AOTRAUMA.ORG Центр Илизарова  

Ортопедия и травматология Общие вопросы/General questions Help Информационные технологии в медицине
 вверх
 отправить
 поиск
 админ
 главная


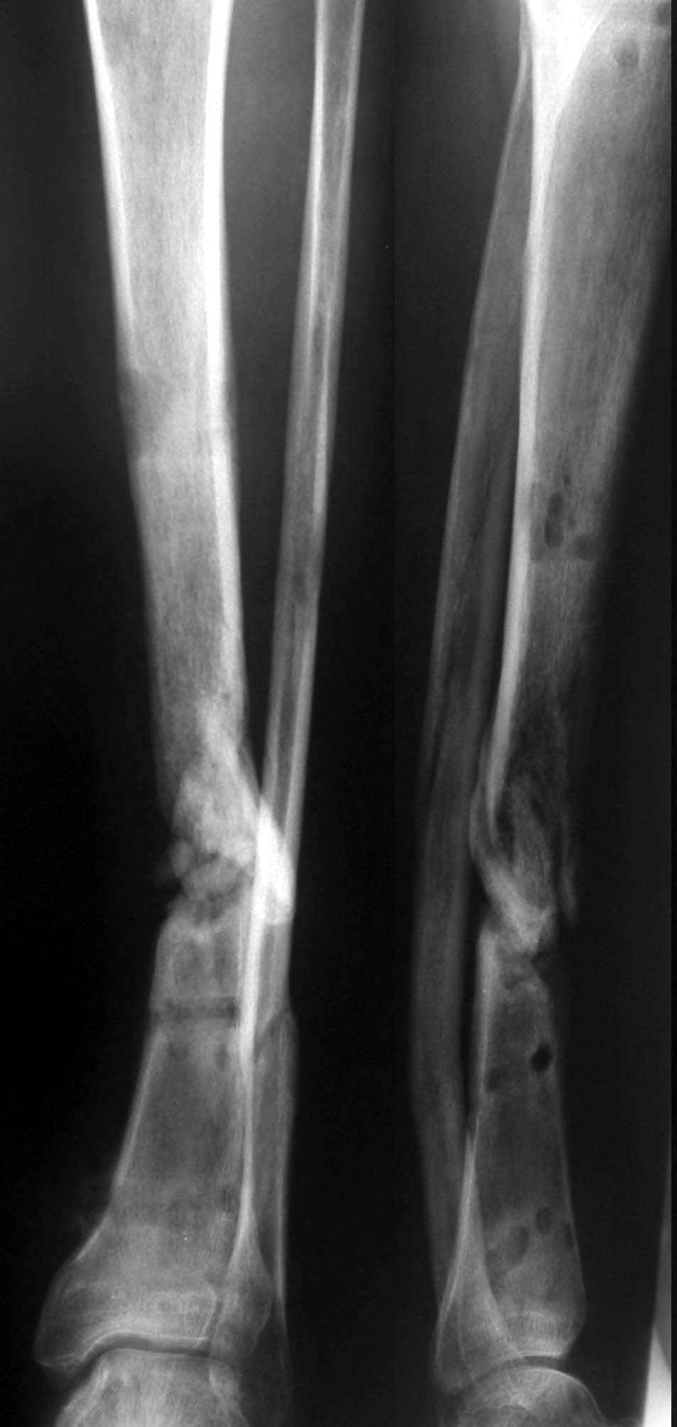
Несросшийся перелом голени
Ортопедия и травматология Отправлено Андрей Миронов 11 Январь 2005, 10:47 МЛПУ "Городская больница №1" г.Новокузнецк
больной переведён из другого лечебного учреждения, травма высокоэнергетическая на производстве, 10мес. лечился в АВФ по поводу открытого перелома костей левой голени, течение осложнилось спицевым остеомиелитом, аппарат мы демонтировали, провели секвестрнекрэктомию, раны зажили, свищей нет.
Планирую через 6-8недель стеосинтез блокированным штифтом без рассверливания,периостальную декортикацию Хотелось бы услышать советы по тактике лечения этого больного.

<  |  >

 

  • Сообщения о Ортопедия и травматология
  • Также Андрей Миронов
  • Связаться с автором
  • Ответить

    Re: Несросшийся перелом голени
    Alexander Chelnokov 11 Январь 2005, 16:52
    АМ> блокированным штифтом без рассверливания,

    Канал все рано придется формировать - соответственно, минимальное рассверливание и неизбежно, да это и не во вред. Лучше сделать закрыто.

