AOTRAUMA.ORG Центр Илизарова  

Ортопедия и травматология Общие вопросы/General questions Help Информационные технологии в медицине
 вверх
 отправить
 поиск
 админ
 главная


Травма таза
Ортопедия и травматология Отправлено В.П.Охлопков 30 Июнь 2004, 23:25
1
Дорогие коллеги,Посоветуйте, как лучше лечить пациентку с травмой таза после автоаварии? Пока нходится на вытяжении за обе ноги.В.П.Охлопков,Новоуральск.


<  |  >

 

  • Сообщения о Ортопедия и травматология
  • Также В.П.Охлопков
  • Связаться с автором
  • Ответить

    Re: Травма таза
    Святенко Владимир 01 Июль 2004, 00:56
    Характер травмы, сроки, состояние больной ?
    Лечение - оперативное.
    [ Ответить ]

    Re: Травма таза
    Александр Землянский 01 Июль 2004, 18:05
    Уважаемый В.П.лечение подобной травмы оперативное,но всвязи с чрезвычайной сложностью данной операции,попробуйте наложить скелетное вытяжение и за вертел левого бедра( центральный вывих),но с небольшим грузом и попробовать преподнять таз по типу гамака возможно отломки подойдут друг к другу.R-контроль через сутки.И при прежнем стоянии отломков решать вопрос об оперативном лечении
    [ Ответить ]

    Re: Травма таза
    А.В.Рунков 02 Июль 2004, 00:22
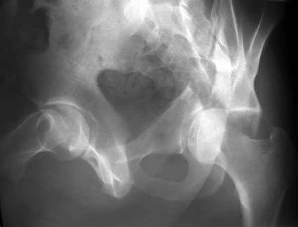
    Повреждение сложное. DS:Ротационно нестабильное повреждение таза, перелом боковой массы крестца,ипсилатеральный высокий двухколонный перелом вертлужной впадины с центральным смещением сустава, двусторонний перелом лонных и седалищных костей.
    При оперативном лечении прогноз относительно благоприятный. Показано два доступа - чрезвертельный Y-образный и затем синтез лонных костей двумя пластинами.
    Запасной вариант вместо второго доступа - передняя рама аппарата, но он не гарантирует хорошую анатомию.
    Консервативное лечение бесперспективно с точки зрения дальнейшего качества жизни.
    Перед операцией необходимо скелетное вытяжение по оси бедра 10-12 кг.
    Вытяжение за вертл не только бессмысленно, но и опасно. Гамак не нужен.
    Больная должна быть в состоянии перенести 4-6 часовую операцию и литровую кровопотерю, быть без пролежней.
    Для перевода в наш Центр важна информация о возрасте, сопутствующей патологии, общем состоянии, Hb и т.д.

    Жду дополнительную информацию.

    А.В.Рунков, УНИИТО
    [ Ответить ]

    • Re: Травма таза
      Отправитель: Anatoly F. Lazarev 07 Июль 2004, 17:24
      Леша, привет! До 3 недель высокий двуколонный перелом можно репонировать изнутри - внесуставным доступом - подвздошно бедренным. если интересно. то покажу снимки. Привет. ЛАФ.

      [ Ответить ]
      • Re: Травма таза
        Отправитель: Рунков 19 Июль 2004, 01:28
        Привет, отвечаю не сразу, редко на связь получается выйти по модему.
        Конечно любопытно клинический пример посмотреть.
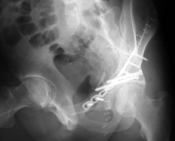
        Операция в Новоуральске прошла в начале недели.
        Разрушения оказались более обширные чем видно ра рентгенограмме. Только пять фрагментов с суставной поверхностью, два почти свободных. Послеоперационная картинка в цифре отсутствует, да она и не очень красивая. Удалось собрать суставную поверхность, много осколков без хряща на передне внутренней поверхности остались сами по себе, передние отделы теза синтезировал. Против обыкновения оставил больную на вытяжении.
        Жду снимки твоего случая.
        РАВ.
        Да, интересно, что там с аспирантом по застарелой травме?

        [ Ответить ]
        • Re: Травма таза
          Отправитель: Anatoly F. Lazarev 24 Июль 2004, 14:18







          Конечно изнутри таза массивная гиперпластическая мозоль - пришлось немного попотеть и интерпозиция по плоскости перелома. Хорошо был виден ствол нерва с внутренней стороны вырезки - сделали блокаду, как положено. После операции движения стопы в полном объеме чувствительных расстройств нет. Репозиция удалась - мы были в легкой эйфории - внесуставной доступ и т.д. Через сутки стопа повисла - грубых выпадений на ЭНМГ нет, но тем не менее ишемический неврит малоберцовой порции седалищного нерва - бич застарелых повреждений.
          Ах если бы Русские люди не обманывали себя и больных, а направляли бы срочно в специализированные отделения, то можно было бы получить хороший результат куда меньшей кровью пациентов и сердечных ран хирургов. Посылаю еще два снимка. Привет ЛАФ.

