AOTRAUMA.ORG Центр Илизарова  

Ортопедия и травматология Общие вопросы/General questions Help Информационные технологии в медицине
 вверх
 отправить
 поиск
 админ
 главная


Перелом 43С
Ортопедия и травматология Отправлено Сергей Зырянов 17 Июнь 2004, 21:25
12
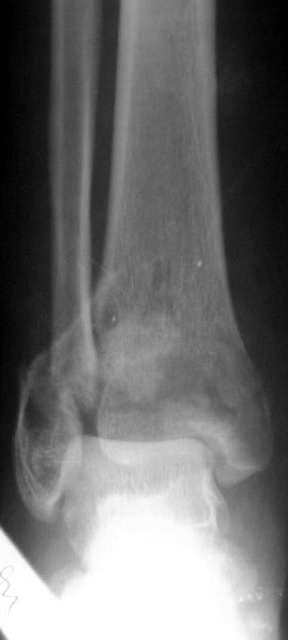
Поступил больной 57 лет 14.06.04 в наше отделение.Простой перелом малоберцовой кости Взрывной перелом дистальных отделов болыпеберцовой кости,
Вколоченный перелом дистальных отделов большеберцовойкости.Проводим репозицию с помощью скелетного вытяжения, перед операцией. Думаем как собрать б/б кость? Какой доступ использовать? Может сразупервичный артродез?Как то в форуме говорилось о доступе через м/б кость для артродеза. Возможноли его использовать в данном случае?Если кто-то его использует, может поделится информацией, как правильно егоделать?Сергей ЗыряновНСО г Куйбышев.ЦРБ

<  |  >

 

  • Сообщения о Ортопедия и травматология
  • Также Сергей Зырянов
  • Связаться с автором
  • Ответить

    Re: Перелом 43С
    Alexander Chelnokov 21 Июнь 2004, 21:35
    Мне кажется, первичный артродез тут не оптимальный выбор, поскольку есть хорошие шансы воостановить форму суставной поверхности, дефекты метафизарной зоне заместить аутокостью, зафиксировать спице-стержневым аппаратом.
    [ Ответить ]

    Re: Перелом 43С
    Андрей Капустин 21 Июнь 2004, 21:47
    Уважаемый коллега. У меня два месяца назад поступил аналогичный больной.

    Скелетное вытяжение в данном случае к репозиции вряд ли приведет. Мы получили достаточно удовлетворительную репозицию, наложив трехсекционный аппарат Илизарова, добавив спицы с упорными площадками на выноске.

    Оперировали под контролем ЭОП.

    Капустин А.Н. МСЧ-59
    г.Заречный Пензенской обл.

    [ Ответить ]

    • Re: Перелом 43С
      Отправитель: Святенко Владимир 01 Июль 2004, 01:10
      Каков по Вашему может быть конечный результат при побобной травме и оправданы ли сроки лечения ( то есть репозиция ) у больного 57 лет ?
      Владимир.

      [ Ответить ]
    Re: Перелом 43С
    Андрей 22 Июнь 2004, 01:08
    По моему сартродезом не стоит торопиться - это никода не поздно. Можно попробовать реставарировать суставную пов-ть с обязательным заполнением костного дефекта аутотрансплантатом.
    Доступ - к м.берцовой по Кохеру, к б.берцовой - передне-медиальным. А фиксацию лучше пластинками.
    С уважением Андрей.
    [ Ответить ]

    Re: Перелом 43С
    Alexander Artemiev 22 Июнь 2004, 17:19



    1


    Здравствуйте, Сергей и коллеги.
    Уточняющий вопрос.
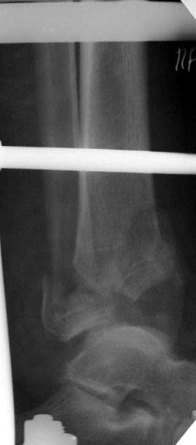
    Взрывной перелом - в смысле минно-взрывное ранение?
    Судя по снимкам - нет.
    По существу:
    1.Оптимальным является внешний остеосинтез.
    2.Аппарат собираете заранее. Схема - в приложении.
    3. Сначала накладываете аппарат (спицы через
    бугристость б/б кости верхнем кольце и в полукольце
    через пяточную кость, дистракция. Лучше
    перерастянуть сустав на 5-7 мм.
    4. Доступ - передний. Можете продольный, можете
    немного S-зный. На длине разреза не экономьте.
    При перерастяжении сутава в
    аппарате доступ вполне адекватный.
    5. Удаляете из сустава мелкие осколки. Скорее всего
    в натуре:) будет всё гораздо хуже, чем на снимке.
    Как разбитая черепица. Возможно даже образуются
    дефекты суставной поверхности - по типу выпавшей
    мозаики. Не беда. Восстановите конгруэнтность
    суставной поверхности более-менее и зафиксируйте
    спицами. Даже необязательно фиксировать их к
    нижнему кольцу аппарата. Используйте спицы с
    упорными площадками.
    6. Когда соберете из крошек метаэпифиза какое-то
    подобие периферического отломка, может быть
    впечатление смещения по тношению к проксимальному.
    Это состояние устраните спицами с упорами, смещая
    проксимальный отломок во втором кольце сверху.
    7. Могут возникнуть затруднения при ушивании раны.
    Лучше оставьте зияющей - заживет вторичным
    натяжением.