    АМ> периостальную декортикацию.

    Зачем?! Тут не надо обнажать область несращения.

    АМ> Хотелось бы услышать советы по тактике лечения этого больного.

    Если подвижность тугая, есть укорочение, то можно бы сделать чрескожную остеотомию малоберцовой кости, аппаратом за неделю-другую восстановить ось и длину, и закрыто сделать остеосинтез бесканальным титановым стержнем. Если подвижность хорошая - можно и без предварительной дистракции. В дистальном отлмоке при запирании ввести не 2 обычных винта, а побольше.
    [ Ответить ]

    • Re: Несросшийся перелом голени
      Отправитель: Андрей Миронов 12 Январь 2005, 07:49
      >Канал все рано придется формировать - соответственно, минимальное
      >рассверливание и неизбежно, да это и не во вред. Лучше сделать
      >закрыто.

      согласен, без рассверливания возможно через обл. перелома и не пройти

      >Зачем?! Тут не надо обнажать область несращения.

      у больного атрофический (аваскулярный) псевдоартроз и декортикацию
      считаем необходимой для улучшение микроциркулиции.

      >Если подвижность тугая, есть укорочение, то можно бы сделать
      >чрескожную остеотомию малоберцовой кости, аппаратом за неделю-другую
      >восстановить ось и длину, и закрыто сделать остеосинтез бесканальным
      >титановым стержнем. Если подвижность хорошая - можно и без
      >предварительной дистракции. В дистальном отлмоке при запирании ввести
      >не 2 обычных винта, а побольше.

      укорочения нет, подвижность тугая, деформацию планируем устранить одномоментно, проведя кортикотомию, дистально 3 запирающих винта.

      [ Ответить ]
      • Re: Несросшийся перелом голени
        Отправитель: Alexander Chelnokov 12 Январь 2005, 09:27
        Глубокоуважаемый Андрей,

        Wednesday, January 12, 2005, 8:33:43 AM, you wrote:

        АМ> у больного атрофический (аваскулярный) псевдоартроз и декортикацию
        АМ> считаем необходимой для улучшение микроциркулиции.

        Какими исследованиями доказана целесообразность этого дополнения к закрытому интрамедуллярному остеосинтезу (ЗИО) в подобной ситуации?
        У нас, например, на несколько десятков подобных операций ни в одном случае ничего подобного не делалось, однако желаемый результат достигается.
        Атрофический (болтающийся) пседартроз - это когда две удаленных друг от друга сосульки, с хорошими замыкательными пластинками. Тут еще была бы оправдана открытая обработка концов. А как Вы сами пишете, подвижность тугая, а по снимку есть неплохие контактирующие участки.

        АМ> укорочения нет,

        Вот тут лучше подойти более скрупулезно - посмотреть, что получится, если отломки скомпрессировать, да потом, возможно, гвоздь надо будет динамизировать, и отломки еще сблизятся.

        АМ> подвижность тугая, деформацию планируем устранить одномоментно,

        А мягкие ткани в области несращения как? Не подпаяны?

        АМ> проведя кортикотомию,

        Какую именно планируете?

        АМ> дистально 3 запирающих винта.

        Можно и больше, если есть еще отверстия. Или блокирующие (Poller) - мимо гвоздя.

        [ Ответить ]
    Re: Несросшийся перелом голени
    Митрофанов Александр 11 Январь 2005, 20:02
    Я работаю в РНЦ"ВТО" им. Илизарова, но при этом не являюсь ортодоксальным приверженцем этого метода. Но в данном случае я считаю, что именно остеосинтез по Илизарову является методом выбора.
    Во-первых в области стыка недостаточна площадь контакта костных отломков.
    Во-вторых сопостовляемые поверхности неконгруентны.
    В-третьих остеосинтез штифтом в сочетании с остеотомией малоберцовой кости, в данном случае, приведет к укорочению.
    В-четвертых высок риск обострения остеомиелита т.к. мало времени после его купирования.


    [ Ответить ]

    • Re: Несросшийся перелом голени
      Отправитель: Alexander Chelnokov 11 Январь 2005, 21:27
      Приветствую, Александр

      Tuesday, January 11, 2005, 8:07:32 PM, you wrote:

      МА> что именно остеосинтез по Илизарову является методом выбора.

