вверх
отправить
поиск
админ
главная
|
Застарелое повреждение таза |
 |
 |
 |
Отправлено Максим Агалаков 21 Декабрь 2004, 13:46 УНИИТО
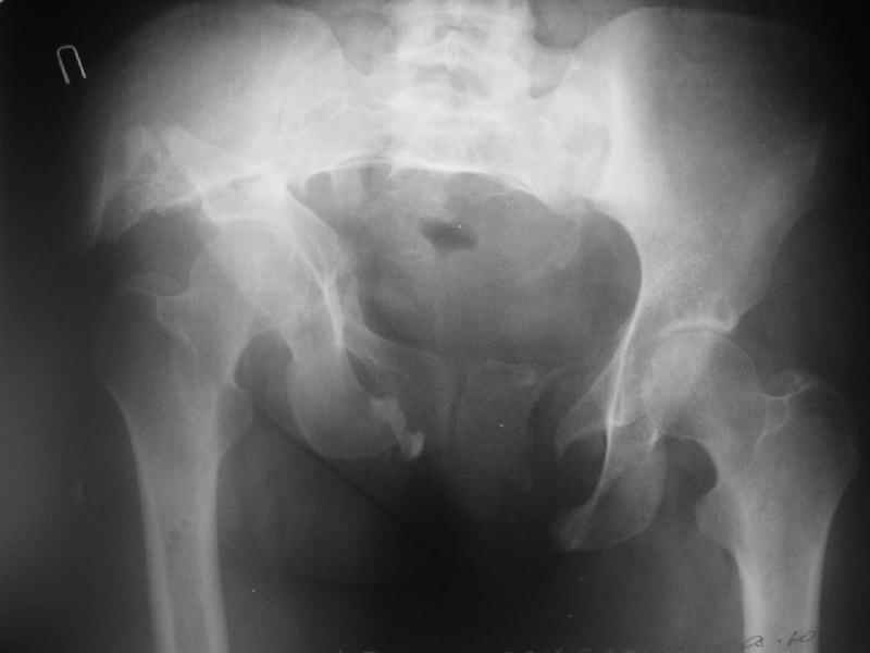
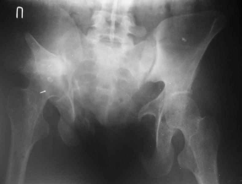
Госпитализирована больная 27 лет. Травма 1.5 года назад, сбита авто. При поступлении в местной больнице наложен фиксационный аппарат-«передняя рама». Через месяц аппарат снят из-за нагноения, разрешена ходьба с костылями. В послеоперационном периоде отмечалось нагноение забрюшинной гематомы. При обрашении к нам 3 мес назад в области промежности имелся свищ, по месту жительства выполнено иссечение свища, был гнойный затек на бедре, откуда получено до литра гноя, больная ходила с костылями.Свищ зажил 1,5 мес назад При поступлении сейчас укорочение до 5 см, ходит без дополнительной опоры, имеется выраженная хромота.Какой, по вашему, может быть оптимальная тактика оперативного лечения? Ограничиться низведением вертлужной впадины (каким доступом?), выполнить полную реконструкцию передних и задних отделов, одномоментно или поэтапно? Заранее благодарен.
<
|
>
|
|
Ответить
|
Re: Застарелое повреждение таза
Andrea Salvi 22 Декабрь 2004, 10:09
|
Dear colleague,
I would suggest a Letournel approach (enlarged ileo-ischiatic approach) in order to evaluate the whole fracture in both the anterior and posterior columns.
Nevertheless, because of the important infection, it would be preferred a Kocher-Langenbeck approach and an anterior approach after 7/8 days, taking down the fragment containing the acetabulum with a Putti hook.
Best regards,
Andrea Salvi
Brescia - Italy
|
[
Ответить ]
|
Re: Застарелое повреждение таза
Chip Routt 22 Декабрь 2004, 21:40
|
It¹s too bad to miss caring for her acutely.
The infection history and recurrence complicate the situation, and you will need to sort that out clinically and radiographically as necessary.
Should you deem her fit for surgery, the 3-D CT alone is insufficient for planning preoperatively. We can¹t see the healing response, soft tissue envelope, the right SI injury, nor the left SI joint problem well enough on the 3-D CT alone.
Based on what you¹ve shown-
1. Ignore the left sided SI joint malunion, assuming that it is stable...is that accurate? If not, start there with a debridement, reduction, and fixation of your preference.
2. Then plan for a long OR day and use a blood salvage suction system.
3. First approach the greater sciatic notch limb of the injury using a KL exposure, debride that portion of the fracture, and also sharply release the contracted local soft tissues such as the sacrospinous and sacrotuberous ligament complexes...then close and turn supine.
4. Use an ilioinguinal exposure to release all local soft tissue tethers, debride the iliac limb, the ipsilateral ramus, and the contralateral ramus injuries. You can also debride and mobilize the right sided SI joint if it¹s indicated.
5. Then start moving the right ³floating acetabular segment² back home. This may require clamps or other manipulation techniques. Sometimes the distractor can be used if the contralateral posterior pelvic ring is stable (which takes us back to the #1 comment above). Some like a traction table or other manipulating reduction techniques.
6. Fix the all fractures and their limbs with stable fixation of your choice. Lag screws, buttressing plates, and other ³smart² fixation would be good for her.
7. Some might prefer a period of postoperative traction, or other creative external skeletal support....you¹ve demonstrated skill with such devices in the past!
8. Have an ICU bed ready for her after surgery
Or you can just strategically insert some wires where they need to be, hook up some rings and threaded bars creatively, move it all around magically, and show us the perfect result without scars nor infection... at least that¹s been your history, so I remain suspicious!!