          [ Ответить ]
          • Re: Травма таза
            Отправитель: Evgueny Tschekashkin 26 Июль 2004, 08:54
            Сегодня вернулся с АО курса, который проходил в Кейптауне. Много времени было уделено переломам и реконструкции вертлужной впадины в лекционном виде
            и работе на моделях. Одарили СД или ДВД (еще не понял) демонстрирующих илеофеморальный расширенный, илеоингвинальный и задний доступы к вертлужной впадине в исполнении Эмиля Летурнеля. Если интересно, то с оказией попытаюсь переслать. выступал Д.Хелфет хорошо известный Вам, привет от вас передал. по его данным расширенные доступы приводят к формированию параартикулярных оссификатов практически в 50 - 60 процентах случаев , несмотря на лучевую и индометациновую 75мг профилактику. Поэтому стараются оперировать из комбинированных доступов. При поперечных переломах впадины (2 колоннны) обязательно выполняют ревизию в задне-верхнем отделе сустава перед фиксацией фрагментов заднего края и задней колонны , где как правило имеется вдавленный перелом суставного фрагмента, который приподнимают и выполняют костную пластику. Вместо 6,5 мм винтов для создания межфрагментарной компрессии они используют длинные полно-нарезные 3,5 мм винты (на моделях получается достаточно прочная фиксация). Обязательно после фиксации рекомендуют СТ контроль так как обычные проекции не всегда дают полное представление о качестве репозиции.
            Лекции у профа всегда интересные с массой забавных слайдов, но, к сожалению, автор не разрешил копирование.

            Всего доброго
            Евгений Чекашкин

            [ Ответить ]
            • Re: Травма таза
              Отправитель: Anatoly F. Lazarev 26 Июль 2004, 21:55
              Женя! Привет. Мы тоже слава Богу добились наконец в Матисе поставки тазовых винтов - они в каталоге так и называются тазовые кортикальные самонарезающие винты 3,5 мм - кал. ? 204.655 - причем две последние цифры длина винта до 100 мм, больше 100 мм 204.715 - две последние цифры длина винта после 100 - максимально - 130 мм = 204.730.
              Есть винты 4,5 мм кортикальные =216.014 - 216.140 от 14 до 140 мм длиной - последние три цифры длина винта, но это не саморезы. Саморезы идут под ?
              214.814 -214.940, где размер от 14 до 140 мм. 4.5 мм винты есть также в титане - тогда у них меняется первая цифра на 4 - 414.056 и 414.856.
              Может, скоро покажу с новыми винтами, если конечно научусь уменьшать снимки.
              Жека, может ты приедешь на Первый Съезд Крупных травматолгов Большого Урала - акредитацию, тезисы и проживание - беру на себя. Приев. ЛАФ.


              [ Ответить ]
            • Re: Травма таза
              Отправитель: Anatoliy Borzunov 27 Июль 2004, 10:15
              Можно ли подробнее рассказать об индометациновой профилактике. Мы часто сталкиваемся с гетерогенной оссификацией, особенно, после травм в локтевом суставе.

              --
              С уважением,
              Анатолий Борзунов

              [ Ответить ]
    Re: Травма таза
    Виталий Евгеньевич Казеннов 02 Июль 2004, 17:01
    Прошу сообщить срок после травмы, возраст пациентки, сопутствующие повреждения, а также оснащенность вашего отделения ортопедическим операционным столом, интраоперационным рентгеном и наличие/отсутствие ортопедов, регулярно оперирующих таз, наличие/отсутствие имплантов/инструментария типа АО, наличие/отсутствие крови в Вашей больнице, уровень анестезиолого-реанимационной службы.

    С уважением,

    Директор Дальневосточного центра телемедицины
    Виталий Евгеньевич Казённов, к.м.н.
    [ Ответить ]

    Re: Травма таза
    Castro 04 Июль 2004, 04:45
    Drogoi Kollega!
    Gde ze Vi takaio bolnuio otkapali? Vot ja ni znaio chto Vam skazat'?!
    Castro

    [ Ответить ]

    Re: Травма таза
    Anatoly F. Lazarev 07 Июль 2004, 17:22
    Конечно лучше прооперировать передним подвздошное-паховым доступом. При консервативном лечении - приблизить лобковые кости гамаком или стягивающим поясом, вытяжение ожидаемого эффекта не даст - конфигурация тазового кольца не изменится. Необходимо произвести снимки в типичных проекциях для вертлужной впадины - при импинджменте, короче конфликте задне-верхнего края
    головки и подвздошной кости - провести внесуставную моделирующую резекцию подвздошной кости. Скелетное вытяжение - прямой путь к ложному суставу лобковой дуги на фоне деформации таза. Без вытяжения - возможна самокоррекция и консолидация. А с режимом решите сами. ЛАФ.
    [ Ответить ]


    ( Ответить )

    Powered by Zope  Squishdot Powered MedLink
    Посетитель: 0000135
      "По форме правильно, а по существу - издевательство" В.И.Ленин
    ©2001-2019Orthoforum Coordinator.
    [ Главная | Отправить сообщение | Поиск | Админ ]