      Наверно, так безоговорочно - если бы на сегодня имелись клинические проявления остеомиелита.

      МА> Во-первых в области стыка недостаточна площадь контакта костных
      МА> отломков. Во-вторых сопостовляемые поверхности неконгруентны.

      Если скорого сращения тут ожидать не приходится, зачем же обрекать больного на многомесячное пребывание в аппарате? Не лучше ли разместить "аппарат" внутри?

      МА> В-третьих остеосинтез штифтом в сочетании с остеотомией малоберцовой
      МА> кости, в данном случае, приведет к укорочению.

      Возможная проблема - нужны подробности ситуации. Конечно, при необходимости возможен какой-то вариант аппаратной коррекции длины/оси, включая и кортикотомию, с последующим штифтованием сразу по окончании перемещения фрагментов. Не теряю надежды убедить в рациональности такого подхода коллег из Кургана ;-)

      МА> В-четвертых высок риск обострения остеомиелита т.к. мало времени
      МА> после его купирования.

      При использовании не очень тонкого бесканального титанового гвоздя, при хорошем его запирании, риск этот не сильно велик. У нас было 2 случая примерно на 50 таких операций, причем на фоне нестабильности.

      [ Ответить ]
    • Re: Несросшийся перелом голени
      Отправитель: Андрей Миронов 12 Январь 2005, 08:16
      Здравствуйте Александр.
      Больной 10мес. провёл в АВФ, настрадался и морально не готов к аппаратному лечению. Есть и ряд других причин:
      - остеопороз
      - обострение спицевого остеомиелита
      - кчество жизни пациента
      >Во-первых в области стыка недостаточна площадь контакта костных отломков.
      >Во-вторых сопостовляемые поверхности неконгруентны.

      абсолютной конгруэнтности можно достигнуть только открытой репозицией, мы к этому не стремимся, да и нет в этом необходимости. А площадь контакта увеличится за счёт костной пластики(рассверливание и декортикация).

      >В-третьих остеосинтез штифтом в сочетании с остеотомией малоберцовой
      >кости, в данном случае, приведет к укорочению.

      UTN- аппарат "внутри"

      >В-четвертых высок риск обострения остеомиелита т.к. мало времени
      >после его купирования.

      риск не меньше, а может и больше при аппаратном лечении.

      [ Ответить ]
    Re: Несросшийся перелом голени
    Dr. Castro 11 Январь 2005, 21:18
    Ja schitaio, chto takoi perelom nuzno lechit' TOLKO apparatom Ilizarova!

    Dr. Castro
    [ Ответить ]

    Re: Несросшийся перелом голени
    Anton Vladzymyrskyy 12 Январь 2005, 17:31
    Я показал этот случай зав.отд. костно-гнойной инфекции (д.мед.н., проф. Руашй А.К.). Его ответ: "При наличии даже санированных очагов инфекции считаем нецелесообразным использовать погружные конструкции. Рекомендую ВЧКО АВФ спице-стержневого типа, пластику зоны несращения с тутопластом, внутрь препараты кальция".
    [ Ответить ]

    • Re: Несросшийся перелом голени
      Отправитель: Alexander Chelnokov 12 Январь 2005, 17:54
      AV> Я показал этот случай зав.отд. костно-гнойной инфекции (д.мед.н., проф.
      AV> Руашй А.К.). Его ответ: "При наличии даже санированных очагов инфекции
      AV> считаем нецелесообразным использовать погружные конструкции.

      На каком собственном опыте закрытого блокируемого интрамедуллянрого остеосинтеза в подобных ситуациях основано это мнение?

      AV> пластику зоны несращения с тутопластом,

      Не первый раз встречается упоминание этого препарата. Антон, в ваших краях, похоже, он широко используется, наверно, с литературой о нем ект проблем? Что это, кто делает, есть ли проспективные исследования, доказывающие, что его применение как костнопластического материала
      дает какую-то пользу?

      AV> внутрь препараты кальция".

      Про кальций уже как-то говорили - нет никаких подтверждений пользы от него в подобных ситуациях. Да и оснований ее ожидать тоже не видно, несращение ведь обусловлено не дефицитом кальция, или каким-то метаболическими проблемами.

