AOTRAUMA.ORG Центр Илизарова  

Ортопедия и травматология Общие вопросы/General questions Help Информационные технологии в медицине
 вверх
 отправить
 поиск
 админ
 главная


Несостоятельность фиксации
Ортопедия и травматология Отправлено Alexander Chelnokov 04 Август 2003, 09:00
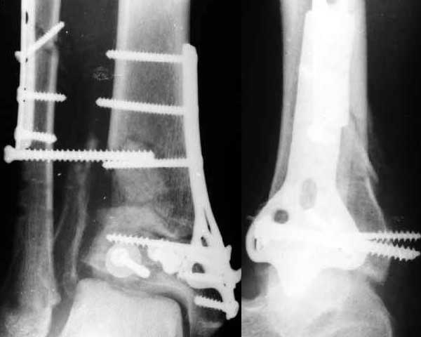
Итог операцииЧерез 1,5 месяца
Полтора месяца назад мужчине 45 лет выполнена открытая репозиция дистального отдела большеберцовой кости и внутренняя фиксация (снимок 1).
На другой ноге - переломы нескольких плюсневых костей. Из-за сопутствующих урологических проблем через две недели перевели в другое учреждение, там был вынужден ходить с костылями с нагрузкой на обе ноги.При контрольной явке к нам через месяц обнаружилась несостоятельность фиксации (снимок 2). Какие выходы их положения можно тут предложить?

<  |  >

 

  • Сообщения о Ортопедия и травматология
  • Также Alexander Chelnokov
  • Связаться с автором
  • Ответить

    Re: Несостятельность фиксации
    Alexander Artemiev 04 Август 2003, 09:09
    Вижу два варианта:
    1. Поскольку положение отломков меняется, несмотря на
    фиксацию, можно, не удаляя импланты, выполнить внешний
    остеосинтез и подержать аппарат хотя бы нели 3, затем его снять и
    наложить гипс до исхода трех месяцев.

    2.Сделать то же самое, предварительно удалив импланты. Но
    при этом возможно дальнейшее смещение отломков, что вызовет
    затруднения при внешенм остеосинтезе.
    [ Ответить ]

    • Re: Несостятельность фиксации
      Отправитель: Alexander Chelnokov 04 Август 2003, 17:55
      Наверно, потянуть только за стопу, чтобы лигаментотаксисом вернуть положение? Если пытаться за дистальный эпиметафиз спицами уцепиться, не уверен, что удастся - из-за оставшегося на месте наружного края большеберцовой кости...

      [ Ответить ]
      • Re: Несостятельность фиксации
        Отправитель: Alexander Artemiev 05 Август 2003, 09:23
        В двух словах - да, за стопу.
        Подробнее описать вряд ли смогу.
        Сейчас начинаю понимать достинства кодификации.
        С уважением Александр Артемьев

        [ Ответить ]
    Re: Несостятельность фиксации
    Лазарев Анатолий Федорович 04 Август 2003, 17:04
    Попробуй легонечко болт-стяжку - закрепить наружный отломок б/б кости.
    Остальное стоит не плохо. Дефект можно заполнить аутокостью или остеоиндукторами синтетического производства. Все не так уж плохо. Ц.П. Л.А.
    Федорович.
    [ Ответить ]

    • Re: Несостятельность фиксации
      Отправитель: Alexander Chelnokov 04 Август 2003, 17:56
      АЛ> Попробуй легонечко болт-стяжку - закрепить наружный отломок б/б
      АЛ> кости. Остальное стоит не плохо.

      Все-таки суставная площадка основательно "подсела", хотелось бы вернуть
      утраченное. Наверно, как коллега Артемьев предлагает, попробуем наложить аппарат, не убирая "железа". А идея про болт-стяжку интересная, спасибо, будем ее думать. И отверстия в пластинке под нее, в принципе, есть, и мимо нее можно... И так будет держать... И этак...

      АЛ> Дефект можно заполнить аутокостью или остеоиндукторами
      АЛ> синтетического производства. Все не так уж плохо.

      Не очень хочется у больного с цистостомой и угрозой мочевой инфекции идти на повторную немаленькую операцию.

