AOTRAUMA.ORG Центр Илизарова  

Ортопедия и травматология Общие вопросы/General questions Help Информационные технологии в медицине
 вверх
 отправить
 поиск
 админ
 главная


Аномалия 1 п стопы
Ортопедия и травматология Отправлено Глеб Владимирович Коробушкин 18 Февраль 2004, 08:08
12
Больной Д. 28 лет, обратился с жалобами на боли и на наличие свища по подошвенной поверхности 1 п левой стопы. Жалобы беспокоят 1,5 года. Лечился амбулаторно проводились пункции откачивали гной (со слов больного).
Биохимия крови без особенностей, мочевая к-та в норме.
Местно:
Имеется свищ на подошвенной поверхности 1 п лев стопы у основания о/ф 0,3х0,3 см.
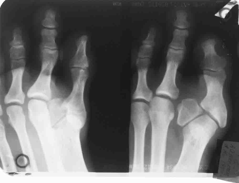
Укорочение 1 п. Смещение о/ф 1 п кнаружи и к тылу. Пассивные активные движения 1 п в полномобъеме. На рентгенограмме определяется аномальная кость.
Вопросы
1 как правильно это назвать?
2 откуда мог взяться свищ, может ли эта аномалия быть причиной формирования свища.
3 что делать?
С уважением
Коробушкин Глеб Владимирович
Российский государственный медицинский университеткафедра травматологии, ортопедии и ВПХ

<  |  >

 

  • Сообщения о Ортопедия и травматология
  • Также Глеб Владимирович Коробушкин
  • Связаться с автором
  • Ответить

    Re: Аномалия 1 п стопы
    Evgueny Tschekashkin 18 Февраль 2004, 12:35
    Спасибо за презентацию.
    Происхождение такого состояния можно теоретически объяснить либо врожденной аномалией оссификации проксимальной фаланги большого пальца (два ядра)-об этом признаться я не слышал и не приходилось встречать в литературе, либо (что выглядит наиболее практичным) - это травма зоны роста в детстве по типу Salter-Harris 1 или 2 типа, что и привело к нарушению нормального роста первого пальца и деформации 1 плюсне-фалангового сустава. Не думаю, что пункциями и АБ можно вылечить сформировавшийся свищ, скорее более успешной тактикой в такой ситуации будет хирургическое иссечение свищевого хода после предварительного введения метиленой синьки. (все прокрашенные ткани иссекаются).
    На мой взгляд, сформировавшийся свищ, явился следствием перегрузки мягких тканей в зоне м-ф сустава в результате его аномального развития, а по сему одним мягко-тканным этапом вряд ли можно будет ограничиться - неизбежно наступит рецидив свища. Поэтому не последним делом будет обсуждение с больным и необходимость артродеза 1 п-ф сустава - это самое простое в техническом плане решение проблемы.
    Артропластика теоретически может быть рассмотрена, но условия для ее выполнения далеко не благоприятны( больше против, нежели за).

    Пламенный привет Исак Зиновьевичу и Елене Анатольевне.

    Удачи,
    Евгений Чекашкин
    [ Ответить ]

    • Re: Аномалия 1 п стопы
      Отправитель: Глеб В. Коробушкин 20 Февраль 2004, 13:04
      Евгений!
      Спасибо за ответ.
      Была выполнена операция. Иссечен свищ. Свищ исходил из дегенеративно измененных тканей капсулы 1 плюснефалангового сустава по всей видимости это возникало из-за натяжения мягких тканей в области аномальной кости. Резецирована кость.
      R граммы вышлю. Вопрос об артодезе или артропластике будет обсуждаться после того, как заживет рана и больной походит

      С уважение Глеб Коробушкин

      [ Ответить ]
    Re: Аномалия 1 п стопы
    Александр Г. Рыков 23 Февраль 2004, 11:32
    1. Судя по снимкам, рентгенограммам и клинике - это хр.остеомиелит ( и хр.артрит) одной из сочленяющихся костей 1ПФС, (я бы уточнил источник), свищевая форма, на фоне аномального развития 1 ПФС (врожденного или приобретенного - сейчас это уже не важно).

    2. А почему нет? Деформация-пролежень - контактный остеомиелит.. или: нарушение анатомии - нарушение кровообращения - микроба в кость - гематогенный остеомиелит (аномальная кость - всегда мишень N1) - для тактики сейчас это уже не имеет значения, важнее зона поражения и ее протяженность.

    3. Я бы лечил сейчас только костную инфекцию по стандартным методикам (найти и удалить очаг, протипировать и убить инфекцию). Если для этого требуется артродез - делать, если нет - оставить на потом все реконструкции и переделки анатомии.

    Привет всем. С праздником 23 февраля.

    А. Рыков. Хабаровск.
    [ Ответить ]

    Re: Аномалия 1 п стопы
    Глеб В. Коробушкин 24 Февраль 2004, 08:46




    1

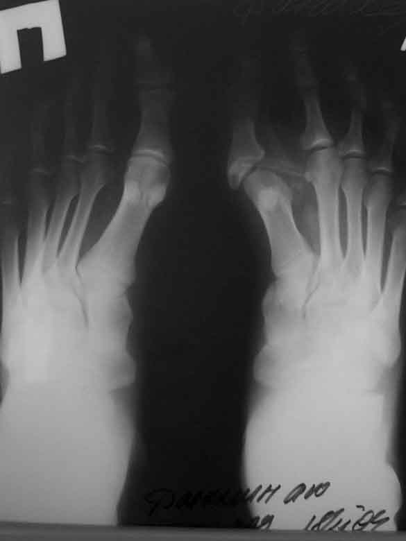
    Прилагаю послеоперационные рентгенограммы.
    Планирнуем использовать приводящуюю шину для 1 п.
    Вопрос о проведении реконстрнуктивных операций на костях поднимем при наличии жалоб.

    С уважением
    Коробушкин Глеб Владимирович
    Российский государственный медицинский университет
    кафедра травматологии, ортопедии и ВПХ
    [ Ответить ]


    ( Ответить )

    Powered by Zope  Squishdot Powered MedLink
    Посетитель: 0390050
      "По форме правильно, а по существу - издевательство" В.И.Ленин
    ©2001-2019Orthoforum Coordinator.
    [ Главная | Отправить сообщение | Поиск | Админ ]