AOTRAUMA.ORG Центр Илизарова  

Ортопедия и травматология Общие вопросы/General questions Help Информационные технологии в медицине
 вверх
 отправить
 поиск
 админ
 главная
 Предыдущее
 Весь тред


Re: блок.гвоздь
Alexander Chelnokov 07 Март 2004, 19:50
Глубокоуважаемый Алишер,

Sunday, March 7, 2004, 4:42:36 PM, you wrote:

ХА> --гвоздь был почти такой длины, отпилили 5 мм от проксимального конца
ХА> (точнее никакая ножовка не взяла, сточили на обычном точильном станке).

А какова его длина? Вообще, какой диапазон диаметров и длин бедренных гвоздей оказался в Вашем распоряжении? И повторно вопрос про гвозди эти - это все-таки SIGN, разработка доктора L.Zirkle, или какая-то другая модель?

ХА> после наших операций, не смотря на стимуляцию регенерации костной мозоли
ХА> медикаментозной (остеогенон, кальций Д3, мумиё, фитин) терапией и введением
ХА> в зону перелома алоэ с аутокровью элементы срастания в динамике очень

К сожалению, все эти способы "стимуляции" скорее выражают наши устремления и пожелания, чем обладают реальной воспроизводимой положительной эффективностью.

ХА> в коленном суставе: сгибательная контрактура правого коленного сустава 90,
ХА> левого 145.

Но выпрямить колени он может?

ХА> Наверное мы привыкли, что штифт должен сидеть в костномозговом канале
ХА> плотно.

В области сужения костно-мозгового канала он так и сидит. А в дистальной зоне, где канал расиряется, это возможно за счет запирающих (locking) винтов, а также за счет приемов искусственного сужения костно-мозгового канала - блокирующих (blocking) винтов, вводимых мимо гвоздя, или введения заклинивающих плоских стержней, или еще каких-то действий в том же духе.

ХА> Гвоздь же этот, сидит относительно свободно, и это нас
ХА> настораживает, не будет ли микроподвижность которая приведет к

Микроподвижность присуща любому закрытому интрамедуллярному остеосинтезу с блокированием, как методу фиксации с относительной стабильностью.
Если говорить про данный случай, то способствовать неудаче могут следующие моменты:
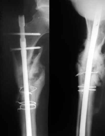
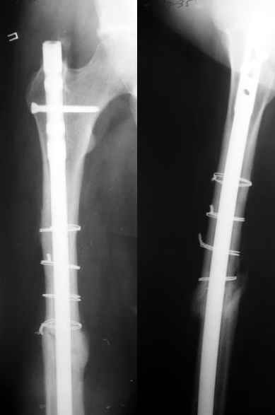
1) Мы бы не убирали проволоку, и вообще не вмешивались открыто на очаге - это ничего не даст, кроме ухудшения кровоснабжения концов отломков. Если просто закрыто перештифтовать при подобной картине, лучше с рассврливанием - это по нашему опыту дает сращение в 100%. В приложении пример - болезненное несращение более года, результат через полгода.





1

2



2)запирающие винты выглядят чрезмерно короткими. А им бы тут надо хорошо держаться за оба кортекса. Это в проксимальном отломке можно ввести было только динамический винт, или вообще винты не вводить.

ХА> Еще раз спасибо, с прекрасным праздником всех Вас,

Женщины обидятся - это ж только для них праздник ;-)

  • Сообщения о Ортопедия и травматология
  • Также Alexander Chelnokov
  • Связаться с автором
  • Ответить

    Re: блок.гвоздь
    Алишер Хамраев 08 Март 2004, 13:22
    Начну с главного, конечно праздник женский, но благодаря этому прекрасному полу отдыхаем и мы, доставлять им радость согласитесь нам тоже приятно.

    AC> А какова его длина? Вообще, какой диапазон диаметров и длин бедренных гвоздей оказался в Вашем распоряжении?
    AC> И повторно вопрос про гвозди эти - это все-таки SIGN, разработка доктора L.Zirkle, или какая-то другая модель?

    Это действительно SIGN.
    Длина (мм)- Диаметр (мм):
    190 -9,10,11,12
    280,300,320,340,360,380- 8,9

    AC>К сожалению, все эти способы "стимуляции" скорее выражают наши устремления и пожелания, чем обладают реальной воспроизводимой положительной эффективностью.

    Как тогда можно воздействовать на остеорегенерацию?

    AC> Но выпрямить колени он может?

    Колено выпрямить он может.
    С целью скорейшего поднятия больного на ноги мы и использовали эти гвозди (опираясь на данные литературы), однако некоторые тонкости мы не знали, которые частично прояснились в ходе Ваших советов, спасибо.

    AC 1) Мы бы не убирали проволоку, и вообще не вмешивались открыто на очаге - это ничего не даст, кроме ухудшения кровоснабжения концов отломков.

    AC>Если просто закрыто перештифтовать при подобной картине, лучше с рассврливанием - это по нашему опыту дает сращение в 100%. В приложении пример - болезненное несращение более года, результат через полгода.

    Проволоку убрали с соображений: исключить срангулюцию, освежить концы отломков, удалить интерпозицию (рубцовая ткань), окутать место перелома костной стружкой. Как правило, концы костных отломков склерозированны, перед сшиванием раны, перфорирую участки склероза сверлом d=2-2,5мм (должно быть хорошо заточенное и на малых оборотах), расстояние между отверстиями 5-6мм (стружку не удаляем). Попробовал у 3 больных, образуется прекрасная мозоль теоретически можно обосновать).

