 16 Февраль 2003, 21:15
      Глубокоуважаемый Казбек Урусханович.
      15 февраля 2002 г. 12:03 Вы писали:
      ККК>Считаю неграмотным вкручивание винтов с конусными или закругленными
      головками, так как они вклиниваясь в кость, раскалывают ее

      А разве не существует рассверливателей под головки?

      ККК>О серкляже и говорить не хочется

      К сожалению, серкляж скорее всего наложен от безысходности и многие из нас с этим сталкивались.

      ККК>За двадцать лет работы ни разу не наладывал
      торакобрахиальную гипсовую повязку т.к. считаю ее издевательством над
      пациентом.

      А полутрусы? Однако и то и другое накладывается и будет накладываться еще долгое время.

      ККК>За деньги которые потрачены на приобретение таких дорогих препаратов как
      миокальцикс,
      Са Д3, остеогенон, Вы могли бы приобрести нормальные металлоконструкции для
      полноценного остеосинтеза и запасную дрель.

      Сейчас это нереально, так как медпрепараты во многих регионах поставляются централизовано и больница реально этих денег не видит.
      А деньги пациента - это деньги пациента.

      Всего наилучшего.
      Максимов Борис
      Сердобск, Пензенской

      [ Ответить ]
      • Re: Перелом плеча
        Отправитель: Alexander Chelnokov 16 Февраль 2003, 22:48
        МБ> А разве не существует рассверливателей под головки?

        Начало истории забылось уже - напомните, pls, зачем было оперировать в этом случае?

        МБ> К сожалению, серкляж скорее всего наложен от безысходности и

        Всегда нас учили, что серкляж вообще на диафизе недопустим, однако же и сейчас при переломе бедра с эндопротезом пластинку на уровне ножки привязывают проволокой даже в самых супер-швейцарских клиниках... Но в данном случае, если был изолированный перелом диафиза плеча, "золотой стандарт" - это консервативное лечение, короткая повязка-ортез с 7-10 дня.

        МБ> А полутрусы? Однако и то и другое накладывается и будет накладываться

        "Полутрусы" это типа тазобедренной повязки? Никакая более-менее современная технология не предполагает огромные "гипсы" как необходимый компонент. Вместе с тем, бывает - ничего другого просто нет. Что делать конкретному врачу с конкретным пациентом, если "сплавить" его куда-то нет возможности, а современных средств фиксации нет?

        МБ> полноценного остеосинтеза и запасную дрель.
        МБ> Сейчас это нереально, так как медпрепараты во многих регионах
        МБ> поставляются централизовано и больница реально этих денег не видит.

        Факт закупки больницей или ее вышестоящей структурой снадобий типа Д3-никомеда - повод вызвать милицию...
        Или хотя бы попросить главврача задать в облздраве вопрос, почему и без того скудные средства тратятся на сомнительные препараты, польза которых не подтверждена контролируемыми испытаниями.

        МБ> А деньги пациента - это деньги пациента.

        Понятно, что в крупных городах больше возможностей найти спонсоров, но и в провинции отчаиваться не надо :-)

        --
        Best regards,
        Alexander N. Chelnokov

        [ Ответить ]
    • Re: Перелом плеча
      Отправитель: pag 06 Май 2003, 16:29
      Многоуважаемый коллега,я полностью разделяю Ваше мнение. По АО в данном случае показан накостный остеосинтез.
      С Уважением,Потеряев А.

      [ Ответить ]
    Re: Перелом плеча
    Андрей 15 Март 2003, 02:44
    Подобные переломы прекрасно срастаются без операции.
    Операция в данном случае может быть оправдана только ранней реабилитацией, которая возможна только при стабильном остеосинтезе: в конкретном случае -длинная пластинкка.
    С ув. Андрей
    [ Ответить ]

    • Re: Перелом плеча
      Отправитель: Владимир 16 Март 2003, 16:15
      >Подобные переломы прекрасно срастаются без операции.
      Какае Вы имеете в виду???
      >Операция в данном случае может быть оправдана...
      Метод остеосинтеза в данном случае выбран не удачно изначально.
      В отношении стимуляции - около полутоара лет использую препарат CALCIGRAN ( 1 таб.X 2 ).В ряде сучаев - хороший результат, но виноват ли препарат? :) С другой стороны, ведь не отрицается повышенная необходимость в Ca при остеогенезе .
      С уважением Владимир.

      [ Ответить ]
      • Re: Перелом плеча
        Отправитель: Alexander Chelnokov 17 Март 2003, 16:30
        >>Подобные переломы прекрасно срастаются без операции.
        AC> Какае Вы имеете в виду???

        Изолированные диафизарные.

        AC> Метод остеосинтеза в данном случае выбран не удачно изначально.

        Трудно спорить.

        AC> CALCIGRAN ( 1 таб.X 2 ).В ряде сучаев - хороший результат, но виноват
        AC> ли препарат? :)

        Ответить на этот вопрос позволило бы исследование, когда случайно выбранной части однотипных пациентов давали бы этот препарат, а
        остальным - пустышку, его имитирующую. И чтобы и пациент, и врач, оценивающий состояние, не знал, кто что получает. Пока таких данных нет, нет и оснований этот препарат для такой цели давать.

        AC> С другой стороны, ведь не отрицается повышенная
        AC> необходимость в Ca при остеогенезе .

        Практика массово показывает, что переломы прекрасно срастаются без дополнительной подкормки кальцием (или еще чем-то). А утверждение, что препараты с кальцием вообще хоть как-то влияют на сращение, требует доказательств. И не умозрительных, мол, оно должно бы помогать потому-то и потому-то, а данных целенаправленных исследований - вот
        группа с кальцием, вот такая же без, систематической разницы между группами по возрасту/полу/патологии/и др. нету, но вот такие-то преимущества у первой группы выявились. Есть ли такие работы?


        [ Ответить ]

     

    ( Ответить )

    Powered by Zope  Squishdot Powered MedLink
    Посетитель: 0186874
      "По форме правильно, а по существу - издевательство" В.И.Ленин
    ©2001-2019Orthoforum Coordinator.
    [ Главная | Отправить сообщение | Поиск | Админ ]