      [ Ответить ]
    Re: Несостятельность фиксации
    Андрей 04 Август 2003, 21:27
    Убрать позиционный шуруп, пластинку на м\б кости заменить на более длинную(судя по снимку - в начале операции что-то в этом роде пытались поставить),
    и между 2-мя пластинками поставить болт-стяжку.
    Суставную пов-ть опустить, костный дефект заполнить
    спангиозными "чипсами". Кстати, по-моему суставная пов-ть просела не только из-за ранней нагрузки, но и из-за оставленного костного дефекта. В таких случаях не надо стесняться костной пластики при первичных остеосинтезах. Чем больше - тем лучше.
    С уважением Андрей.
    [ Ответить ]

    Re: Несостятельность фиксации
    Владимир Святенко 04 Август 2003, 21:45
    Возможно, кольцевой аппарат наружной фиксации + спицы с упорными площадками ? (хотя уже прошло 1,5 мес);
    Еще вариант - ограничить нагрузку на 2 - 3 недели, потом удаление всего металла с повторным синтезом только наружной лодыжки и стабилизацией синдесмоза в сочетании с костной пластикой ?
    Владимир.
    [ Ответить ]

    Re: Несостятельность фиксации
    James Carr 05 Август 2003, 13:20
    Is he diabetic (or pre diabetic and doesn't know it??). I would go lateral through fibular incision - assuming healing, and plate from lateral. I would also pay attention to the syndesmosis, as this may require some fixation. If he is a diabetic, the issue is more cloudy.
    I would still probably fix it. This guy then gets a bent knee long leg cast for 6 weeks postop.

    Jim
    [ Ответить ]

    • Re: Несостятельность фиксации
      Отправитель: Alexander Chelnokov 05 Август 2003, 15:30
      JC> Alex Is he diabetic (or pre diabetic and doesn't know it??).

      No.

      JC> I would go lateral through fibular incision - assuming healing, and
      JC> plate from lateral.

      Wouldn't it lead to excessive devascularization of the distal tibia?

      JC> I would also pay attention to the syndesmosis, as this may require
      JC> some fixation.

      So i keep in mind an external fixator and closed isertion of 1-2 thin bolts to compress the syndesmosis...

      JC> would still probably fix it. This guy then gets a bent knee long
      JC> leg cast for 6 weeks postop.

      Or bridging ex-fix?

      [ Ответить ]
    Re: Несостятельность фиксации
    Sami Bajwa 05 Август 2003, 13:22
    There has been a segmental fracture of fibula and damage to talar dome as well.
    I would suggest changing the Fibular plate to a bridging 3.5 DCP and using two holes to put two diastasis screws to reduce the tibiofibular gap.
    The other option is to gradulayy close the gap with the help of two ring Ilizarov frame and Olive wires-provided you are lucky and the wires dont cut
    Though also it may be difficult to use an Ex-fix in a non-cooperative patient.
    Sami
    [ Ответить ]

    • Re: Несостятельность фиксации
      Отправитель: Alexander Chelnokov 05 Август 2003, 15:30
      It doesn't look like the fibula needs re-fixation. So maybe try ligamentotaxis by external fixator and then the diastasis screws through empty holes of the tibial plate?

      [ Ответить ]
      • Re: Несостятельность фиксации
        Отправитель: Marco Berlusconi 09 Август 2003, 22:07
        I think that you can obtain very little result with ligamentotaxis so,in my opinion, you have 2 options:
        1. new ORIF with these steps: A) longer fibular plate (6 or 7 holes without the interfragmentary screw. B) with a severe look at the skin condition, rebuild the distal tibia with open reduction using the lateral edge as a parameter of the reduction. A Weber clamp should maintain the reduction of the epiphysis and a 6.5 all threaded cancellous screw shoul substitute the weber clamp. Now you can add either a new AO LCP pilon plate with combined 3.5 and 4.5 holes or a 3.5 T-LCP - 5 holes plate for the lateral column and a contoured 4.5 LCP plate - 8 holes for the medial column C) return to the fibular side and
        put, trough the lateral plate, one single 4.5 cortical screw in order to stabilize the sindesmosis (even if, really, the Chaput tubercle should be kept in place by your lateral column plate).
        2. You can think that this will be a lost ankle and so you can do an ankle fusion.
        Let me know your decision
        Best regards
        Marco Berlusconi
        Trauma unit
        Istituto Ortopedico Galeazzi Milan Italy

