AOTRAUMA.ORG Центр Илизарова  

Ортопедия и травматология Общие вопросы/General questions Help Информационные технологии в медицине
 вверх
 отправить
 поиск
 админ
 главная


Несросшийся перелом вертлужной впадины
Ортопедия и травматология Отправлено Salavat Salavatov 23 Ноябрь 2004, 21:20
Здравствуйте, уважаемые коллеги. Хотелось бы услышать ваше мнение в отношении тактики леченияследующего пациента:
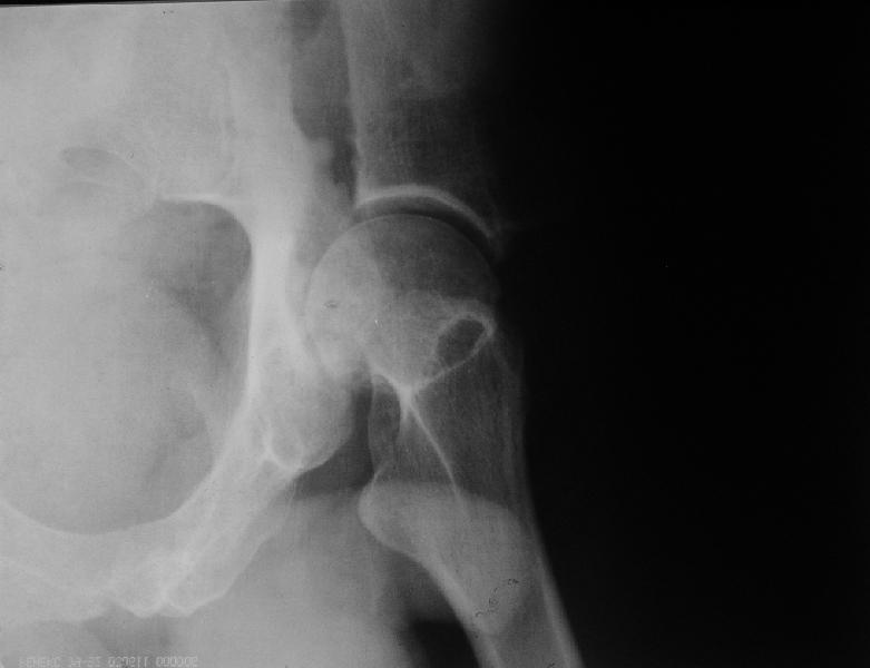
мужчина, 43 лет, получил травму в январе 2001 года. Лечился консервативно, в соседней области: скелетное вытяжение 6 недель, далее в кокситной гипсовой повязке 2 месяца. С декабря 2001 года ходит без дополнительной опоры, с компенсацией имеющегося укорочения - 4 сантиметра. С марта этого года беспокоят боли, усиливающиеся после умеренной физической нагрузки, возникающие в задних отделах таза и переходящие в область тазобедренного сустава. По данным ретгенографии и компьютерной томографии у больного имеется несросшийся высокий двухколонный перелом вертлужной впадины. Заранее спасибо.

<  |  >

 

  • Сообщения о Ортопедия и травматология
  • Также Salavat Salavatov
  • Связаться с автором
  • Ответить

    Re: Несросшийся перелом вертлужной впадины
    Mike Shnider 24 Ноябрь 2004, 20:41
    Выхода нет- только замена сустава.
    [ Ответить ]


    ( Ответить )

    Powered by Zope  Squishdot Powered MedLink
    Посетитель: 0000135
      "По форме правильно, а по существу - издевательство" В.И.Ленин
    ©2001-2019Orthoforum Coordinator.
    [ Главная | Отправить сообщение | Поиск | Админ ]