AOTRAUMA.ORG Центр Илизарова  

Ортопедия и травматология Общие вопросы/General questions Help Информационные технологии в медицине
 ВХОД ДЛЯ ПАЦИЕНТОВ
 вверх
 поиск
 админ
 главная


Системный прогрессирующий остеопороз
Ортопедия и травматология Прислано Александр Клоков 10 Июнь 2003, 17:25
из
18.02.2003 24.04.2003 24.04.2003 17.10.2002 17.10.2002 24.04.2003
Высылаю консультацию пациента на суд консилиума ортопедов. Суть вкратце: у парня системный прогрессирующий остеопороз. Он уже как два года не ходит, лежит в постели. Перепробовали массу препаратов кальция и витаминов - эффекта увы нет.
Вопросы таковы: какие возможны варианты в лечении такого пациента на дому? Может есть какие схемы, о которых мы не знаем, а знают наши глубокоуважаемые коллеги. Просьба поделиться опытом. Высылаю выписку подготовленную участковым врачом и ряд рентгенограмм (цифры в названии файла соответствуют дате). Спасибо за внимание.

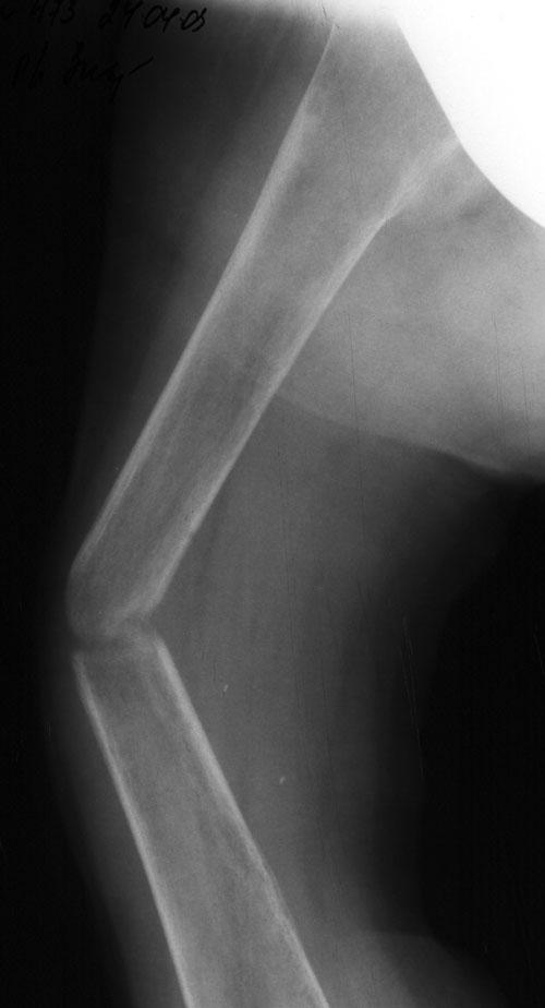
Выписка из амбулаторной карты пациента, 1980 г.р. Находится под наблюдением в поликлинике КНЦ РАН. Состоит на "Д" учёте по заболеваниям: Ювенильный идиопатический генерализованный остеопороз. Деформация грудной клетки за счёт множественных переломов грудины, рёбер. S-образный кифосколиоз грудного отдела позвоночника. Синдром гипофосфатемии неясного генеза. ВСД по кардиальному типу. Инвалид 1-й группы с детства. Последние 4 года не может передвигаться, возникают патологические переломы. Живёт в семье, материально-бытовые условия удовлетворительные. За последние 2 года состояние значительно ухудшилось - усилилась общая слабость, участились патологические переломы, которые не срастаются. Постоянно лежит в постели. Постоянный приём препаратов кальция и диеты с повышенным содержанием кальция, фосфора и белка эффекта не дают. С 11.07.2002 по 30.07.2002 г. лечился в травматологическом отделении АЦГБ с переломом костей правого предплечья со смещением. С 24.08.2002 по 08.09.2002 г. лечился в терапевтическом отделении по поводу острого бронхита с бронхоспастическим компонентом. На сегодняшний день статус. Состояние относительно удовлетворительное. В сознании. Положение вынужденное: сидя в инвалидном кресле, сам встать на ноги и передвигаться не может, туалет только с помощью родственников. Бледный, астеничный. Выраженная деформация грудной клетки, выраженный кифоз и сколиоз грудного отдела позвоночника. Экскурсия грудной клетки ограничена. Участие в акте дыхания вспомогательных межрёберных мышц. Пальпация грудной клетки безболезненна. Деформация всех крупных и мелких суставов за счёт увеличенных эпифизов. Деформация длинных трубчатых костей, мышцы рук и ног атрофичны. Температура - 36,8, ЧД - 29 в минуту. Дыхание жёсткое, проводится во все отделы. Слева от угла лопатки и в аксиллярной области влажные мелкопузырчатые хрипы, в межлопаточной области с обеих сторон свистящие хрипы. Пульс 90 ударов в минуту, ритмичный, симмитричный, слабого наполнения и напряжения. АД 120\80 мм рт. ст. Границы относительной сердечной тупости не расширены. Тоны сердца громкие, ритм правильный. Язык влажный, блестит. Живот при пальпации мягкий, не вздут, симметричный, участвует в акте дыхания, безболезненный. Печень по краю рёберной дуги. Стул регулярный, оформлен, без патологических примесей. Мочеиспускание свободное, безболезненное. Симптом Пастернацкого отрицателен с обеих сторон. Отёков нет. Анализ крови общий 26.08.2002: Hb-146 г\л, Эр.-4,8, ЦП-0,91, Лейк.-6,4, п.-4, с.-45, э.-5, м.-11, СОЭ-4 мм\ч. Анализ мочи общий 26.08.2002: Уд. вес-1025, белок-0,01, сахар-нет, лейк.-0-1 в поле зр., слизь+++, бактерии+. Анализ крови биохимический 26.08.2002: глюкоза-4,9, АЛТ-0,3, АСТ-0,5, биллирубин-11,9, креатинин-44,2, мочевина-3,8, СРБ (+). Анализ крови на микрореакцию - отрицательный. Флюрограмма за 2002: Резко выраженная деформация грудной клетки за счёт множественных переломов рёбер, грудины. Инфильтративных теней в лёгких не определяется. По сравнению с предыдущим исследованием от 01.12.2000 г. - ухудшение: нарастают деформация грудной клетки и позвоночника. ЭКГ за 2002 год: Синусовая тахикардия с ЧСС 88 в минуту. Отклонение ЭОС вправо. Признаки нарушения процессов реполяризации миокарда задней стенки левого желудочка. Повидимому, изменения ЭКГ обусловлены позиционными изменениями, возможно астеничным телосложением. Дополнительные методы исследования. Рентген правого предплечья (17.10.2002): Металлоостеосинтез по поводу перелома обеих костей правого предплечья в н\з: признаки репарации практически не определяются, сохраняется диастаз между отломками. Рентген правого предплечья (24.04.2003): Металлоостеосинтез по поводу перелома обеих костей правого предплечья в н\з: признаки репарации отсутствуют, формируются ложные суставы. Резко выраженный остеопороз. Рентген правого бедра (18.02.2003): Несросшийся перелом правого бедра на границе с\з и н\з со смещением отломков под углом открытым кнутри. Формирующийся ложный сустав. Выраженный остеопороз костей. Рентген правого бедра (24.04.2003): Угловое смещение отломков правого бедра увеличилось. Признаки репарации крайне вялые: по наружному краю отломков формируются замыкательные пластинки - ложный сустав. Выраженный остеопороз.