      [ Ответить ]
      • Re: Несросшийся перелом голени
        Отправитель: Alexey Mozgunov 15 Январь 2005, 01:26
        У нас этот препарат появлялся лет 5 назад.
        Или Тутопласт (Tutoplast?) фирмы Тутоген (Tutogen), или Тутоген фирмы Тутопласт.
        фирма немецкая. Сейчас не помню точно.
        В интернете есть ее сайт, помоему даже с английской страничкой.
        Сам лично смотрел, но опять-таки несколько лет назад.

        Препарат этот - трупная кость, которая полностью очищена от костного матрикса. Т.е. по сути дела "сахарная". Выпускается в виде "брусков", "чипсов" и, по-моему, в виде порошка или мелкой крошки (?). В стерильной таре.

        Нам его привезли всего несколько упоковок, т.ск. на пробу, под одного конкретного врача, кажется из Москвы. Использовали несколько раз при пластике
        костных кист у детей, а также, вроде бы, применяли для заднего спондилодеза при коррекции сколиоза.

        Точных результатов не знаю. Но тот, кто делал, вроде бы остался доволен.

        Пытались, тогда же, найти представителей в Москве, списывались с фирмой, но они в России не работали. Московские и Питерские коллеги также не дали какой-либо точной информации.

        Если к настоящему времени ситуация изменилась - были бы рады за информацию.

        [ Ответить ]
        • Re: Несросшийся перелом голени
          Отправитель: Alexander Chelnokov 15 Январь 2005, 01:39
          Привет, рад встрече!!

          AVM> Препарат этот - трупная кость, которая полностью очищена от костного
          AVM> матрикса. Т.е. по сути дела "сахарная".

          Спасибо за информацию, стало более-менее понятно, что это и как.
          Видимо, такого рода материал в самый раз при замещении небольших дефектов губчатой кости в области суставных концов? А на диафизарном гипотрофическом несращении стоит ли полагаться на него...

          [ Ответить ]
    Re: Несросшийся перелом голени
    Djoldas Kuldjanov 12 Январь 2005, 21:11
    Основными принципами лечения гипотрофического ложного сустава являются создание механической стабилизации в зоне патологии и создания условий для биологической стимуляции.
    Метод интрамедуллярной фиксации, открытая фиксация пластинами или аппарат Илизарова создадут перечисленные необходимые условия для сращения ложного сустава.

    Метод фиксации пластиной - тут как раз надо вспомнить недавную дискусцию, по поводу рекомендации, с какой стороны наложить пластину на голень, при подобных случаях я согласен с рекомендациями установления пластины с медиальной стороны.

    Кожный разрез, как рекомендовали, на 1-1.5см от гребня латерально, обнажая место для пластины, только одним кожно-фасциально-периостным лоскутом, не ламинируя по слоям, достигается профилактика некроза кожи.

    Выбор медиальной стороны голени обусловлен еще тем, что обнажая (срезая кровеснабжение) латеральную сторону голени для пластины, создадим на две трети худшие условия для сращения ложного сустава.

    Из-за отказа больного от наружного фикcатора, из двух оставшихся альтернативных методов, более биологичным считается интрамедуллярный остоесинтез, биологическая стимуляция достигается во время рассверливания римером (термическая и частицами фрагментов кости), а большим диаметром интрамедуллярного штифта достигается механическая стабильность.

    Главная задача это сокращение нарушения кровеснабжения, предложенная декортикация, нарушая кровеснабжение снаружи, увеличивает риск несращения ложных суставов, поэтому нецелосообразно ее применение в комбинации с интрамедуллярным остеосинтезом.

    Декортикация (Judet) не улучшает микроциркуляцию, а кусочки фрагментов кортекса с периостиумом, являясь ложем для спонгиозных кусочков, в контакте с ними создают быстро интеграционные процессы костной пластики.

    Блокирующее шурупы в зависимости от конструкции штифта, но с условием через 2-3 недели иметь возможность динамизации, иначе без костной пластикой вам не обойтись.

    При примерных вариантах лечения ложного сустава, для увеличения локальных метаболических процессов, мы рекомендуем наружные електро-стимуляторы мозолеобразования.

    С уважением Джолдас Кульджанов
    [ Ответить ]

    Re: Несросшийся перелом голени
    Андрей Миронов 13 Январь 2005, 17:05
    Уважаемые коллеги, спасибо за советы!
    Есть ещё время подумать. После операции обязательно пришлю Rg-мы.