        [ Ответить ]
    Re: Несостятельность фиксации
    Tom DeCoster 05 Август 2003, 13:26
    This is a BIG problem, that fortunately is somewhat less common now than 10 years ago. The fibula and a large piece of distal lateral tibia are now displaced laterally about 1 cm. It is difficult to assess how well reduced the tibia articular surface was and is. You might consider:

    1. What is the status of the soft tissues? Range from grossly infected with tissue loss to healing OK with surgical scars. Many somewhere in between but the soft tissue slough is a common and BIG problem. You haven't mentioned much about this.

    2. What is the status of the patient? Diabetic?, compliant?, smoking? etc.

    3. What is the status of the fixation? Is it solid or grossly loose? This appears somewhere in between with perhaps syndesmosis instability but the other fixation (fibula, tibia articular surface, tibia meta-diaphysis ?OK)

    4. What is the status of the reduction. Again, syndesmosis very wide but other (fibular length, tibia articular surface, tibia alignment, talus beneath plafond) seems OK.

    5. What is your risk tolerance? Individualized to patient and surgeon. How much risk of BKA are you willing to take to try to get somewhat improved ankle function.


    I believe this may be salvage mode and a good ultimate result will be a preserved foot and ankle fusion. So be careful about doing too much that might result in infection, multiple operations and BKA. If soft tissue OK, patient
    OK, reduction and fixation failure limited to sydesmosis etc then you could try repeat syndesmosis reduction and new fixation. Perhaps 2 screws with bicortical tibia and fibula purchase supplemented by enforced NWB (bent knee LLC vs other).

    TD
    [ Ответить ]

    • Re: Несостятельность фиксации
      Отправитель: Alexander Chelnokov 05 Август 2003, 15:31
      TAC> 1. What is the status of the soft tissues? Range from grossly

      No problem.

      TAC> 2. What is the status of the patient? Diabetic?, compliant?, smoking? etc.

      He is smoker, non-diabetic, but with cystostoma and a lot of WBC in urine. Now looks compliant, at least doesn't weight-bear the leg.

      TAC> 3. What is the status of the fixation? Is it solid or grossly
      TAC> loose? This appears somewhere in between with perhaps syndesmosis
      TAC> instability

      Exactly.

      TAC> but the other fixation (fibula, tibia articular surface, tibia
      TAC> meta-diaphysis ?OK)

      At least he is now without external immobilization, moves to/from bed/wheelchair without sense of instability.

      TAC> 4. What is the status of the reduction. Again, syndesmosis very wide but
      TAC> other (fibular length, tibia articular surface, tibia alignment, talus beneath
      TAC> plafond) seems OK.

      Yes. Looks like pure depression of the grafted metaphyseal part. Of course along with separation of the lateral aspect (plus syndesmosis and tibia).

      TAC> 5. What is your risk tolerance? Individualized to patient and surgeon. How
      TAC> much risk of BKA are you willing to take to try to get somewhat improved

      I suppose here to avoid procedures where the risk can't be so small to be neglected.

      TAC> OK, reduction and fixation failure limited to sydesmosis etc then
      TAC> you could try repeat syndesmosis reduction and new fixation.

      It seems to me the articular tilt should be restored.

      TAC> Perhaps 2 screws with bicortical tibia and fibula purchase
      TAC> supplemented by enforced NWB (bent knee LLC vs other).

      Yes, the screws can be inserted through stab wounds. My concern is what to do if closed foot distraction wouldn't provide "elevation" of the
      articular surface.

