AOTRAUMA.ORG Центр Илизарова  

Ортопедия и травматология Общие вопросы/General questions Help Информационные технологии в медицине
 вверх
 отправить
 поиск
 админ
 главная


Еще один перелом "около фиксатора"
Ортопедия и травматология Отправлено Alexander Chelnokov 14 Январь 2004, 14:54
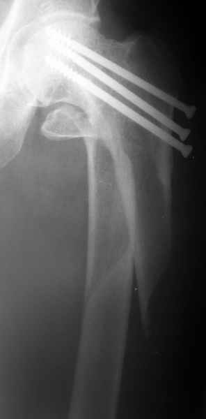
1LateralAnother lateral
Женшина 69 лет оперирована у нас 2 года назад по поводу перелома шейки. Ходила дома без дополнительной опоры, на улице - с тростью.Сегодня утром села мимо табуретки. Поскольку наша бывшая пациентка, сегодня же из области родственники привезли к нам. Картинка в приложении. Какие будут предложения по тактике?


<  |  >

 

  • Сообщения о Ортопедия и травматология
  • Также Alexander Chelnokov
  • Связаться с автором
  • Ответить

    Re: Еще один перелом "около фиксатора"
    Дрягин Виталий 14 Январь 2004, 18:04
    Я бы убрал винты и поставил DCS c пластиной на 12-14 отверстий и винтом 65-70 мм.
    [ Ответить ]

    Re: Еще один перелом "около фиксатора"
    Святенко Владимир 14 Январь 2004, 23:41
    Согласен с коллегой , а вариант с меньшими финансовыми затратами и практически с тем же конечным результатом ( несколько повременить с нагрузкой ) - пластина на 12 - 14 отверстий, 2-3 с фиксацией в шейке ( лучше использовать со спонгиозной резьбой на всю длину шурупа ).
    [ Ответить ]

    Re: Еще один перелом "около фиксатора"
    Anatoly A. Yakushin 15 Январь 2004, 08:01
    Удалить винты, поставить UTF.
    [ Ответить ]

    • Re: Еще один перелом "около фиксатора"
      Отправитель: Alexander Chelnokov 15 Январь 2004, 08:03
      А что это за зверь - UTF?

      [ Ответить ]
    Re: Еще один перелом "около фиксатора"
    Chip Routt 15 Январь 2004, 08:30
    A lateral film would help.

    M.L. Chip Routt, Jr.,M.D.
    Professor-Orthopedic Surgery
    Harborview Medical Center
    325 Ninth Avenue
    Box 359798
    Seattle, WA 98104-2499
    [ Ответить ]

    • Re: Еще один перелом "около фиксатора"
      Отправитель: Alexander Chelnokov 16 Январь 2004, 08:17
      See above for the only one available at the moment.

      [ Ответить ]
    Re: Еще один перелом "около фиксатора"
    V. M. Iyer 15 Январь 2004, 08:31
    "There are different ways of skinning a cat" as Anil would put it. If I were to do this, I would open up, remove the earlier implants, reduce the fracture accurately,plan a 90* Richards, do a couple or more of interfrag screws first, in locations where it would not come in the way of the screws of the plate, (which then makes the femur one piece) then complete the Richards fixation.This is in spite of the fact that I am a vehemant interlocker.
    A Sirus nail if guided properly and one gets a reduction can be used too. The different holes in the proximal part of the nail will allow screws in the nck and across the fragments and also lock distally. I might be spending more time doing that than the 90* Richards, but that is one very good way of tackling this. One needs to open only minimally to remove the earlier implants.

    Dr V M Iyer
    . Iyer Orthopaedic Centre,
    103,Railway lines Solapur India.
    [ Ответить ]

    • Re: Еще один перелом "около фиксатора"
      Отправитель: Alexander Chelnokov 17 Январь 2004, 19:02
      VMI> Richards fixation.This is in spite of the fact that I am a vehemant
      VMI> interlocker.

      Why in the case you decided not in favour of nailing?

      VMI> A Sirus nail if guided properly and one gets a reduction can be used too.
      VMI> The different holes in the proximal part of the nail will allow screws in

      I've never met the nail befor - any more info on the technique?

