AOTRAUMA.ORG Центр Илизарова  

Ортопедия и травматология Общие вопросы/General questions Help Информационные технологии в медицине
 вверх
 отправить
 поиск
 админ
 главная


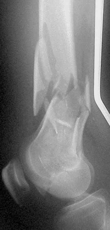
LISS failure
Ортопедия и травматология Отправлено Josep M. Muсoz Vives 11 Сентябрь 2004, 16:19
I would like your thoughts and advice about this case.
This 40 yo male suffered a car accident on Monday. His lesiones were:
- Anterior pneumothorax (minimal)
- Left tibia fracture (41-A3.3) closed
- Right femur fracture (33-C3.3) open grade III-A
On Wednesday we operated him, we used a LISS plate in either bone, when drillind we had the feeling of a 'normal' bone.
On Thersday afternoon he was alright, he is a very active man and he was moving well both knees. Later that evening he told me that while he was a little bit asleep he turned on the bed and felt pain and that the femur was loose. Here are the X-rays we took.
We are planning to reoperate him on Monday. Removing the screws from the LISS plate and drilling the medial cortex, using locking screws without the drilling tip.
Thanks in advance.
Dr. Josep M. Muñoz-Vives
Hospital Dr. Josep Trueta.
Girona
Catalonia
Spain

<  |  >

 

  • Сообщения о Ортопедия и травматология
  • Также Josep M. Muсoz Vives
  • Связаться с автором
  • Ответить

    Re: LISS failure
    Carel Goslings 11 Сентябрь 2004, 16:32
    We have had similar experiences with unicortical screws in LISS femur. In this case we would remove the LISS (can be quite difficult if screws are tightly locked in the plate), connect the two condyles with cannulated screws and re-apply LISS more distally and use the (green) bicortical screws.

    Good luck,

    Carel Goslings,

    Trauma Unit dept. Surgery

    Academic Medical Center

    Amsterdam, the Netherlands
    [ Ответить ]

    Re: LISS failure
    Frederic B. Wilson, M.D. 11 Сентябрь 2004, 16:34
    Dear Josep,

    I think the problem occured because the sagittal split was not recognized and/or adequately fixed. We have had this problem also. I usually fix the condylar split with cannulted screws placed so that they will not interfere with the LISS plate. The coronal splits must also be suspected and recognized. You may want to clamp the condylar
    fragments with the periarticular clamp prior to reinserting the locking screws. You may also want to place a lag screw in the plate, at least temporarily.



    Fred Wilson

    Tyler, Texas, USA
    [ Ответить ]

    Re: LISS failure
    Jeffrey Anglen 11 Сентябрь 2004, 16:37
    One option would be to abandon LISS, revise it with a locking condylar plate, longer, with bicortical screws in the shaft, and lag screws in the joint segment. You can put large or small fragment lags outside the plate, and some conical head screws through the plate, in addition to locking screws.

    Jeff Anglen
    University of Missouri
    [ Ответить ]

    Re: LISS failure
    Andrew H. Schmidt 11 Сентябрь 2004, 16:40
    Although I agree with the comments of the others who have responded, I wanted to add some other information gleaned from my own experience with this device.

    In this case, the fixation might have failed because of inadequate purchase of the side plate to the shaft. I say this because the initial lateral xray shows that the plate seems to be fairly anterior to the mid-axis of the femoral shaft. Once the plate pulled off of the shaft, it continued to pull out of the distal segment. With the short unicortical screws used for shaft fixation, it is imperative that the plate be applied precisely at the midline (widest diameter) of the femur. If it is applied even slightly anterior or posterior to the midline, the screws just don¹t engage the cortex. You can¹t tell by feel, since the screws lock firmly into the plate.
    The only guidance that imaging provides is to visualize the plate centered exactly on the bone on a good lateral projection, which is difficult to obtain intra-operatively. I have resorted to making a 3-4 cm incision at the top of the plate so that I can verify that the plate is exactly centered over the femur at its proximal tip.

    A second "pearl" is to place at least one or 2 lag screws between the condyles for intrafragmentary fixation before applying the LISS. Although screws were used across the coronal plane (Hoffa) fracture, I do not see any lag screws from lateral to medial. The LISS screws are designed to maintain the reduction of the distal femoral condylar mass to the shaft, but they do not function as lag screws. The intra-articular portion of the fracture demands open reduction and rigid internal fixation according to established
    principles; the LISS is used to then stabilize the reconstructed distal femur to the shaft.

    I think that this could be revised any way that one wishes ­basically starting over at the beginning. The femoral condyles are first reduced and stabilized with lag screws, then whatever plate one is comfortable with could be used to bridge the metaphysis. If the LISS is used again, be sure that the plate is precisely positioned.