      [ Ответить ]
      • Re: Несостятельность фиксации
        Отправитель: Tom DeCoster 06 Август 2003, 14:38
        It sounds like we are of similar opinion on this case. I didn't notice the collapse of the metaphyseal bone graft and talar tilt but upon re-review of the radiograph I see what you mean. I haven't had ANY luck successfully repairing this situation. Half the time it still doesn't look right on the post op x-rays (?perhaps inadequate surgeon-me). Half the time it collapses later and the other half (sic) it doesn't matter because they develop some other greater problem like totally degenerative joint.
        After looking at these fragments in acutely operatively treated distal tibia fractures and seeing no soft tissue attachment (all the depressed articular pieces are clearly without soft tissue attachment and many of the cortical
        pieces are quite alone) I wonder if a big part of the problem isn't avascularity of the fragments. When I have gone back in late, the pieces often look like unincorporated bone graft, just sitting there. Even if I restore some semblance of a normal plafond the fragments seem to behave like femoral head grafts I
        once used to supplement deficient acetabulae for total hips- it looks OK for a while but eventually melts away.

        I'm not saying it's impossible to restore the joint and obtain a good result at this point, but I've never been successful once it gets to this stage.

        There is no situation so bad that it can't be made worse by a well-meaning orthopedist.

        TD

        [ Ответить ]
    Re: Несостятельность фиксации
    M. Bryan Neal 05 Август 2003, 23:04
    cast him and wait. Deal with the residual at a later date. He had his chance.

    Sincerely and respectively,



    M. Bryan Neal, MD
    Arlington Orthopedics and Hand Surgery Specialists, Ltd.
    1100 W. Central Road, Suite 304
    Arlington Heights, Illinois 60005
    [ Ответить ]

    Re: Несостятельность фиксации
    Nikolaj Wolfson 06 Август 2003, 09:32
    1. Whould be interesting to see pre-op X ray.
    2. The reduction is rather - mal-reduction:
    Syndesmosis screw is pushing against the tibia and widening the Tibio-fibular space and Ankle Mortise.
    3. Medial distal tibial fracture is fixed with a plate which is know to cause skin necrosis - it is a big problem.

    For all of the above: do CT scan( can be done even in the presence of the metal), and remove the hardware( plates and screws). Reduce the fragments anatomically and fix with either low profile( if availible) plate or small wire External Fixator plus screws. Do it as soon as possible, before soft tissue problems are worse.
    Antibiotics coverage is a must for more than 24 hours( urinary problems may contribute to this issue and infection risk).
    Goood luck
    Nikolaj Wolfson,
    Thornhill, Ontario, Canada
    n.wolfson@rogers.com
    [ Ответить ]

    • Re: Несостятельность фиксации
      Отправитель: Alexander Chelnokov 07 Август 2003, 12:54
      > 1. Whould be interesting to see pre-op X ray.

      Attached.

      > 2. The reduction is rather - mal-reduction: Syndesmosis screw is
      > pushing against the tibia and widening the Tibio-fibular space and

      In short - no, it was pure position screw, fragments didn't move after its insertion.

      > 3. Medial distal tibial fracture is fixed with a plate which is know to
      > cause skin necrosis - it is a big problem.

      In this case the wound healed uneventfully.

      > For all of the above: do CT scan( can be done even in the presence of
      > the metal), and remove the hardware( plates and screws). Reduce the

      Something similar we discussed after first glance but recognized the plan as too risky, this is why the case is being discussed... Anyway
      thanks for your input. Looking forward to hearing from you.


      Кликните для загрузки файла get_image.jpg
      30KB (30760 bytes)

      [ Ответить ]
    • Re: Несостятельность фиксации
      Отправитель: Evgueny Tchekashkine 08 Август 2003, 08:32
      Уважаемые коллеги, здравствуйте !