    [ Ответить ]

    Re: Несросшийся перелом голени
    Рыков А.Г. 13 Январь 2005, 19:00
    Весьма рискованно, очень много "дырок" на кости, где силит "зараза". На мой взгляд целесообразнее и безопаснее повторить АВФ в классическом варианте с остеотомией м\б кости и возможно вмешательством на очаге. Впрочем победителей не судят. Удачи А Рыков. Хабаровка.
    [ Ответить ]

    Re: Несросшийся перелом голени
    Митрофанов Александр 13 Январь 2005, 19:36
    Сколько врачей - столько мнений.Хороша та методика которой хорошо владееш.
    Вобщем время рассудит. Было очень интересно участвовать в обсуждении темы. Всем спасибо.
    [ Ответить ]

    • Re: Несросшийся перелом голени
      Отправитель: Alexander Chelnokov 14 Январь 2005, 20:08
      МА> Сколько врачей - столько мнений.

      Два врача - три мнения ;-)

      МА> Хороша та методика которой хорошо владеешь.

      А разве хорошо владеть можно лишь одной методикой?

      МА> В общем, время рассудит. Было очень интересно участвовать в

      Не далее как сегодня коллега из другого учреждения принес посоветоваться снимки "брата-близнеца" обсуждаемого больного. Т.е. примерно тот же анамнез, сходная рентгенологическая картина, чуть более подрассосавшися концы отломков (увы, не успел переснять рентгенограмму), но - больной еще в аппарате. Уже дело к году. Перспективы сращения в нынешнем состоянии не видно... Что сейчас в Кургане предпринимают при подобных состояниях?

      [ Ответить ]
      • Re: Несросшийся перелом голени
        Отправитель: Митрофанов Александр 16 Январь 2005, 17:22
        В нашем отделении при выражений атрофии концов отломков, как правило, исппользуенся следующая методика.
        На первом этапе - остеосинтез голени, корекция оси, остеотомия проксимального отломка. В послеоперационном периоде дозированным перемещением остеотомированного фрагмента создается запас костного вещества в зоне псевдоартроза (дублирование концов отломков).
        Вторым этапом открытая адоптация концов отломков - варианты могут быть разными.
        Сроки лечения как правило 4-6 мес.
        Кстати, к нам тоже часто обращаются пациенты в аппарате, и нам приходится выполнять реостеосинтез. И нечего страшного, восновном получается.

        [ Ответить ]
        • Re: Несросшийся перелом голени
          Отправитель: Alexander Chelnokov 17 Январь 2005, 23:30
          МА> исппользуенся следующая методика.
          МА> На первом этапе - остеосинтез голени, корекция оси, остеотомия
          МА> проксимального отломка. В послеоперационном периоде дозированным
          МА> перемещением остеотомированного фрагмента создается запас костного
          МА> вещества в зоне псевдоартроза (дублирование концов отломков).

          Прошу проиллюстрировать это схемой или примерами, по краткому объяснению трудно все представить (не говоря о том, чтобы сделать) - уровень остеотомии, куда и как перемещать фрагмент, какой и где получается "запас костного вещества"?.. Заранее спасибо.

          МА> Вторым этапом открытая адоптация концов отломков - варианты могут быть

          А вот была закрытая методика перекрытия зоны несращения скользящим отщепом - она сейчас еще актуальна?

          [ Ответить ]
          • Re: Несросшийся перелом голени
            Отправитель: Митрофанов Александр 19 Январь 2005, 19:41
            Методика скользящего отщепа по Хахутову в комбинации с остеосинтезом по Илизарову у нас применялась при псевдоартрозах и несвежих переломах наружней лодыжки, так как из-за малой величины отломка, остеопороза трудно закрыто создать компрессионные усилия на стыке. Так прооперировано за два последние года 5 клиентов. Отслежено трое. Хорошие результаты сохраняются.
            По-поводу схем и примера, в ближайшие дни попробую что-нибудь показать.

            Митрофанов А.И. г. Курган

            [ Ответить ]
            • Re: Несросшийся перелом голени
              Отправитель: Alexander Chelnokov 19 Январь 2005, 22:07
              Заранее спасибо. Но я про отщепы именно при диафизарных несращениях большеберцовой кости.

