AOTRAUMA.ORG Центр Илизарова  

Ортопедия и травматология Общие вопросы/General questions Help Информационные технологии в медицине
 ВХОД ДЛЯ ПАЦИЕНТОВ
 вверх
 поиск
 админ
 главная
 исходное
 последующие


Re: Новая механика тазобедренного сустава
послал Djoldas Kuldjanov, M.D. 05 Январь 2005, 13:42































До операции #1




До операции #2



До операции #3



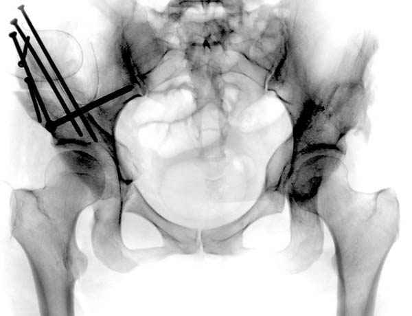
после операции при дисплазии тазобедренного
сустава #4



после операции при дисплазии тазобедренного
сустава #5



после операции при дисплазии тазобедренного
сустава #6


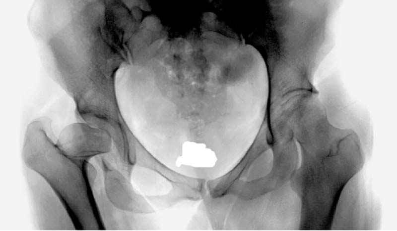
предоперационная пластмассовая модель #7



предоперационные снимки #8



предоперационные снимки #9



предоперационные снимки #10



послеоперационные, с учетом биомеханики
сустава #11



отдаленный результат #12


Уважаемый С.В. Архипов-Балтийский,

За отсутствием времени у Вас и меня, я не стал делать детальный разбор того, о чем Вы писали, за исключением маленькой детали - в западной литературе ”деформирующий артроз тазобедренного сустава” читается как "HIP ARTHRITIS", поэтому такая "неточность", в конце суффикс "ит".

Второе, Вы написали о нецелособразности, даже вредности остеотомии в проксимальном отделе бедра и в тазобедренном суставе.

Предлагаю несколько снимков для Вашего внимания и вашего "с 1946 года сложившегося активного достаточно прогрессивного коллектива”, а с доктором К.Креттеком при нашей встрече (не менее двух раз в год) на наших совместных конференциях найду возможность обьясниться с ним насчет остеотомии.

№ 1-3 до операции
№ 4-6 после операции при дисплазии тазобедренного
сустава
№ 7 предоперационная пластмассовая модель
№ 8-10 предоперационные снимки
№ 11-12 послеоперационные, с учетом биомеханики
сустава

Как Вы пишете, в Калининграде от остеотомии в проксимальном отделе бедра отказались, если у них или у вас имеется другие методы, кроме ртропластики сустава и "Морфомеханики" для молодых больных, то я могу уверить о своей готовности выехать в Калининград для стажировки, а для Вашего проекта создать всевозможные усилия для продолжения, включая вложение "свободно-конвертируемой валюты".

Прилагаю копию абстракта, представленного на конференции "Человек и Здоровье" в 2003 году в Санкт Петербурге.

=======================

ETIOLOGY OF HIP ARTHRITIS AND TREATMENT

Osteoarthritis of the hip in young adults is not a common problem. There are many conditions both developmental and acquired that can cause abnormally high intracapsular pressure and lead secondary changes in the joint.
A biomechanical basis for osteoarthritis of the hip in young adults exists in the majority cases. The excellent results seen with total hip arthroplasty in elderly population has not been reproducible in patents under 50 years of age.
Pauwels felt that the problem in certain cases, existed in the bone or cartilage, had lost to withstand pressures of normal magnitude. In many other cases ther existed mechanical abnormalities in the anatomical relationship of the joint leading to a decrease in articular contact surface. These abnormalities: from acetabular side: changes which leads to poor anterior or lateral coverage, steep inclination of soursil, lateralization of center rotation, decrease acetabular depth. From femoral side: shape of femoral head, increasing neck anteversion, neck shaft angle, proximally location of great trochanter. Result of these changes decrease contact area and increase contact stresses and eventually DJD.