    С артродезом не спешите. Артродез голеностопного
    сустав при травме - это состояние, до которого
    больной должен созреть. Или сразу до операции
    сбольным оговорите очень подробно такую
    возможность. Это развяжет руки.

    Рисунок из моей книги,которая как раз на эту тему
    в ближайшее время должна выйти в свет. Это
    черновик, и там есть некоторые неточности в
    деталях соединения колец.
    Могу выслать на личный ящик более скурпулезную
    схему монтажа аппарата. Просто большой объем.

    С уважением Александр Артемьев

    [ Ответить ]

    • Re: Перелом 43С
      Отправитель: Alexander Chelnokov 22 Июнь 2004, 17:32
      > 2.Аппарат собираете заранее. Схема - в приложении.

      Вполне можно использовать и другие компоновки, а единственная действительно нужя циркулярная опора - на уровне эпиметафиза. И собрать можно после репозиции и предварительной фиксации.

      > 3. Сначала накладываете аппарат

      Есть еще возможность провести по спице во фронтальной плоскости в таран и большеберцовую кость вверху, наложить дистрактор из двух больших (полу)колец, соединенных 3 телескопами. Это оставляет больше возможностей для доступа. А потом на этих двух спицах монтируется аппарат. Стопу фиксировать не всегда оказывается необходимо.

      > 4. Доступ - передний.

      Доступов может быть больше одного. В зависимости от того, что получится после предварительной дистракции. Лучше операцию выполять под контролем усилителя рентгеновского изображения, как упомянул коллега Капустин. Это дает возможность через небольшие разрезы вводить манипуляторы, пользоваться спицами-джойстиками для управления фрагментами, через небольшие разрезы вводить трансплантаты. Еще популярная нынче возможность - сочетание внешней и минимальной внутренней фиксации. Крупные фрагменты хорошо соединить винтами, совсем удобно - канюлированными. Особенно задний край - один винт спереди назад позволяет избежать неудобных здесь спиц.

      > сустав при травме - это состояние, до которого
      > больной должен созреть.

      А артродез в такой ситуации может в итоге не получиться. Для анкилоза нужно кровоснабжаемое ложе, а оно из фрагментов эпиметафиза может оказаться аваскуярным, особенно после обширного скелетирования, и не будет срастаться.

      > схему монтажа аппарата. Просто большой объем.

      Пришли мне, а не в рассылку, посмотрим, как лучше уменьшить.

      [ Ответить ]
      • Re: Перелом 43С
        Отправитель: Alexander Artemiev 22 Июнь 2004, 17:35



        1

        > Вполне можно использовать и другие компоновки,
        A> Есть еще возможность провести по спице
        A> Доступов может быть больше одного.
        A> А артродез в такой ситуации может в итоге не получиться.

        Cаша, конечно много чего можно и много чего может не быть...
        Сергей Зырянов задал конкретный вопрос, я на него попытался конкретно (и чисто:))ответить, опираясь на свой опыт, а не рассуждая вообще. Хотя понимаю ущербность и ограниченность подобного рода заочных советов...

        Также дополню:
        1. ЭОП дает очень большое искажение, поэтому положнеие мелких отломков в зоне голеностопного сустава лучше контролировать обычным рентгеном.

        2.Целесообразность использования трансплантатов вызывает большие сомнения.

        Для чего? Для замещения суставной поверхности - не получится.
        Для замещения дефектов кости в случае образования дефектов на месте удаленных костных фрагментов в зоне метафиза? В условиях внешней фиксации они и так заполнятся костной мозолью.

        A> через небольшие разрезы вводить трансплантаты.

        A> Для анкилоза нужно кровоснабжаемое ложе, а оно из фрагментов эпиметафиза может оказаться
        A> аваскуярным,
        A> особенно после обширного скелетирования, и не будет срастаться.

        Еще одно подтверждение ненужности трансплантатов... Они-то уж точно аваскулярны.



        >> схему монтажа аппарата. Просто большой объем.

        A> Пришли мне, а не в рассылку, посмотрим, как лучше уменьшить.

        Сам уменьшил, просто на момент написания предыдущего письма не было времени этим заниматься...
        В приложении - более подробная схема компоновки аппарата.
        Хотя без подробного описания это может быть не до конца понятным.

        С уважением Александр Артемьев


        [ Ответить ]
    Re: Перелом 43С
    Д-р Одесский Я.А. 25 Июль 2004, 03:04
    Здравствуйте, Уважаемые коллеги!
    На мой взгляд лечение подобных переломов с помощью аппарата Илизарова имеет ряд преимуществ.
    1. Возможность раннего дефинитивного лечения.
    2. Возможность в некоторых случаях закрытой репозиции
    3. Ранняя разработка сустава в аппарате
    4. Частичная нагрузка с первых дней после операции
    5. Сравнительно быстрое сращение - 3 месяца.

    Компановка аппарата зависит от наличия диафизарной екстенсии перелома.
    В случае если перелом не не высокий - 2 кольца проксимальнее перелома, одно в области дистального эпифиза Б/б кости и, обязательно рамка из 2-х полуколец на стопе. При вовлечении диафиза - дополнительное кольцо в месте диафизарного перелома.
    К сожалению у меня не получается послать снимки.
    С уважением
    [ Ответить ]


    ( Ответить )

    Powered by Zope  Squishdot Powered MedLink
    Посетитель: 0000276
      "По форме правильно, а по существу - издевательство" В.И.Ленин
    ©2001-2019Orthoforum Coordinator.
    [ Главная | Отправить сообщение | Поиск | Админ ]