      Интересная дискуссия получается Личный опыт лечения метаэпифизарных переломов тибии и предствленный случай подтверждают точку зрения о
      комбинированном подходе к фиксации высокоэнергетических (многосокольчатых) ереломов тибиального плафонда т.е. сочетании внешнего фиксатора с ограниченной внутренней фиксацией. Видимо, данные Ruedi and Allgower о 80% успешного исхода после внутренней фиксации основаны на применении этого метода при низкоэнергетических переломах (1 и 2 тип по их
      же классификации). При 3 типе (split- depression + comminution) такой высокий процент хороших результатов вряд ли можно получить т.к физически
      невозможно достичь стабильной фиксации всех фрагментов особенно центрального и латерального отделов плафонда - что мы и имеем в данном случае: послеоперационная Рг - демонстрирует вроде бы анатомичную реконструкцию суставной поверхности, хотя, при более близком ассмотрении - сохраняется диастаз и смещение по высоте между Chaput tubercle и основным суставным фрагментом. Межфрагментарный винт, проведенный через м.б. кость в метафиз б.б., по всей видимости, не * зацепился* за медиальный кортекс и как результат этого все вернулось к тому же положению отломков, что и было изначально. Согласен с Александром Артемьевым, что внешняя фиксация в данной ситуации была бы предпочтительна: стержневая ( 2 Шанца в б.б. кость IV- VI уровни по Соломину и по одному винту в пяточную и таранную кости) или в аппарате Илизарова - дистракция по продольной оси б.б кости с встречно-боковой компрессией через м.б. и б.б. кости. Если состояние мягких тканей позволяет, то после устранения вальгусного наклона тарана можно выполнить костную пластику передне-наружного дефекта б.б кости. I do agree with Nikolaj about potential risk of developing skin flap problems fortunately first procedure did lead to any of known complications so I would not challenge it again at this stage. Once I have used subcutanous plating of tibial pilon fracture from anterior approach. it worked quite well. The only disadvantage is X-ray loading during the surgery. I will appreciate if collegues will share their experience of utilising such
      technique. В заключении: все выглядит просто на бумаге, хотелось бы , что бы и в операционной все так же легко работало :-))
      Удачи
      Всего доброго,
      Евгений Чекашкин

      PS Hello, Nikolaj

      I have sent a letter to you sometime ago and I wonder if you have received it?

      [ Ответить ]
    Re: Несостятельность фиксации
    Dr Gobinder Singh 06 Август 2003, 14:52
    Firstly, I must congratulate you on your classical AO fixation of C3 pilon fracture! I am surprised that an Ilizarov expert did not do a hybrid fixation, which I have been tending to do now for complex peri-articular fractures, because of less worry about soft tissue handling, periosteal stripping, and consequent infection and non-union.

    The problem is complete loss of the ankle mortice now, 6 weeks down the line.
    There will be considerable scar tissue where the distal tib-fib joint should be and I would personally offer this patient open excision of scar tissue, and closure of the diastasis with 2 screws for another 6 weeks.

    I would also bear in mind that he may well require an ankle arthrodesis in future...

    Good Luck,
    Gobinder
    [ Ответить ]

    Re: Несостятельность фиксации
    Вадим Найданов 08 Август 2003, 00:09
    Вы знаете, я опасаюсь, что при активной тактике лечения можно получить неудовлетворительный результат. Наверняка имеются в большей или меньшей степени нейротрофические нарушения на оперированной ноге. Если целостность кожных покровов голени и стопы не нарушена, проведите хорошую реабилитацию того, что имеете. Разработайте этот голеностоп при условии отсутствия нагрузки, улучшите трофику тканей, их подвижность и эластичность. Вам необходимо поставить больного на другую ногу. По срокам, надеюсь с плюсневыми костями другой стопы большой проблемы не будет. В данной ситуации время работает на Вас и пациента. К тому же будет время и шанс решить мочевые проблемы. Проведите сосудистую, противовоспалительную терапию, массаж, ЛФК, 2 - 3 проводниковые анестезии с лечебной целью. А через 1 - 2 месяца можно смело приступить к оперативному лечению. В данной ситуации, на мой взгляд, реальнее удаление всего металла. Если необходимо, остеотомия на уровне деформации с костной пластикой и фиксация аппаратом Илизарова с компрессией межберцового синдесмоза спицами с упорными площадками. Если без костной пластики, то идти заведомо на укорочение голени с резекцией м/берцовой кости, т.к. если использовать удлиняющие аппаратные методы, можно потерять голеностоп. А вообще, если избирете начальную консервативную тактику, то картина может измениться и необходим будет другой метод.
    [ Ответить ]


    ( Ответить )

    Powered by Zope  Squishdot Powered MedLink
    Посетитель: 0372457
      "По форме правильно, а по существу - издевательство" В.И.Ленин
    ©2001-2019Orthoforum Coordinator.
    [ Главная | Отправить сообщение | Поиск | Админ ]