      [ Ответить ]
    Re: Еще один перелом "около фиксатора"
    DR M.A.KHAN 15 Январь 2004, 08:32
    hello

    in my opinion this fracture can be fixed with DHS with long plate after
    removing the screws.

    Regards

    DR M.A.KHAN
    [ Ответить ]

    Re: Еще один перелом "около фиксатора"
    M. Bryan Neal 15 Январь 2004, 13:24
    Perhaps several cerclage wires, then screw removal and IM nail with proximal
    fixation into head.

    Cerlage wires by themselves are tempting but I suspect significant risk of
    failure.


    Sincerely and respectively,



    M. Bryan Neal, MD
    Arlington Orthopedics and Hand Surgery Specialists, Ltd.
    1100 W. Central Road, Suite 304
    Arlington Heights, Illinois 60005
    [ Ответить ]

    Re: Еще один перелом "около фиксатора"
    Bill Burman 16 Январь 2004, 08:08
    See
    another caseof a subtrochanteric fracture through screw holes for femoral neck fracture fixation.

    Bill Burman, MD
    HWB Foundation
    http://www.hwbf.org
    [ Ответить ]

    • Re: Еще один перелом "около фиксатора"
      Отправитель: Tom DeCoster 16 Январь 2004, 08:23
      That's a great case illustration provided by Bill and HWBF and the blade plate/valgus producing osteotomy looks like a good option for Alex's case.
      A particularly interesting aspect of Alex's case is the 2 years since screw placement. We've been leaving proximal screws in place indefinitely for years and haven't seen very many late fractures around them. The problems, if they occur, tend to be loss of fixation or early fracture from distal or large or many drill holes or the occasional arthritic hip requiring screw removal for femoral prosthetic placement. Perhaps this fracture at two years post op is merely a very uncommon and unlucky patient? Or have others seen this specific problem more frequently?

      TD

      [ Ответить ]
      • Re: Еще один перелом "около фиксатора"
        Отправитель: Alexander Chelnokov 17 Январь 2004, 19:03
        TAC> That's a great case illustration provided by Bill and HWBF and the blade
        TAC> plate/valgus producing osteotomy looks like a good option for Alex's case.

        I am not sure abut is it even technically doable in the such fracture with splitiing in frontal plane.
        I wonder why so little colleagues supported option of IM nailing.

        TAC> femoral prosthetic placement. Perhaps this fracture at two years post op is
        TAC> merely a very uncommon and unlucky patient? Or have others seen this specific
        TAC> problem more frequently?

        In our settings it is uncommon injury.

        [ Ответить ]
        • Re: Еще один перелом "около фиксатора"
          Отправитель: Tom DeCoster 17 Январь 2004, 19:10
          Regarding this specific patient, it is quite difficult for me to discern the exact fracture pattern and therefore treatment suggestions. It appears to be a spiral fracture starting just proximal to the less trochanter and extending distally 6 or more cm into the shaft with medial displacement of the distal fragment. The lesser troch is a seperate fragment. The 2 year old femoral neck fracture appears to have healed in good position I really can't tell where the fracture starts laterally, but presumably it's near the distal most screw.
          I can't tell if there is further comminution of the shaft or the greater trochanter. I can barely see the fracture on the lateral radiograph. I'm not sure but I don't see AVN of the femoral head nor OA of the hip. Her overall bone quality appears normal for a 68 year old. I don't see any loosening of the screws but I can't tell for sure.

          The fracture extention well into the shaft makes intramedullary fixation somewhat more appealing than plate fixation and contrasts with the case posted by Bill. A reconstruction nail with proximal locking into the femoral head and neck after screw removal and reduction would be reasonable.

          TD

          [ Ответить ]
          • Re: Еще один перелом "около фиксатора"
            Отправитель: Alexander Chelnokov 20 Январь 2004, 19:24
            Еще одна боковая проекция. На сегодня назначен закрытый интрамедуллярный остеосинтез. Реконструкционного гвоздя для этой больной не нашлось, придется делать обычным.
            Another lateral view. A closed nailing is scheduled for today. No reconstuction nail is available so a usual one is planned.

