AOTRAUMA.ORG Центр Илизарова  

Ортопедия и травматология Общие вопросы/General questions Help Информационные технологии в медицине
 вверх
 отправить
 поиск
 админ
 главная


Giant cell tumor
Ортопедия и травматология Отправлено Ahmed ALSIBAI 08 Февраль 2004, 18:56
12
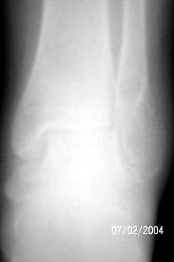
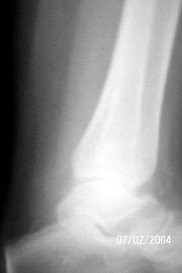
I am attaching an x-ray of 36 - years- old female patient had a cystic lesion with left fibula.
1 yrs back-curettage and bone-grafting elsewhere, for cystic lesion.
Biopsy report: Giant cell tumor – Grade 2
I would appreciate your inputs regarding this case.
Regards
ALSIBAI A. M.D
Orthopaedic and Trauma Surgeon
ALRAZY General Hospital
ALEPPO - SYRIA

<  |  >

 

  • Сообщения о Ортопедия и травматология
  • Также Ahmed ALSIBAI
  • Связаться с автором
  • Ответить

    Re: Giant cell tumor
    Елкин Д. 11 Февраль 2004, 00:53
    Dear collegue.
    In similar cases you can do marginal bone resection (not simple curettage!), which include curettage, economic resection of part of bone around tumor by reamer, electrocoagulation and perforation of internal walls. Then necessary auto-(or allo-)grafting.
    Sorry if I wrong in English.

    Denis Yolkin. Moscow.
    [ Ответить ]

    Re: Giant cell tumor
    dan 04 Март 2004, 00:23
    Dear colleague!
    I advise you to pay attention to ways of treatment cysts a method electrostimulation of reparation osteogenesis at immersing (implantation) electrodes in a cysts cavity as it do(make) in Moscow childs clinics. Difficultly in English to explain all problem. Look publications in Russian science. It is a pity, if I was wrong in English/
    Good luck!
    Alles better!

    [ Ответить ]


    ( Ответить )

    Powered by Zope  Squishdot Powered MedLink
    Посетитель: 0202251
      "По форме правильно, а по существу - издевательство" В.И.Ленин
    ©2001-2019Orthoforum Coordinator.
    [ Главная | Отправить сообщение | Поиск | Админ ]