AOTRAUMA.ORG Центр Илизарова  

Ортопедия и травматология Общие вопросы/General questions Help Информационные технологии в медицине
 вверх
 отправить
 поиск
 админ
 главная


Костная киста?
Ортопедия и травматология Отправлено Алексей Величко 03 Октябрь 2003, 11:52
12
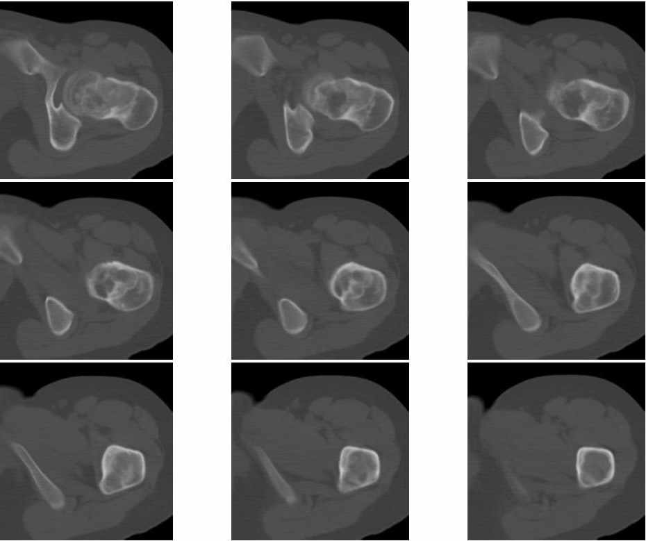
Молодая женщина 18 лет, последние 3 года стали беспокоить боли в левом тазобедренном суставе.
На рентгенограмме, утолщена шейка бедра и в шейке участок просветления. При КТ шейка утолщена на 9мм, в шейке полость24х21мм, стенки полости неровные и нечеткие, за пределы коркового слоя полость не выходит. Плотность содержимого полости 43 ед.Н. Предположительно должна быть солитарная киста шейки бедра, но смущает неровность и нечеткость контуров стенок. Ваше мнение господа? Какой предложите доступ для биопсии.Приложена первая серия снимков.

<  |  >

 

  • Сообщения о Ортопедия и травматология
  • Также Алексей Величко
  • Связаться с автором
  • Ответить

    Re: Костная киста?
    Йоси Воск 05 Октябрь 2003, 13:12
    На мой взгляд, нормальный, т.е. чёткий и захватывающий по крайней мере верхнюю треть бёдр. костей рентген-снимок может дать совершенно необходимую информацию. По-моему, щредставленные СТ просто непригодны для серьёзного анализа.

    Й.Воск
    [ Ответить ]

    • Re: Костная киста?
      Отправитель: Алексей Величко 06 Октябрь 2003, 09:12
      Рентгенограмму приложить не могу, а нас аапараты РУМ-20, а вот увеличенную топограмму пожалуйста.

      Кликните для загрузки файла 1.jpg
      19KB (19516 bytes)

      [ Ответить ]
    Re: Костная киста?
    Evgueny Tschekashkin 08 Октябрь 2003, 19:48
    Помимо верификации отеолитического фокуса, мне думается - профилактический остеосинтез, так как хоть окружающая кость и реагирует гиперплазией, но
    вероятность патологического перелома шейки нельзя не дооценивать.
    Я бы подумал или о DHS или просто фиксация спонгиозными винтами, а образовавшуюся костную стружку отправил бы на гистологию. В литературе, да и из своего скромного опыта знаю, что солитарные костные кисты хорошо регенирируют после их кюрретажа или рассверливания. Поэтому при такой тактике одновременно решаются два момента: профилактика перелома и одновременно - биопсия.

    Удачи ,
    Евгений Чекашкин
    [ Ответить ]

    Re: Костная киста?
    Виталий Евгеньевич Казеннов 13 Ноябрь 2003, 19:37
    Уважаемые коллеги!

    Направляю Вам заключение доцента кафедры лучевой диагностики ДВГМУ Лупаенко Игоря Яковлевича:

    "У пациентки имеется гигантоклеточная опухоль области шейки и головки левого бедра.
    Предпочтительный доступ для биопсии, по нашему мнению, - через большой вертел, не вскрывая суставной сумки.
    Оперативное лечение обязательно, т.к. велика вероятность наступления патологического перелома.
    Просим сообщить о результатах биопсии и лечения."

    С наилучшими пожеланиями,

    Казеннов В.Е.

    [ Ответить ]


    ( Ответить )

    Powered by Zope  Squishdot Powered MedLink
    Посетитель: 0186561
      "По форме правильно, а по существу - издевательство" В.И.Ленин
    ©2001-2019Orthoforum Coordinator.
    [ Главная | Отправить сообщение | Поиск | Админ ]