            [ Ответить ]
    Re: Еще один перелом "около фиксатора"
    Vispi Homi Jokhi 16 Январь 2004, 08:15
    This is a well known complication due to the low entry point of the screws. It is a technical failure rather than Osteoporosis.
    Vispi Jokhi
    [ Ответить ]

    • Re: Еще один перелом "около фиксатора"
      Отправитель: Mihai Roman 16 Январь 2004, 08:21
      could you please explain the mecanical basisi of what you call " technical failure".
      Thank you,
      Mihai Roman

      [ Ответить ]
    • Re: Еще один перелом "около фиксатора"
      Отправитель: Mesud Peco 16 Январь 2004, 08:22
      I strongly disagree with Your opinion. Fracture line start well below both screws, 2 years period is quite long and she "missed a chair",remember.

      [ Ответить ]
    Re: Еще один перелом "около фиксатора"
    Steven Rabin 16 Январь 2004, 08:20
    i'd suggest removal of screws, and fixation with DHS or similar implant.
    [ Ответить ]

    Re: Еще один перелом "около фиксатора"
    Marco Berlusconi 16 Январь 2004, 08:24
    Though you will take off the 3 screws, it's simple to make an ORIF with DCS.

    Best regards
    Marco Berlusconi
    Trauma Unit
    Istituto Ortopedico Galeazzi
    Milan Italy

    [ Ответить ]

    • Re: Еще один перелом "около фиксатора"
      Отправитель: Волокитина Елена 22 Январь 2004, 17:49
      Красиво сделали! Очень приятно Вами, Александр Николаевич, гордиться.

      [ Ответить ]
    Re: Еще один перелом "около фиксатора"
    Alexander Chelnokov 21 Январь 2004, 09:05




    1


    Вчера оперировали - винты удалены через 1 прокол. Затем выполнили закрытый интрамедуллярный остеосинтез без расверливания бесканальным гвоздем 13 мм (реконструкционного для нее не нашлось). Гвоздь заперт статически - в проксимальный отломок 3 винта 6 мм, в дистальный - 1.
    Учитывая варус сросшейся шейки, постарался вальгизировать проксимальный отломок, насколько гвоздь позволил. Результат в приложении. Картина перелома видна лучше, чем на начальных снимках.
    Интересно, что линия перелома не выходила на отверстия от винтов, а была кзади. Комментарии?

    The screws were removed through a stab wound. Then a closed insertion of an unreamed solid nail 13 mm was performed and the nail statically locked - 3 screws 6 mm in the proximal fragment and 1 in the distal.
    Considering varus of the healed neck i tried to get some valgus to the proximal fragment as the nail allowed. The result attached. The fracture pattern can be seen better than in the initial films.
    Any comments?
    [ Ответить ]

    • Re: Еще один перелом "около фиксатора"
      Отправитель: Myles Clough 21 Январь 2004, 13:35
      This looks like a good solution, technically well done and likely to succeed. I hope you will give us some follow-up in 3 months.
      My question (purely to keep the discussion alive :-) is why do you use an unreamed technique? There are now several studies comparing reamed and unreamed femoral nails with increased non-union and mal-union rates in the unreamed group. A recent study from Duke showed that the amount of fat embolism during unreamed nailing was the same as during reamed nailing, measured by Trans Esophageal Echo-cardiogram. So what is the advantage of unreamed nails? In this particular case?
      The following search in PubMed uses the search string (("Femoral Fractures/surgery"[MAJR:noexp] AND "Bone Nails"[MeSH]) AND unreamed[All Fields]) and yields 45 papers mostly on the subject. There are at least three different prospective randomized trials comparing reamed vs unreamed all with the same findings.
      I feel even more strongly on the subject of unreamed tibials nails and deplore the current SPRINT trial. The money would be better spent comparing reamed IM fixation of the tibia to percutaneous plate fixation or ex fix. Is everyone aware that there have never been a randomized prospective trial in closed tibial fractures to show that IM nails are superior to old fashioned AO plates?! Yet we have swung almost completely in that direction. Of course, you could also say that there has never been a randomized controlled trial to show that total hip replacement is better than a Girldlestone; but I submit that the case for nailing tibias is much less secure.
      Myles Clough mylesclough@shaw.ca
      Orthopaedic Surgeon, Kamloops, BC, Canada
      Clinical Instructor, University of British Columbia

      [ Ответить ]
      • Re: Еще один перелом "около фиксатора"
        Отправитель: Alexander Chelnokov 28 Январь 2004, 21:39
        MC> likely to succeed. I hope you will give us some follow-up in 3
        MC> months.

