Ответить
|
Re: открытый перелом мыщелков бедра, латерального
Castro 17 Декабрь 2004, 01:12
|
Dr. Alexander
Vi imeete vvdeu antibiotic-impregnated cement interval spacers? dla lechenjia knee or hip prosthesis infection? Dumaio ni ob itom shla rech! Esli ja ni tak ponjial, to ja izveniaus' za "miss understanding"!
No daze Doctor, kotori demostriroval sluchai: pisal" sement mi ostavlaem dla "total knee replacement"- Ok, ja imeel vvedu, chto u nas bila odno vremjia "moda" ispolzoat' obichny " kostny cement s antibioticami dla zapolnenjia deffectov kostei v blizy sustavov, i ito praktika okazalas' porochnoi
Castro
|
[
Ответить ]
|
Re: открытый перелом мыщелков бедра, латерального
Отправитель: Evgueny Tschekashkine 18 Декабрь 2004, 15:15
|
Уважаемый Иван,
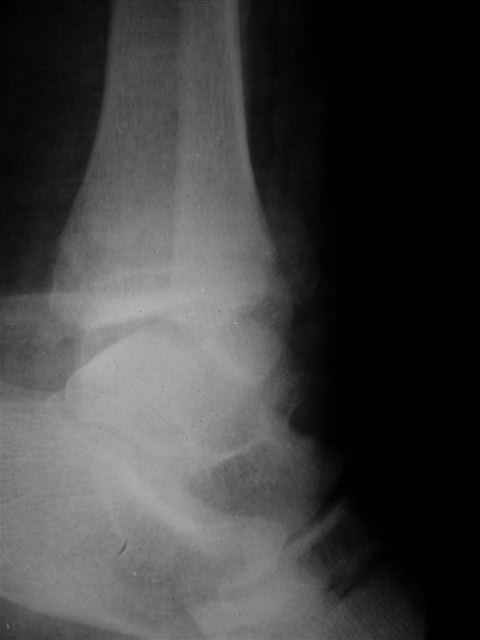
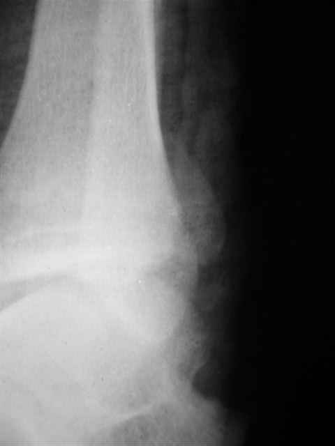
> Если Вас не затруднит, пришлите, пожалуйста, рентгенограммы. Я
> интересуюсь тактикой лечения повреждений голеностопного сустава.
> Хочется посмотреть, как лечат коллеги.
Ничего сверхъестественного, но если есть интерес, то в понедельник пересниму Рг-граммы и отправлю.
Всего наилучшего,
Евгений
|
[
Ответить ]
|
Re: открытый перелом мыщелков бедра, латерального
Отправитель: Evgueny Tschekashkin 19 Декабрь 2004, 23:02
|

Уважаемый Иван,
Я предупреждал, что ничего сверхъестественного. Каюсь, что одна из спиц прошла несколько дальше, чем нужно было, но главное - перелом стабилизирован и больной работает суставом в полном объёме, несмотря на представленную раннее травму коленного сустава.
Всего вам Доброго,
Евгений И Чекашкин
|
[
Ответить ]
|
|
( Ответить )
|
|