AOTRAUMA.ORG Центр Илизарова  

Ортопедия и травматология Общие вопросы/General questions Help Информационные технологии в медицине
 вверх
 отправить
 поиск
 админ
 главная


Экзопротез локтевого сустава
Ортопедия и травматология Отправлено Dr.R.M.Wadera 01 Июль 2004, 18:34
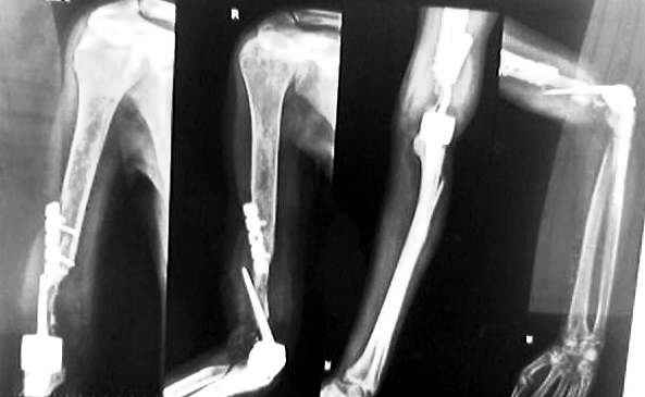
Мужчине 23 лет 3 года назад выполнен остеосинтез плеча, потерял движения в локтевом суставе. 1 год назад - эндопротезирование локтевого сустава,
инфекция, кожная пластика, попытка закрыть дефекттканей лоскутом на ножке безуспешна.Сейчас - инфицированный имплантат обнажен, нет функции лучевого и срединного нервов, движений в локтевом суставе нет.Что делать дальше?PATIENT HAS BEEN REFERRED TO ME WITH THE FOLLOWING HISTORY23/M , H/O # RIGHT ELBOW JT 3YRS, ORIF DONE WITH 4.5 RECONSTRUCTION PLATE, NO ROM AT ELBOW,2ND STAGE T.E.R DONE,1 YEAR,INFECTION SKIN GRAFTING & FLAP ATTEMPTED BUT FAILEDO/E :FRANK INFECTION IMPLANT EXPOSED, RADIAL & MEDIAN NERVE PALSY ROM AT ELBOW JOINT 0 DEGREESHOW DO WE GO ABOUT WITH IT FROM HEREDR.R.M.WADERAORTHOPAEDIC SURGEON MUMBAI

<  |  >

 

  • Сообщения о Ортопедия и травматология
  • Также Dr.R.M.Wadera
  • Связаться с автором
  • Ответить

    Re: Экзопротез локтевого сустава
    Evgueny Tchekashkine 01 Июль 2004, 22:29
    Похоже, что счастья в данной ситуации не сыскать.
    Единственное, что можно сделать - убрать имплантаты. Не понятно только как срединный нерв мог *попасть под удар *?
    В плане комментариев, я бы не стал пытаться укрывать кожным лоскутом инфицированный сустав, не приходилось сталкиваться и слышать о подобного рода тактике, хотя может быть где-то опубликованы и успешные результаты такого подхода ?

    Всего доброго,
    Евгений Чекашкин
    [ Ответить ]

    Re: Экзопротез локтевого сустава
    Виталий Евгеньевич Казённов 02 Июль 2004, 17:24
    Удалять металл, лечить остеомиелит, разбираться с нервами.

    Казённов
    [ Ответить ]


    ( Ответить )

    Powered by Zope  Squishdot Powered MedLink
    Посетитель: 0389975
      "По форме правильно, а по существу - издевательство" В.И.Ленин
    ©2001-2019Orthoforum Coordinator.
    [ Главная | Отправить сообщение | Поиск | Админ ]