AOTRAUMA.ORG Центр Илизарова  

Ортопедия и травматология Общие вопросы/General questions Help Информационные технологии в медицине
 вверх
 отправить
 поиск
 админ
 главная
 Предыдущее


Re: Arthrodesis?
Michael Berenstein 24 Сентябрь 2004, 11:36




















Hi Roberto!
Nail arthrodesis for failed pilon fracture is good solution.
My example

Michael Berenstein
  • Сообщения о Ортопедия и травматология
  • Также Michael Berenstein
  • Связаться с автором
  • Ответить

    Re: Arthrodesis?
    Alexander Chelnokov 24 Сентябрь 2004, 11:45
    А подтаранный сустав-то за что пострадал?
    [ Ответить ]

    • Re: Arthrodesis?
      Отправитель: Michael Berenstein 24 Сентябрь 2004, 11:49
      А как работает подтаранный сустав после изолированного артродеза голеностопа? В литературе я не нашел убедительного ответа. По моему скромному опыту после закрытия голеностоного подтаранный болит.
      Известна и обратная ситуация - при таларнопяточном сращении (TARSAL CAOLITION) есть нестабильность и боли в голеностопе.
      А Вы как считаете?

      С уважением М.Беренштейн

      [ Ответить ]
      • Re: Arthrodesis?
        Отправитель: Alexander Chelnokov 25 Сентябрь 2004, 03:18
        MB> А как работает подтаранный сустав после изолированного артродеза
        MB> голеностопа? В литературе я не нашел убедительного ответа. По моему
        MB> скромному опыту после закрытия голеностоного подтаранный болит.

        А после замыкания обоих суставов - ничего не болит?

        MB> Известна и обратная ситуация - при таларнопяточном сращении (TARSAL
        MB> CAOLITION) есть нестабильность и боли в голеностопе.
        MB> А Вы как считаете?

        Что все суставы не лишние, и замыкать надо только то, что нельзя оставить. В рессорной функции стопы подтаранный участвует. И после ankle fusion в подтаранном боли возникают раньше, если его хирургически повредить, или замкнуть голеностоп с осевым отклонением. Или если там уже на момент артродеза голеностопа были проблемы.

        Вот сейчас глянул в Medline:
        Kopp FJ, Banks MA, Marcus RE. Clinical outcome of tibiotalar arthrodesis utilizing the chevron technique // Foot Ankle Int. 2004 Apr;25(4):225-30.

        Цитата:
        ==============================
        Eighteen patients had excellent results, 11 patients had good results, five patients had fair results, and seven patients had poor results. The most common reasons for fair or poor results were symptomatic subtalar arthritis and multiple medical comorbidities. All patients with postoperative symptomatic subtalar arthritis had preoperative radiographic evidence of subtalar arthrosis.
        ==============================

        [ Ответить ]
        • Re: Arthrodesis?
          Отправитель: Michael Berenstein 25 Сентябрь 2004, 03:21
          Я тоже думаю что лишних суставов нет. Просто пытаюсь рассуждать логично.
          Конечно после замыкания голеностопного и подтаранного суставов вся нагрузка падает на шопар и все что дистальней.
          По моим понятиям ГС и ПТ работают в паре как кардан, ГС двигается в сагитальной плоскости , а ПТ во фронтальной. Т.е. ГС работает на сгибание-разгибание, а ПТ на приведение-отведение. Если исключить движения в ГС, то стопа может немножко сгибаться в шопаре и лисфранке. эта нагрузка будет передоваться на передний отдел стопы через ПТ сустав, а он этого делать не умеет и не любит.
          Нет сомнений, после артродеза обоих суставов перегружается шопар, но у него есть больше степеней свободы движения хотя в меньшем объеме. Так что он более или менее.
          А как Вы делаете артродез?

          Best regards
          М.Беренштейн

          [ Ответить ]
          • Re: Arthrodesis?
            Отправитель: Alexander Chelnokov 25 Сентябрь 2004, 20:02
            MB> будет передоваться на передний отдел стопы через ПТ сустав, а он этого
            MB> делать не умеет и не любит.

            Таранно-ладьевидный ведь остается.

            MB> Нет сомнений, после артродеза обоих суставов перегружается шопар, но у
            MB> него есть больше степеней свободы движения хотя в меньшем объеме. Так что он

            Если подтаранный интактный, замыкать его незачем.

            MB> А как Вы делаете артродез?

            Да по-разному. Есть в том числе методика местной разработки (А.М.Лавруков) на основе циркулярной фрезы с разворотом выпиленного блока большеберцовой и таранной костей. Она была предложена с хорошим доступом, применимым и для безфрезевого артродеза - L-образный кпереди от малоберцовой кости, с ее пересечением и откидыванием кожно-костного лоскута кзади.

