AOTRAUMA.ORG Центр Илизарова  

Ортопедия и травматология Общие вопросы/General questions Help Информационные технологии в медицине
 вверх
 отправить
 поиск
 админ
 главная


Консультация
Ортопедия и травматология Отправлено Андрей Стасюк 12 Июнь 2003, 18:36 2 ГКБ г. Тюмень
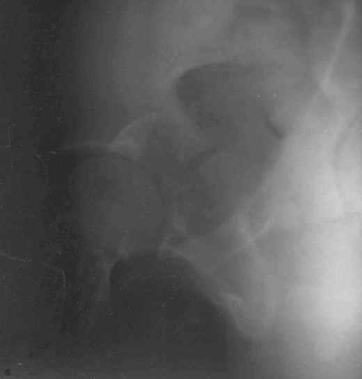
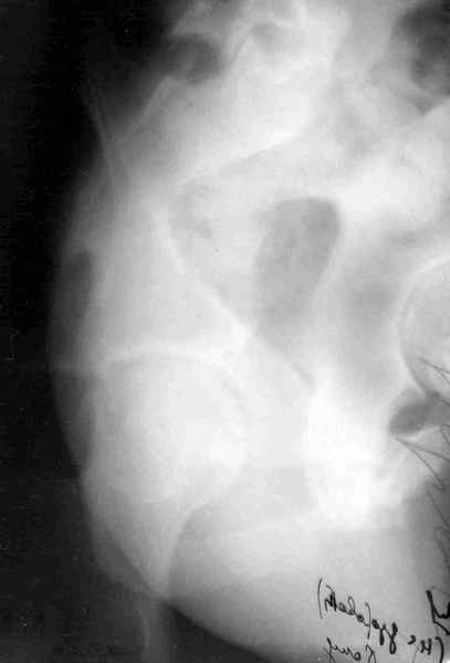
11Judet 1Judet 2
Согласно договорённости с А.В. Рунковым высылаю КТ и скиаграмму (со сканами рентгенограмм опять проблемы) 29-летнего пациента после автотравмы. С Уважением Андрей Стасюк


<  |  >

 

  • Сообщения о Ортопедия и травматология
  • Также Андрей Стасюк
  • Связаться с автором
  • Ответить

    Re: Консультация
    А.В.Владзимирский 13 Июнь 2003, 15:35
    Ответ нашего зав.отд.А.Ю.Магомедова:
    1) Оперативное лечение: открытая репозиция фрагмента заднего края вертлужной впадины (через задний доступ), фиксация винтами. 2) Скелетное вытяжение сроком до 4 месяцев (для разгрузки сустава). 3) Курс хондропротекторов, витаминов, сосудистых препаратов (в течение срока лечения скелетным вытяжением).
    [ Ответить ]

    • Re: Консультация
      Отправитель: Alexander Chelnokov 15 Июнь 2003, 00:40
      > репозиция фрагмента заднего края вертлужной впадины (через задний
      > доступ), фиксация винтами.

      Там смещение есть и на уровне свода тоже...

      > 2) Скелетное вытяжение сроком до 4 месяцев
      > (для разгрузки сустава).

      Антон, это не описка? Вытяжение на 4 месяца?! А отчего не просто ходьба с костылями без нагрузки на конечность недели через 4, ну 6 от силы?

      > 3) Курс хондропротекторов, витаминов, cосудистых препаратов (в

      Интересно, где-то есть серьезные исследования, выявляющие "удельный вес" названных средств в обеспечении достигнутого результата лечения? Четко показывающие, что именно без них хуже, и насколько? На уровне evidence-based?

      Или все-таки мотивация к их рекомендации ближе к "а вдруг поможет?"? А то IMHO результаты без назначения кому бы то ни было "хондропротекторов,
      витаминов и сосудистых препаратов" за последние годы на уровне practice-based по крайней мере не хуже. Если не лучше...

      [ Ответить ]

     

    ( Ответить )

    Powered by Zope  Squishdot Powered MedLink
    Посетитель: 0392404
      "По форме правильно, а по существу - издевательство" В.И.Ленин
    ©2001-2019Orthoforum Coordinator.
    [ Главная | Отправить сообщение | Поиск | Админ ]