AOTRAUMA.ORG Центр Илизарова  

Ортопедия и травматология Общие вопросы/General questions Help Информационные технологии в медицине
 вверх
 отправить
 поиск
 админ
 главная
 Предыдущее
 Весь тред


Re: Acetabular fracture
Evgueny Tschekashkin 05 Сентябрь 2004, 21:58












Уважаемый Djoldas,

Спасибо за комментарии


> Ваш окончательный диагноз?

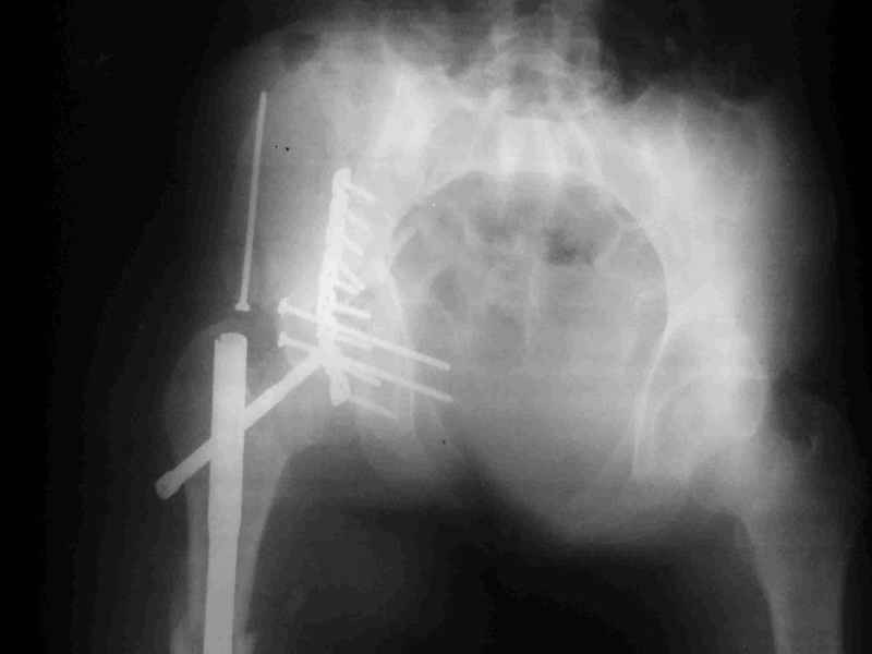
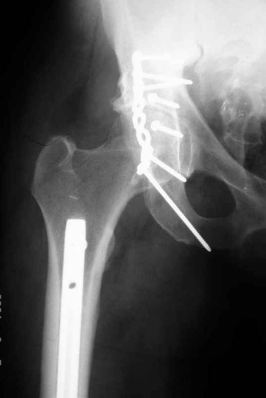
перелом крыла правой подвздошной кости, перелом обеих колонн вертлужной впадины, двусторонний перелом лонных костей (С2.2) повреждение передних связок правого крестцово-подвздошного сочленения,
ипсилатеральный перелом шейки и диафиза бедра.

> Ургентная тактика- Компьютер Томографические исследование таза и
> проксимального отдела бедра.

Инлет проекция и Кт таза были выполнены. Вот в отношении Judet views в остром периоде как то не очень лежит душа поворачивать больного

>
> Ургентно: фиксация перелома шейки и перелома бедра.

К сожалению, набора для ретроградного или антеградного реконструктивного штифтования в операционной нет, поэтому доставка заняла н-ное время. Вопрос, который возник у меня- по поводу оптимальной тактики хирургии: вся фиксация в один этап из расширенного доступа или последовательно сначала бедро и позже реконструкция впадины, комбинированный доступ к впадине отдельно к передней и задней колоннам или из расширенного илеофеморального одного доступа. Все-таки решил остановиться на одноэтапном подходе и спустя 5 дней (как раз и наборы привезли) из расширенного илеофеморального доступа сначала фиксировал реконструктивным штифтом Smith&Nephews бедро и
шейку (благо перелом шейки 2 типа -относительно стабильный) затем фрагмент крыла подвздошной кости Lag screw, далее пластина на заднюю колонну и винты в переднюю колонну.(с размерами и направлением винтов ошибка вышла:-((, но интраоперационно у меня была полная уверенность , что винты *ушли* в лонную кость).


