AOTRAUMA.ORG Центр Илизарова  

Ортопедия и травматология Общие вопросы/General questions Help Информационные технологии в медицине
 вверх
 отправить
 поиск
 админ
 главная


Wrist problem
Ортопедия и травматология Отправлено V. M. Iyer 06 Декабрь 2004, 23:19
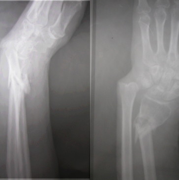
Dear All,Presenting this on behalf of a colleague of mine.52 years old healthy male sustained a closed fracture of his distal forearm 3 mths ago.
Due to so many other injuries sustained by him, this has been inadequately treated and he has ended up today like this. Very prominent distal ulna and a mobile fracture distal radius. No infection. Wrist flexion, extension fully free and so also the fingers. He has a good grip too. He wants correction of this deformity.I have opined as follows. Exfix with two pins in the distal radius and two proximally. Distract gradually till the DRUJ is properly aligned. 1)If one is lucky some bone would have formed in between which may be good enough. Continue ExFix till it is solid. 2) If we find that no bone is forming by 2 weeks, we can distract a bit faster Once the DRUJ is aligned and there is gap left, we can put in a small piece of fibula under tension and continue the ExFix till it is consolidated. If one is used to, a plate can be used to fix the radius along with the graft. This will shorten the ExFix time Suggestions are welcomeV M Iyer. Iyer Orthopaedic Centre, 103,Railway lines Solapur India

<  |  >

 

  • Сообщения о Ортопедия и травматология
  • Также V. M. Iyer
  • Связаться с автором
  • Ответить

    Re: Wrist problem
    Виктор П. Волошин 07 Декабрь 2004, 00:58
    No objections
    [ Ответить ]

    Re: Wrist problem
    Alexander Chelnokov 07 Декабрь 2004, 01:14
    VMI> in between which may be good enough. Continue ExFix till it is
    VMI> solid.

    I would use a small wire fixator (Ilizarov) but in general approach would be the same.

    VMI> 2) If we find that no bone is forming by 2 weeks, we can
    VMI> distract a bit faster Once the DRUJ is aligned and there is gap
    VMI> left, we can put in a small piece of fibula

    Why fibula? Iliac crest graft is also suitable.

    VMI> plate can be used to fix the radius along with the graft. This

    Exactly.
    [ Ответить ]

    Re: Wrist problem
    George Tomas 07 Декабрь 2004, 19:51
    Is it possible to see an xray of the entire forearm including the elbow?
    Regards,
    George Tomas
    [ Ответить ]

    • Re: Wrist problem
      Отправитель: V. M. Iyer 07 Декабрь 2004, 21:25
      Dr George,
      The image has been cropped and so it is not possible. The forearm and the elbow do not show anything abnormal,


      Regards
      V M Iyer
      . Iyer Orthopaedic Centre,
      103,Railway lines Solapur India

      [ Ответить ]
    Re: Wrist problem
    David Nelson 08 Декабрь 2004, 09:50
    I think that your suggestion is reasonable. I doubt an acute correction will gain anatomic length of the radius. I would be inclined to plate and bone graft once length is attained.

    David Nelson, MD
    [ Ответить ]

    Re: Wrist problem
    John D. Douthit 08 Декабрь 2004, 16:33
    May not be able to get full length of radius but a good plan. End game may be to shorten ulna , plate and bone graft radius. Keep us posted from time to
    time

    John D. Douthit M.D. Denver CO
    [ Ответить ]

    Re: Wrist problem
    Andrey 09 Декабрь 2004, 02:15
    I don`t think, that you will get the good result using ex-fix in this case.
    The best way, IMHO, is to make open reducing of
    radius fragments with filling the bone`s defect by cancell. bone graft, fixing it by T-plate, and with shortening of ulna.Radioulnar joint must be fixed by screw.
    Kind regards, Andrey.
    PS: 2 years ago I had the same case, and I`ve got a good result.
    PPS: At first I tried to treat it by ex-fix without any result.

    [ Ответить ]

    • Re: Wrist problem
      Отправитель: alexandre sitnik 09 Декабрь 2004, 21:50
      I think that the plan is good. But there is no reason to wait for spontaneous healing after distraction. Probably the best way is just to distract radius with FiEx (1 mm/day) and then to fill defect with bone graft (tricortical from iliac crest) and plate radius. I had a case like this (patient is dentist) with good result.

      [ Ответить ]

     

    ( Ответить )

    Powered by Zope  Squishdot Powered MedLink
    Посетитель: 0384668
      "По форме правильно, а по существу - издевательство" В.И.Ленин
    ©2001-2019Orthoforum Coordinator.
    [ Главная | Отправить сообщение | Поиск | Админ ]