AOTRAUMA.ORG Центр Илизарова  

Ортопедия и травматология Общие вопросы/General questions Help Информационные технологии в медицине
 ВХОД ДЛЯ ПАЦИЕНТОВ
 вверх
 поиск
 админ
 главная


любопытная находка
Ортопедия и травматология Прислано Александр Е. Клоков 05 Декабрь 2004, 20:05
из БСМП г. Мурманск
Здравствуйте, уважаемые коллеги! Представляю вашему вниманию интересный случай и пока что непонятный для меня в диагностическом плане. На днях в наше отделение (детской ортопедии и травматологии) поступил 13-летний мальчик по направлению из поликлиники с диагнозом: остеома нижней трети правого бедра.
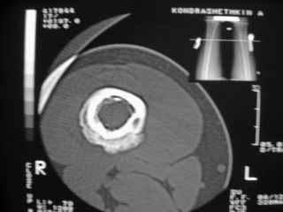
Анамнез практически никакой: в следствие травмы (растяжение связок коленного сустава) от 07.11.2004 выполнены Rg-граммы в травмпункте и обнаружено опухолевидное образование. Первичные Rg-граммы я не публикую, так как они заметно худшего качества, да и динамики за прошедшие три недели не отражают. Болевой синдром купирован в течение трёх дней. В настоящий момент мальчика ничего не беспокоит. Ходьба не нарушена, опухоль пальпируется с трудом по задней поверхности в н\3 правого бедра, пальпация безболезненна, объем движений в суставах правой нижней конечности полный и симметричный. Кожа над опухолью не изменена. В нашей клинике проведено дополнительное обследование: общие анализы крови и мочи, биохимия крови без особенностей. Выполнены Rg-граммы на цифровом Siemens обычные и продольные томограммы срезами 3-5 мм, а также компьютерная томография поперечными срезами по 5 мм. Прошу обратить внимание, что на приведённых томограммах видны две полости 10х15 мм и 15х60 мм. Также имеются два опухолевидных образований наслаивающихся друг на друга: уплощённое и вытянутое 10х100 мм и элипсовидной формы 15х30 мм. Это хорошо заметно на фото a_1.jpg c_1.jpg и d_1.jpg. Плотность внутри полостей 125% от плотности костномозгового канала, плотность наружного опухолевидного образования 55% от плотности кортикального слоя. Также отмечается линия перелома по центру наружного опухолевидного образования. Исходя из полученных данных мнения в плане диагноза несколько разделились от 1)сочетания кортикальной фиброзной дисплазии и латентно протекавшего маршевого перелома н\3 правого бедра до 2)остеосаркомы. В отношении первого варианта не сходится отсутствие клиники при переломе такой крупной кости как бедро, второй вариант вообще оставлю без комментария, ибо некомпетентен. Хотелось бы услышать мнения коллег, с удовольствием ознакомлюсь с любыми предположениями и замечаниями. С уважением, Александр Е. Клоков Отделение детской ортопедии и травматологии БСМП г. Мурманска.

Послать ответ

Имя
Email
Уведомление Сообщить мне по e-mail об ответах на это сообщение
Название
Комментарий
(Проверьте URL! Не забудьте написать http://!)
Кодировка
Если не знаете, что выбрать, выберите "Просто текст"!
Приложение
Можно приложить к сообщению файл c изображением, который затем будет доступен увидевшим сообщение.
Подготовка иллюстраций:
  • Рентгенограммы: черно-белые полутоновые изображения в формате JPEG (8 bit, greyscale) с разрешением от 300х200 до 1024х768 пикселов;
  • Клинические фотографии: полноцветные изображения в формате JPEG (24 bit, truecolor) с разрешением от 300х200 до 1024х768 пикселов;
  • Схемы и рисунки: черно-белые (2 bit) штриховые (line-art) изображения в формате GIF или compressed TIFF
  • Подберите степень сжатия файла JPEG и размер изображения таким образом, чтобы необходимые детали были различимы, но размер файла не превышал 75 кб.
  • Учтите, что текущая версия программного обеспечения Форума позволяет приложить к одному сообщению лишь один файл-вложение. Поэтому, если необходимо отправить несколько изображений, можно либо послать каждое как отдельное сообщение, либо в графическом редакторе объединить изображения в одно (сделать коллаж).
  • Если при подготовке изображений встречаются трудности, не стесняйтесь обратиться к координатору Форума.

  • Введите видимые символы в обратном порядке. Enter the above characters in reverse order (*Обязательно)
    В тексте сообщения можно использовать теги HTML <B> <I> <P> <A> <LI> <OL> <UL> <EM> <BR> <TT> <HR> <STRONG> <BLOCKQUOTE> <DIV .*> <DIV> <P .*>
  • Обратите внимание: Поля с жирными названиями обязательны.
  • Старайтесь отвечать в рамках обсуждаемой темы, а не начинать новые обсуждения.
  • Указывайте адекватную тему сообщения, чтобы было ясно, о чем оно.
  • Не послайте сообщений не по теме (оффтопик), раздраженных, грубых или обидных комментариев. Здесь это неуместно.
  • Powered by Zope  Squishdot Powered MedLink
    Посетитель: 0000067
      "По форме правильно, а по существу - издевательство" В.И.Ленин
    ©2001-2019Orthoforum Coordinator.
    [ Главная | Отправить сообщение | Поиск | Админ ]