AOTRAUMA.ORG Центр Илизарова  

Ортопедия и травматология Общие вопросы/General questions Help Информационные технологии в медицине
 вверх
 отправить
 поиск
 админ
 главная


Tibial hemimelia
Ортопедия и травматология Отправлено Evgueny Tschekashkin 24 Ноябрь 2004, 20:52
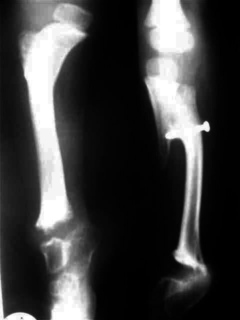
Уважаемые коллеги,Ребенок 4 лет с врожденной гемимелией б/б кости справа.
Первые две операции сделаны в годовалом возрасте - проксимальный тибио-фибулярный синостоз и транспозиция дистального отдела малоберцовой кости на таранную кость.В настоящее время - пользуется ортопедической обувью, компенсирующей 6 см укорочение конечности, нога опороспособна и безболезненна.Рг - компенсаторная гипертрофия малоберцовой кости, состоявшийся синостоз б/б и м/б.Вопрос: когда следует начинать коррекцию длины в аппарате?Заранее спасибо за рекомендацииЕвгений И Чекашкин

<  |  >

 

  • Сообщения о Ортопедия и травматология
  • Также Evgueny Tschekashkin
  • Связаться с автором
  • Ответить

    Re: Tibial hemimelia
    Alexander Artemiev 24 Ноябрь 2004, 20:55
    Здравствуйте, Евгений и коллеги.
    Интересный случай.
    Возможно, я усложняю, но складывается впечатление, что вопрос в
    каком возрасте удлинять является не единственным...
    Хотелось бы посмотреть рентгенограммы отдельно голеностопного
    сустава (что от него осталось)и опишите подробнее его функцию.
    Там что - артродез или нет?

    Далее:
    1. За счет какого сегмента удлинять - бедра или голени?
    Не исключено, что удлинение голени на значительную величину
    может повлиять на функцию голеностопного сустава.

    2. Не следует рассчитывать на то, что удлинение и, возможно
    коррекция оси или другие реконструктивные операции (на
    сухожилиях) можно исчерпывающим образом сделать за один этап.
    Следует готовиться к последовательному удлинению на относительно
    небольшие величины (4-5 см), возможно 2-3 раза в перерывами в
    несколько лет. Возможно, будет смысл удлинить бедро, возможно
    более целесообразным окажется укоротить противоположную голень.

    3. Из вышесказанного:
    Первый этап удлинения можете начать как можно раньше.
    Скорее всего в возрасте лет 5-6.
    Ну если ребенок спокойный, можно и раньше.
    Если неуправляемый ребенок - то сложно будет и ему, и родителям,
    ну и Вам достанется.

    4. Рассчитываете ли Вы вести этого ребенка по жизни до
    логического завершения случая?
    Если нет, то любой, кто будет после Вас может всё испортить, а
    Вам назовет ....ком.
    Как это принято у нас:(

    На каком уровне все-таки сами планируете начать удлинение?

    Удачи.
    Александр Артемьев
    [ Ответить ]

    • Re: Tibial hemimelia
      Отправитель: Evgueny Tschekashkin 24 Ноябрь 2004, 22:31
      Абсолютно согласен, все остальные вопросы появляются после решения о проведении коррекции:-))
      Сейчас ребенку 4 года, укорочение 6 см. Существует мнение о начале коррекции в аппарате не ранее 5 летнего возраста, кость становится прочнее, меньше риск миграции спиц. Хотя и на современных Рг кость выглядит вполне *зрелой*.

      Хотелось бы посмотреть рентгенограммы отдельно голеностопного
      > сустава (что от него осталось)и опишите подробнее его функцию.
      > Там что - артродез или нет?

      К сожалению, после осмотра весь пакет с Рг родители забрали с собой. Описание Рг: В принципе, голеностопного сустава (как анатомического образования) у ребенка не было сформировано, поэтому при росте м/б кости происходило * выталкивание* стопы медиально с её супинацией (начальные снимки). Поэтому, чтобы яредотвратить усугубление деформации стопы, мы решили сопоставить м/б кость с таранной и фиксировали спицами и гипсовой повязкой. На том этапе сознательно на артродез не пошли, рассчитывая, что фиброз в зоне контакта костей позволит сохранить межфрагментарную подвижность, облегчающую ходьбу, и не ошиблись. На данный момент подвижность в зоне контакта малоберц.-таранная костей в пределах 30 градусов (пассивные движения) активные практически отсутствуют, можно думать и о мышечной аномалии- выражены только сгибатели и пронаторы стопы.

