Ответить
|
Re: Locked nailing femur
Marco Berlusconi 01 Декабрь 2004, 00:52
|
In my experience when there is pain the fracture hasn’t healed. So this may be an hypertrofic non union that we could treat with bone graft and bigger reamed nail.
Best regards
Marco Berlusconi
Istituto Ortopedico Galeazzi
Milan
Italy
|
[
Ответить ]
|
Re: Locked nailing femur
Отправитель: V. M. Iyer 01 Декабрь 2004, 00:58
|
Dr Marco,
Thanks. That is my first choice.
Since he is close to me I am waiting for all the opinions before i do anything
V M Iyer
. Iyer Orthopaedic Centre,
103,Railway lines Solapur India
|
[
Ответить ]
|
Re: Locked nailing femur
Отправитель: Alexander Chelnokov 01 Декабрь 2004, 01:00
|
Hypertrophic nonunion doesn't require grafting. Bone ends are viable, and the only problem is lack of stability. So a bigger nail is to be a complete solution.
In our region before closed nailing all hypertrophic nonunions since 60-s were treated by closed external fixation either in compression mode (no angulations and LLD) or with gradual traction if limb lengthening and/or axial alignment required...
|
[
Ответить ]
|
|
Re: Locked nailing femur
Simon Gortz 01 Декабрь 2004, 00:53
|
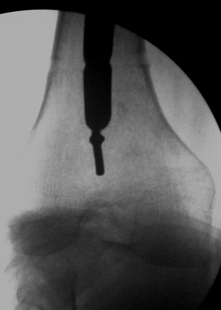
Failure to close 4/4 cortices 6 months post-op definitely meets definition criteria of non-union. Obviously, fixation has failed in this case and needs to be achieved via exchange nail.
Tough to tell from these x-rays, but fx ends appear sclerotic with bridging callus partially present - likely hypertrophic non-union, but you can do a bone scan to confirm viability.
To my knowledge, you do not have to debride or ream in those cases if angular deformity of the medullary canal allows nail passage. If you are able to compress the fracture, this should have a high rate of union.
If the deformity forces you to ream, you might have to consider doing so under direct vision to avoid eccentric reaming and possible cortical
perforation.
Repeat bone graft is optional.
Best wishes,
Simon Gortz, MD
|
[
Ответить ]
|
Re: Locked nailing femur
Simon Gortz 01 Декабрь 2004, 00:54
|
PS:
If he is a smoker, tell him to quit. Role of NSAIDs is somewhat controversial, but they might be contributory so look for other analgetics if available.
Just my five cents worth.
SGMD
|
[
Ответить ]
|
Re: Locked nailing femur
Отправитель: V. M. Iyer 01 Декабрь 2004, 00:57
|
Dr Simon,
He is not a smoker nor is he on analgesics. Thanks for the tip about reaming.
Regards
V M Iyer
. Iyer Orthopaedic Centre,
103,Railway lines Solapur India
|
[
Ответить ]
|
|
Re: Locked nailing femur
Alexander Chelnokov 01 Декабрь 2004, 00:55
|
VMI> What do we do now?
VMI> 2) Do an exchange nailing with a thicker nail.
This is a way to go.
VMI> Kindly note. a) the nail is going towards the medial aspect
VMI> of the lower end thus causing a 5* varus at the # site. b) there
VMI> is a slight overiding causing a centimeter of shortening.
Such slight defomation must be possible to correct acutely using a distractor.
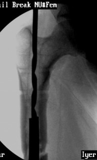
VMI> Implant removal may not be easy with the distal screw broken and
VMI> the nail broken too.
Exactly. We removed recently such a distal part of a hollow nail using a guide pin inserted from the knee through the stab wound. The hole in the notch was made by a cannulated awl. Then the pin passed to the proximal end of the femur, and a cannulated nail inserted to push the broken part distally over the guide pin. There is a set for broken
nail removal.
|
[
Ответить ]
|
Re: Locked nailing femur
Отправитель: V. M. Iyer 01 Декабрь 2004, 00:57
|
Alex,
Will the distractor work with such a sticky fracture? One may be able to angulate this but not distract
Vishu
V M Iyer
. Iyer Orthopaedic Centre,
103,Railway lines Solapur India
|
[
Ответить ]
|
Re: Locked nailing femur
Отправитель: Alexander Chelnokov 01 Декабрь 2004, 00:59
|
Well, you never know it before you try. Two tensioned 2 mm wires provide very much power. In case acute indirect correction failed - there is a lot of bailouts. Exchange nailing may be postponed and gradual traction by more powered external fixator performed. One may try closed flexion/rotation osteoclasis for mobilization and then repeat attempt of acute reduction. Sometimes it is more practical to perform perQ osteotomy - either through the old fracture line or a new one.
