AOTRAUMA.ORG Центр Илизарова  

Ортопедия и травматология Общие вопросы/General questions Help Информационные технологии в медицине
 вверх
 отправить
 поиск
 админ
 главная


Лучевая косорукость
Ортопедия и травматология Отправлено Леонид Н. Соломин 18 Декабрь 2003, 22:38
1234
Уважаемые коллеги,
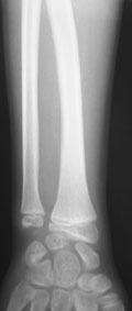
11-летний любитель лазить по деревьям 7 месяцев назад получил открытый дистальный остеоэпифизеолиз левого луча. ПХО была сделана с трудом; о репозиции, со слов, и не помышляли. Неделю назад удалось открыто адаптировать костные фрагменты, фиксировать аппаратом. Сразу сделали кортикотомию в/3 луча. Начали его удлинение. Вопрос: учитывая отсутствие дистальной зоны роста стоит ли "переудлинить" луч? Если да, то на какую величину?
Заранее благодарен,
Л.Соломин


<  |  >

 

  • Сообщения о Ортопедия и травматология
  • Также Леонид Н. Соломин
  • Связаться с автором
  • Ответить

    Re: Лучевая косорукость
    Alexander Chelnokov 21 Декабрь 2003, 09:24
    Я вопрос переправил нашему шефу детской клники, он пока думает.
    Мой же вариант (ничем, кроме здравого смысла, не обоснованный) - восстановить взаимоотношения в дистальном луче-локтевом сочленении и сделать эпифизиодез дистального отдела локтевой кости П-образной скобой. Недостатки - потеряется один уровень зон роста, что приведет к укорочению, но ведь остальные зоны роста останутся, так что укорочение не должно быть "вопиющим". Ну и плюсы - не надо повторых операций, не будет лишнего "жамканья" луче-локтевого сочленения, не надо будет беспокоиться о косорукостях...
    [ Ответить ]

    Re: Лучевая косорукость
    Пулатов А.Р. 21 Декабрь 2003, 10:51
    Уважаемый коллега, на мой взгляд целесообразно компенсировать укорочение лучевой кости, или незначительно переудлинить (5мм), а в отдалённом периоде ближе к окончанию формирования скелета, провести дистракцию лучевой кости на дистальном уровне.
    Пулатов А.Р.
    [ Ответить ]

    Re: Лучевая косорукость
    Леонид Н. Соломин 29 Декабрь 2003, 22:15




    HNY!!!


    Благодарю высказавших свое мнение по поводу "лучевая-косорукость".
    Всех - с наступающим Новым Годом и Рождественскими праздниками!

    Л.Соломин

    195427, С.-Петербург,
    ул. акад. Байкова, 8,
    ГУН РосНИИТО им. Р.Р.Вредена
    Соломин Леонид Николаевич, д.м.н.
    [ Ответить ]

    Re: Лучевая косорукость
    Владимир Старостенко 01 Январь 2004, 16:07
    как видно из Р снимков, дистальная ростковая зона повреждена. делать эпифизеодез думаю что не целесообразно. лучелоктевая косорукость преопределена, поэтому востановление придеться делать в несколько этапов. величину гиперкоррекции предусмотреть трудно не зная темпов роста, думаю что впределах 5-10мм. С уважекнием Владимир Старостенко. купянск .Харьковской. Украина



    [ Ответить ]

    • Re: Лучевая косорукость
      Отправитель: Курышев 03 Январь 2004, 01:16
      Здравствуйте, уважаемый коллега!
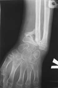
      Глядя на предложенные снимки, сразу же возникает вопрос о необходимости открытого сопоставления отломков лучевой кости. Мне кажется, репозицию возможно было бы сделать и ваппарате Илизарова с использованием смещенных шарниров и этапной дистракции без выполнения разреза. Росковый хрящ, скорее всего, большей частью погиб. Но в аппарате Вы могли срепонировать и стабилизировать отломки, восстановить на время соотношение лучевой и локтевой костей в лучезапястном суставе, пусть даже дозированной осевой дистракцией.
      Маленькое замечание: кортикотомия произведена (кажется так по снимку) в невыгодном с точки зрения кровоснабжения кости месте. Дитракция в аппарате приведет к сдавлению не растянутого в аппарате лучезапястного и межзапястного суставов (спица за пястные кости не проведена).
      Успехов в работе!
      С уважением. Москва. ТДГБ

      [ Ответить ]
      • Re: Лучевая косорукость
        Отправитель: Леонид Н. Соломин 04 Январь 2004, 16:38
        Мое упущение - не указал, что одним из "поводов" к открытому вмешательству была необходимость тенолиза разгибателей. На исходной фотографии виден втянутый (спаянный с костью) рубец, вынужденное положение пальцев кисти.
        Повторюсь - на одномоментную репозицию не вполне уповали. Предполагали лишь разъединить фрагменты (срослись, конечно). Но ... потихоньку репозиция получилась - чтож теперь делать :)
        > Маленькое замечание: кортикотомия произведена (кажется так по снимку) в
        невыгодном с точки зрения кровоснабжения кости месте.

        Где бы сделали Вы?

        >(спица за пястные кости не проведена).

        Проведена. Иначе как бы фрагменты удерживались? Через дистальный фрагмент луча спицу предполагаю провести в конце периода дистракции. Если пациента за праздники не увезут обратно в Херсон - есть и такая вероятность. Еще раз благодарю всех.

        Л.Соломин

        [ Ответить ]
        • Re: Лучевая косорукость
          Отправитель: Курышев 07 Январь 2004, 01:53
          Здравствуйте, уважаемый коллега! Простите. что невнимательно рассмотрел рентгенограмму в аппарате (действительно - идет штанга к запястным костям!). В целом понятна идея тенолиза разгибателей,впаянных в рубец, хотя с ним, как мне кажется, можно было и повременить. Остеотомию, будь я на Вашем месте, тоже не торопился бы делать, а потому и не предлагаю Вам варианты ее выполнения. То, что ребенок из другого города существенно, на мой взгляд, затрудняет Вашу задачу. Сами были в таких ситуациях, прекрасно все понимаем (вот и думай как сроки соблюсти и ребенку помочь...).
          Наверное, Вы, в данном случае, все сделали разумно. Хочется уповать на образование хорошего костного регенерата в месте остеотомии. Если будет не трудно - опубликуйте отдаленные снимки результатов лечения на форуме, коль будет такая возможность!
          Бог в помощь!
          С уважением.
          Курышев
          ТДГБ

          [ Ответить ]

     

    ( Ответить )

    Powered by Zope  Squishdot Powered MedLink
    Посетитель: 0000103
      "По форме правильно, а по существу - издевательство" В.И.Ленин
    ©2001-2019Orthoforum Coordinator.
    [ Главная | Отправить сообщение | Поиск | Админ ]