AOTRAUMA.ORG Центр Илизарова  

Ортопедия и травматология Общие вопросы/General questions Help Информационные технологии в медицине
 вверх
 отправить
 поиск
 админ
 главная


Патологический перелом/ рецидив костной кисты
Ортопедия и травматология Отправлено Екатерина Анатольевна Озерова 28 Сентябрь 2004, 23:57
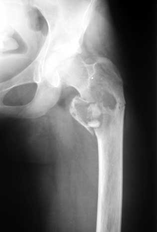
Коллеги,Полтора года назад девочке (сейчас ей 16) была сделана частичная резекция вертельной области с аутопластикой из гребня подвздошной кости.
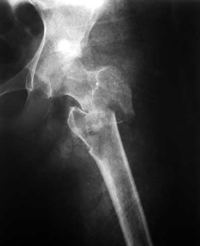
На днях - патологический перелом (первый снимок). Пока наложена кокситная повязка (второй снимок). Вопрос - как лучше вести больную? Консервативно - оставить в этой же повязке? Остеосинтез? Какой именно? Спасибо. Екатерина А. Озерова, детская ортопедическая клиника УНИИТО

<  |  >

 

  • Сообщения о Ортопедия и травматология
  • Также Екатерина Анатольевна Озерова
  • Связаться с автором
  • Ответить

    Re: Патологический перелом/ рецидив костной кисты
    Evgueny Tschekashkin 29 Сентябрь 2004, 08:18
    Уважаемая Екатерина Анатольевна,

    Оперативное лечение, мне думается, будет все-таки предпочтительнее иммобилизации в коксите.
    (восстановление шеечно-диафизарного угла, кюрретаж полости с гистологическим исследованием материала, секвестрэктомия, повторная костная пластика и ранняя мобилизация тазобедренного сустава) судя по толщине кортикального слоя, двигательная активность у барышни и до перелома оставляла желать лучшего, поэтому ранняя нагрузка на ногу будет способствовать сращению перелома. Сложно советовать о методе фиксации - что Вы используете рутинно для фиксации подвертельных переломов -этим и следует воспользоваться.
    Реконструктивные гвозди, PFN, gamma nails etc. были бы предпочтительны ввиду меньшей интраоперационной травмы для тканей и возможности ранней динамизации, способствующей мозолеобразованию.DCS или 95 град. клинковая
    пластина менее предпочтительны и потребует более массивной костной пластики для замещения дефекта, расширенной диссекции мягких тканей и биомеханически не самое лучшее решение (вероятность протрузии клинка через шейку бедра и
    варизации шеечно-диафизарного угла в связи с отсутствием полноценной кости по медиальному контуру проксимального отдела бедра).

    Удачи,
    Евгений И. Чекашкин
    [ Ответить ]

    Re: Патологический перелом/ рецидив костной кисты
    Mike Shnider 29 Сентябрь 2004, 08:24
    Господа! диагноз то какой??? Что было на гистологии?
    [ Ответить ]

    • Re: Патологический перелом/ рецидив костной кисты
      Отправитель: Екатерина А.Озерова 29 Сентябрь 2004, 13:06
      Диагноз: костная киста межвертельной области - подтвержден гистологически

      [ Ответить ]
      • Re: Патологический перелом/ рецидив костной кисты
        Отправитель: Mike Shnider 01 Октябрь 2004, 17:59
        В данном случае я сделал бы фиксацию с 90 градусной L-plate, и после сращения оценить - если полость закрылась-слава Б-гу,нет-уколоть внутрь стероиды или урографин под давлением. Bone graft не нужен. Всё это касается естественно только simple bone cyst.

        [ Ответить ]
    Re: Патологический перелом/ рецидив костной кисты
    J. Odessky MD. 30 Сентябрь 2004, 13:44
    Здравствуйте, уважаемые коллеги!
    На мой взгляд можно применить 2 метода лечения...
    1- PFN + Bone graft., Я не стану повторяться, т.к. уважаемый Евгений И. Чекашкин уже написал об этом, с чем я полностью согласен.
    2- Метод Илизарова. Не изменяя положения отломков ( сейчас есть контакт между ними и обьём кисты уменьшился ) Наложить аппарат Илизарова из дуги на проксимальный отломок с 2-мя шурупами Шанца (лучше применять конусовидные , диаметром 6 мм.и предварительным рассверливанием) и 1-2 спицы, удлинённое полукольцо или дуга дистальнее перелома на 2- шурупах Шанца и ещё одно кольцо внизу на спицах.
    Можно даже задавить на неделю, а потом растянуть и сопоставить со скоростью обычного удлинения. Регенерат заполнит полость кисты и приведёт к сращению. К сожалению, я не могу показать подобный пример, но в Кургане такой опыт есть.