Anyway, bone already has a prepared canal, so it can be possible to ream and insert a thicker nail. It will result with angular correction "automagically", and the 1 cm shortening can be neglected.
|
[
Ответить ]
|
|
Re: Locked nailing femur
Castro 01 Декабрь 2004, 02:33
|
I Think, that this is a classic case, when we use the "fashion" to fix the fracture!!! May be it's was better "Primary" to fix this fracture by "Old" technique- "lag screws & LC-DCP". Now I can suggest removing the nail, Ilizarov frame application, with distraction, then compression, healing well be achieved after 12 weeks!
|
[
Ответить ]
|
Re: Locked nailing femur
V. M. Iyer 02 Декабрь 2004, 20:18
|
Dear all,
Thanks to Marco, Alex, Simon, Sunil, Satish, Bhayendra, Abhay, Yasir and Sanjay for your responses. I would like to clear my doubts regarding things mentioned by you all.
It is agreed by almost all that this is a hypertrophic nonunion.
It has been proved beyond any doubt by experience and literature that hypertrophic nonunion does not need bone grafting but only stabilisation. That is because the reason for NU in this case is instability. This stabilisation can done by 1) rigid plate fixation , 2) ring fixator, by itself or with distraction. (GSK et al), or 3) by thick nail properly locked above and below. I have not done bone grafting for such a nonunion in the last 25 years and have not regretted. So bone grafting, as an additional safeguard measure, is not essential except to protect yourself at the consumer court. (Marco, Bhayendra, Sunil, Abhay, Yasir and Sanjay) The second point is : Is there sufficient amount of angulation and overriding that the the fracture needs to be realigned? If the answer is yes, then only the question of doing it by distraction (Alex) or by opening disengaging the fracture and realigning (Abhay, Yasir and Sanjay)
The third point is: Between the plate and nail it has been established that the nail, as an intramedullary implant, is load sharing as against the load bearing plate. In diapyseal fractures, almost everyone will use a nail There may still be some surgeons who are very sure of success withplate fixations. I have seen enough broken plates even when done as per thhe book, my own as well as of others. Just because nailing has failed once in this case, it is not prudent to use a plate now.
Dr Yasir >> We all seem tempted to nail the femoral fractures and forget that they could as well be teated the ''old fashion'' ; i.e. why not then open the fracture site , refashion the # ends, put a descent bone graft and then fix
the # by an LCDCP
1) I was thinking that the old fashion was the nail. 2) Then what is this "descent" bone graft?
Satish, 1) Why static locking? Is it to keep the # more stable ? Using one proximal dynamic hole keeps the fracture equally stable and allows the fracture to heal faster.- My individual opinion. 2) What is this isoelastic titanium nail? How does it help more than a usual strong nail. My ignorance.
Dr Simon >> To my knowledge, you do not have to debride or ream in those cases if angular
Dr Simon >> deformity of the medullary canal allows nail passage. If you are able to compress the
Dr Simon >> fracture, this should have a high rate of union.
If the deformity forces you to ream, you might have to consider doing so under direct vision to avoid eccentric reaming and possible cortical perforation.
Do you mean, just removing the earlier implant and passing another nail of the same size and lock? 2)
Here despite the so called angular deformity, the medullary canal will allow the passage of another
nail. 3) How do we compress the fracture as mentioned by you? I do it by locking distally and doing a couple of guarded back slappig. Here it will not work because the fracture is 14 mths old. 4) Eccentric reaming can be avoided by using Poller screws. ( I use thick K wires). 5)Reaming in such cases is said to throw out the reamed particles at the fracture site acting as bone grafts. (Literature and hearsay)
I am surprised that no one has replied stating Ilizarov fixator and distraction.(Alex excluded). That is probably because this can be treated successfully with other methods.
Probably G S K and Mangal are quietly watching what is happening before responding.
Finally: Removal of the broken implant. What special instrument does the AO implant removal set have?
