ВХОД ДЛЯ ПАЦИЕНТОВ
вверх
поиск
админ
главная
|
Застарелый перелом вертлужной впадины |
 |
 |
 |
Прислано Смирнов Алексей 21 Сентябрь 2004, 23:35
из
Уважаемые коллеги!
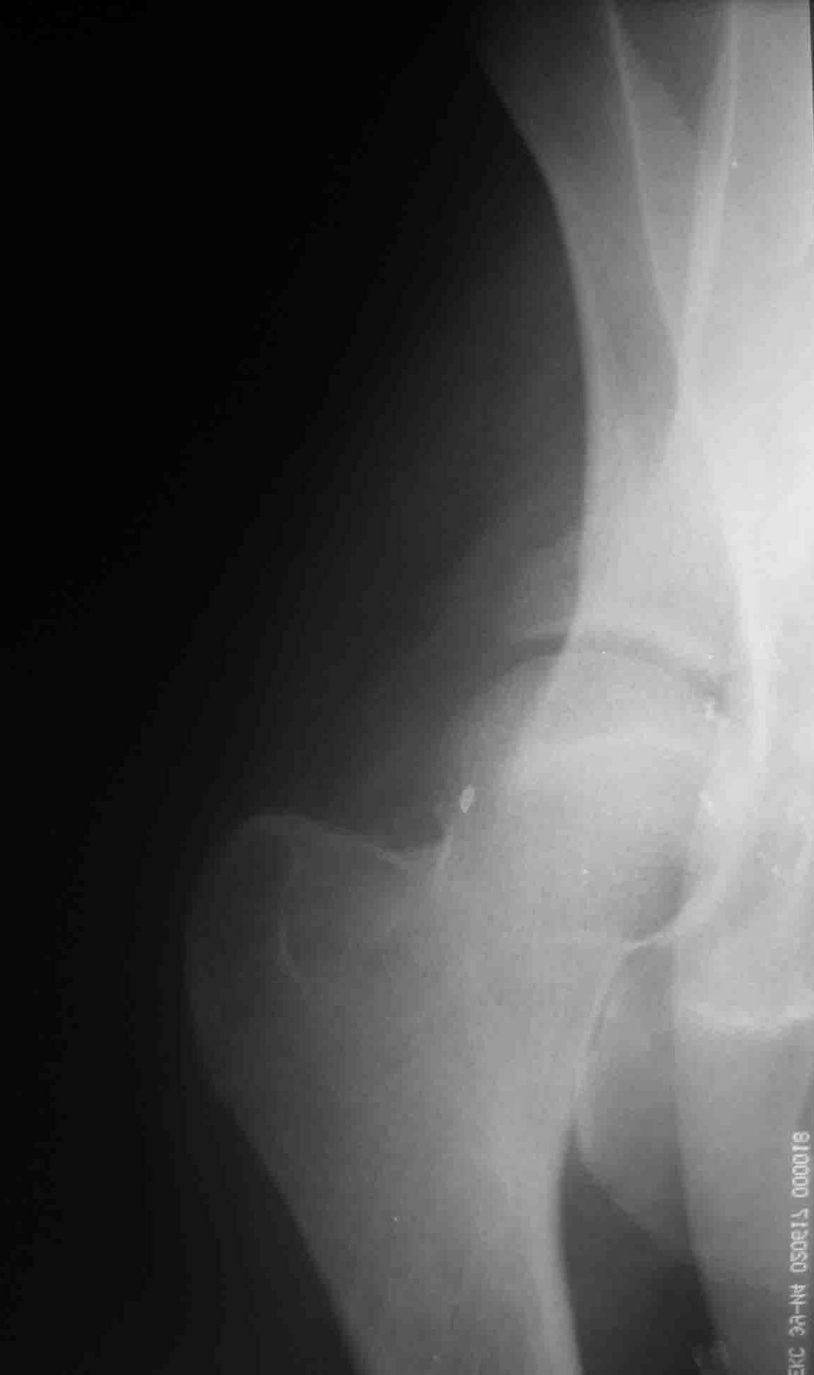
Молоодой человек 20 лет,задний вывих правого бедра, поперечный перелом и перелом заднего края правой вертлужной впадины. Самое сложное то, что после травмы уже прошло 8 недель. Планируем ввыполнить остеосинтез из двух доступов (задне-боковой и подвздошно-бедренный). Если у кого есть опыт остеосинтеза впадины из двух доступов посоветуйте с какого лучше начинать в данной ситуации.
Алексей.
Обратите внимание: Поля с жирными названиями обязательны.
Старайтесь отвечать в рамках обсуждаемой темы, а не начинать новые обсуждения.
Указывайте адекватную тему сообщения, чтобы было ясно, о чем оно.
Не послайте сообщений не по теме (оффтопик), раздраженных, грубых или обидных комментариев. Здесь это неуместно.
|