    Проблемы с таким методом:
    а) Трудность фиксации проксимального отломка.
    б) Трудность закрытого сопостовления в аппарате Илизарова... В этом плане аппарат Тэйлора или Гексаподная приставка к аппарату Илизарова, позволяющие компьютаризировать процесс иправления деформации могут помочь.
    в)Инфекционные осложнения, которые при правельной технике введения спиц и шурупов и соответствующему уходу, могут быть сведены к минимуму.
    г)Болезненность и неудобство для больной
    д)Необходимость большего внимания со стороны лечащего врача.

    Что касается меня,учитывая,что в прошлом девочка перенесла костную пластику, я бы предпочёл Метод Илизарова, как дающий лучший результат, только сделал бы это с аппаратом, позволяющим с помощью программы точно расчитать процесс редукции перелома.

    С уважением!
    [ Ответить ]

    • Re: Патологический перелом/ рецидив костной кисты
      Отправитель: Alexander Chelnokov 30 Сентябрь 2004, 19:35
      JOM> б) Трудность закрытого сопостовления в аппарате Илизарова... В этом

      При свежем переломе эту проблему легко решает та или иная предварительная тракция, позволяющая достичь хорошей репозиции еще до наложения аппарата.

      JOM> Что касается меня,учитывая,что в прошлом девочка перенесла костную
      JOM> пластику, я бы предпочёл Метод Илизарова, как дающий лучший результат,

      Ожидаемый результат - опорная безболезненная конечность с правильной длиной и осью, без косметических дефектов, с минимальным риском
      рецидивов и рефрактур в дальнейшем.
      В каком аспекте метод Илизарова даст лучший результат в сравнении с DHS или PFN?

      [ Ответить ]
      • Re: Патологический перелом/ рецидив костной кисты
        Отправитель: J. Odessky MD. 01 Октябрь 2004, 00:02
        Уважаемый Александр!
        Вы пишите:"При свежем переломе эту проблему легко решает та или иная предварительная тракция, позволяющая достичь хорошей репозиции еще до наложения аппарата".
        Так вот это тот самый случай, когда одномоментная редукция не нужна... Нужно либо резицировать область кисты, либо задавить до полного контакта отломков, пускай даже будет смещение по ширине...Потом постепенной дистракцией заполнить дефект кости, вызванный кистой.В этом и преимущество Метода Илизарова перед любым другим.
        С уважением!


        [ Ответить ]
        • Re: Патологический перелом/ рецидив костной кисты
          Отправитель: Alexander Chelnokov 01 Октябрь 2004, 00:40
          Приветствую, Яков,

          Friday, October 1, 2004, 12:06:29 AM, you wrote:

          JOM> Так вот это тот самый случай, когда одномоментная редукция не нужна...

          Доводилось такие переломы лечить (эпизодически) просто фиксацией аппаратом до сращения. Оно никогда не происходило по типу "сварного шва", было и периостальное костеобразование, и область кисты заполнялась. А после созревания скелета проблема и вовсе "саморассасывалась".

          JOM> Нужно либо резицировать область кисты, либо задавить до полного
          JOM> контакта отломков, пускай даже будет смещение по ширине...Потом
          JOM> постепенной дистракцией заполнить дефект кости, вызванный кистой.

          Не спорю, такой подход очевидно также приведет к сращению. Но будет ли результат лучше, или достигнут раньше, чем при просто одномоментной репозиции и фиксации?

          Насчет резекции области кисты... Не будучи детским ортопедом, не могу уверенно утверждать, насколько это требуется. В тех нескольких случаях, которые я помню по нашему отделению (взрослой травмы), не делали ни разу. Проблем не было.

          JOM> В этом и преимущество Метода Илизарова перед любым другим.

          Конечно, возможность управления положением отломков - это огромное достоинство. Однако для такого случая, по-моему, можно исходить и из достаточности только фиксации после одномоментной репозиции. А при таком подходе внутреннее шинирование практичнее.