        I'll try.

        MC> My question (purely to keep the discussion alive :-) is why
        MC> do you use an unreamed technique?

        Just because we have only solid nails, and 13 mm is a thickest available one, and due to her osteoporosis the nail passed through the canal without reaming.

        MC> nailing, measured by Trans Esophageal Echo-cardiogram. So what is
        MC> the advantage of unreamed nails? In this particular case?

        I completely agree that for primary nailing the only advantage of unreamed technique is few saved minutes.

        MC> better spent comparing reamed IM fixation of the tibia to
        MC> percutaneous plate fixation or ex fix.

        Do you really suppose this topic is so actual? Differencies looks so self-evident.

        MC> Is everyone aware that there have never been a randomized
        MC> prospective trial in closed tibial fractures to show that IM nails
        MC> are superior to old fashioned AO plates?!

        As i realize the rigorous study design is required for situations where advantages of one technique over another are not so evident.

        MC> randomized controlled trial to show that total hip replacement is
        MC> better than a Girldlestone; but I submit that the case for nailing
        MC> tibias is much less secure.

        Can't enough evidence be provided with retrospective studies?

        [ Ответить ]
        • Re: Еще один перелом "около фиксатора"
          Отправитель: Myles Clough 28 Январь 2004, 21:51
          Alex> Can't enough evidence be provided with retrospective studies?
          >
          The largest metaanalysis on this subject was published in 1999 in the Canadian Journal of Surgery. The following is the
          abstract
          10166. Coles, C. P. and Gross, M.,
          Closed tibial shaft fractures: management and treatment complications. A review of the
          prospective literature. Can.J Surg 43:256-262, 2000.

          OBJECTIVE: To compare the results and complications of the various modalities for treating closed fractures of the tibial shaft described in the prospective literature.

          DATA SOURCES: A MEDLINE search of the English language literature from 1966 to 1999 was conducted using the MeSH heading "tibial fractures." Studies pertaining to the management of closed tibial shaft fractures were reviewed, and their reference lists were searched for
          additional articles.

          STUDY SELECTION: An analysis of the relevant prospective, randomized controlled trials was performed. Studies including confounding data on open fractures or fractures in children were excluded. The 13 remaining studies were reviewed.


          DATA EXTRACTION: Raw data were extracted and pooled for each method of treatment.

          DATA SYNTHESIS: The 13 studies described 895 tibial shaft fractures treated by application of a plaster cast, fixation with plate and screws, and reamed or unreamed intramedullary nailing. Although definitions varied, the combined incidence of delayed and nonunion was lower with operative treatment (2.6% with plate fixation, 8.0% with reamed nailing and 16.7% with unreamed nailing) than with closed treatment (17.2%). The incidence of malunion was similarly lower with operative treatment (0% with plate fixation, 3.2% with reamed nailing and 11.8% with unreamed nailing) than with closed treatment (31.7%). Superficial infection was most common with plate fixation (9.0%) compared with 2.9% for reamed nailing, 0.5% for unreamed nailing and 0% for closed treatment. The incidence of osteomyelitis was similar for all groups. Rates of reoperation ranged from 4.7% to 23.1%. CONCLUSIONS: All forms of treatment for tibial shaft fractures are associated with complications. A knowledge of the incidence of each complication facilitates the consent process. To fully resolve the controversy as to the best method of treatment, a large, randomized, controlled trial is required. This review more precisely predicts the expected incidence of complications, allowing the numbers of required patients to be more accurately determined for future randomized controlled studies

          Highlights are
          - delayed, non-union and malunion lower with plates
          - superficial infection more common with plates
          - deep infection the same for all treatment groups.

