AOTRAUMA.ORG Центр Илизарова  

Ортопедия и травматология Общие вопросы/General questions Help Информационные технологии в медицине
 вверх
 отправить
 поиск
 админ
 главная
 Предыдущее


Re: Неудачный остеосинтез голени гвоздем
Bill Burman 18 Декабрь 2003, 09:11
Bob Winquist gives a good OTA Basic Fx course talk on how to avoid valgus nailing of proximal tibial fractures with much emphasis on starting point -
see:
http://www.hwbf.org/ota/bfc/winq2/ft004.html

Bill Burman, MD
HWB Foundation
  • Сообщения о Ортопедия и травматология
  • Также Bill Burman
  • Связаться с автором
  • Ответить

    Re: Неудачный остеосинтез голени гвоздем
    Alexander Chelnokov 20 Декабрь 2003, 12:38
    THX for the good source. We use an "alternative" technique - a small wire distractor which allows to avoid this problem rather easily. And i guess it could help in the case but the patient is far from here.
    [ Ответить ]

    • Re: Неудачный остеосинтез голени гвоздем
      Отправитель: Sathis Chandran 21 Декабрь 2003, 23:31
      Thank you very much for presenting this case. The discussion following it very informative.
      Will not the wires of this Exfix interfere with reaming and nailing?

      Dr Sathis Chandran

      [ Ответить ]
      • Re: Неудачный остеосинтез голени гвоздем
        Отправитель: Alexander Chelnokov 21 Декабрь 2003, 23:34
        The proximal wire is behind the nail, the distal one is lower.

        [ Ответить ]
        • Re: Неудачный остеосинтез голени гвоздем
          Отправитель: Enes M. Kanlic 22 Декабрь 2003, 08:36
          I have to comment it again, It is better to use one method right than to combine two methods wrong.
          If you are comfortable using ring wire fixation, than use it right and it will work.
          As I discussed before, it is easily possible to make it right with nail (slides of three ways to do it right with nail were attached in my pervious discussion).
          Getting the transfixing thin wires close to the nail you are creating a high risk of bringing the infection (tracking on the wires) to the nail and eventually spreading it all the way into medullary canal.
          Make it simple and make it right, please.

          Sincerely,

          Enes M. Kanlic, MD, PhD
          Associate Professor at TTUHSC
          El Paso, Texas

          [ Ответить ]
          • Re: Неудачный остеосинтез голени гвоздем
            Отправитель: Alexander Chelnokov 22 Декабрь 2003, 08:41
            To date we have experience of more than 300 cases of intra op small wire distractors for closed nailing of all long bones with no case of wire track and related infection. The risk is more actual mostly for post op combination of ex fix + nail, especially if wires are contacting the nail, or close to that - i met such a case in the humerus few years ago.

            [ Ответить ]
    Re: Неудачный остеосинтез голени гвоздем
    William T Obremskey 20 Декабрь 2003, 12:58





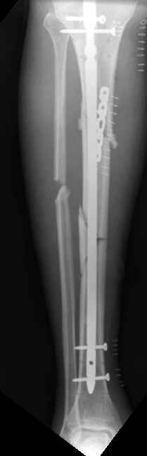
    1

    2

    These can be challenging. I agree w/ all Dr. Carr's points. My preference to prevent the deformity is to use an anteromedial plate. See attached case.

    Bill

    William T Obremskey MD MPH
    Vanderbilt University
    Orthopedic Trauma Division
    131MCS 2100 Pierce Ave
    Nashville, TN 37232-3450
    [ Ответить ]

    • Re: Неудачный остеосинтез голени гвоздем
      Отправитель: Alexander Chelnokov 20 Декабрь 2003, 13:03
      Do you suppose reduction by temporary external fixator is less successful or more harmful/risky than site opening and plate placement? How dynamization here is performed if necessary?

      [ Ответить ]
      • Re: Неудачный остеосинтез голени гвоздем
        Отправитель: William T Obremskey 20 Декабрь 2003, 13:04
        The temporary ex fix is a good idea. I have used it for shaft fxs when an assistant is not available. I think it would be more difficult to control the proximal fragment intra and post op w/ a temporary fixator of any kind w/ these proximal fxs. Surgeons in North America are also in general less familiar w/ thin wire fixators.
        Healing has not been a problem in these proximal metaphyseal fxs and dynamization not necessary. Dynamization could also be done in the segmental shaft component if needed.

        Bill

        [ Ответить ]
        • Re: Неудачный остеосинтез голени гвоздем
          Отправитель: Alexander Chelnokov 23 Декабрь 2003, 00:18
          OWT> The temporary ex fix is a good idea. I have used it for
          OWT> shaft fxs when an assistant is not available.

          Yes, sterile team can include only a surgeon and a nurse.

          OWT> I think it would be more difficult to control the proximal
          OWT> fragment intra and post op w/ a temporary fixator of any kind w/
          OWT> these proximal fxs.

          I mean ex fix only intraoperatively, post op alignment is kept by the nail and locking screws. A poller screw(s) can be also added after nail insertion prior fixator removal if any doubts.

          OWT> Surgeons in North America are also in general less familiar w/
          OWT> thin wire fixators.

          :-) I think it was so 10-15 years ago because to date there is a lot of highest quality papers on the topic from North America.

          OWT> metaphyseal fxs and dynamization not necessary. Dynamization
          OWT> could also be done in the segmental shaft component if needed.

          The plate still remains a splint preventing axial compression. Of course i don't have any proves that this is crucial in the particular сircumstances.

          [ Ответить ]

     

    ( Ответить )

    Powered by Zope  Squishdot Powered MedLink
    Посетитель: 0190009
      "По форме правильно, а по существу - издевательство" В.И.Ленин
    ©2001-2019Orthoforum Coordinator.
    [ Главная | Отправить сообщение | Поиск | Админ ]