AOTRAUMA.ORG Центр Илизарова  

Ортопедия и травматология Общие вопросы/General questions Help Информационные технологии в медицине
 вверх
 отправить
 поиск
 админ
 главная


Застарелый переломовывих
Ортопедия и травматология Отправлено Anton V. Vladzimirskiy 17 Март 2003, 15:59
11
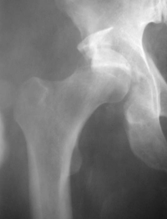
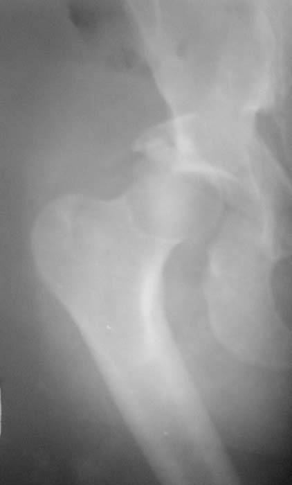
Уважаемые коллеги!Мужчина, 40 лет. Травма несколько месяцев назад. Получил закрытый вывих правого тазобедренного сустава и перелом вертлужной впадины (сним.1).Лечился скелетным вытяжением. Сейчас (сним.2) жалобы на боли, ограничение движений. Вопрос: тактика лечения (эндопротезирование и/или восстановительная операция, иное)?С уважением,А.В.Владзимирский


<  |  >

 

  • Сообщения о Ортопедия и травматология
  • Также Anton V. Vladzimirskiy
  • Связаться с автором
  • Ответить

    Re: Застарелый переломовывих
    Alexander Chelnokov 17 Март 2003, 16:04
    Сидим, смотрим с коллегами Рунковым и Минкиным (из Перми)

    AVV> Мужчина, 40 лет. Травма несколько месяцев назад.

    Нексколько - это все-таки сколько? Если 2-3 - одни планы, 6-8 - другие.

    AVV> Получил закрытый вывих правого тазобедренного сустава и перелом
    AVV> вертлужной впадины (сним.1). Лечился скелетным вытяжением. Сейчас
    AVV> (сним.2) жалобы на боли, ограничение движений.

    Вывих, похоже, вообще не был устранен. Или из-за дефекта заднего края сразу рецидивировал.

    AVV> Вопрос: тактика лечения (эндопротезирование и/или
    AVV> восстановительная операция, иное)?

    Для уточнения величины дефекта задней стенки и состояния головки необходима КТ. Если МРТ доступна, то и ее.
    Если головка живая, прошло менее 2 мес., то мы бы наложили аппарат, стянули бедро дистально за неделю, потом открыто выполнили бы вправление с реконструкцией заднего края, скорее всего с аутопластикой, и фиксировали мостовидной пластиной (чтобы не мешало в дальнейшем эндопротезу).
    Если срок больше, головка плохая, и дефект незначительный, то сразу эндопротезирование. Если значительный дефект и будут сложности, то
    предусмотреть усложнение операции эндопротезирования из-за той или иной реконструкции впадины (аутопластика, остеосинтез края, укрепляющее кольцо).
    [ Ответить ]


     

    ( Ответить )

    Powered by Zope  Squishdot Powered MedLink
    Посетитель: 0392443
      "По форме правильно, а по существу - издевательство" В.И.Ленин
    ©2001-2019Orthoforum Coordinator.
    [ Главная | Отправить сообщение | Поиск | Админ ]