>
> Что фиксировать первым в Ipsilateral Femoral and Neck fractures, это
> часто задаваемый вопрос на экзамене в American Board of Orthopedic
> Surgery и правильный ответ: фиксация шейки затем бедро.

Вопрос интересный, но практически закрытая репозиция нестабильного перелома шейки бедра при нефиксированном диафизарном переломе представляется мне сложным делом, ведь необходимая дистракция и ротационный маневр, прежде всего прикладываются к диафизарному перелому. С открытой техникой это проще, но каков принципиальный момент в подходе, требуемом американским бордом?
Ведь очевидно, что фиксация ипсилатеральных переломов осуществляется в один этап и второй момент в том, что все разнообразие реконструктивных штифтов предназначенных для фиксации ипсилатеральных переломов основано на фиксации диафиза и потом через направитель проводится винт в шейку и не наоборот?
Хотя если рассматривать поэтапный подход, то безусловно шейка фиксируется в первую очередь(если состяние больного не позволяет выполнить все одномоментно.)
>
> Сакро-илиак разрыв рекомендуется фиксация cannulated screws, или если
> разрыв небольшой

Учитывая, что только передний связочный комплекс был поврежден( по данным КТ),поэтому от фиксации винтами я воздержался.

>
> В зависимости от оснащения и опыта,

И первое и второе, пока в стадии равзития (свой тазовый набор госпиталь не покупает, предпочитая каждый раз заказывать из Joburga), опыт тоже постепенно появляется.

> Конечно без сомнения случай очень тяжелый и желаю успеха, если туго с
> имплантами сообщи.
>
>
Еще раз спасибо за комментарии и готовность помочь с имплантами. Постоп картинки в приложении,

С наилучшими пожеланиями,
Евгений Чекашкин
  • Сообщения о Ортопедия и травматология
  • Также Evgueny Tschekashkin
  • Связаться с автором
  • Ответить

    Re: Acetabular fracture
    Anatoly F. Lazarev 09 Сентябрь 2004, 00:30
    Женя, Молодец, видел твою работу, просто пишу по этому адресу. Подумай - альтернатива накостному синтезу пластиной из заднего доступа = перкутанный остеосинтез винтом через седалищный бугор - компрессирующим винтом, хоть каннюлированным, хоть простым. Тем более, что репозицию и даже степень компрессии на затягивании винта можно увидеть спереди между отломками передней колонны. Если будет время покажу тебе один интересный таз, оперированный вчера.
    [ Ответить ]

    • Re: Acetabular fracture
      Отправитель: Evgueny Tschekashkin 09 Сентябрь 2004, 00:34
      Анатолий Федорович, День Добрый !


      > Женя, Молодец, видел твою работу

      - Что может быть лучше похвалы и профессорского доброго слова :-))

      - О перкутанной фиксации я думал, демонстрировали снимки в умных книжках и статьях.
      для меня проблему составляет точная репозиция - даже при полностью открытой зоне перелома и прямой манипуляции отломками с помощью мощных зажимов восстановить анатомию очень не просто.
      При двухколонных переломах, что мне приходилось фиксировать я наблюдал кроме видимого на Рграммах смещения отломков по ширине(которое относительно легко устраняется с помощью дистракции) незначительное ротационное смещение нижнего отдела впадины( дист часть переломанных колонн), которое мне удавалось устранять только с помощью зажимов - прямой репозиции. Для перкутанной фиксации нужна система для непрямой манипуляции отломками и репозиции, вы упомянали что-то об этом при встрече.
      есть кое-какие идеи о контроле качества непрямой репозиции, но это лучше будет обсудить во время следующего неофициального визита:-)).