              [ Ответить ]
        • Re: Несросшийся перелом голени
          Отправитель: Anatoly Borzunov 18 Январь 2005, 10:55
          Ниже отиентировочные сроки временной нетрудоспособности при свежей травме:

          Перелом диафизов большеберцовой и малоберцовой костей открытый
          Верхняя треть Со смещением 170—185 дней
          Без смещения 120—135 дней
          Средняя треть Со смещением 175—195
          Без смещения 150—160
          Нижняя треть Со смещением 170—185
          Без смещения 145—160

          [ Ответить ]
          • Re: Несросшийся перелом голени
            Отправитель: Alexander Artemiev 18 Январь 2005, 12:49
            Здравствуйте.
            AB> Ниже отиентировочные

            Ориентировочные - на сколько?

            AB> сроки временной нетрудоспособности при свежей травме:
            А какое клиническое значение имеет эта информация?
            И зачем разделение по третям, если при оценке среднего квадратичного отклонения различия наверняка будут недостоверными?
            И почему в нижней трети меньше, чем в верхней, а не наоборот, что кажется логичным?

            Видимо, это информация из какой-то диссертации годов этак 70-х прошлого века. Кому сейчас это интересно - сколько человек был на больничном.

            [ Ответить ]
            • Re: Несросшийся перелом голени
              Отправитель: Anatoliy Borzunov 18 Январь 2005, 22:34
              artemiev> А какое клиническое значение имеет эта информация?


              Я привел цитату, что 4-6 месяцев недостаточно для лечения ложного сустава, клинической информации никакой, но больной должен быть информирован о предполагаемых реальных сроках лечения.

              Если вы располагаете методическими рекомендациями по срокам нетрудоспособности, опубликованных за последнее время, убедительно прошу выслать на личный адрес. Они необходимы в практической работе.


              --
              С уважением,
              Анатолий Борзунов

              [ Ответить ]
              • Re: Несросшийся перелом голени
                Отправитель: Alexander Artemiev 18 Январь 2005, 23:29
                Приветствую, Анатолий и коллеги.

                AB> Я привел цитату, что 4-6 месяцев недостаточно для лечения ложного
                AB> сустава,
                Ну скажем так - смотря какой ложный сустав.
                Тугой - нет проблем.

                AB> клинической информации никакой, но больной должен быть
                AB> информирован о предполагаемых реальных сроках лечения.
                О сроках лечения - да. Но при чём здесь сроки нетрудоспособности.
                Это совершенно разные вещи.
                Есть больные, которые до конца жизни косить будут.
                А иные и через неделю на работу выйдут.

                AB> Если вы располагаете методическими рекомендациями по срокам
                AB> нетрудоспособности, опубликованных за последнее время, убедительно
                AB> прошу выслать на личный адрес.
                Если попадутся - я и на общий адрес вышлю.
                AB> Они необходимы в практической работе.
                Золотые слова.
                Удачи
                Александр Артемьев

                [ Ответить ]
              • Re: Несросшийся перелом голени
                Отправитель: Alexander Chelnokov 18 Январь 2005, 23:30
                AB> Я привел цитату, что 4-6 месяцев недостаточно для лечения ложного
                AB> сустава,

                Недостаточно - для органотипической перестройки, а для создания опороспособной и безболезненной конечности, чего может хватить для восстановления трудоспособности - достаточно бывает и нескольких дней.

                AB> клинической информации никакой, но больной должен быть
                AB> информирован о предполагаемых реальных сроках лечения.

                Остается только удивляться, откуда эти таблички берутся.

                AB> Если вы располагаете методическими рекомендациями по срокам
                AB> нетрудоспособности, опубликованных за последнее время, убедительно

                А каково применение этих методических рекомендаций? Чего без них нельзя? Что они позволяют сделать?


                [ Ответить ]
                • Re: Несросшийся перелом голени
                  Отправитель: Anatoliy Borzunov 19 Январь 2005, 01:41
                  Chelnokov> Остается только удивляться, откуда эти таблички берутся.

                  А разве Вас не спрашивают больные, сколько времени он будет лечиться, ведь ему необходимо планировать свою работу, а работа связана с материальным благосостоянием. В зависимости от предполагаемых сроков пациент может более эффективно спланировать свой бизнес. Материально ответственные лица могут передать дела в другие руки, или на короткий срок справиться сами.


                  Chelnokov> А каково применение этих методических
                  Chelnokov> рекомендаций? Чего без них
                  Chelnokov> нельзя? Что они позволяют сделать?

