AOTRAUMA.ORG Центр Илизарова  

Ортопедия и травматология Общие вопросы/General questions Help Информационные технологии в медицине
 вверх
 отправить
 поиск
 админ
 главная


Эндопротезирование
Ортопедия и травматология Отправлено Ринат 01 Декабрь 2004, 01:42
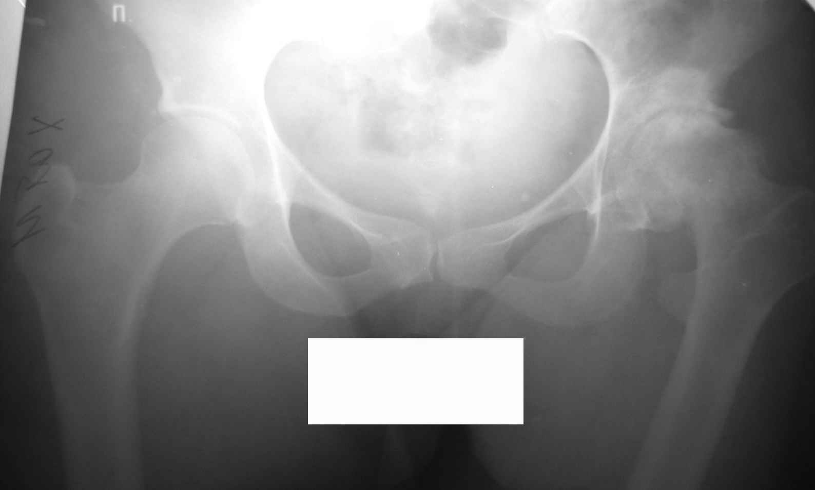
Уважаемые коллеги, во вложении р-граммы 24-летней женщины. Обратилась первично.
Жалобы на боли, ограничение движений, хромоту. Болеет с 14 лет. С её слов, перенесла болезнь Пертеса. Документов нет. Обьективно: выраженнаяприводяще-сгибательная-ротационная контрактура, функциональное укорочение - 5см.Вопросы:-какая система, на ваш взгляд, наиболее оптимальна для протезтрования?-возможно-ли выполнить протезирование в один этап,восстановив длину и функцию конечности?Спасибо.Ринат. г.Уфа

<  |  >

 

  • Сообщения о Ортопедия и травматология
  • Также Ринат
  • Связаться с автором
  • Ответить

    Re: Эндопротезирование
    Anatoly A. Yakushin 01 Декабрь 2004, 16:49
    На последствия болезни Пертеса действительно похоже.

    > Вопросы:
    > -какая система на ваш взгляд наиболее оптимальна для протезтрования?

    Учитывая возраст состояние костной ткани, скорее бесцементное протезирование.
    У нас в клинике в подобных случаях используется эндопротез Spotorno, однако выбор модели протеза зависит скорее от личных предпочтений врача и опыта использования.

    > -возможно-ли выполнить протезирование в один этап,восстановив длину и
    > функцию конечности?
    Скорее да, чем нет.

    --
    Rgrds,
    Anatoly A. Yakushin
    Orthopaedic departmen
    Veteran's Hospital # 3
    Moscow
    [ Ответить ]

    Re: Эндопротезирование
    Ильдар Ф. Ахтямов 01 Декабрь 2004, 20:51
    Ринат!
    Судя по седловидной деформации головки бедренной кости можно предположить, что больная перенесла болезнь Пертеса.
    Стратегия эндопротезирования такова, что желательно произвести имплантацию сустава в возрасте, когда пациентка решит все вопросы с деторождением.
    Считается, что беременность и вскармливание приводят в ряде случаев к нарушению стабильности элементов протеза.
    Эндопротез должет быть бесцементной фиксации. Проблем с восстановлением длины и функции после эндопротезирования не ожидается. АИФ.
    [ Ответить ]

    Re: Эндопротезирование
    Mark Eidelman 01 Декабрь 2004, 21:28
    Try before THR valgus osteotomy , it will give 10 more years before arthroplasty and does not burn any bridges.
    [ Ответить ]

    • Re: Эндопротезирование
      Отправитель: Anatoly A. Yakushin 01 Декабрь 2004, 23:49
      Коллега, посмотрите на состояние головки и величину укорочения.
      В данном случае вальгусная остеотомия не даст и года, кроме того, серьезно затруднит последующее протезирование.