    AC> 2)запирающие винты выглядят чрезмерно короткими. А им бы тут надо хорошо держаться за оба кортекса.
    AC> Это в проксимальном отломке можно ввести было только динамический винт, или вообще винты не вводить.

    Конечно с Вами согласен. Это наша 3 операция по счету (только набираемся опытом), и, к сожалению, у нас нет ЭОП, работаем почти вслепую.

    С большой признательностью, Алишер.
    [ Ответить ]

    • Re: блок.гвоздь
      Отправитель: Alexander Chelnokov 08 Март 2004, 14:55
      ХА> полу отдыхаем и мы, доставлять им радость согласитесь нам тоже приятно.

      А как же ;-) Еще раз всех дам уже с наступившим прадзником!

      ХА> Это действительно SIGN.
      ХА> Длина (мм)- Диаметр (мм):
      ХА> 190 -9,10,11,12

      Интересно. Это по типу supracondylar nail, для переломов дистального отдела бедра? Такой длины мы индустриальных не получали, пилить приходится, если случай типа такого, с ножкой протеза или еще каким-то имплантатом.

      ХА> 280,300,320,340,360,380- 8,9

      Тонковаты, даже для голени. Мы на бедре перешли на диаметры 10, 11.5, 13 мм.

      ХА> Как тогда можно воздействовать на остеорегенерацию?

      Если говорить не о вообще о фундаментальной проблеме управления регенерацией, а лишь о диафизарных несращениях без дефектов кости и укорочений, с хорошим контактом - достаточно закрытого реостеосинтеза с блокированием. Лучше с рассверливанием - больше для своего рода костной аутопластики стружкой и гематомой. Затем сразу переход к полной функции и хотя бы частичной осевой нагрузке. Гвоздь при наличии торцового упора запирать сразу динамически. Если сращение не наступило через 6-9 мес., есть признаки нестабильности - реостеосинтез следующим по диаметру стержнем. Но это редкость. У нас за 3 года была по этим показаниям только одна такая операция на бедре из примерно 150.

      ХА> Колено выпрямить он может.

      Тогда на костыли.

      ХА> С целью скорейшего поднятия больного на ноги мы и использовали эти гвозди
      ХА> (опираясь на данные литературы),

      Запираемые гвозди - современный "золотой стандарт" в лечении переломов бедра, особенно диафизарных. В условиях повсеместного в xUSSR увлечения пластинами - еще и вариант решения проблемы несращений после пластин.

      ХА> однако некоторые тонкости мы не знали, которые частично

      Давайте прояснять дальше.

      ХА> Проволоку убрали с соображений: исключить срангулюцию, освежить концы
      [...]
      ХА> (стружку не удаляем). Попробовал у 3 больных, образуется прекрасная мозоль
      ХА> (теоретически можно обосновать).

      Соображения выглядят вполне здраво, и теоретически, конечно, можно обосновать практически любые наши действия. Однако практика ("критерий истины") показывает, что и без вмешательства на очаге, и с оставленной проволокой сращение происходит. А если желаемый результат достигается без неких действий - то эти действия лишние, скорее всего. Если можно избежать лишних затрат сил, средств, времени, уменьшить инвазивность - стоит ли этим пренебрегать?
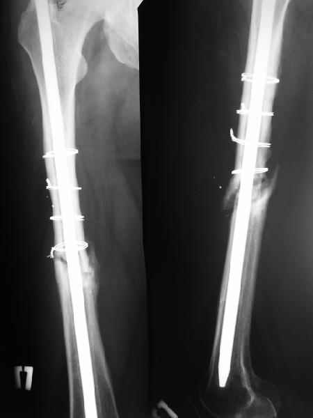
      Еще один пример - несращение через полгода после несостоятельного остеосинтеза, и через полгода после реостеосинтеза с блокированием.






      1

      2


      ХА> Конечно с Вами согласен. Это наша 3 операция по счету (только
      ХА> набираемся опытом), и, к сожалению, у нас нет ЭОП, работаем почти
      ХА> в слепую.

      Попасть в отверстие в стержне было сложнее, чем подобрать винт правильной длины. Может быть, подумать об этом сейчас - тогда про нагрузку можно не беспокоиться.


      [ Ответить ]
      • Re: блок.гвоздь
        Отправитель: Алишер Хамраев 09 Март 2004, 23:27
        AC> Если можно избежать лишних затрат сил, средств, времени, уменьшить инвазивность - стоит ли этим пренебрегать?

        Согласен, попробуем.

        Эти гвозди мы получили без методических пособий по их установке. Если у Вас имеется схема и методика имплантации этих гвоздей, большая просьба выслать.

        [ Ответить ]
        • Re: блок.гвоздь
          Отправитель: Alexander Chelnokov 09 Март 2004, 23:29
          Все, что я нашел, в приложении - там небольшая презентация про остеосинтез большеберцовой кости. Вообще, как у участников проекта, у Вас должен быть доступ к материалам на сайте www.sign-post.org, в частности, к http://www.sign-post.org/manuals-forms.htm, то есть должны быть логин и пароль. Спишитесь с тамошними администраторами, как там указано:
          Please contact us at signcom@sign-post.org to obtain your user name and password.

          Кликните для загрузки файла SIGN.zip
          741KB (759259 bytes)

          [ Ответить ]

     

    ( Ответить )

    Powered by Zope  Squishdot Powered MedLink
    Посетитель: 0204913
      "По форме правильно, а по существу - издевательство" В.И.Ленин
    ©2001-2019Orthoforum Coordinator.
    [ Главная | Отправить сообщение | Поиск | Админ ]