                  Мне очень часто приходится отвечать о предполагаемых сроках нетрудоспособности на различные запросы предприятий, адвокатов, следователей, суд. мед. экспертов, ВКК. Только недавно, отвечал на жалобу больной. Женщина получила вывих костей предплечья и перелом головки лучевой кости, в последующем развилась сгибательно-разгибательная контрактура в локтевом суставе. Больная обратилась за консультацией ортопеду в санаторно-курортное учреждение, где ей сказали, что контрактура развилась из-за рано снятой гипсовой повязки, эта консультация и "родила" жалобу. В ответе, я считаю лучше ссылаться на методические рекомендации, чем на собственный опыт, меньше затем ходить по судам, в качестве свидетеля.

                  [ Ответить ]
                  • Re: Несросшийся перелом голени
                    Отправитель: Alexander Chelnokov 19 Январь 2005, 09:53
                    AB> А разве Вас не спрашивают больные, сколько времени он будет лечиться,
                    AB> ведь ему необходимо планировать свою работу, а работа связана с
                    AB> материальным благосостоянием. В зависимости от предполагаемых сроков пациент

                    Наверно, на такой вопрос рационально отвечать, исходя не из абстрактной таблицы, неизвестно, на какой популяции и когда созданной, а из собственных представлений, которые находятся в постоянной корректировке - меняются методики, идет анализ текущей практки с ее местной спецификой...

                    AB> Мне очень часто приходится отвечать о предполагаемых сроках
                    AB> нетрудоспособности на различные запросы предприятий, адвокатов,

                    А Вы просто переписываете ответ из таблицы? Если жаждущим этой информации раскрыть ее источник, то есть дать копию этой таблички, может, они к Вам больше и обращаться не будут? Или все же мнение эксперта должно быть содержательнее?

                    AB> Только недавно, отвечал на жалобу больной. Женщина получила вывих
                    [...]
                    AB> развилась из-за рано снятой гипсовой повязки, эта консультация и
                    AB> "родила" жалобу.

                    А при чем тут пресловутая таблица со сроками нетрудоспособности?

                    AB> В ответе, я считаю лучше ссылаться на методические рекомендации,
                    AB> чем на собственный опыт, меньше затем ходить по судам, в качестве

                    Рекомендации, руководства и т.п. пишутся про всякое, например, про методы лечения, тактику и т.п. - конечно, на них надо ссылаться. А приведенная Вами таблица с полугодовыми "ориентировочными" сроками нетрудоспособности при переломах костей голени - скорее дезориентирующая. Ну как можно приводить единый срок нетрудоспособности безотносительно и к виду лечения, и к профессии?
                    Опять же, что это значит для конкретного человека - если у него все хорошо, он на работу выйдет через 2 недели после остеосинтеза, а не все хорошо - вообще останется инвалидом.

                    [ Ответить ]
                    • Re: Несросшийся перелом голени
                      Отправитель: Anatoliy Borzunov 19 Январь 2005, 10:07
                      Chelnokov> корректировке - меняются методики, идет анализ текущей практки с ее
                      Chelnokov> местной спецификой...

                      Согласен, эти понятия варьируют, иногда приходится отвечать очень расплывчато, например, от 4 месяцев до инвалида 2 группы, а потом следует длительное объяснение.


                      Chelnokov> А Вы просто переписываете ответ из таблицы?

                      Все равно, тот кто делает запрос, желает получить бумагу, а затем по своему усмотрению использовать ее или нет.


                      Chelnokov> А при чем тут пресловутая таблица со сроками нетрудоспособности?

                      В этих таблицах есть и сроки иммобилизации.

                      Chelnokov> Опять же, что это значит для конкретного
                      Chelnokov> человека - если у него все
                      Chelnokov> хорошо, он на работу выйдет через 2 недели
                      Chelnokov> после остеосинтеза, а не
                      Chelnokov> все хорошо - вообще останется инвалидом.

                      Согласен. Но. Больничный Вы закроете с пометкой "к труду" через две недели после остеосинтеза? Больного предприятие может направить на внеочередную медицинскую комиссию и не допустить к работе.

                      [ Ответить ]
                      • Re: Несросшийся перелом голени
                        Отправитель: Alexander Chelnokov 19 Январь 2005, 10:41
                        AB> расплывчато, например, от 4 месяцев до инвалида 2 группы, а потом
                        AB> следует длительное объяснение.

                        Наверно, немало места может занимать объяснение, почему срок отличается от указанного в таблице?

                        AB> Все равно, тот кто делает запрос, желает получить бумагу, а затем по
                        AB> своему усмотрению использовать ее или нет.