      --
      Rgrds,
      Anatoly A. Yakushin

      [ Ответить ]
      • Re: Эндопротезирование
        Отправитель: Виктор П. Волошин 02 Декабрь 2004, 02:54
        Извините, Анатолий, головка не выглядит потерянной, укорочение 5 см из-за порочного положения. Подход у молодой женщины я бы выбрал в зависимости от мобильности сустава.
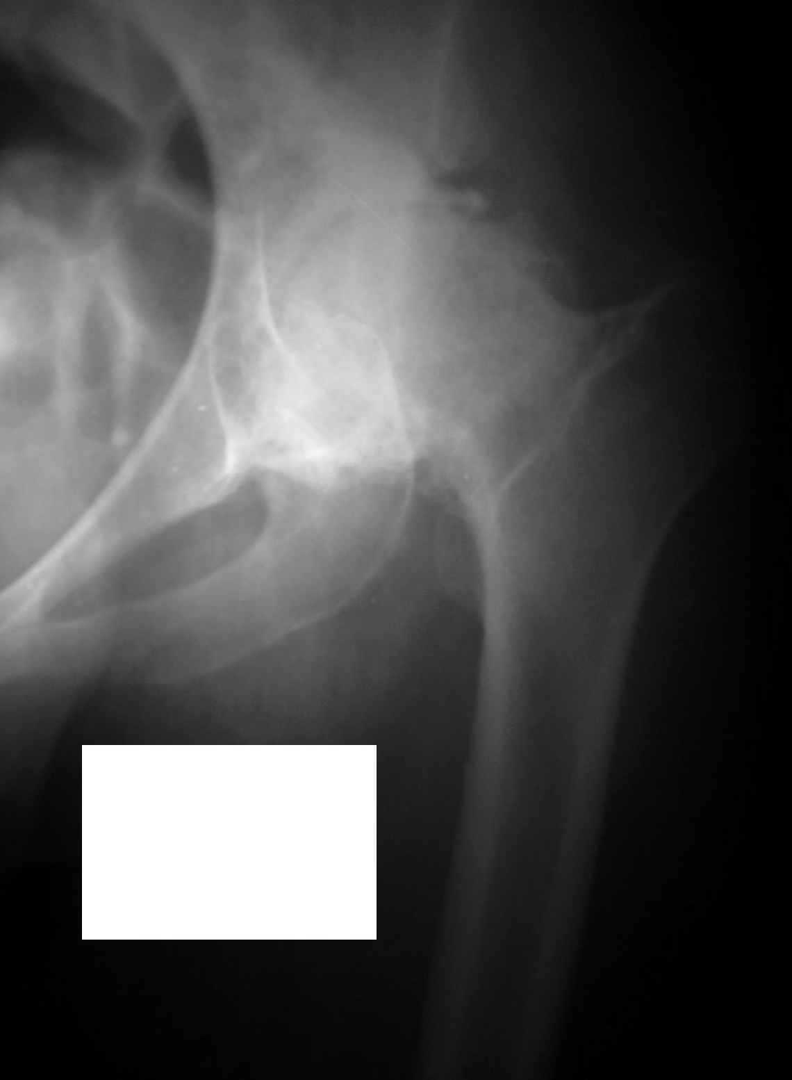
        На ригидном суставе межвертельная остеотомия для женщины мало привлекательна, но при гипомобильности, а тем более мобильности сустава вполне пригодна. И эффект от операции мы наблюдаем больше 10 лет и для последующего эндопротезирования трудности не велики, если остеотомию правильно спланировать и выполнить (проксимальный отдел бедра после остеотомии должен соответствовать нормальной анатомической геометрии). Привожу, что под рукой - Ртг 1997 ( даме 27 лет) и 2004 года. А моделей эндопротезов бесцементной фиксации для такой рентгеноантомической формы коксартроза действительно достаточно.
        ВВП, МОНИКИ

