Ответить
|
Re: Open supracondylar femur fx
Adam J. Starr, M.D. 31 Октябрь 2004, 11:54
|
Hello Dr. Balogh.
My choice would be to do give the patient antibiotics, do a thorough I&D, and reduce and stabilize the fracture with a locking plate, such
as a LISS.
Good luck.
|
[
Ответить ]
|
best fucking tit
Отправитель: Hinyinvinsnup 13 Декабрь 2007, 21:34
|
24]adultery sex stories
http://freeimghost.trafflow.com/imgmov/1/th14.jpg http://freeimghost.trafflow.com/imgmov/1/th23.jpg
http://freeimghost.trafflow.com/imgmov/1/th42.jpg http://freeimghost.trafflow.com/imgmov/1/th69.jpg
http://freeimghost.trafflow.com/imgmov/1/th88.jpg http://freeimghost.trafflow.com/imgmov/1/th108.jpg
http://freeimghost.trafflow.com/imgmov/1/th128.jpg http://freeimghost.trafflow.com/imgmov/1/th140.jpg
sex bulletin boards
sophie lesbian, horny housewife free porn, amateur facial michelle, sexy fancy dress costume,
sex calories burnt
sexy mug, forbidding sex, industry japan sex, right off a fucking cliff,
convivio sexo
army sexual harassment policy, ca registered sex offenders, rabbit and sex in the city, foot sex cum,
sex club review
japanese woman sex photo, hairy male model sexy, black lesbian pic porn, cindys sex palace,
what the fuck is that hot pink lip gloss
sexy hot naked girls, darlene sex, gay sex manual, belle beast sex,
leaves an emptiness. When he returns he fills my arse and belly and head. sexy ass pic my space as we roll, still joined, onto our sides.
weight presses against my legs as he leans forward. He electrician essex I push against him tentatively. I need to rotate my hips,
move quicker but I don't let him. As he --- we --- pull out he sex spy video world abandons my want and then the head of his erection is
His touch reaches the intersection. man and woman party sex He dribbles spit into my crack and along his shaft. I pull him
other rests against the back of my neck. little teen sex His thumb finds its way along the crack of my arse to my
are, again, on my shoulders. I relax as he massages. My perth sex personals He might go east and west to the colonies of my shoulders
opening. It rests there before slowly, increasingly, pressing sexy business women me wider, smoothing my puckers.
He folds his stomach around the arc of my arse. His hands sexo y pornografia leaves an emptiness. When he returns he fills my arse and belly and head.
runs his tongue along the rim of my opening. His spittle is lesbian barbie His thumb finds its way along the crack of my arse to my
oozes away. I slip a fraction around him. His pressure shifts free preteen porn for my animal heart within. The grain of my muscle rolls
It presses against my stomach. designed porn woman my space as we roll, still joined, onto our sides.
|
[
Ответить ]
|
|
Re: Open supracondylar femur fx
Bruce P. Meinhard 31 Октябрь 2004, 11:56
|
Irrigate, Debride, Prophylactic Antibiotics,Anti- tetanus Prophylaxis, ORIF with LISS Plate or equivalent device (Blade Plate or Dynamic Hip
Screw).
|
[
Ответить ]
|
Re: Open supracondylar femur fx
Alexander Chelnokov 31 Октябрь 2004, 11:58
|
Antegrade closed locked nailing works very fine for such a fracture pattern in our settings. Same must be about retrograde. Maybe after a period of ex-fix and soft tissue healing - depends on the wound condition and local protocols.
Dear colleagues who prefer LISS or other plate for the case - why?
|
[
Ответить ]
|
Re: Open supracondylar femur fx
Отправитель: Frederic B. Wilson, M.D. 31 Октябрь 2004, 12:01
|
Alex,
Re LISS: Easier. Less difficulty with controlling the intercondylar segment.
No further damage to the knee joint (retrograde). No involvement of the hip area (antegrade). Better options for controlling Varus/valgus, procurvatum/recurvatum at the fracture with this segmental defect.
FredFrederic B. Wilson, M.D.
Trauma & Adult Reconstruction
ETMC First Physicians - Orthopaedic Trauma
700 Olympic Plaza Circle, Suite 510
Tyler, TX, 75701
|
[
Ответить ]
|
Re: Open supracondylar femur fx
Отправитель: Alexander Chelnokov 31 Октябрь 2004, 12:05
|
FBWMD> Re LISS: Easier.
AFAIR there are specific pitfalls of the technique.
FBWMD> Less difficulty with controlling the intercondylar segment.
Temporary wires solve the problem.
FBWMD> No further damage to the knee joint (retrograde).
Do you really mean tissue dissection needed for the plate placement provides no further damage of the joint and periarticular structures?
FBWMD> No involvement of the hip area (antegrade).
This hardly ever is of great importance for a case like this. BTW modern nail design for lateral insertion minimizes the involvement.
FBWMD> Better options for controlling Varus/valgus,
FBWMD> procurvatum/recurvatum at the fracture with this segmental defect.
Using of some wires secured to the Ilizarov ring or arc provides any needed control.
