AOTRAUMA.ORG Центр Илизарова  

Ортопедия и травматология Общие вопросы/General questions Help Информационные технологии в медицине
 вверх
 отправить
 поиск
 админ
 главная


Hip
Ортопедия и травматология Отправлено Виталий Е. Казеннов 10 Июнь 2004, 17:43
12
Уважаемые коллеги!Какие варианты лечения, реабилитации данного больного возможны?Где возможно провести оперативное лечение?
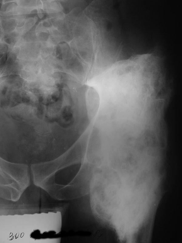
Мужчина 38 лет, Х.В.Н., диагноз: Закрытый травматический компрессионно-оскольчатый перелом L1 позвонка, вывих Тh 12, ушиб, сдавление спинного мозга, нижняя параплегия, нарушение функции тазовых органов. Операция 01.07.03: ламинэктомия Th 12-L1, задний спондилодез проволокой с протакрилом.06.11.03 -- удаление протакрила, ламинэктомия Th 12-L1, декомпрессия спинного мозга, менингомиелолиз.У больного, как проявление нейродистрофического синдрома, сформировались грубые оссификаты вокруг обоих тазобедренных суставов с резким ограничениемдвижений.14.01.04 – операция иссечения переднебоковых оссификатов правого тазобедренного сустава. На операции достигнуто сгибание около 85 град. Впослеоперационном периоде потеря коррекции значительна (более 50%).На сегодняшний день: Больной лежит, движения в тазобедренных суставах отсутствуют. По передней поверхности обоих суставов пальпируются плотныеопухолевидные образования 6 х 8 см.На R-граммах: обширные оссификаты по передней и боковой поверхности т/бедренных суставов (см. приложенные файлы).Планируется оперативное лечение: иссечение оссификатов.Больного необходимо посадить в кресло-каталку для дальнейшей реабилитации.У кого есть предложения?Направление пациента на лечение согласовано с Министерством здравоохранения Хабаровского края, финансирование обещано.Лечащий врач Е.В.Квитченко

<  |  >

 

  • Сообщения о Ортопедия и травматология
  • Также Виталий Е. Казеннов
  • Связаться с автором
  • Ответить

    Re: Hip
    Евгение Квитченко 22 Июнь 2004, 09:13
    Мы планируем выполнить остеотомию обеих бёдер на уровне оссификатов. Будет ли эта операция результативна, учитывая прогрессирующий рост осссификатов, прогнозировать трудно.
    Увавжаемые коллеги!
    Очень хочется услышать ваше мнению по больному, поделитесь опытом решения проблемы.
    Куда можно направить больного?

    [ Ответить ]

    Re: Hip
    Alexander Chelnokov 22 Июнь 2004, 15:27
    Если задачей является посдить больного в кресло, то, возможно, выходом будет корригирующая остеотомия в вертельной области с созданием сгибательной установки 155-160 градусов.
    [ Ответить ]


    ( Ответить )

    Powered by Zope  Squishdot Powered MedLink
    Посетитель: 0174889
      "По форме правильно, а по существу - издевательство" В.И.Ленин
    ©2001-2019Orthoforum Coordinator.
    [ Главная | Отправить сообщение | Поиск | Админ ]