вверх
отправить
поиск
админ
главная
|
Несращение бедра на фоне... |
 |
 |
 |
Отправлено Alexander Chelnokov 24 Июнь 2003, 08:54
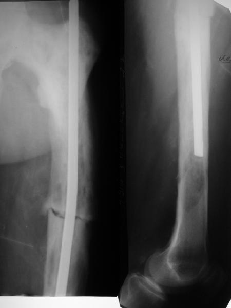
Мужчина 76 лет в феврале оперирован в одной из горбольниц - открытый интрамедуллярный остеосинтез бедра, травму получил при падении. К нам поступил с болью и ощущением подвижности в месте перелома, особенно при ротационных движениях. На снимках, кроме несращения, еще и изменение костной структуры. Чем оно обусловлено? Это не болезнь Педжета?Планируем бедро закрыто перештифтовать. Должно ли это состяние кости как-то повлиять на план? Рассверливать ли канал? Насколько? Гвозди есть от 9 до 12 мм.
<
|
>
|
|
Ответить
|
Re: Несращение бедра на фоне...
James Carr 24 Июнь 2003, 09:12
|
I believe its Pagets. The bone looks larger than normal, along with coxa vara, which is characteristic. Check his alkaline phophatase. In rare instances, you can see aggressive lytic disease (unlikely here), which requires medical Rx to quiet down. Get out your reamers, and put
a big nail in him- the biggest his canal will take. Make it longer, and lock if you don't believe the fixation is snug.
Jim Carr
James B. Carr, MD
Palmetto Health Orthopedics
5 Medical Park Drive
2 West
|
[
Ответить ]
|
Re: Несращение бедра на фоне...
Frederic B. Wilson, M.D. 24 Июнь 2003, 09:13
|
>From the appearance of the x-rays and the description of a fracture after minimal trauma, I would be very concerned about a neoplastic
process. Odds would favor something metastatic and appearance might suggest a combined blastic-lytic lesion. I am particularly concerned about the lytic appearance distal to the end of the rod. I would work up the patient for both neoplastic and metabolic process before proceeding.
After diagnosis treatment options can be considered. Dying to know what this is.
Fred
Frederic B. Wilson, M.D.
Assistant Professor
Trauma and Adult Reconstruction
Department of Orthopaedic Surgery
Tulane University School of Medicine
1430 Tulane Ave., SL32
New Orleans, LA, 70112
|
[
Ответить ]
|
Re: Несращение бедра на фоне...
Chris Wilson 24 Июнь 2003, 09:15
|
The femur is Pagetic.
Check serum Calcium,Urea and Electrolytes.
Aim to use a strong reamed locked nail, as the femur is bowed and union may be slow.
Be prepared for greater than usual blood loss.
Regards
Chris Wilson
University Hospital
Cardiff
UK
|
[
Ответить ]
|
Re: Несращение бедра на фоне...
Ma Zhen-sheng, MD 24 Июнь 2003, 15:23
|
Before dealing with the fracture, I think the first thing should do is to know
whether the fracture is resulted from the neoplasm metastasis, most of this
situation is from lung cancer or prostate cancer in the old aged male. CT-scan of the lung, the prostate, B-ulrosonic detection of the prostate, or cryo-sectioned biopsy pathological examination in the operation, etc. Be prepared with great loss of blood in operation.
With Best Regards!
Ma Zhen-sheng, MD
Department of Orthopedics, Xijing Hospital, 15th Changle West Road,Xi'an 710032,
China
|
[
Ответить ]
|
Re: Несращение бедра на фоне...
Andrea Salvi 24 Июнь 2003, 15:30
|
I think it could be a neoplasy (i.e. a giant cells sarcoma, infact the cortex seems to be thinner or destroyed.). Then the fracture you've seen synthesized with a nail could be a pathologic one. I see on x-rays a destruction of the medullary cavity too.
I advise a CT scan of the chest (because are possible metastasis of the lung).
Best regards,
Andrea Salvi - MD
Spedali Civili di Brescia - BRESCIA - ITALY
Clinica Ortopedica dell'Universitа (Direttore : Prof. U.E. Pazzaglia)
|
[
Ответить ]
|
Re: Несращение бедра на фоне...
Nikolai Wolfson 04 Июль 2003, 12:34
|
Agree, it is likely Paget's. The larger nail, reaming and locking, both distally and poximally, will do the job. Make sure pre op there is no infection. Good luck.
Nikolai
|
[
Ответить ]
|
( Ответить )
|
|