        Кликните для загрузки файла Форум.jpg
        68KB (69817 bytes)

        [ Ответить ]
    Re: Эндопротезирование
    Evgueny Tschekashkin 02 Декабрь 2004, 01:45
    Ринат,

    По представленным раздельным Рг граммам сложно судить о причине столь значительного укорочения, вполне вероятно что причина комплексная:

    1 разрушение головки
    2 разрушение впадины
    3 поясничный сколиоз

    Для молодых пациентов одним из вариантов эндопротезирования ( костно-сохраняющая техника, позволяющая отодвинуть обычное протезирование на 10 и более лет) является так называемая resurfacing arthroplasty - т.е. протезирование впадины и самой головки.
    Демонстрационное видео операции я оставил в Москве у Андрея Олеговича Рагозина 1 отделение ЦИТО им. Н.Н. Приорова, свяжитесь с ним, если появится
    интерес.

    Всего Доброго,
    Евгений И Чекашкин
    [ Ответить ]

    • Re: Эндопротезирование
      Отправитель: Alexander Chelnokov 02 Декабрь 2004, 01:46
      А какое укорочение здесь за счет фиксированного приведения?

      [ Ответить ]
      • Re: Эндопротезирование
        Отправитель: Evgueny Tschekashkin 02 Декабрь 2004, 19:24
        При предоперационном планировании дифференцируют относительное укорочение (обусловлено перекосом таза, поясничным сколиозом) конечности и абсолютное - истинное (разрушение головки бедра и вертлужной впадины, приводящее к смещению центра ротации). В идеальных условиях целью эндопротезирования является восстановление уровня центра ротации. Приводящие контрактуры, поясничный сколиоз обычно вторичны деструктивным процессам в суставе и на уровень центра ротации, абсолютное укорочение конечности не влияют.
        Поэтому и важно иметь правильно выполненную Рг таза целиком, а не из половинок и с помощью референс линий определить истинное укорочение и необходимую величину коррекции. После эндопротезирования сустава решается вопрос о необходимости аддукторотомии.

        [ Ответить ]
    Re: Эндопротезирование
    Николай Прихненко 02 Декабрь 2004, 13:25
    Уважаемый коллега,
    По моему мнению, у Вашей пациентки выявлены последствия эпифизеолаза (slipped capital femoral epiphysis).В данный момент у нее наблюдаются признаки коксита (laminar coxitis), что является наиболее тяжелым осложнением в таких случаях. Я не мог бы предложить другого метода лечения, кроме эндопротезирования сустава. Удлиннить бедро на 5 см. можно во время операции без особых затруднений с помощью тенотомий.
    Желаю удачи

    [ Ответить ]

    Re: Эндопротезирование
    Волокитина Елена Александровна 07 Декабрь 2004, 13:46
    Уважаемый Ринат!
    Учитывая молодой возраст женщины,аналогично менению глубокоуважемного В.П. Волошина, считаю оптимальным выполнить межвертельную корригирующую остеотомию бедра с небольшой медиализацией, тенотомией сгибателей и приводящих мышц бедра. Устранение порочного приведения, сгибания и ротации на остотомии позволит выровнять длину ног, так как здесь ортопедическое укорочение за счет фиксированного приведения и сгибания бедра. Фиксацию фрагментов можно выполнить аппаратом Илизарова, что позволит обойтись без иссечения костного клина и в полеоперационном периоде будет возморжна остаточная коррекция, если что-то не удалось на операционном столе. Эффект от корригирующих медиализирующих остеотомий (уменьшение и ликвидация болевого синдрома, увеличение движений в сустве)по нашему опыту составляет от 7 до 10 лет, что позволяет отсрочить выполнение эндопротезирования. Система для имплантации, действительно, может быть любая, выбор большой, но, на наш взгляд, предпочтительна бесцементная.
    С уважением Е.А.Волокитина
    [ Ответить ]


    ( Ответить )

    Powered by Zope  Squishdot Powered MedLink
    Посетитель: 0187165
      "По форме правильно, а по существу - издевательство" В.И.Ленин
    ©2001-2019Orthoforum Coordinator.
    [ Главная | Отправить сообщение | Поиск | Админ ]