That¹s about it-
Chip
M.L. Chip Routt, Jr.,M.D.
Professor-Orthopedic Surgery
Harborview Medical Center
325 Ninth Avenue
Box 359798
Seattle, WA
|
[
Ответить ]
|
Re: Застарелое повреждение таза
Отправитель: Bill Burman 23 Декабрь 2004, 17:48
|
Chip
>3-D CT alone is insufficient for planning preoperatively. We can't see the
>healing response, soft tissue envelope, the right SI injury, nor the left
>SI joint problem well enough on the 3-D CT alone.
How useful for preop planning are actual 3D models e.g. http://www.hwbf.org/hwb/conf/barr1/jk.jpg
produced by stereolithography or other rapid prototyping techniques reported by Brown et al at OTA 2002. i.e. http://www.hwbf.org/ota/am/ota02/otapa/OTA02319.htm
Bill Burman, MD
HWB Foundation
http://www.hwbf.org
|
[
Ответить ]
|
Re: Застарелое повреждение таза
Отправитель: Tom DeCoster 24 Декабрь 2004, 16:54
|
A 3 dimensional life size model of this pelvic malunion could be easily made from the CT scan with minimal cost and would provide the surgeon the ability to see the bone and deformity without soft tissues. That would seem to facilitate freeing up the partially healed fractures and reducing them.
TD
|
[
Ответить ]
|
|
Re: Застарелое повреждение таза
Diego A. Artiles Granda 24 Декабрь 2004, 16:57
|
Dear friends:
Sorry that I write quite late, because I had my PC out of order.
I 've read Dr. Chelnokov and he said the accident occured 18 months ago.
Then, do you think bones can be moved after that time?
In other hand, I would like to see the primary X rays, because with 3D-CT alone I cannot classify that fracture into Letournel's classification. Maybe it is a posterior hemitransverse with anterior column fracture.
I think it will be very dangerous try to move the bone fragments, mainly due to the presence of the upper gluteal artery, close to the posterior gap of the fracture.
Please, I am interested to know what do (or did) you perform and the end results.
Thanks.
Have a nice Christmas and a Happy New Year.
Dr. Diego Artiles
City of Havana, Cuba
|
[
Ответить ]
|
Re: Застарелое повреждение таза
Максим Агалаков 28 Декабрь 2004, 11:37
|
Дополнительно сообщаю, что больную беспокоят боли в области левого крестцово-подвздошного сочленения, в области правого болей нет. Кроме того, беспокоит укорочение конечности (ходит с компенсацией) без дополнительной опоры (в помещении), нарушение осанки (сколиоз, избыточный поясничный лордоз), боли в пояснице, невозможность стоять более 20-30 минут, спать без резинового круга под крестцом и подушкой под коленями, неудобство при сидении. Majeed 41 балл.
По просьбам коллег отправляем снимки таза: прямая, inlet, outlet, 2 дополнительные компьютерные томограммы.
Благодарю за комментарии.
|
[
Ответить ]
|
Re: Застарелое повреждение таза
Djoldas Kuldjanov 29 Декабрь 2004, 23:44
|
Данная проблема, застарелое повреждение таза, рассматривается в русском и американском форуме и др. Билл Бурман сделал сноску на возможности сделать пластмассовые модели таза на основе КТ через наш CyberOrthology (информация для участников, кроме основной работы в клинике у меня компания CyberOrthology, которая занимается подготовкой предоперационных пластмассовых моделей на основе КТ данных и выпуском цветных колец для аппаратов Илизарова)
Некоторые наши специалисты, в том числе я, для уточнения сложной патологии, особенно таза, пользуемся предоперационными моделями больного, облегчающими выбор тактики и правильности решения, а иногда вторая модель дает возможность проделать операцию и подготовить/подогнать фиксирующий материал заранее.
Немного зная ситуацию по лечению застарелых повреждений таза, пусть простят меня за эту дерзкость мои коллеги в США, могу назвать не более 3-4 имен, которые бы взялись за эту операцию, и тактика в основном заключалась бы в лечении всех деформаций одномоментно. Из-за сложности деформации и возможности повреждения важных структур во время репозиции и фиксации, у меня такая тактика вызывают большие сомнения.
О виртуозности владения аппаратным лечением, неоднократно доказанным на ваших материалах, со стороны русских коллег, все таки голосую за многоэтапность лечения, конечно после нормального обследования, снимки таза: прямой, инлет, оутлет и КТ, а представленная 3D, не представляю
во сколько обошлась больной, кроме красивого рисунка, не дает нужную информацию для специалиста. Обычные КТ срезы дают информацию о
сращении, от которого и зависит тактика лечения.
Во-вторых, какие планы у больной, что она ожидает от лечения, на сколько хватит у нее терпения, иногда специалисты ломают голову, а у больной никогда и не было малейшего желания продолжать долгие лечения, больные ищут советы от "специалистов", "Кашпировского" о саморассасывании и т.д.
При уточнении всех факторов и согласия больной на лечение, не давая никаких гарантии на успех, я бы предложил постепенную тягу в специально созданном комбинированном (включая стержневые за таз и кольца на бедре) аппарате для дистракции, остеоклазия, освободить небольшие перемычки мозоли и мы сумеем низвести полутаз до условно принятых параметров, сопоставленные костные фрагменты в зависимости их позиции, можно фиксировать через правильно выбранный, нужный доступ.
Если больная из семьи "олигархов" и согласна на лечение где-нибудь за рубежом могу направить специалисту в Европе или США, который точно будет нуждаться в предоперационной модели.
С уважением Джолдас Кульджанов
|
[
Ответить ]
|
( Ответить )
|
|