      С наилучшими пожеланиями,
      Евгений Чекашкин

      [ Ответить ]
      • Re: Acetabular fracture
        Отправитель: Anatoly F. Lazarev 09 Сентябрь 2004, 19:18
        Женя. Внимательно рассмотри вертлужную впадину изнутри. Есть колонны - опорно-поддерживающие структуры в собранном виде представляют Эфелеву башню или треугольник - жесткая нагружаемая конструкция - это как остов. Внутри треугольника вписана подкова дугой кверху - это опорно-артикулирующая поверхность - точная репозиция нужна только по ней. И то я предполагаю возможны допуски не только 2 мм, но и больше. Дно впадины не участвует в артикуляции. Кроме того, по
        достаточному опыту консервативного лечения в Сов. период, не все оскольчатые переломы впадины вызывают проблемы в ближайшем периоде до 10 лет. Кроме того, существует вторичная конгруэнтность (об этом спроси у Свердловчан, особенно у Рункова). Короче, Жека - нужно новая классификация переломов вертлуги и новые критери оценки результатов смещения и репозиции, т.к. то, что мы видим глазами не соответствует X-ray, да и КТ не дает полного представления. Думай, жду твоих решений. ЛАФ.

        [ Ответить ]
        • Re: Acetabular fracture
          Отправитель: Evgueny Tschekashkin 10 Сентябрь 2004, 09:31
          > Внимательно рассмотри вертлужную впадину >изнутри. Есть колонны - опорно-поддерживающие
          >структуры в собранном виде представляют Эфелеву >башню или треугольник - жесткая нагружаемая
          >конструкция - это как остов. Внутри треугольника >вписана подкова дугой кверху - это
          >опорно-артикулирующая поверхность - точная >репозиция нужна только по ней.

          С этой моделью я знаком, кажется это модель Эмиля Летурнеля и то, что она напоминает Эйфелеву
          башню неудивительно:-))
          А если серьёзно, то полулунный хрящ при одно, двухколонных переломах всегда повреждается, тот
          же механизм split-depression, отсюда помимо репозиции колонн необходимо поднимать вдавленный фрагмент и дополнять костной пластикой. Другой момент, о котором я думаю - отрыв - разрыв ацетабулярной губы в зонах перелома колонн. Этому внимания не уделяется, хотя структура в функциональном плане важная.

          > И то я предполагаю возможны допуски не только 2 мм, но и больше.

          По известным постулатам остеогенеза для костного сращения перелома необходим прямой кость - кость контакт , хотя эволюция этого понимания привела к развитию биологической фиксации, при которой, как практика показывает, мозолеобразование наступает и приналичии межфрагментарного диастаза. Это же применительно и к регенерации хряща при мозаичной хондропластике - Cartilage floating эффект, что подтверждает допустимость межфрагментарного диастаза.
          Единственный момент, необходима стабильная первичная фиксация (при нестабильной фиксации и наличии диастаза междуфрагментами - фиброзное сращение) - эта идея подтверждена практическими
          наблюдениями - во время артропластики тазобедренного сустава деформированного в результате посттравматического артроза спустя 10 лет линии перелома вертлужной впадины были четко видны, стабилизации фрагментов впадины после травмы не было выполнено. Поэтому реконструкция впадины - дело жизненно важное: больше хирургов будет этим заниматься- меньше инвалидов будет хромать по улицам:-))


          > Дно впадины не участвует в артикуляции. Кроме
          > того по достаточному опыту консервативного
          >лечения в Сов. период не все оскольчатые переломы >впадины вызывают проблемы в ближайшем периоде
          >до 10 лет.

          Согласный я на все сто, однако сдается мне, что только краевые типа А переломы сохраняют мобильность сустава, хотя насколько безболезненны движения и их объем - ответ спорный.

          > Кроме того существует вторичная конгруэнтность (об этом спроси у Свердловчан, особенно у Рункова).

          О вторичной конгруэнтности ничего не знаю, хорошо бы спросить(адресок бы)

          > Короче, Жека - нужно новая классификация >переломов вертлуги и новые критери оценки
          > результатов смещения и репозиции,

          Раз партия сказала надо - комсомол ответил есть:-)) еще бы опыта поднабраться, пооперировать случаев 50 хотя бы для начала разгона, а там можно и определяться во взглядах и критериях, к слову, clinical pathways of acetabular fractures буду расчищать и расширять:-))

          >т.к. то, что мы видим глазами не соответствует X-ray, да и КТ не дает полного представления.

          В этом плане трехмерная реконструкция должна помочь, все агитирую местных радиографов (радиологи все очень заняты более важными делами)

          >Думай, жду твоих решений.

