AOTRAUMA.ORG Центр Илизарова  

Ортопедия и травматология Общие вопросы/General questions Help Информационные технологии в медицине
 вверх
 отправить
 поиск
 админ
 главная


Перелом около протеза
Ортопедия и травматология Отправлено Alexander Chelnokov 27 Май 2004, 17:08
12
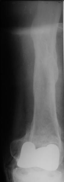
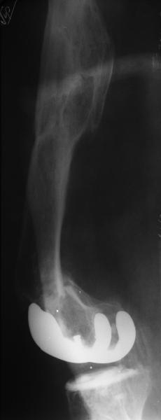
Глубокоуважаемые коллеги, Мужчина 41 года поступил с повторным (предыдущий в 2001 г.) переломом (3-недельной давности) над протезом коленного сустава.
В 1994 множественная травма, в том числе открытый перелом надколенника, осложнившийся гнойным артритом, и на этой же стороне перелом диафиза бедра (лечили в аппарате). В 1998 г. выполнено эндопротезирование коленного сустава.Предыдущий перелом (3 года назад) лечили консервативно, сросся при неустраненном смещении дистального блока бедра кзади ~ на 1 см.Амплитуда движений в коленном суставе перед последним переломом была ~90 градусов. Ходил без дополнительной опоры.Снимки в приложении. Какие будут предложения по поводу оперативного лечения в нынешней ситуации? У нас споры между ретро- и антеградным закрытым интрамедуллярным остеосинтезом.
A male 41 years old transferred to our unit with 3 week old femoral fracture near the knee prosthesis after a mimimal fall. In 1994 he sustained multiple injury with open patella fracture (complicated with septic arthritis), and ipsilateral femoral shaft fracture treated by ex-fix. TKA performed in 1998. In 2001 he got a periprosthetic fracture which was treated nonoperatively and healed with ~1 cm dorsal displacement of the distal femoral block. Knee ROM prior the recent injury was about 90-95 degrees. He didn't use walking aid.Images attached. I request your suggestions regarding surgical options in the situation? We mostly discuss ante- vs retrograde closed nailing.

<  |  >

 

  • Сообщения о Ортопедия и травматология
  • Также Alexander Chelnokov
  • Связаться с автором
  • Ответить

    Re: Перелом около протеза
    Evgueny Tchekashkine 27 Май 2004, 19:00
    Уважаемый Александр !

    А надо ли оперировать больного при таком анамнезе и стоянии отломков вообще?

    С наилучшими пожеланиями,
    Евгений Чекашкин
    WCH, Windhoek, Namibia
    [ Ответить ]

    • Re: Перелом около протеза
      Отправитель: Alexander Chelnokov 27 Май 2004, 19:02
      Даже сам пациент настроен на максимально раннюю функциональную реабилитацию... А положение отломков ухудшилось, и было-то не очень после предыдущего перелома. Побудет он в гипсе, и движения потеряются, и мостик костный будет еще меньше, то есть риск повторного перелома еще выше...

      [ Ответить ]
    Re: Перелом около протеза
    John Ruth 28 Май 2004, 00:55
    I would favor a peri-articular locking plate (Synthes LISS or Locking condylar plate) or an old-fashioned blade plate.


    [ Ответить ]

    • Re: Перелом около протеза
      Отправитель: Alexander Chelnokov 28 Май 2004, 15:46
      Why not a nail? The femur is scarred already, and i suspect open mobilization would be a demanding procedure. I plan to apply a distractor and perform closed reduction.

      [ Ответить ]
      • Re: Перелом около протеза
        Отправитель: John Ruth 29 Май 2004, 11:00
        The fracture is quite distal and the bone in this region is osteopenic. This poor bone quality does not allow for good purchase of the distal locking screws and therefore poor varus/valgus stability. The locking plates are much better at providing this stability in osteopenic bone.

        [ Ответить ]
    Re: Перелом около протеза
    Kasperovich Michail 29 Май 2004, 02:10
    Уважаемый Александр!
    Опыта лечения больных с таким случаем не имею, но я бы наверное не пошёл на остеосинтез. Если ставить интрамедуллярный штифт, то где там костно-мозговое пространство при таком-то изменении костной структуры и анатомии?. Я бы рисковать не стал, а выбрал бы другой метод лечения для данного больного.

    С Уважением, Михаил.
    [ Ответить ]

    • Re: Перелом около протеза
      Отправитель: Alexander Chelnokov 29 Май 2004, 12:51
      KM> Опыта лечения больных с таким случаем не имею, но я бы
      KM> наверное не пошёл на остеосинтез.

      Ну а куда ж тут деваться? Если обойтись иммобилизацией, оно как-то срастется, наверно, но из-за ухудшения движений в колене и послеиммобилизационного остеопороза риск повторного перелома будет еще выше. Вот придет он через полгода с новым переломом - и что дальше?