      > Далее:
      > 1. За счет какого сегмента удлинять - бедра или голени?
      > Не исключено, что удлинение голени на значительную величину
      > может повлиять на функцию голеностопного сустава.

      Я планирую удлинять за счет голени - остеотомия на уровне тиб-фиб синостоза, поскольку удлинение за счет бедра приведет к разновеликим коленкам, длину мы восстановим, а вот соосность пострадает. Следующий осмотр назначил через 6 мес - чтобы оценить природную скорость продольного роста правой голени и более определенно планировать коррекцию или пойти на гиперкоррекцию. Что вы думаете по этому поводу?
      >
      > 2. Не следует рассчитывать на то, что удлинение и, возможно
      > коррекция оси или другие реконструктивные операции (на
      > сухожилиях) можно исчерпывающим образом сделать за один этап.
      > Следует готовиться к последовательному удлинению на относительно
      > небольшие величины (4-5 см), возможно 2-3 раза в перерывами в
      > несколько лет. Возможно, будет смысл удлинить бедро, возможно
      > более целесообразным окажется укоротить противоположную голень.
      >

      Так я себе это и представляю, централизацию малоберцовой кости комбинировали с пластикой сухожилий(ахиллова и сгибателей)


      > 3. Из вышесказанного:
      > Первый этап удлинения можете начать как можно раньше.
      > Скорее всего в возрасте лет 5-6.
      > Ну если ребенок спокойный, можно и раньше.
      > Если неуправляемый ребенок - то сложно будет и ему, и родителям,
      > ну и Вам достанется.

      Ребенок уже настрадался за свои 4 года, но родители и мальчуган настроены
      на коррекцию.

      >
      > 4. Рассчитываете ли Вы вести этого ребенка по жизни до
      > логического завершения случая?

      Если поедет со мной в Электросталь:-)), то удастся завершить... , а ежели нет, то ортопедический башмак ему кто -нибудь пропишет...

      > Если нет, то любой, кто будет после Вас может всё испортить, а
      > Вам назовет ....ком.

      :-)) На лавровый венок не рассчитываю совсем, а кто как называть будет - мало волнует тоже.
      есть мнение: ранняя ампутация облегчает социально-психологическую адаптацию детей в дальнейшем, в хирургическом плане - это самый легкий вариант,но пока все сделанные этапы приносили ожидаемые результаты, поэтому и хотелось бы побороться и дальше, тем более, что и семья настроена на коррекцию.


      Александр, спасибо за отклик
      Буду ждать совета дмн Л.Н. Соломина

      Евгений И Чекашкин

      [ Ответить ]
      • Re: Tibial hemimelia
        Отправитель: Alexander Arttemiev 26 Ноябрь 2004, 17:43
        ET> Сейчас ребенку 4 года, укорочение 6 см. Существует мнение о начале коррекции
        ET> в аппарате не ранее 5 летнего возраста, кость становится прочнее, меньше
        ET> риск миграции спиц. Хотя и на современных Рг кость выглядит вполне *зрелой*.

        Состояние кости в данном случае - не главное. Кость удлинять можно. Сложнее - с поведением. Я хлебнул горюшка, удлиняя бедро мальчику 3-х лет и голень девочке 3-х лет (как раз сейчас заканчиваю). С репарацией как раз проблем нет - даже лучше.



        ET> Хотелось бы посмотреть рентгенограммы отдельно голеностопного
        >> сустава (что от него осталось)и опишите подробнее его функцию.
        >> Там что - артродез или нет?

        На том этапе сознательно на артродез не пошли, рассчитывая, что
        ET> фиброз в зоне контакта костей позволит сохранить межфрагментарную
        ET> подвижность, облегчающую ходьбу и не ошиблись.

        Не приведет ли перераспределение сил и напряжений в сухожилиях к нарушению этой подвижности при отсутствии артродеза.


        ET> Я планирую удлинять за счет голени - остеотомия на уровне тиб-фиб синостоза,
        ET> поскольку удлинение за счет бедра приведет к разновеликим коленкам , длину
        ET> мы восстановим, а вот соосность пострадает.
        Разновысокие коленки и связанные с этим проблемы скорее миф.
        У меня есть наблюдения с разницей в уровне коленок до 7 см -
        практически без нарушения походки.

        ET> Следующий осмотр назначил через
        ET> 6 мес - чтобы оценить природную скорость продольного роста правой голени и
        ET> более определенно планировать коррекцию или пойти на гиперкоррекцию. Что вы
        ET> думаете по этому поводу?