          Для начала можно подумать о кандидате в доктора, а там может и на доктора настоящего выучиться:-))

          С наилучшими пожеланиями, признателен за советы, а детали можно будет обсудить в пустыне Намиб после купания в водах Ворадеро (кажется там будет проходить грядущий SICOT), плотность населения в Намибии самая низкая на кв км, поэтому никакой суеты и отвлекающих моментов- можно целиком и полностью сконцентрироваться на обсуждении.
          Евгений Чекашкин

          [ Ответить ]
          • Re: Acetabular fracture
            Отправитель: Алексей Владимирович Рунков 10 Сентябрь 2004, 15:31
            Всем привет!
            Ничего не писал, т.к. шибко занят домашними делами (сыну 3 месяца.).
            > Другой момент, о котором я думаю - отрыв - >разрыв ацетабулярной губы в зонах перелома колонн. Этому внимания не уделяется, хотя структура в функциональном плане важная.>

            При двухколонных переломах повреждения губы, как правило, НЕТ - это единственная структура, которая удерживает сустваные фрагменты вместе вокруг головки бедра, что создает предпосылки при этом виде повреждения к появлению вторичной конгруэнтности (Летурнель), когда впадина становится глубже, а суставные фрагменты, как материки, разъезжаются по шарику друг от друга, но плотно его обхватывают, сохраняется шаровая опора.
            Это природное явление можно воссоздавать при поперечно-ориентированных переломах, отсекая свод - вторичная хирургическая конгруэнтность.
            Существует 3 цели оперативного лечения:
            1 анатомическая репозиция,
            2 если не получается первое - вторичная хирургическая конгруэнтность,
            3 если неполучается ни 1, ни 2ое - реконструкция для эндопротеза.
            Для достижения результата при восстановительной операции необходимо воссоздание конгруэнтности суставной поверхности свода, а не всей впадины и, тем более, можно принебречь внесуставными фрагментами, если они не участвуют в стабильности тазового кольца.
            >т.к. то, что мы видим глазами не соответствует X-ray, да и КТ не дает полного представления.

            >В этом плане трехмерная реконструкция должна помочь, все агитирую местных радиографов (радиологи все очень заняты более важными делами)

            Чтение рентгенограмм сложная штука, не у всех в голове работает компьютер с трехмерной реконструкцией в уме. Я сейчас работаю над пособиями по трактовке полипроекционной рентгенографии, многих ошибок можно избежать, научившись трактовать определенные признаки типов повреждений и отдельных особенностей (импрессия, высота перелома, объем дефекта и т.д.), упрощенный вариант пособия сейчас в Москве на рецензии.
            Полезна разработка алгоритмов рентгендиагностики, а главное - трактовки снимков.
            КТ со срезами 2 мм дает исчерпывающую инормацию о костях, трехмерка, конечно, чудо как полезна, однако без снимков в 3 проекциях тоже может дать ошибочное представление, да ине всем она доступна.
            На более важный вопрос - А что с хрящом? ответа не дает ни одно исследование, кроме как глазом посмотреть, а жаль!

            По поводу классификаций - освоить бы имеющиеся до блеска, многие вещи трактуются произвольно.
            По крайней мере, глубже вида повреждения (определения, одно- или двухколонный перелом) никто ими не пользуется, а зря. К двухколонным повреждениям сплошь и рядом по незнанию относят поперечные. Чего, например, стоит понятие высоты повреждения колонн, транстектальный он или юкстатектальный.
            На сегодня хватит, потом еще чего-нибудь напишу.

            [ Ответить ]
            • Re: Acetabular fracture
              Отправитель: Evgueny Tschekashkin 11 Сентябрь 2004, 10:10
              Уважаемый Алексей Владимирович !




              АВ> Всем привет!

              АВ> Ничего не писал, т.к. шибко занят домашними делами (сыну 3 месяца.).

