AOTRAUMA.ORG Центр Илизарова  

Ортопедия и травматология Общие вопросы/General questions Help Информационные технологии в медицине
 ВХОД ДЛЯ ПАЦИЕНТОВ
 вверх
 поиск
 админ
 главная


Отводящая контрактура
Ортопедия и травматология Прислано Юрий Алексеевич Булахтин 18 Октябрь 2004, 17:59
из
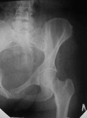
Уважаемые коллеги! Хотел-бы обсудить интерессный, на мой взгляд, случай. На консультацию пришла женщина 45 лет с отводящей контрактурой правого бедра.
Из анамнеза: в ноябре 2002г. оступилась,упала на трап самолета (на верхней площадке, сразу при выходе из салона) на правый тазобедренный сустав, а затем - вниз на землю на ноги и ягодицы. Потеряла сознание от боли. Доставлена в больницу по месту жительства, лечилась консервативно с диагнозом кокцигодиния. На рентгенограмме от 27.11.02г. вывиха копчика не определяется (снимок идентичен представленной R-грамме от28.11.03г., кроме этого есть нормальная R-грамма копчика в боковой проекции).Через три недели стала ходить, но привести правую ногу в тазобедренном суставе не могла. Сейчас ходит отведя кнаружи правое бедро и голень, как ножку циркуля (фото 1). Неврологических нарушений нет. По просьбе врача может на 30-40 секунд поставить ноги вместе (фото 2). При этом испытывает сильную тянущую боль и ощущение "вывернутости" в правом тазобедренном суставе. Эти ощущения заставляют вновь отвести бедро. В положении лежа разогнуть бедро полностью не может из-за болей в ягодичной мышце (фото 3). Сгибание также ограничено из-за болей (фото 4). Отведение в положении лежа возможно в том же объеме, что и стоя (фото 5). Заподозрен старый разрыв правого крестцово-подвздошного сочленения. Выполнено R-исследование и КТ(в приложении). По-поводу деформации лонного сочленения выяснен гинекологический анамнез. Роды одни, нормальные в 22 года. Из роддома выписана на 8 сутки, нарушения походки не было, R-графия таза не проводилась. Вопросы на обсуждение: 1. Диагноз либо алгоритм дальнейшего обследования. 2. Лечебная тактика (в первую очередь возможность и целесообразность оперативного лечения).

Послать ответ

Имя
Email
Уведомление Сообщить мне по e-mail об ответах на это сообщение
Название
Комментарий
(Проверьте URL! Не забудьте написать http://!)
Кодировка
Если не знаете, что выбрать, выберите "Просто текст"!
Приложение
Можно приложить к сообщению файл c изображением, который затем будет доступен увидевшим сообщение.
Подготовка иллюстраций:
  • Рентгенограммы: черно-белые полутоновые изображения в формате JPEG (8 bit, greyscale) с разрешением от 300х200 до 1024х768 пикселов;
  • Клинические фотографии: полноцветные изображения в формате JPEG (24 bit, truecolor) с разрешением от 300х200 до 1024х768 пикселов;
  • Схемы и рисунки: черно-белые (2 bit) штриховые (line-art) изображения в формате GIF или compressed TIFF
  • Подберите степень сжатия файла JPEG и размер изображения таким образом, чтобы необходимые детали были различимы, но размер файла не превышал 75 кб.
  • Учтите, что текущая версия программного обеспечения Форума позволяет приложить к одному сообщению лишь один файл-вложение. Поэтому, если необходимо отправить несколько изображений, можно либо послать каждое как отдельное сообщение, либо в графическом редакторе объединить изображения в одно (сделать коллаж).
  • Если при подготовке изображений встречаются трудности, не стесняйтесь обратиться к координатору Форума.

  • Введите видимые символы в обратном порядке. Enter the above characters in reverse order (*Обязательно)
    В тексте сообщения можно использовать теги HTML <B> <I> <P> <A> <LI> <OL> <UL> <EM> <BR> <TT> <HR> <STRONG> <BLOCKQUOTE> <DIV .*> <DIV> <P .*>
  • Обратите внимание: Поля с жирными названиями обязательны.
  • Старайтесь отвечать в рамках обсуждаемой темы, а не начинать новые обсуждения.
  • Указывайте адекватную тему сообщения, чтобы было ясно, о чем оно.
  • Не послайте сообщений не по теме (оффтопик), раздраженных, грубых или обидных комментариев. Здесь это неуместно.
  • Powered by Zope  Squishdot Powered MedLink
    Посетитель: 0200269
      "По форме правильно, а по существу - издевательство" В.И.Ленин
    ©2001-2019Orthoforum Coordinator.
    [ Главная | Отправить сообщение | Поиск | Админ ]