    Andy Schmidt

    --
    Andrew H. Schmidt, M.D.
    Faculty, Hennepin County Medical Center
    Assoc. Professor, Univ. of Minnesota
    Minneapolis, MN
    [ Ответить ]

    • Re: LISS failure
      Отправитель: Josep M. Muсoz Vives 11 Сентябрь 2004, 18:49
      In this case, the fixation might have failed because of inadequate purchase of the side plate to the shaft. I say this because the initial lateral xray shows that the plate seems to be fairly anterior to the mid-axis of the femoral shaft. Once the plate pulled off of the shaft, it continued to pull out of the distal segment. With the short unicortical screws used for shaft fixation, it is imperative that the plate be applied precisely at the midline (widest diameter) of the femur. If it is applied even slightly anterior or posterior to the midline, the screws just don’t engage the cortex.

      I was teached not to put the plate in the middle of the shaft in a true lateral view of the femur, but rather slight anterior and internally rotated so the end part will adapt to the trapezoid shape of condyles, but still the screws will be in the maximum diameter of the shaft. On the post-op X-ray you can see a true lateral view of the femur (the posterior part of the condyles are aligned) but not of the plate (you can see them coming under). I can assure you that the plate was completely centered on the shaft.

      You can’t tell by feel, since the screws lock firmly into the plate.

      But you can tell by the drilling.

      The only guidance that imaging provides is to visualize the plate centered exactly on the bone on a good lateral projection, which is difficult to obtain intra-operatively.

      On intraoperative fluoroscopy with external rotation of the thight we confirmed that the plate was completely centered in that case.

      A second “pearl” is to place at least one or 2 lag screws between the condyles for intrafragmentary fixation before applying the LISS. Although screws were used across the coronal plane (Hoffa) fracture, I do not see any lag screws from lateral to medial.

      I fully agree with you, we should have used lag screws between the two condyles.

      Dr. Josep M. Muñoz-Vives
      Hospital Dr. Josep Trueta.
      Girona
      Catalonia
      Spain


      [ Ответить ]
    • Re: LISS failure
      Отправитель: Kevin Pugh 11 Сентябрь 2004, 18:53
      Andy's point is valid. You must place the screws at the widest diameter to avoid the screw that is cortical only.

      That being said, it can be oriented at any point on the "tube". The way I check it is to get a true "head on" view of the plate with the c-arm. If it is in the middle of the femur, you have accomplished your goal, and the screws will be safe.

      In this case, the condyles require independent fixation. You have to make a joint before you can put it on the shaft.

      Kevin J. Pugh, MD
      Chief, Division of Trauma
      Department of Orthopaedics
      The Ohio State University
      N1022 Doan Hall
      410 W. 10th Avenue
      Columbus, OH 43210

      [ Ответить ]
    • Re: LISS failure
      Отправитель: Mike Shnider 11 Сентябрь 2004, 19:23
      To my mind- remove all hardware, try to reposit the articular surface with 2-3 canulated screws,and
      after - fixation by ex-fix (Fixano or AO)

      M.Schnider
      Haifa

      [ Ответить ]
    Re: LISS failure
    Alexander Chelnokov 11 Сентябрь 2004, 17:23
    Considering that even with the plate in place there was significant malalignment, with the such revision the wrong axis would remain the same.
    However reduction of condyles is fine, so i would temporarily transfix them by few wires from medial to lateral, then remove the plate and perform closed locked nailing. For such a pattern i prefer antegrade
    though no superstitons about retrograde.
    [ Ответить ]

    Re: LISS failure
    Peter Trafton 12 Сентябрь 2004, 02:50
    Difficult case!

    Lateral x-ray does not adequately show proximal shaft & plate alignment with it. Do you think the plate was too anterior. This is an acknowledged mode of failure, as tangential unicortical screws may have minimal purchase, inspite of drill-tip passing through hard bone, and of course “good torque” as screw is tightened (into plate). If not easy to confirm intra-operatively, a short proximal incision can help to ensure correct alignment of plate with shaft.

    Condyles have separated. Would separate (peripheral ? 3.5mm, lag screws, medial to lateral or lateral to medial outside LISS footprint) lag screws have been helpful? Intercondylar fracture needs open reduction and good interfragmentary compression.

    LISS is a bit proximal, and screws are not parallel with joint line. Is there excessive valgus on appropriate AP views? You might want to check the mechanical axis using electrocautery cord stretched across knee, from center of femoral head to middle of talus.

    I think revision is appropriate, if patient is in satisfactory condition. I bet proper length unicortical screws would do well in the shaft, if the plate is applied closely to its midline. Revision should address the other issues as well.

    Good luck.

    PG Trafton
    [ Ответить ]

    Re: LISS failure
    Obremskey, William T 12 Сентябрь 2004, 10:31
    I agree w/ Andy Schmidt. The plate should be more distal and more mid-line w/ shaft.
    Most likely very few screws were in shaft or only through anterior cortex. I would remove all, lag condyles and place LISS or LCP and assure it is central on shaft. A small proximal incision allows digital palpation to assure if needed. This is helpful in "large" patients.

    Bill Obremskey
    [ Ответить ]


    ( Ответить )

    Powered by Zope  Squishdot Powered MedLink
    Посетитель: 0000054
      "По форме правильно, а по существу - издевательство" В.И.Ленин
    ©2001-2019Orthoforum Coordinator.
    [ Главная | Отправить сообщение | Поиск | Админ ]