Is it the long rod with a strong hook at the bottom, to thread thro or outside the nail and hook the nailat tip and pull out or is there any other instrument?
Alex has mentiond his own indigenous method. Alex, I have done almost similar technique to remove a stuck distal part of the nail. Passed a smooth guide wire thro the distal nail, pushed it down to come
out thro the femur distally and out thro the skin, used that point of exit to enter another nail from
distally and hammer the stuck nail out proximally. I thought it may be difficult to introduce "a guide pin inserted from the knee through the stab wound" To negotiate the guide wire from below into the distal end of the hollow nail !!! One has got to be really precise.
My final plan is as follows:
Remove the implant. (taking all sort of precautions and preparations). The fracture will not disengage or disimpact. Introduce a beaded guide wire. While entering the distal fragment, I will try to guide it more laterally (and not in the same earlier track) by using one or two Poller screws (pins) to be in the center of the medullary cavity, ream up to 12mm or more if possible, introduce an Indian ss nail (of which I am confident) size 1 mm less than what I have reamed, and lock with one proximal and 2 distal bolts. This nail if it has entered properly the way it was meant to be some correction of the angulation would have taken place. Weight bearing as soon as the patient can. Wish me all luck.
V M Iyer
. Iyer Orthopaedic Centre,
103,Railway lines Solapur India
|
[
Ответить ]
|
Re: Locked nailing femur
Castro 03 Декабрь 2004, 03:17
|
Hi lyer,
First of all, my name is Castro, not Yasir!
I agree with you, that may be we have to forget the old fashion & we have to try- not to open the fracture site, but I have mention that the Ilizarov Technique, like a method, is the method of chouse for treatment of such hypertorophic nonunions!
I Believe, that Ilizarov external fixators with use the Ilizarov principles of Distraction Osteogenesis, well gave good results!
Nice to meet you,
Castro
|
[
Ответить ]
|
Re: Locked nailing femur
Abdelsalam Eid, MCh, M.D. 03 Декабрь 2004, 03:27
|
A Ch>> Exactly. We removed recently such a distal part of a
A Ch>> hollow nail using a guide pin inserted from the knee through the stab wound.
V M Iyer> I have done almost similar technique to remove a stuck
V M Iyer>distal part of the nail. Passed a smooth guide wire thro the distal nail,
Hello Dr Iyer
Just a an idea that occurred to me for extraction. I never did it but it could work and save you some trouble.
As Alex says you can try to introduce a guide pin from the knee into the distal end of the nail. But what I suggest is that it be a BALL-TIPPED guide and you introduce it by it by its ball-less end so that when it comes out proximally, you will have the ball abutting the distal end of the nail. Then you can with some instruments grasp the proximal end of the guide and pull on it. My thoughts are that the medulla is wide around the nail and it should come out without much trouble. I think this would be less traumatic to the distal femur than
having to introduce another nail to push the nail. I also suggest that you ream. This will enable you to put a bigger nail and the reaming particles will be an internal bone graft.
Best of luck and tell us how you managed.
Abdelsalam Eid, MCh, M.D.
AFSA, Universite Rene Descartes, Paris V
Fellow of AO/ASIF International
Lecturer of Orthopaedic Surgery
Faculty of Medicine, Zagazig University
Egypt
|
[
Ответить ]
|
Re: Locked nailing femur
V. M. Iyer 04 Декабрь 2004, 21:21
|
Dear All,
This mail may also be a little long. Because orthogate list and indiaorth list both will be reading this. Some may be accessing only one.
Thanks for further inputs.
Casrtro >> Now I can suggest removing the nail, Ilizarov frame application, with
Casrtro >> distraction, then compression, healing well be achieved after 12 weeks.
We have an expert with us who replies as follows
Mangal >> Multiple reasons for putting ilizarov/ex fix at the bottom of the list. Fracture
Mangal >> is fairly proximal. I would need to use an arch to hold the proximal fragments. Any
Mangal >> compression or distraction using an arch is a less than ideally stable situation in my
Mangal >> opinion. Fracture is very oblique. Axial compression will not work well in this situation.
Mangal >> would need transverse compression via olives, which is not a good idea at this level.
If I just had to do an ilizarov for this patient (hypothetically nothing else available for example), I would probably do a minimal opening up, create a transverse ostetomy thru the middle of the oblique fracture line,shift the fragments slightly medio-laterally in relation to each other, to get an axially stable internal construct, bone graft the area, and use the fixator in a 'holding mode'
Satish >> the obliquity of the fracture precludes one from leaving it unlocked,unless you
Satish >> have an extremely well fitting nail.