Dynamization can also be a useful option.
|
[
Ответить ]
|
Re: Open supracondylar femur fx
Отправитель: Terry Finlayson 02 Ноябрь 2004, 01:11
|
I would make a strong argument that lateral soft tissue dissection for plate placement (especially since debridement of open fracture is necessary anyway) is much less damaging to the articular surface than a retrograde nail.
Also, even though antegrade nailing is possible, all the discussion about using Ilizarov wires, rings and/or arcs takes this method from the realm of straightforward to the complex IMHO.
I think retrograde IM nail is a good option, but one needs to be sure that the fracture is out to length with this comminuted metaphysis.
I have used 95 degree blade plates, condylar screws w/ side plate, supracondylar nails, long retrograde IM nails and now, more recently the locking anatomic plates. The locking plate technology is a big step forward in my hands to achieve better reduction and more stable fixation
while preserving blood supply in these fractures.
Terry I. Finlayson, M.D.
Logan, UT USA
|
[
Ответить ]
|
Re: Open supracondylar femur fx
Отправитель: Zsolt Balogh 31 Октябрь 2004, 12:13
|
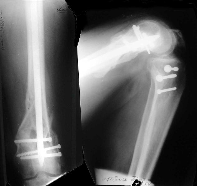
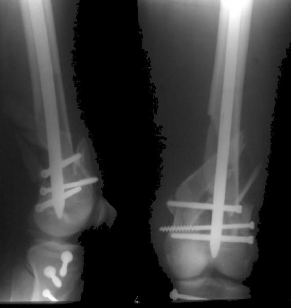
Dear Alex,
This is what we have done... As generally true for LISS look at the bone not the hardware.
There are two more srews above. The one not completely in got damaged head.
Zsolt
|
[
Ответить ]
|
Re: Open supracondylar femur fx
Отправитель: Alexander Chelnokov 31 Октябрь 2004, 20:44
|
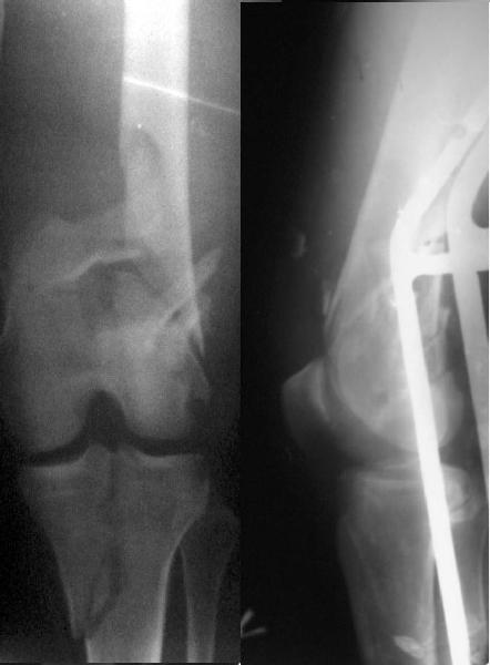
And why LISS is superior here than nail?
Look what we would have done.
|
[
Ответить ]
|
Re: Open supracondylar femur fx
Отправитель: Zsolt Balogh 31 Октябрь 2004, 20:46
|
I would not say that the LISS is superior to the nail. If I would, I had not post original mail. I wanted to generate discussion. Your option is a very viable one. I feel a little bit shaky the distal femur, but it is just gut feeling no science behind it. Any way nice fixation, congarts!
Best regards,
Zsolt
|
[
Ответить ]
|
Re: Open supracondylar femur fx
Отправитель: Alexander Chelnokov 31 Октябрь 2004, 20:55
|
ZB> would, I had not post mail original mail. I wanted to generate
ZB> discussion.
Hope it will be.
ZB> Your option is a very viable one. I feel a little bit shaky
ZB> the distal femur, but it is just gut feeling no science behind it.
What do you mean?
ZB> Any way nice fixation, congarts!
Same to you ;-))
I presented the series at EuroTrauma in May. The "Distal Femur" section of the meeting was very interesting.
|
[
Ответить ]
|
|
Re: Open supracondylar femur fx
Frederic B. Wilson, M.D. 31 Октябрь 2004, 11:59
|
On second washout I would stabilize the intercondylar split with cannulated lagged screws and apply a Femoral LISS plate through a small incision.
Fred
Frederic B. Wilson, M.D.
Trauma & Adult Reconstruction
ETMC First Physicians - Orthopaedic Clinic
700 Olympic Plaza Circle, Suite 510
Tyler, TX, 75701
|
[
Ответить ]
|
Re: Open supracondylar femur fx
Tom DeCoster 31 Октябрь 2004, 12:07
|
Perfect for retrograde nail + lag screw with this large a distal fragment and this much meta-diaphyseal comminution and this degree of soft tissue injury.
after treatment of open fracture
MUCH less muscle dissection laterally and at the very comminuted distal diaphysis, equal to better fixation with less blood loss, probably better early motion and earlier weight bearing. IF you do have a problem it will be easier to handle than if LISS or other plate fails.
