ВХОД ДЛЯ ПАЦИЕНТОВ
вверх
поиск
админ
главная
|
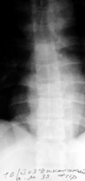
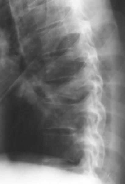
Перелом IX грудного позвонка |
 |
 |
 |
Прислано Alexey Rounkov 19 Июнь 2003, 14:09
из
Мужчина 39 лет, перевернулся в машине 12 июня. Клинически неврологии нет. Нужна ли репозиция и оперативная фиксация этого повреждения? Если нет, то как вести? Спасибо заранее.
Алексей Рунков,
УНИИТО
Обратите внимание: Поля с жирными названиями обязательны.
Старайтесь отвечать в рамках обсуждаемой темы, а не начинать новые обсуждения.
Указывайте адекватную тему сообщения, чтобы было ясно, о чем оно.
Не послайте сообщений не по теме (оффтопик), раздраженных, грубых или обидных комментариев. Здесь это неуместно.
|