Clinical presentation varies according to the patient's age and stage of disease in the affected hip. In an adolescent or young adult, early symptoms of DDH include poor exercise tolerance with muscle pain secondary to muscle fatigue of the hip's abductor muscles. Subluxation of the femoral head also may lead to pain. The pain may be in the groin, buttocks, anterior thigh, or over the area of the greater trochanter. The patient may have pain related to activity and experience difficulty performing activities of daily living.
Although total hip arthroplasty is a surgical option, it has been associated with a high rate of failure in younger, physically active patients. Both cemented and non-cemented prostheses have shown relatively poor survivor rates in young patients. Patients with DDH are at a high risk for developing early osteoarthritis because the weight supported by the hip joint is concentrated over a smaller surface area when the femoral head subluxates up over the rim of the acetabulum. The goal of treatment is to prevent osteoarthritis in these patients. Redirecting the acetabulum is the most acceptable physiological solution because it optimizes the articular congruency in the joint, increases the containment and coverage of the femoral head, and increases the surface contact area on the weight-bearing surface. The Bernese periacetabular osteotomy (PAO) procedure was developed in 1983 by Reinhold Ganz, MD, Jeffrey Mast, MD, and others in Bern, Switzerland. The procedure was first described in 1988. A Bernese PAO allows the surgeon to move the acetabulum freely in any direction (ie, anteriorly, laterally, medially) as necessary to obtain the best coverage. PAO Advantages: allows correction medially, laterally and anteriorly as needed performed through one incision without violation of the abductors pelvic ring and outlet not disrupted can perform capsulotomy to assess the labrum and check for impingement without compromising acetabular blood supply. Surgical correction of the deficiencies should be aimed at improving the mechanics of the joints so as to lower the intra-articular pressure and allow a reparative response to occur in the articular tissues. Application of the orthopedic surgical principles of planning followed by stable internal fixation are needed to able to offer the functional aftercare.

=======================


С уважением Джолдас Кульджанов,
предпочтительно "доктор", чем "господин"



Послать ответ

Имя
Email
Уведомление Сообщить мне по e-mail об ответах на это сообщение
Название
Комментарий
(Проверьте URL! Не забудьте написать http://!)
Кодировка
Если не знаете, что выбрать, выберите "Просто текст"!
Приложение
Можно приложить к сообщению файл c изображением, который затем будет доступен увидевшим сообщение.
Подготовка иллюстраций:
  • Рентгенограммы: черно-белые полутоновые изображения в формате JPEG (8 bit, greyscale) с разрешением от 300х200 до 1024х768 пикселов;
  • Клинические фотографии: полноцветные изображения в формате JPEG (24 bit, truecolor) с разрешением от 300х200 до 1024х768 пикселов;
  • Схемы и рисунки: черно-белые (2 bit) штриховые (line-art) изображения в формате GIF или compressed TIFF
  • Подберите степень сжатия файла JPEG и размер изображения таким образом, чтобы необходимые детали были различимы, но размер файла не превышал 75 кб.
  • Учтите, что текущая версия программного обеспечения Форума позволяет приложить к одному сообщению лишь один файл-вложение. Поэтому, если необходимо отправить несколько изображений, можно либо послать каждое как отдельное сообщение, либо в графическом редакторе объединить изображения в одно (сделать коллаж).
  • Если при подготовке изображений встречаются трудности, не стесняйтесь обратиться к координатору Форума.

  • Введите видимые символы в обратном порядке. Enter the above characters in reverse order (*Обязательно)
    В тексте сообщения можно использовать теги HTML <B> <I> <P> <A> <LI> <OL> <UL> <EM> <BR> <TT> <HR> <STRONG> <BLOCKQUOTE> <DIV .*> <DIV> <P .*>
  • Обратите внимание: Поля с жирными названиями обязательны.
  • Старайтесь отвечать в рамках обсуждаемой темы, а не начинать новые обсуждения.
  • Указывайте адекватную тему сообщения, чтобы было ясно, о чем оно.
  • Не послайте сообщений не по теме (оффтопик), раздраженных, грубых или обидных комментариев. Здесь это неуместно.
  • Powered by Zope  Squishdot Powered MedLink
    Посетитель: 0400500
      "По форме правильно, а по существу - издевательство" В.И.Ленин
    ©2001-2019Orthoforum Coordinator.
    [ Главная | Отправить сообщение | Поиск | Админ ]