              ЕИ - С ответом можно не торопиться( как-нибудь на досуге, когда возникнет
              желание) потому как воспитание подрастающего поколения причина более чем
              уважительная и знакомая, правда, 3 мес рубеж уже давно, давно позади
              >
              АВ> При двухколонных переломах повреждения губы как правило НЕТ - это
              > единственная структура, которая удерживает сустваные фрагменты вместе
              > вокруг головки бедра, что создает предпосылки при этом виде
              > повреждения к появлению вторичной конгруэнтности (Летурнель),
              ЕИ- По периметру впадины губа сохранена т.е. она не РАЗОРВАНА, но нет ли её
              ОТРЫВА хотя бы частичного при смещенных фрагментах колонн? или её природная
              эластичность настолько высока, что подобного и в принципе невозможно ? Ваш
              метод диагностики повреждена или не повреждена губа - артротомия,
              артроскопия ? или это постулат ?( прошу прощения , если вопросы несерьёзные,
              некорректные, но судя по тому , что Проф. АФЛазарев сослался на Вас, у Вас
              большой опыт в этом вопросе и мне было бы интересно знать ответ)
              АВ> Существует 3 цели оперативного лечения:
              > 1 анатомическая репозиция,
              > 2 если не получается первое - вторичная хирургическая конгруэнтность,
              ЕИ- Следуя вышеупомянутому высказыванию проф. Летурнеля, в результате
              травмы неповреждаемая губа уже создает вторичную конгруэнтность. Поэтому
              вторичная конгруэтность скорее не цель оперативного лечения, а его
              неадекватность ?
              АВ> 3 если неполучается ни 1 ни 2ое - реконструкция для эндопротеза.
              ЕИ- ????? 2ое уже очевидно до начала операции
              АВ> Для достижения результата при восстановительной операции необходимо
              > воссоздание конгруэнтности суставной поверхности свода, а не всей
              > впадины .
              ЕИ- Стабильность тазобедренного сустава при таком подходе не страдает?

              АВ> Чтение рентгенограмм сложная штука,
              ЕИ- Согласен на все сто+ очень непросто добиться качественного снимка,

              АВ> пособиями по трактовке полипроекционной рентгенографии, многих ошибок
              > можно избежать, научившись трактовать определенные признаки типов
              > повреждений и отдельных особенностей (импрессия, высота перелома,
              > объем дефекта и т.д.), упрощенный вариант пособия сейчас в Москве на
              > рецензии.
              ЕИ- есть ли электронная версия работы и если да, то как с ней можно
              познакомиться ?

              АВ> На более важный вопрос - А что с хрящом? ответа не дает ни одно
              > исследование, кроме как глазом посмотреть, а жаль!
              ЕИ- ЯМР ?

              Евгений И.Чекашкин
              WCH


              [ Ответить ]
    Re: Acetabular fracture
    Djoldas Kuldjanov, M.D. 09 Сентябрь 2004, 00:42
















    Уважаемые коллеги, Евгений

    >Инлет проекция и Кт таза были выполнены. Вот в отношении Judet views
    >в остром периоде как то не очень лежит душа поворачивать больного

    -Понимаю:., но с Judet views легче классифицировать перелом. При разработке классификации перелома ацетабулум Emil Letournel имел только три основные рентгеногафические позиции, впоследствии названные им в честь своего босса Judet (братья R&J. Judet), с которым он проработал всю жизнь. Для классификации перелома ацетабулум КТ стали применять чуть позже.

    > Вопрос, который возник у меня- по поводу оптимальной тактики
    > хирургии: вся фиксация в один этап из расширенного доступа или
    > последовательно сначала бедро и позже реконструкция впадины,
    > комбинированный доступ к впадине отдельно к передней и задней
    > колоннам или из расширенного илеофеморального одного доступа.

    -С идеей extended iliofemoral approach согласен, хотя он очень травматичный, если Вы выбрали данный доступ, то пластина должна сидеть снаружи на супра ацтабулярной поверхности?

    Осторожно с гетеротопической оссификацией, доступ дает наибольшее процент осложнении.

    Что вы делаете для профилактики НО и профилактики тромбоза (DVT), все-таки политравма и каков режим для мобилизации? Мой режим: при отсутствии других противопоказаний, ставить на костыли без нагрузки на конечность на 12 недель и назначение профилактической дозы Lovenox 40 mg ежедневно до активизации больного и с ежемесячным рентген контролем.

    Для профилактики НО одноразовая 600-1000 рад. облучение или аспирин, хотя разные мнения по поводу облучения, но при extended iliofemoral approach я бы провел одноразовую облучение.