VMI- No question of leaving it unlocked
sure one could lock it in the dynamic mode but i am afraid, the nail suggested by me does not permit it.
VMI- Many other nails have one thirdly, as i had written for bijayendra's query, a titanium implant would go reasonably close to the young's modulus of bone and it is proven that that aids in healing. too rigid an implant either provides stress sheilding or fails early. books on biomechanics would have details with figures and calculations etc VMI- It should never be a too rigid implant. Locked nails heal faster because of axial compression while wt bearing, which will not happen if the nail is a very tight fit. Even the so called static locking does permit some axial motion because the screw holes and the screws are not tight fit
Yasir >> There might well be some soft tissue interposition, and definitly jsome fibrous tissue
VMI- There will only be fibrous tissue and no other soft tissue. This fibrous tissue has got great potential. Ilizarov has shown bone forming by distracting it gradually.
Stabilisation by a plate can also turn it to bone"anatomic reduction" of the # and it was shown to give better results (Schatzker).
VMI- If you see Ilizarov's results as seen in his book you will never find any anatomic reduction. I do not say that we do not want anatomic reduction, but I say that stability is more important for better healing
Ajit >>Also, there is insufficient callus to suggest a hypertrophic nonunion after 14 mths. As
Ajit >>mentioned by you the first surgeon has already opened the fracture site and probably
Ajit >>devitalised/ stripped the femur of its perisoteum. Adding bone grafts will surely help.
VMI- OK It is not hypertrophic but normotrophic nonunion. Mangal has already said so. Though the first surgeon has devitalised the femur, that was 14 mths ago. By the way, the second surgery (may be the same surgeon) 5 months ago may also have done some harm. Anyway there is no need to do bone grafting if everything is done closed.
The next mail concerns the nail removal. Regards
V M Iyer
. Iyer Orthopaedic Centre,
103,Railway lines Solapur India
|
[
Ответить ]
|
Re: Locked nailing femur
V. M. Iyer 04 Декабрь 2004, 21:39
|
Dear Mangal,
As a way of removing the nail without opening the fracture site......Would need to be in a lateral position, plain table, rather than traction table.
Find the distal end of the nail with a thin, long k wire, like an ilizarov k wire - thru the knee,
with the knee flexed. Pass the k wire into the lumen of the nail for a short distance. I am not sending the pictures to you to prepare a composite one, rather, send 3 or 4 mails each including one picture.
VMI-I am enclosing pictures of how I had to do it once. The C arm picture shows the first attempt to try and jam a solid reamer into the nail and trying to pull it out. Did not work.
The second picture shows a plain guide wire inserted thro the nail, prograde, hammered out thro the distal femur, out thro the skin. A beaded guide wire being railroaded on the earlier G W into the distal end of the nail.
Dr Eid, you may also appreciate these.
Regards
V M Iyer
|
[
Ответить ]
|
Re: Locked nailing femur
V. M. Iyer 04 Декабрь 2004, 21:43
|
This is the C-arm picture before attemting to pull out thro the proximal end by hammering on a chuck.
Did not work out. The nail was a slotted one. The guidewire split the slot and came out but not the nail. Ultimately as mentioned in an earlier mail, I had to introduce a cannulated nail from distally threadind on the guide wire and hammer on the stuck nail and finally got it out
V M Iyer
|
[
Ответить ]
|
Re: Locked nailing femur
V. M. Iyer 04 Декабрь 2004, 21:46
|

This picture shows the beaded guide wire into the nail from its distal end.
V M Iyer
|
|
[
Ответить ]
|
Re: Locked nailing femur
Sandro Reverberi 04 Декабрь 2004, 21:49
|
Dear all,
we in such cases use the same incision anterograde used to insert the nail. After remotion of proximal part of the broken nail, we ream the medullar canal and then insert an guide with an hook in the apex that should go in the apex of distal part of the nail.
With ampliscopic control you must see that the hook has taken the nail and then you can remove all.
You can see similar tecnique here.
Best regards
Dr. Sandro Reverberi
Orthopaedic Department
Arcispedale S. Maria Nuova Reggio Emilia
|
[
Ответить ]
|
( Ответить )
|
|