TD
|
[
Ответить ]
|
Re: Open supracondylar femur fx
Nikolaj Wolfson 31 Октябрь 2004, 23:18
|
Both options are good, my concern with LISS:
1. In this particular case 2 things may happen:
A. Knee stiffness
B. If the gap left as wide as it is on the post op x ray it may led to Non union.
Solution:
For A.: use plate with better proximity to the bone, to free up the IT band (may not be LISS, Zimmer, and I think now Smith and Nephew lately, make very good distal femur plates
For B: compress the fragments (shorten the femur), 1 cm will not affect extremity/ gait in any substantial way.
Great case.
Nikolaj Wolfson, MD, FRCSC
West Virginia University,
Morgantown, West Virginia, USA
nwolfson@hotmail.com
|
[
Ответить ]
|
Re: Open supracondylar femur fx
M. Bryan Neal, MD 02 Ноябрь 2004, 01:15
|
Pulsatile I&D, perc can screws to maintain reduced condyles, spanning ex-fix across knee joint.
repeat in 48 hours, I&D
when definitive fixation possible based on wound, probable retrgrade nailing, accepting risk of condyle displacement and careful attention to screw placement initially (if done at a separate time of IM nailing). I would probably supplement with BMP (but this is $5,000).
--
Sincerely and respectively,
M. Bryan Neal, MD
Arlington Orthopedics and Hand Surgery Specialists, Ltd.
1100 W. Central Road, Suite 304
Arlington Heights, Illinois 60005
|
[
Ответить ]
|
Re: Open supracondylar femur fx
Sean E. Nork 02 Ноябрь 2004, 01:16
|
Perhaps this can fixed with a relatively inexpensive implant such as a 95 degree angled blade plate after reduction and stabilization of the intercondylar component of the fracture with strategically placed lag screws. If indirect reduction techniques are used, this is still likely to heal (ala Bolhofner) without bone graft.
Sean
Sean E. Nork, MD
Dept Orthopaedic Surgery
Harborview Medical Center
|
[
Ответить ]
|
Re: Open supracondylar femur fx
Tim Kavanaugh 02 Ноябрь 2004, 01:17
|
Having trained under orthopaedic traumatologists in residency I have a huge amount of respect for the opinions that have been recorded on this topic. Since I have been in private practice for over two years now,h I know how this would be treated. In private practice this would get cannulated screws across the intra-articular component and a retrograde nail. This is a no brainer. All of the opinions about the LISS plate are great, but if you dont have residents, this takes too much time. No one can argue about the healing potential of a retrograde nail in this situation.
Tim Kavanaugh MD
Anchorage, AK
|
[
Ответить ]
|
Re: Open supracondylar femur fx
Отправитель: Frederic B. Wilson, M.D. 15 Ноябрь 2004, 15:54
|
Tim,
Level I Trauma Center, ETMC in Tyler Texas. No residents. This is about a 30-40 minute case for us. More stable, less worry about varus/valgus toggle, less damage to the knee joint.
Fred
Frederic B. Wilson, M.D.
Trauma & Adult Reconstruction
ETMC First Physicians - Orthopaedic Clinic
700 Olympic Plaza Circle, Suite 510
Tyler, TX, 75701
|
[
Ответить ]
|
Re: Open supracondylar femur fx
Отправитель: Chip Routt 15 Ноябрь 2004, 15:58
|
Tim-
You've recommended a technique in Alaska based on perceived technical speed?? Would you choose/advocate that for your surgeon...your surgeon chooses your operation based on how fast he/she can accomplish the procedure?
Do you also suggest that we speed the irrigation because one liter is faster than six or twelve? Do you advocate that we limit the debridement to the easily visualized field because extending the wound margins to further explore would take more time? If speed is the focus, why advocate cannulated screws...why not just sling in a few cheaper screws? Chop-chop!
Please consider the patient management based on quality of care principles (debridement, reduction, stability, wound management, rehab) rather than operative speed and resident allocations.
We learned a long time ago that a fast operation/surgeon does not necessarily reflect improved surgical skill and result. We also know that an expensive implant does not always equal a good implant.
Surgery should not be a race, unless we have a patient in a dire situation.
Many surgeons also realize that helping residents-in-training learn how to care for patients does not necessarily facilitate an operative event.
Let's accept that we're all trying to be efficient, but please don't lose sight of the patient and his/her situation.
There are numerous ways to successfully treat this patient's open femur fracture, and each method has its own issues and benefits.
Wound and fracture debridement, articular reduction, axial alignment and rotation, and stability must be prioritized, and in turn should diminish infection risk and speed recovery.
A planed and methodical initial operation likely avoids subsequent іcorrective/recovery procedures.
Quality-
Chip
|
[
Ответить ]
|
|
Re: Open supracondylar femur fx
Ilizarov User 02 Июль 2012, 05:26
|
I have a fracture very similar to this one, almost the same thing, the doctors here decided to use an ilizarov frame, they removed the damaged bone, and made a bone transport: here you can watch a video of my frame: http://www.youtube.com/watch?v=yPoqIuanisY
|
[
Ответить ]
|
( Ответить )
|
|