    >Все-таки решил остановиться на одноэтапном подходе и спустя 5 дней
    >(как раз и наборы привезли) из расширенного илеофеморального доступа
    >сначала фиксировал реконструктивным штифтом Smith&Nephews бедро и
    >шейку (благо перелом шейки 2 типа -относительно стабильный) затем
    >фрагмент крыла подвздошной кости
    >Lag screw, далее пластина на заднюю колонну и винты в переднюю колонну.

    Пластина на обе колонны и Lag screw с передней к задней, тактика правильная.

    >(с размерами и направлением винтов ошибка вышла:-((, но
    >интраоперационно у меня была полная уверенность , что винты *ушли* в
    >лонную кость).

    с кем не бывает: интраоперационно порою бывает сложно оценить трехмерно, опыт и оснащение: intraoperative C-arm image and radiolucent operative table (Jackson type) and possible Judet table.

    >> Что фиксировать первым в Ipsilateral Femoral and Neck fractures,
    >> это часто задаваемый вопрос на экзамене в American Board of
    >> Orthopedic Surgery и правильный ответ: фиксация шейки затем бедро.

    >Вопрос интересный, но практически закрытая репозиция нестабильного
    >перелома шейки бедра при нефиксированном диафизарном переломе
    >представляется мне сложным делом, ведь необходимая дистракция и
    >ротационный маневр, прежде всего прикладываются к диафизарному
    >перелому. С открытой техникой это проще, но каков принципиальный
    >момент в подходе, требуемом американским бордом?

    Согласен, при открытой технике любой метод подойдет, в зависимости от оснащения, как говорят "dealer choice", кому Cadillac, кому Запорожец.
    При закрытом ипсилатерал переломе бедра и шейки, сперва фиксация перелома шейки, затем бедра, такой ответ удовлетворит американ борд.
    Ответь правильно на экзамене, а в жизни делай, как тебе нравится.

    >Ведь очевидно, что фиксация ипсилатеральных переломов осуществляется
    >в один этап и второй момент в том, что все разнообразие
    >реконструктивных штифтов предназначенных для фиксации ипсилатеральных
    >переломов основано на фиксации диафиза и потом через направитель
    >проводится винт в шейку и не наоборот?
    >Хотя если рассматривать поэтапный подход, то безусловно шейка
    >фиксируется в первую очередь(если состяние больного не позволяет
    >выполнить все одномоментно.)

    При закрытом рекон найл, да - бедро, затем шейка, я имел виду, если больной уж очень, очень тучный (если ваших краях такие больные редкость, то у меня выращенных на технологии Макдональдс уйма)
    ретроградное введение бедра штифта легче, чем антеградное.
    Обычно я временно стабилизирую шейку спицами, затем ретроградно бедро, здесь и рычаг и ротация, а потом возвращаюсь к шейке и фиксирую окончательно.
    При рекон наил, мои особенные почтения:
    (Recon Type of Nail 75% femoral Neck nonunion, Ipsilateral Neck/Shaft Fx. Complications And Their Treatment, Watson JT, Moed BR:CLIN ORTHOP 399; 78-86 2002 ) нет проблем, можно применить Рекон наил легко и быстро, только необходим обьяснить больному о возможности повторной операции на шейке.W%W

    >> Сакро-илиак разрыв рекомендуется фиксация cannulated screws, или
    >> если разрыв небольшой
    >Учитывая, что только передний связочный комплекс был поврежден( по
    >данным КТ),поэтому от фиксации винтами я воздержался.

    Правильно, согласен..

    >И первое и второе, пока в стадии равзития (свой тазовый набор
    >госпиталь не покупает, предпочитая каждый раз заказывать из Joburga),
    >опыт тоже постепенно появляется.

    Для неопытного неплохая работа, желаю в следующий раз чтобы у тебя "сэрдце не затрепетало" от увиденного после операци рентгенограммы, удачи тебе.

    А опыт конечно нужен, который набирается со временем, будешь в наших краях, зайди потолкуем. Что такое Joburga, это Казахстан?



    [ Ответить ]

    • Re: Acetabular fracture
      Отправитель: Evgueny Tschekashkin 09 Сентябрь 2004, 14:21
      Уважаемый Kuldjat,

      Спасибо за комментарии по представленному случаю.

      > -Понимаю…., но с Judet views легче классифицировать перелом.