      KM> Если ставить интрамедуллярный штифт, то где там костно-мозговое
      KM> пространство при таком-то изменении костной структуры и анатомии?.

      Вроде там за давностью уже перестройка какая-то есть, ну и проколупать можно постараться...

      KM> Я бы рисковать не стал, а выбрал бы другой метод лечения для
      KM> данного больного.

      Пластинку клинковую или другие накостные фиксаторы вот коллеги предлагают... Не знаю, там и правда в дистальном отделе скорлупа практически, в чем там клинок или винты держаться будут... Да и деформированное оно все какое-то, надо или пластинку каую-то кривую, или открыто мобилизовать все сильно, чтобы восстановить форму кости, измененную после предыдущего перелома.

      [ Ответить ]
    Re: Перелом около протеза
    Tom DeCoster 29 Май 2004, 11:05
    Do you think the femoral component is solidly fixed or loose?

    I think retrograde nails through total knees give good distal fixation. I'm not sure what kind of TK prosthesis but nearly all of the designs in the US have a big enough space to accept a 10 mm retrograde nail between the condlyles of the total knee.

    My concern in this case would be the deformity of the old fractures might not allow for a straight nail but might be more amenable to a locking plate; or particularly in Russia, XF.

    TD
    [ Ответить ]

    • Re: Перелом около протеза
      Отправитель: Alexander Chelnokov 29 Май 2004, 12:08
      Hello Tom,

      Friday, May 28, 2004, 9:04:37 PM, you wrote:

      TAC> Do you think the femoral component is solidly fixed or loose?

      There were no signs of loosening prior the recent fracture.

      TAC> I think retrograde nails through total knees give good distal fixation. I'm
      TAC> not sure what kind of TK prosthesis

      AFAIK it is Corin (UK).

      TAC> but nearly all of the designs in the US have a big enough space
      TAC> to accept a 10 mm retrograde nail between the condlyles of the

      The patient is about 100 kg, so a thicker nail would be favourable...
      I am not certain about whether a thicker nail can be inserted through the notch, and it seems to me cruciate ligaments are at risk.

      TAC> My concern in this case would be the deformity of the old fractures might
      TAC> not allow for a straight nail but might be more amenable to a locking plate;

      Locking plates are still not available in our unit. And at recent EuroTrauma 2004 i've just heard a very good presentation of D.Seligson from the US about distal femoral fractures whrere he was a bit skeptical about lockig plates, demonstrated broken ones, and proposed that nails are still a way to go. And anyway it would be some kind of open reduction, muscle separation...

      TAC> or particularly in Russia, XF.

      Even here people are very restricted about XF for definitive fixation over endoprosthesis because of extremely high cost of pin/wire tract infection. So my primary plan is antegrade nailing with a solid nail.
      If the attempt to pass through the area of union at the shaft level is failed, i switch to the retrograde approach. Which i will try to avoid by any means because the TKA was performed in another unit and in case of problems with the implant any later it is a reason to say - you see, ortho trauma guys broke our ideally implanted knee. I suppose you realize what i mean.

      [ Ответить ]
      • Re: Перелом около протеза
        Отправитель: Tom DeCoster 30 Май 2004, 20:02
        I agree with Dr. Seligson (as you mentioned) about retrograde nails being best option for distal femur fractures proximal to total knee replacement.
        Although longer retrograde nails are now preferred, the shorter retrograde nails still work.
        I think you are unnecessarily concerned about going through the condyles of the femoral component. The ACL is already gone in this patient (clearly no
        tibial attachment) and the PCL (if still present) is not typically injured by
        retrograde nail. The surgical approach is actually quite easy and much easier than antegrade femoral nailing with such shaft deformity. I don't think you will injure the knee prosthesis and even if it needed revision in the future, such revision would be facilitated by a well aligned and healed supracondylar fracture.
        My suggestion you consider retrograde nail and put the largest diameter nail that you have that fits and the longest nail that you have that fits up the
        deformed medullary canal. Don't perforate the cortex proximally trying to put a
        long straight nail in a crooked canal; just accept whatever length you can get. If it's quite short then adjust his rehabilitation accordingly with longer use of a brace, crutches and limited weight bearing.

        Good luck

        TD


        [ Ответить ]
    Re: Перелом около протеза
    Javaid Awan 29 Май 2004, 11:07
    i think ORIF with DCS or condylar blade plate adding bone graft to the fractured area will solve the problem because the bone stock at the
    fractured site isn't good. The shaft # united in angulation with obliteration of medullary cavity and femoral prosthesis may pose problems in doing ante-
    as well as retrograde nailing.

