вверх
отправить
поиск
админ
главная
|
Вывих бедра после остеосинтеза шейки |
 |
 |
 |
Отправлено Вячеслав Михайлович Ткачев 22 Сентябрь 2004, 15:40
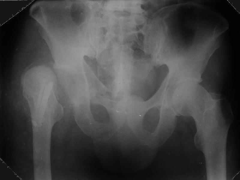
Уважаемые коллеги,Мужчина 1952 г.р. поступил в 36 больницу Екатеринбурга 1 июня 2004 г. Диагноз: Множественный перелом ребер слева, субтотальный гемоторакс, оскольчатый перелом шейки правого бедра.Повреждение таза не диагностировано. 17 июня 2004 г. - открытый остеосинтеза шейки бедра винтами с костной аутопластикой. Заживление раны первичное. Выписан 1 июля. 4 июля отметил укорочение конечности. При контрольном осмотре через 1 месяц после остеосинтеза - передний вывих бедра. Неправильно срастающийся перелом костей таза.Вопрос - особенности эндопртезирования тазобедренного сустава в этой ситуации?
<
|
>
|
|
Ответить
|
Re: Вывих бедра после остеосинтеза шейки
Alexander Chelnokov 24 Сентябрь 2004, 12:30
|
ВМТ> 17 июня 2004 г. - открытый остеосинтеза шейки бедра винтами с костной
ВМТ> аутопластикой. Заживление раны первичное.
Вот тут, похоже, собака и порылась. Почему пришлось делать открыто? Как именно открыто делали?
ВМТ> осмотре через 1 месяц после остеосинтеза - передний вывих бедра.
Не из-за того, что передние структуры сустава не восстановили?
ВМТ> Неправильно срастающийся перелом костей таза.
Перелом там от бокового сжания, похоже на LC-I, т.е. компрессионный перелом крестца и на этой же стороне лонной и седалищной. Впадина выглядит совершенно целой. Если там и есть какая-то импрессия в переднем отделе - то микроскопическая.
ВМТ> Вопрос - особенности эндопртезирования тазобедренного сустава в
ВМТ> этой ситуации?
Надо, наверно, какие-то меры принимать от такого же переднего вывиха протеза.
|
[
Ответить ]
|
Re: Вывих бедра после остеосинтеза шейки
Alisher Khamraev 24 Сентябрь 2004, 12:31
|
Уважаемый Вячеслов Михайлович,
По видимому снимки н/к сделаны в положении наружной ротации 90гр. И если даже так, то можно определить, что после выполненного остеосинтеза, шейка бедра практически отсутствует.
Даже при нормальной, не поврежденной впадине такое расположение головки относительно большого вертела обречено на вывих (теоретическое или биомеханическое обоснование можно найти в работах Рагозина А.О.).
В данной ситуации эндопротезирование, это оптимальное решение.
С уважением, Алишер
|
[
Ответить ]
|
Re: Вывих бедра после остеосинтеза шейки
Anatoly F. Lazarev 24 Сентябрь 2004, 12:33
|
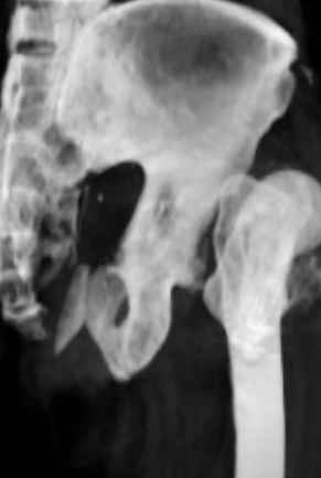
Привет Слава! Думаю, что с протезированием проблем не будет, просто внимательно посмотри положение ножки - ее ориентацию (можно уменьшить антеторсию), похоже открытая репозиция была не совсем простая, сделай
сравнительные снимки обоих суставов в одинаковом положении и увидишь все причины вывиха. Огромный привет, рад тебя читать. ЛАФ Федорович - сотрудник
36 больницы.
|
[
Ответить ]
|
( Ответить )
|
|