      Согласен, с одной стороны проще и дешевле выполнить стандартные проекции вертлужной впадины, но к сожалению практически далеко не все радиографы, которые дежурят (несмотря на разъяснения, что и как надо сделать ) в состоянии воспроизвести в жизни, поэтому максимум, что я смог добиться это помимо стандартного АР view ещё и инлет, КТ для радиографов проще выполнить, а для меня информативнее и быстрее, с меньшим *сотрясением воздуха*.:-))

      > -С идеей extended iliofemoral approach согласен, хотя он очень
      > травматичный, если Вы выбрали данный доступ, то пластина должна
      > сидеть снаружи на супра ацтабулярной поверхности?

      Доступ травматичный, обширная диссекция ягодичных мышц, бедренных ротаторов, но для меня на данном этапе необходимо получить ясное представление о методологии репозиции,( хоть русский язык и богат, но английский более компактно передает идею:-)), словом - hand in experience и как только это
      понимание сформируется можно думать и о менее травматичных доступах, перкутанной фиксации, хотя для этой технологии необходим *прозрачный* стол, который Вы упомянули.
      > Осторожно с гетеротопической оссификацией, доступ дает наибольшее
      > процент осложнении.

      Опасность существует и по данным проф. Хелфета (Hospital of experimental surgery, NY) НО наступает в 50% случаев , несмотря на проводимую
      профилактику облучением и индометацином. Недавно мы обсуждали на сайте эту проблему и Николай Вольфсон поделился своим опытом , а именно, наряду со стандартным подходом, он применяет тщательную ирригацию раны перед ушиванием, по его совету промываю рану 2-3 л ирригационного раствора, в послеоперационном периоде профилактика индометационом 75 мг ежедневно 4 недели (несколько статей из JBJS показали незначительное превосходство радиации по сравнению с индометацином)

      > профилактики тромбоза (DVT),

      гепарин 2500 мг tds s/c , под контролем FBC, ранняя мобилизация больного, до удаления дренажей - в кровати( passive+ active assisted), а после, на 2-3 сутки с костылями без нагрузки на ногу, в зависимости от болевых ощущений частичная нагрузка начинается после 6-8 недель.
      Ежемесячный осмотр в поликлинике с рентгенконтролем ( хотя одна больная (несколько похудее представленной на фотографиях)так ни разу и не появилась - зачастую compliance становится проблемой)


      > ретроградное введение бедра штифта легче, чем антеградное.

      Абсолютно согласен, технически проще и особенно ценный подход при сочетании переломов бедра и б.б кости - один разрез и все фиксировано, свои локальные трудности :-)) ретроградный набор надо заказывать и мотивировать у администрации госпиталя- это все время.

      > При рекон наил, мои особенные почтения:
      > (Recon Type of Nail 75% femoral Neck nonunion, Ipsilateral Neck/Shaft
      > Fx. Complications And Their Treatment, Watson JT, Moed BR…CLIN ORTHOP
      > 399; 78-86 2002 ) нет проблем, можно применить Рекон наил легко и
      > быстро, только необходим обьяснить больному о возможности повторной
      > операции на шейке.W%W

      В представленном случае мне повезло - стабильный перелом шейки бедра - не нужно было терять время на его репозицию, но при 3- 4 типе Garden практически во всех случаях, что мне приходилось оперировать (артропластика), есть интерпозиция капсулой, видимо отсюда и высокий процент
      несращений.

      > "сэрдце не затрепетало" от увиденного после операци рентгенограммы,

      не совсем так:-))
      *затрепетало* от того, что давно ждал такого случая и наконец представилась такая возможность.


      будешь в наших краях, зайди потолкуем.

      Спасибо за приглашение,А где же эти края ?

      >Что такое Joburga, это Казахстан?

      Это местное , разговорное название Johannesburg, South Africa.


      Всего Доброго,

      Евгений Чекашкин

      [ Ответить ]

     

    ( Ответить )

    Powered by Zope  Squishdot Powered MedLink
    Посетитель: 0382923
      "По форме правильно, а по существу - издевательство" В.И.Ленин
    ©2001-2019Orthoforum Coordinator.
    [ Главная | Отправить сообщение | Поиск | Админ ]