        Думаю следующее:
        1. Для того, чтобы осуществить гиперкоррекцию, нужно удлинить более 6 см. Не думаю, что это реально и необходимо.
        2. Существуют формулы расчета прогнозируемой разницы в длине ног к моменту завершения роста скелета (Dror Paley).
        Эти формулы опубликованы в статье в JBJS (кажется, у меня есть даже в электронном виде) и в его монографии "Принципы коррекции деформаций" (2002)
        Но в данном случае это не актуально. Вы сможете лишь догонять укорочение. К 16 годам оно составит скорее всего около 17-20 см (если ничего не делать)


        >> 4. Рассчитываете ли Вы вести этого ребенка по жизни до
        >> логического завершения случая?

        ET> Если поедет со мной в Электросталь:-)), то удастся завершить... , а ежели
        ET> нет, то ортопедический башмак ему кто -нибудь пропишет...

        Это более чем серьезный вопрос.
        Ребенок и Вы будете мучаться несколько лет, а потом ему предложат ампутацию. Подумайте сто раз, прежде чем браться.

        Удачи.
        Александр Артемьев

        [ Ответить ]
        • Re: Tibial hemimelia
          Отправитель: Evgueny Tschekashkin 26 Ноябрь 2004, 17:56
          > Сложнее - с поведением. Я хлебнул горюшка, удлиняя бедро мальчику 3-х
          > лет и голень девочке 3-х лет (как раз сейчас заканчиваю). С репарацией
          > как раз проблем нет - даже лучше.

          Очевидно , что успех коррекции зависит от совместных усилий, сложно ждать о ребёнка 3-4 лет сотрудничества, поэтому отношение и настрой родителей имеет определяющее значение в решении вопроса : коррегировать или нет.


          > Не приведет ли перераспределение сил и напряжений в сухожилиях к
          > нарушению этой подвижности при отсутствии артродеза.

          Активная подвижность минимальна, скорее сухожильно- мышечный дисбаланс приведет к рецидиву эквинуса стопы, поэтому прежде чем заниматься удлинением все-таки имеет смысл пойти на фибуло-таранный синостоз.


          > Разновысокие коленки и связанные с этим проблемы скорее миф.
          > У меня есть наблюдения с разницей в уровне коленок до 7 см -
          > практически без нарушения походки.

          У меня таких наблюдений нет, с косметической т.зр. как себя чувствуют такие больные?

          > Думаю следующее:
          > 1. Для того, чтобы осуществить гиперкоррекцию, нужно удлинить более 6
          > см. Не думаю, что это реально и необходимо.
          > 2. Существуют формулы расчета прогнозируемой разницы в длине ног к
          > моменту завершения роста скелета (Dror Paley).
          > Эти формулы опубликованы в статье в JBJS (кажется, у меня есть даже в
          > электронном виде) и в его монографии "Принципы коррекции деформаций"
          > (2002)
          > Но в данном случае это не актуально. Вы сможете лишь догонять
          > укорочение. К 16 годам оно составит скорее всего около 17-20 см (если
          > ничего не делать)

          С упомянутой формулой не встречался, читал о Green and Anderson, Moseley graphs predicting future growth Если найдется электронная версия Paley , было бы интересно ознакомиться, в
          свою очередь, если вас заинтересуют упомянутые мной авторы с их методиками рассчетов, то могу переслать. И все-таки, какой вариант коррекции вы
          предложите - удлинение за счет бедра? или комбинированное бедро-голень?
          >
          > >> 4. Рассчитываете ли Вы вести этого ребенка по жизни до
          > >> логического завершения случая?

          Наблюдаем и оперируем ребенка уже 4 года( с рождения), затрудняюсь с прогнозами жизни на бижайшие 13-14 лет, пока энтузиастов немного, время идет, может быть кто -то еще заинтересуется и к моменту моего отъезда будет кому продолжить процесс (хотя откровенно говоря, долговременные программы лечения здесь не очень популярны....)

          Спасибо за комментарии,
          всего доброго,
          Евгений И Чекашкин


          [ Ответить ]
    Re: Tibial hemimelia
    Leonid N. Solomin 26 Ноябрь 2004, 18:15
    Евгений, здравствуй, дорогой!
    Согласен с мнением А.А.Артемьева. Я - за этапные реконструктивные операции; не за ампутацию. Но учитывая все известные мне "намибийские вводные", настоятельно реомендовать тебе приступать к подобному лечению не вправе.

    Всего наилучшего,
    Л.Соломин
    [ Ответить ]


    ( Ответить )

    Powered by Zope  Squishdot Powered MedLink
    Посетитель: 0376922
      "По форме правильно, а по существу - издевательство" В.И.Ленин
    ©2001-2019Orthoforum Coordinator.
    [ Главная | Отправить сообщение | Поиск | Админ ]