          So, no! I don't think the advantages of one technique over another are self-evident; except that unreamed tibial nails seem to be the worst option. I do emphatically think the subject needs to be subjected to rigorous scientific investigation. Since that study closed in 1999 we have begun to use periarticular plates which can be inserted in a closed fashion with just a small opening at top and bottom leaving the blood supply of the fracture fragments undisturbed. On the other hand, perhaps we have become more skilled at doing closed IM rod fixation and so have less malunions.
          See additional Tibial Fracture websites C.M.Court-Brown's 1998 review The management of femoral and tibial diaphyseal fractures AO Publishing Bibliography on treatment of the Tibial Shaft fracture Royal College of Surgeons of Edinburgh summary on Tibial Shaft fractures
          Socioeconomic Burden of Traumatic Tibial Fractures: Nonunion or Delayed Union (Medscape)
          Tibial Fractures Bibliography with abstracts from George Washington University


          Myles Clough


          mylesclough@shaw.ca
          Orthopaedic Surgeon, Kamloops, BC, Canada
          Clinical Instructor, University of British Columbia
          President, Internet Society of Orthopaedic Surgery and Trauma http://www.isost.com

          [ Ответить ]
    • Re: Еще один перелом "около фиксатора"
      Отправитель: V. M. Iyer 21 Январь 2004, 19:03
      Dear Alexander,
      Very well done. This nail that You have used is something new to me. This has different holes proximally than the routine nail. After getting such a good reduction,(which I had not anticipated) if there were more holes beyond the screws that you have put then screws could be introduced thro the nail across the # site too.
      V M Iyer
      . Iyer Orthopaedic Centre,
      103,Railway lines Solapur India.

      [ Ответить ]
      • Re: Еще один перелом "около фиксатора"
        Отправитель: Alexander Chelnokov 28 Январь 2004, 13:30
        VMI> Very well done.

        THX.

        VMI> This nail that You have used is something new to me. This
        VMI> has different holes proximally than the routine nail.

        Only one more proximally to the oval hole.

        VMI> if there were more holes beyond the screws that you have put
        VMI> then screws could be introduced thro the nail across the # site too.

        Sorry, do you mean holes in AP direction? Or where?

        [ Ответить ]
      • Re: Еще один перелом "около фиксатора"
        Отправитель: Alexander Chelnokov 28 Январь 2004, 21:45
        VMI> Very well done.

        THX.

        VMI> This nail that You have used is something new to me. This
        VMI> has different holes proximally than the routine nail.

        Only one more proximally to the oval hole.

        VMI> if there were more holes beyond the screws that you have put
        VMI> then screws could be introduced thro the nail across the # site too.

        Sorry, do you mean holes in AP direction? Or where?

        [ Ответить ]
    • Re: Еще один перелом "около фиксатора"
      Отправитель: Dr. Daga 21 Январь 2004, 19:07
      there are solid and clover leaf nails all over the world.Then why it is that you have only solid nails which atre more prone to breakage.

      with regds,
      Dr.K.P.daga

      [ Ответить ]
      • Re: Еще один перелом "около фиксатора"
        Отправитель: Alexander Chelnokov 28 Январь 2004, 13:29
        Because of AO/Mathys/Synthes activity here, many local vendors offer only rather cheap copies of UFN/UTN. Hollow nails available at the local market are from abroad so more expensive.
        Another reason is higher infection risk with hollow nails after secondary nailing after ex-fix.

        [ Ответить ]
    • Re: Еще один перелом "около фиксатора"
      Отправитель: Михаил Абрахманов 28 Январь 2004, 10:19
      Хорошо.

      Best regards,
      Михаил

      [ Ответить ]
    • Re: Еще один перелом "около фиксатора"
      Отправитель: Tom DeCoster 28 Январь 2004, 13:31
      I would expect that would do well. I'm not sure you can "make" that fracture go into "valgus" to compensate for the neck but it looks quite good.

      TD

      [ Ответить ]
    Re: Еще один перелом "около фиксатора"
    Castro 07 Февраль 2004, 03:15
    Krasivo, pozdravlaio!
    Kastro
    [ Ответить ]


    ( Ответить )

    Powered by Zope  Squishdot Powered MedLink
    Посетитель: 0000146
      "По форме правильно, а по существу - издевательство" В.И.Ленин
    ©2001-2019Orthoforum Coordinator.
    [ Главная | Отправить сообщение | Поиск | Админ ]