    [ Ответить ]

    Re: Перелом около протеза
    Marco Berlusconi 30 Май 2004, 19:54
    Dear Sir, I treated a case similar to this with a LISS but the result wasn't good because intraoperatively the fracture extension was really lower than the one I planned and so the LISS was not so stable. Perhaps in these cases it could be better a DFN (but the condylar locking bolt will be too "proximal" even if the templates could be good) or, but I've no experience, a revision TKR like the zimmer one. If you want I can send to you the result of my similar case.

    Best regards
    Marco Berlusconi
    Trauma Unit
    Istituto Ortopedico Galeazzi Milan Italy

    [ Ответить ]

    • Re: Перелом около протеза
      Отправитель: Alexander Chelnokov 30 Май 2004, 22:08
      Sure, it would be quite interesting for me. THX in advance.


      [ Ответить ]
    Re: Перелом около протеза
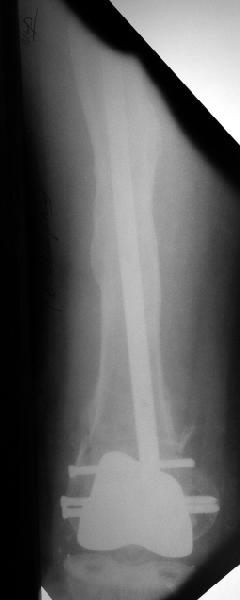
    Alexander Chelnokov 02 Июнь 2004, 13:45





    1

    2


    В итоге сделали антеградный остеосинтез. В дистракторе свежий перелом вправился сразу, а вот старый - оставил проблему, дистальный отлмомк остался все равно кзади. И гвоздь бы прошел кпереди от него, а ретроградный - перфорировал бы передний кортекс. Так что пришлось еще сделать чрескожную остеотомию через перелом, чтобы малость мобилизовать дистальный отломок. Снимки в прилжении.
    Критика, комментарии, мнения?
    [ Ответить ]

    • Re: Перелом около протеза
      Отправитель: Tom DeCoster 02 Июнь 2004, 13:51
      The radiographs look excellent and a good outcome would be anticipated. The idea to osteotomize the femur shaft to compensate for the prior shaft malunion was clever and should work fine.

      I can't actually see the osteotomy on either radiograph. Is it more proximal than we see in these radiographs or so well aligned as to be not visible?

      Have you tried retrograde femoral nailing? Most people find it technically easier although not necessarily better than antegrade.

      TD

      [ Ответить ]
      • Re: Перелом около протеза
        Отправитель: Alexander Chelnokov 02 Июнь 2004, 13:58




        1

        TAC> idea to osteotomize the femur shaft to compensate for the prior shaft malunion
        TAC> was clever and should work fine.

        The "idea" was an emergency appeared when the nail tip proceeded to the fracture level and became targeting anteriorly to the distal fragment.

        TAC> I can't actually see the osteotomy on either radiograph. Is it more proximal
        TAC> than we see in these radiographs or so well aligned as to be not visible?

        The osteotomy was perfromed trough the fracture site. See the image.

        TAC> Have you tried retrograde femoral nailing? Most people find it technically
        TAC> easier although not necessarily better than antegrade.

        No, i would have tried it if the antegrade attempt was failed.

        [ Ответить ]
    • Re: Перелом около протеза
      Отправитель: А.Троценко 04 Июнь 2004, 01:49
      Послеоперационный результат очень даже ничего.

      [ Ответить ]
    Re: Перелом около протеза
    А.Троценко 04 Июнь 2004, 01:44
    Ситуация - не позавидуешь. На мой взгляд, при стабильных компонентах эндопротеза логичнее всего произвести зостеосинтез аппаратом Илизарова , с фиксацией голени и разгрузкой коленного сустава. Перелом достаточно низкий, но впринципе возможна компановка аппарата с достойной фиксацией дистального отломка. К тому же при удачном синтезе в процесе лечения возможно коррегировать позицию мыщелков. Подобного опыта нет, но я бы так и сделал. К сожалению, я опоздал с обсуждением и больной вероятно, уже прооперирован. Не сочтите за труд, покажите результат и динамику. С Уважением. А.Троценко (Челябинск, ГКБ 9)
    [ Ответить ]

    • Re: Перелом около протеза
      Отправитель: Илья Фельдман 05 Август 2007, 14:18
      Простите, пожалуйста.
      Вас зовут случайно ли не Александр Троценко.
      Если да, то не знакомы ли Вам мои имя и фамилия - Илья Фельдман? Если да то Вы возможно именно с вами мы были друзьями в школьные годы.

      [ Ответить ]

     

    ( Ответить )

    Powered by Zope  Squishdot Powered MedLink
    Посетитель: 0372403
      "По форме правильно, а по существу - издевательство" В.И.Ленин
    ©2001-2019Orthoforum Coordinator.
    [ Главная | Отправить сообщение | Поиск | Админ ]