AOTRAUMA.ORG Центр Илизарова  

Ортопедия и травматология Общие вопросы/General questions Help Информационные технологии в медицине
 ВХОД ДЛЯ ПАЦИЕНТОВ
 вверх
 поиск
 админ
 главная


СКВ+тазобедренные суставы
Ортопедия и травматология Прислано Anton Vladzymyrskyy 30 Июнь 2004, 18:34
из
1
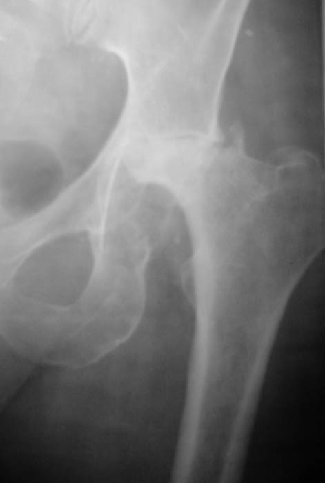
Уважаемые коллеги! Прошу Вас оказать консультативную помощь. Женщина, 44 года, инвалид 3 группы Диагноз: СКВ, асептический некроз головок обеих бедернных костей, двусторонний артроз 3-4 ст., болевой синдром, приводящая контрактура правого тазобедренного сустава,
хронический волчаночный гепатит, спленомегалия, анемия, СКВ с 2002 года (подтверждена наличием lupus-клеток), получала специфическую терапию, медрол 16 мг/сут. Боли в левом тазобедренном суставе появились в сентябре 2003 года. Динамика отражена на рентгенограммах. В марте 2004 года - синдром Мэллори-Вейса, кровотечение остановлено эндоскопически.
Объективно: кожа бледная, пастозность, отечность лица, высыпания на лице практически отсутствуют. Печень +6 см, селезенка не пальпируется. АД 140/80, пульс 100, дыхание 15.

Ходит с тростью, хромота. Объем движений в суставах: справа - сгибание 90, разгибание 170, отведение 0, приведение 20, внутренняя ротация 15; слева - сгибание 90, разгибание 180, отведение 0, приведение 20, внутренняя ротация 0, наружная ротация 20.
ЭКГ - отклонение ЭОС влево, гипертрофия левого желудочка, дистрофические изменения миокарда Общий анализ крови: Э. 3,6, Hg 100, цп. 0,83, л.7,3, э.1, п.3, с.72, л.19, м.5, СОЭ 5 Общий анализ мочи: объем 120,0, уд.вес 1008, желтый, р-ция кислая, сахар/белок/цилиндры нет, эпителий и эритроциты единичные, Л.1-2, соли оксалатовые в небольшом к-ве.
Биохимический анализ крови
Билирубин 11,5 ммоль/л (прямой 0, непрямой 11,5), АСТ 0,24, АЛТ 0,61, протромбиновый индекс 100, рекальцификация 150, фибриноген 1,99, толерантность 8, фибринолитическая активность 240, общий белок 74,3, сиаловые кислоты 250 ед., С-реактивный белок 0.
Пациентка желает выполнить тотальное эндопротезирование. Допустимо ли выполнение подобной операции? При каких условиях, дополнительной терапии? Особые предоперационные мероприятия? Личный опыт? Комментарии? Мнения? Заранее благодарю!!!
С уважением,
А.В.Владзимирский
Донецкий НИИ травматологии и ортопедии

Послать ответ

Имя
Email
Уведомление Сообщить мне по e-mail об ответах на это сообщение
Название
Комментарий
(Проверьте URL! Не забудьте написать http://!)
Кодировка
Если не знаете, что выбрать, выберите "Просто текст"!
Приложение
Можно приложить к сообщению файл c изображением, который затем будет доступен увидевшим сообщение.
Подготовка иллюстраций:
  • Рентгенограммы: черно-белые полутоновые изображения в формате JPEG (8 bit, greyscale) с разрешением от 300х200 до 1024х768 пикселов;
  • Клинические фотографии: полноцветные изображения в формате JPEG (24 bit, truecolor) с разрешением от 300х200 до 1024х768 пикселов;
  • Схемы и рисунки: черно-белые (2 bit) штриховые (line-art) изображения в формате GIF или compressed TIFF
  • Подберите степень сжатия файла JPEG и размер изображения таким образом, чтобы необходимые детали были различимы, но размер файла не превышал 75 кб.
  • Учтите, что текущая версия программного обеспечения Форума позволяет приложить к одному сообщению лишь один файл-вложение. Поэтому, если необходимо отправить несколько изображений, можно либо послать каждое как отдельное сообщение, либо в графическом редакторе объединить изображения в одно (сделать коллаж).
  • Если при подготовке изображений встречаются трудности, не стесняйтесь обратиться к координатору Форума.

  • Введите видимые символы в обратном порядке. Enter the above characters in reverse order (*Обязательно)
    В тексте сообщения можно использовать теги HTML <B> <I> <P> <A> <LI> <OL> <UL> <EM> <BR> <TT> <HR> <STRONG> <BLOCKQUOTE> <DIV .*> <DIV> <P .*>
  • Обратите внимание: Поля с жирными названиями обязательны.
  • Старайтесь отвечать в рамках обсуждаемой темы, а не начинать новые обсуждения.
  • Указывайте адекватную тему сообщения, чтобы было ясно, о чем оно.
  • Не послайте сообщений не по теме (оффтопик), раздраженных, грубых или обидных комментариев. Здесь это неуместно.
  • Powered by Zope  Squishdot Powered MedLink
    Посетитель: 0190077
      "По форме правильно, а по существу - издевательство" В.И.Ленин
    ©2001-2019Orthoforum Coordinator.
    [ Главная | Отправить сообщение | Поиск | Админ ]