AOTRAUMA.ORG Центр Илизарова  

Ортопедия и травматология Общие вопросы/General questions Help Информационные технологии в медицине
 вверх
 отправить
 поиск
 админ
 главная


Уникальный случай
Ортопедия и травматология Отправлено Владимир Осинцев, Андрей Стасюк 23 Май 2003, 16:17 2 ГКБ г.Тюмень
12
Поступил мужчина 37 лет. Автотравма - перевернулся на машине.
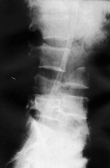
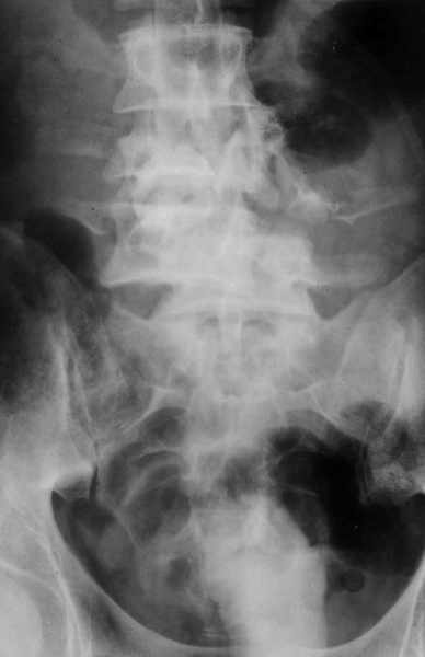
При поступлении состояние тяжёлое. Диагноз: "Оскольчатый перелом тела L3 позвонка, переломы корней дуг L3, l4 позвонков, дислокация (птоз) тел l3, L4 позвонков, множественные флотирующие переломы рёбер слева, гемопневматоракс". При всём при этом практически никакой неврологической симптоматики (легкое онемение по наружной поверхности левого бедра) функции тазовых органов не нарушены, движения в нижних конечностях сохранены. КТ сделать нет технической возможности, сканы рентгенограмм плохого качества поэтому высылаю скиаграммы. Рентгенограммы пришлю позже. Встало два вопроса: Теоретический - как грамотно сформулировать диагноз позвоночной травмы? Практический - тактика оперативного лечения позвоночной травмы. В настоящий момент сосстояние пациента стабилизировалось. С уважением Андрей Стасюк

<  |  >

 

  • Сообщения о Ортопедия и травматология
  • Также Владимир Осинцев, Андрей Стасюк
  • Связаться с автором
  • Ответить

    Re: Уникальный случай
    Томилов Анатолий 26 Май 2003, 10:37
    Тактика лечения:
    1.транспедикулярный остеосинтез L2-L5 погружным аппаратом (Усикова)
    2.передний спондилодез L3-L5 с аутотрансплантатом из тела L4.
    3. наш тел. (3432)71-09-93
    с уважением Анатолий Томилов,
    клиника вертебрологии Уральского НИИТО

    [ Ответить ]

    • Re: Уникальный случай
      Отправитель: Андрей Стасюк 28 Май 2003, 21:16






      1

      2

      Высылаю рентгенограммы. Спасибо за рекомендации. Наша тактика согласуется с вашими рекомендациями за исключением транспедикулярной фиксации - у данного пациента на наш взгляд предпочтительнее наружная транспедикулярная фиксация (Курганский аппарат). Погружная конструкция предпологает одномоментную репозицию до выполнения забрюшинного доступа и ревизии переломов что теоретически может привести к повреждению дурального мешка и корешков. АВФ позволит восстановить ось позвоночника и смещение по длине непосредственно под контролем глаза на этапе внебрюшинного доступа. Сколько сегментов замыкать? Я думаю может потребоваться замкнуть и сегмент L2-L3. Предполагается использовать тело L4 для костной пластики таким образом, чтобы ширина спиномозгового канала на уровне оперированных сегментов была увеличена. Фиксация тел позвонков вентральной пластиной.
      Если в вышей практике встечались подобные случаи прошу подробнее их описать.
      С Уважением
      Андрей Стасюк.




      [ Ответить ]

     

    ( Ответить )

    Powered by Zope  Squishdot Powered MedLink
    Посетитель: 0194460
      "По форме правильно, а по существу - издевательство" В.И.Ленин
    ©2001-2019Orthoforum Coordinator.
    [ Главная | Отправить сообщение | Поиск | Админ ]