Послать ответ

Имя
Email
Уведомление Сообщить мне по e-mail об ответах на это сообщение
Название
Комментарий
(Проверьте URL! Не забудьте написать http://!)
Кодировка
Если не знаете, что выбрать, выберите "Просто текст"!
Приложение
Можно приложить к сообщению файл c изображением, который затем будет доступен увидевшим сообщение.
Подготовка иллюстраций:
  • Рентгенограммы: черно-белые полутоновые изображения в формате JPEG (8 bit, greyscale) с разрешением от 300х200 до 1024х768 пикселов;
  • Клинические фотографии: полноцветные изображения в формате JPEG (24 bit, truecolor) с разрешением от 300х200 до 1024х768 пикселов;
  • Схемы и рисунки: черно-белые (2 bit) штриховые (line-art) изображения в формате GIF или compressed TIFF
  • Подберите степень сжатия файла JPEG и размер изображения таким образом, чтобы необходимые детали были различимы, но размер файла не превышал 75 кб.
  • Учтите, что текущая версия программного обеспечения Форума позволяет приложить к одному сообщению лишь один файл-вложение. Поэтому, если необходимо отправить несколько изображений, можно либо послать каждое как отдельное сообщение, либо в графическом редакторе объединить изображения в одно (сделать коллаж).
  • Если при подготовке изображений встречаются трудности, не стесняйтесь обратиться к координатору Форума.

  • Введите видимые символы в обратном порядке. Enter the above characters in reverse order (*Обязательно)
    В тексте сообщения можно использовать теги HTML <B> <I> <P> <A> <LI> <OL> <UL> <EM> <BR> <TT> <HR> <STRONG> <BLOCKQUOTE> <DIV .*> <DIV> <P .*>
  • Обратите внимание: Поля с жирными названиями обязательны.
  • Старайтесь отвечать в рамках обсуждаемой темы, а не начинать новые обсуждения.
  • Указывайте адекватную тему сообщения, чтобы было ясно, о чем оно.
  • Не послайте сообщений не по теме (оффтопик), раздраженных, грубых или обидных комментариев. Здесь это неуместно.
  • Powered by Zope  Squishdot Powered MedLink
    Посетитель: 0180772
      "По форме правильно, а по существу - издевательство" В.И.Ленин
    ©2001-2019Orthoforum Coordinator.
    [ Главная | Отправить сообщение | Поиск | Админ ]