            [ Ответить ]
            • Re: Arthrodesis?
              Отправитель: Mike Shnider 25 Сентябрь 2004, 22:41
              Всё новое-хорошо забытое:)
              Как сейчас помню-передний окончатый спондилодез-по-кому он там?Фрезой, и с поворотом. Сейчас подумаешь - пробирает до сесамовидных.

              [ Ответить ]
            • Re: Arthrodesis?
              Отправитель: Michael Berenstein 25 Сентябрь 2004, 22:42
              Тема дествительно интересная.
              > Таранно-ладьевидный ведь остается.
              Полностью с Вами согласен. ТЛ является часть Шопара
              > Если подтаранный интактный, замыкать его незачем.
              В том то и дело , что последнее время я все больше сталкиваюсь с необходимостью замыкать ПТ после удачного ТТ артродеза. Из-за болей.
              > Да по-разному. Есть в том числе методика местной разработки
              > (А.М.Лавруков) на основе циркулярной фрезы с разворотом
              Техника знакомая и проблемная. Фрезой из хорошо кровоснабжаемой кости делается аутографт - фактически мертвая кость. Пока он васкуляризируется и приживется возьмет время. Опять же фиксация, гипс, костыли, боли.
              В этом плане артродез на гвозде очень выигрывает - нет гипса, очень стабильная фиксация, нагрузку на ногу можно давать практически с первого дня и боли в значительной степени меньше т.к. операция малотравматична и фиксация стабильная. Конечно, методика не идеальна, не свободна от осложнений и имеет свои проблемы и нюансы.

              [ Ответить ]
              • Re: Arthrodesis?
                Отправитель: Alexander Chelnokov 26 Сентябрь 2004, 10:27
                MB> В том то и дело , что последнее время я все больше сталкиваюсь с MB> необходимостью замыкать ПТ после удачного ТТ артродеза. Из-за болей.

                Если сустав был интактный, и при артродезе голеностопа его, например, не протыкать спицами, то это исключение. Что подвтерждают литературные
                данные.

                MB> Техника знакомая и проблемная. Фрезой из хорошо кровоснабжаемой кости
                MB> делается аутографт-фактически мертвая кость. Пока он васкуляризируется и
                MB> приживется возьмет время. Опять же фиксация, гипс, костыли, боли.

                По большей части аппаратом фиксировали.

                MB> В этом плане артродез на гвозде очень выигрывает - нет гипса, очень
                MB> стабильная фиксация, нагрузку на ногу можно давать практически с первого дня

                Конечно. Но если нет повода трогать подтаранный сустав, может, делать не через него, а так?

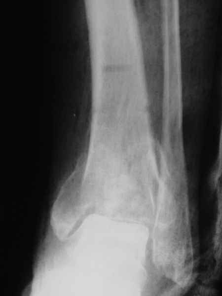
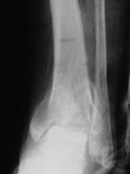
                Кликните для загрузки файла ankle.jpg
                12KB (12702 bytes)

                [ Ответить ]
                • Re: Arthrodesis?
                  Отправитель: Michael Berenstein 26 Сентябрь 2004, 10:31
                  В принципе можно и так, но тогда нет смысла загонять гвоздь. Можно 2-3 крепких шурупа. А так как-то уж слишком.

                  Best regards,
                  М.Беренштейн

                  [ Ответить ]
                  • Re: Arthrodesis?
                    Отправитель: Alexander Chelnokov 26 Сентябрь 2004, 10:37
                    Гвоздь через один сустав - слищком, а через два, причем один интактный - не слишком? :-)
                    Можно и винтами. Представляется, что это все-таки менее надежно, чем гвоздь - винты под разными углами надо проводить, и не по оси нагрузки они получатся. То есть динамизации такой, как на гвозде, не достичь. Винты, насколько я знаю, комбинируют с аппаратом, чтобы сократить время пребывания в нем.

                    [ Ответить ]
                    • Re: Arthrodesis?
                      Отправитель: Michael Berenstein 27 Сентябрь 2004, 12:00
                      Глубокоуважаемый Alexander,

                      Если винты 6, а лучше 8 мм нет, необходимости в дополнительной фиксации, только гипс.
                      На счет подтаранного сустава знающие люди сказали что даже минимальные изменения в ПТ после артродеза ТТ приводят к болевому синдрому. С другой стороны если есть артрозные изменения в обоих суставах , то протезирование ТТ в значительной степени улучшает функцию артрозного ПТ. К-А-Р-Д-А-Н!!!

                      Best regards
                      Michael Berenstein

                      [ Ответить ]

     

    ( Ответить )

    Powered by Zope  Squishdot Powered MedLink
    Посетитель: 0413909
      "По форме правильно, а по существу - издевательство" В.И.Ленин
    ©2001-2019Orthoforum Coordinator.
    [ Главная | Отправить сообщение | Поиск | Админ ]