          Насчет предлагавшихся резекции, костной пластики - так ли это надо при _кисте_? Это же не опухоль. Что скажут детские ортопеды? Кстати - такого плана операция и была предпринята полтора года назад - как видим, от патологического перелома не спасло.

          [ Ответить ]
          • Re: Патологический перелом/ рецидив костной кисты
            Отправитель: Mike Shnider 01 Октябрь 2004, 18:02
            Саша-ты абсолютно прав-не нужна резекция,не нужен bone graft-сомневающихся отсылаю к последнему изданию Taijan Реdiatric orthopaedic.

            [ Ответить ]
            • Re: Патологический перелом/ рецидив костной кисты
              Отправитель: Alexander Chelnokov 01 Октябрь 2004, 21:03
              А что это за издание и доступно ли оно в сети?
              Или у тебя есть, может, соотвтетствующий текст в компьютерном виде?
              Заранее спасибо.

              [ Ответить ]
              • Re: Патологический перелом/ рецидив костной кисты
                Отправитель: Mike Shnider 01 Октябрь 2004, 21:06
                Это я так фамилию исковеркал? - недостаток виртуальой клавиатуры - проускает буквы

                Книга Tachdjian`s Pediatric orthpaedics - есть издание новое - 2002 года.И есть ещё классная книга Lovell and Winters с диском-если найду у кого диск - попробую переслать.

                [ Ответить ]
    Re: Патологический перелом/ рецидив костной кисты
    Екатерина Анатольевна Озерова 06 Октябрь 2004, 11:53













    Уважаемые коллеги!
    Спасибо за все ответы и комментарии по этому вопросу. Неделю назад мы прооперировали пациентку. Представляем ее снимки.

    [ Ответить ]

    Re: Патологический перелом/ рецидив костной кисты
    Билялов Азат 14 Октябрь 2004, 17:50
    Получилось очень красиво! У меня возникло два вопроса: 1) проводилось ли выскабливание полости; 2) проводилась ли пластика?
    Заранее спасибо за ответ.
    С уважением Билялов
    [ Ответить ]

    • Re: Патологический перелом/ рецидив костной кисты
      Отправитель: Озерова Екатерина 18 Октябрь 2004, 08:12
      Уважаемый Азат! Ответ на оба Ваши вопроса - отрицательный.

      [ Ответить ]
    Re: Патологический перелом/ рецидив костной кисты
    Волокитина Елена Александровна 20 Октябрь 2004, 16:31
    Уважаемая Екатерина Анатольевна!
    Интересно посмотреть положение фрагментов на боковой проекции. Закрытый остеосинтез аппаратом Илизарова вкупе с хорошей компрессией между фрагментами и нагрузкой конечности в процессе фиксации кисту "вылечат". Во время выполнения остеосинтеза можно уменьшить медиализацию,наружную ротацию дистального фрагмента, откорректировать ШДУ и все это без больших разрезов. Тем более, что этим методом Ваша клиника прекрасно владеет.

    [ Ответить ]

    • Re: Патологический перелом/ рецидив костной кисты
      Отправитель: Пулатов Андрей Рифгатович 24 Октябрь 2004, 15:57
      Уважаемая Елена Александровна, у нас в клинике рассматривался вариант применения ЧКДО и у нас есть опыт разных подходов в лечении костных кист начиная от применения ингибиторов протеаз заканчивая дублированием отломков при внедрении нижнего в верхний за счёт разницы диаметров и компенсации укорочения за счёт дистального метадиафиза внедрения ( Казанская методика ), но в данном случае применение ЧКДО потребовало бы много времени нахождения в клинике, а т.к. больная из области, ребёнок неконтактный, мама с психиатрическим диагнозом т.е социальные показания склонили к выбору такой тактики.
      Ранее такой подход нами не применялся. Результы лечения покажем на Форуме. Спасибо за комплимент клинике.
      С уважением.


      [ Ответить ]

     

    ( Ответить )

    Powered by Zope  Squishdot Powered MedLink
    Посетитель: 0000081
      "По форме правильно, а по существу - издевательство" В.И.Ленин
    ©2001-2019Orthoforum Coordinator.
    [ Главная | Отправить сообщение | Поиск | Админ ]