AOTRAUMA.ORG Центр Илизарова  

Ортопедия и травматология Общие вопросы/General questions Help Информационные технологии в медицине
 вверх
 отправить
 поиск
 админ
 главная


Retrograde Interlocking
Ортопедия и травматология Отправлено Ahmed ALSIBAI 12 Март 2004, 17:57
12345
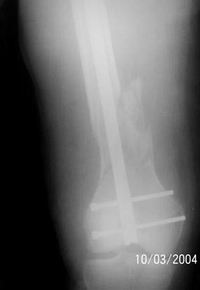
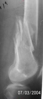
A 34 year old male was injured in a car accident.
The femur injury was treated by long retrograde interlocking nail.
Need an Opinion on this Case.
Regards,
ALSIBAI A. M.DM
Orthopaedic and Trauma Surgeon
ALRAZY Hospital
ALEPPO - SYRIA

<  |  >

 

  • Сообщения о Ортопедия и травматология
  • Также Ahmed ALSIBAI
  • Связаться с автором
  • Ответить

    Re: Retrograde Interlocking
    Андрей 13 Март 2004, 01:50
    It seems you`d better to remove the nail and fix the
    bone fragmenrs with DCS plate.
    Kind Regards Andrey
    [ Ответить ]

    Re: Retrograde Interlocking
    Alexander Chelnokov 13 Март 2004, 12:26
    I would expect healing though alignment could have been better if Poller screw or temporary wire was used.
    What nail system was used? Its diameter of the locking screws?

    Я бы предполагал сращение, хотя ось можно было восстановить и получше при испольовании отклоняющего винта или временной спицы. Что это за гвоздь, какой диаметр винтов?
    [ Ответить ]

    • Re: Retrograde Interlocking
      Отправитель: Ahmed ALSIBAI 16 Март 2004, 17:28
      Dear Dr. Alexander,
      Thank you for your response.
      It was used ORTHFIX Retrograde nailing System, diameter 11.
      Best regards,

      ALSIBAI A. M.D
      Orthopaedic and Trauma Surgeon
      ALRAZY Hospital
      P.O.BOX : 16476
      ALEPPO - SYRIA

      [ Ответить ]

     

    ( Ответить )

    Powered by Zope  Squishdot Powered MedLink
    Посетитель: 0000017
      "По форме правильно, а по существу - издевательство" В.И.Ленин
    ©2001-2019Orthoforum Coordinator.
    [ Главная | Отправить сообщение | Поиск | Админ ]