                        То есть лишь бы бумага, а то, что там написанное к реальности не имеет отношения, это дело десятое...

                        Chelnokov>> А при чем тут пресловутая таблица со сроками нетрудоспособности?
                        AB> В этих таблицах есть и сроки иммобилизации.

                        Без указания, какой именно?

                        Chelnokov>> не все хорошо - вообще останется инвалидом.

                        AB> Согласен. Но. Больничный Вы закроете с пометкой "к труду" через две
                        AB> недели после остеосинтеза?

                        Если ситуация дает для этого основания - почему нет?

                        AB> Больного предприятие может направить на внеочередную медицинскую
                        AB> комиссию и не допустить к работе.

                        Их представления могут сильно отличаться от таковых клинициста. Идеальный вариант - когда есть контакт между ними и лечащим врачом, и в результате комиссия принимает совсем другое решение. Была года полтора назад больная, которой удлинял бедро на стержне (посттравматическое укорочение) - эта самая комиссия закрыла ей
                        больничный лист (она инженер) дней через 5-10 после окончания удлинения и запирания гвоздя.

                        Ну и сплошь и рядом - прошло N мес., спрашиваешь больного - работаешь? -Нет, еще на болничном! -А чего делаешь? -Да огород вот вскопал, крышу на даче перекрыл, сейчас халтурю - печки кладу [машины перегоняю etc etc]. То есть эта самая комиссия руководствуется, видимо, этими таблицами вместо того, чтобы оценить реальное соостояние.

                        И - сейчас половине, если не больше, вообще больничный не нужен, предъявить его некуда. И вот тут как раз выявляются реальные сроки нетрудоспособности, а не эти мифические табличные.

                        [ Ответить ]
                • Re: Несросшийся перелом голени
                  Отправитель: Alexander Artemiev 19 Январь 2005, 01:42
                  AB> А разве Вас не спрашивают больные, сколько времени он будет лечиться,

                  Chelnokov>> А каково применение этих методических
                  Chelnokov>> рекомендаций?

                  Поддержу Анатолия.
                  Этот вопрос имеет чрезвычайно важное значение, иногда -
                  определяющее, особенно у т.н. плановых больных.
                  Следует только дифференцировать:
                  - сроки лечения (из них - в стационаре);
                  - сроки нетрудоспособности;
                  - сроки сращения (при переломах и остеотомиях).

                  Фактически лишь последняя характеристика является собственно
                  медицинской (лечебной или как угодно).
                  Первые две в значительной мере определяются организационными
                  факторами.

                  С уважением
                  Александр Артемьев

                  [ Ответить ]
                  • Re: Несросшийся перелом голени
                    Отправитель: Alexander Chelnokov 19 Январь 2005, 09:55
                    a> Этот вопрос имеет чрезвычайно важное значение, иногда -

                    Проблема в правильном ответе - содержат ли его эти таблицы?

                    a> Следует только дифференцировать:
                    a> - сроки лечения (из них - в стационаре);
                    a> - сроки нетрудоспособности;
                    a> - сроки сращения (при переломах и остеотомиях).

                    Вся эта информация может быть получена на месте путем анализа текущей практки, причем она будет специфицированная под популяцию, применяемые лечебно-тактические подходы и т.п.

                    a> Фактически лишь последняя характеристика является собственно

                    Важным этот показатель является не всегда. Как там было в определении...
                    Это субъективно определяемый момент, когда с точки зрения опытного врача заживающая кость может выдержать нормальные для данного пациента нагрузки. И есть "хирургическое сращение".

                    [ Ответить ]
    Re: Несросшийся перелом голени
    П.Доценко, ГКБ № 3 им. М.А.Подгорбунского, г.Кемерово 21 Январь 2005, 19:54
    Дорогой Андрей! Неплохой выбор фиксатора.Но я бы предпочёл гвоздь с рассверливанием (пассивная костная пластика). Обрати внимание на возможное имеющееся укорочение голени, которое возможно трудно будет устранить даже с учётом планируемой (надеюсь) остеотомии м/берцовой кости.Успехов!

    [ Ответить ]


    ( Ответить )

    Powered by Zope  Squishdot Powered MedLink
    Посетитель: 0181205
      "По форме правильно, а по существу - издевательство" В.И.Ленин
    ©2001-2019Orthoforum Coordinator.
    [ Главная | Отправить сообщение | Поиск | Админ ]