AOTRAUMA.ORG Центр Илизарова  

Ортопедия и травматология Общие вопросы/General questions Help Информационные технологии в медицине
 вверх
 отправить
 поиск
 админ
 главная
 Предыдущее
 Весь тред


Re: Потекли блокирующие винты, после интрамедулярн
Пионтковский Валентин 19 Январь 2005, 02:28
Здравствуйте Александр!
Спасобо за прекрасные советы и примеры!
Попробую убрать проблемный винт и воспользоваться скотч - кастовым гипсом. А уже после заживления раны буду определятся со стабилизацией фиксатора.
При первой же возможности вышлю снимки.
Еще раз огромное спасибо!!!!!!!!!
  • Сообщения о Help
  • Также Пионтковский Валентин
  • Связаться с автором
  • Ответить

    Re: Потекли блокирующие винты, после интрамедулярн
    Alexander Chelnokov 19 Январь 2005, 17:28
    ПВ> убрать проблемный винт и воспользоваться скотч - кастовым гипсом.

    В подобной ситуации, по-моему, скотч-каст никаких особых преимуществ перед обычным гипсом не имеет.

    ПВ> А уже после заживления раны буду определятся со стабилизацией
    ПВ> фиксатора

    Если заживет - это, может, уже и не так нужно будет. Я бы исходил из того, что стабилизация - основное условие заживления.
    [ Ответить ]

    • Re: Потекли блокирующие винты, после интрамедулярн
      Отправитель: Пионтковский Валентин 20 Январь 2005, 02:21
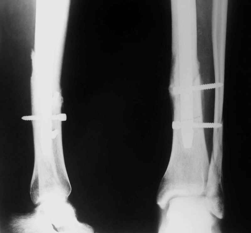
      Рентгенограмы



















      [ Ответить ]
      • Re: Потекли блокирующие винты, после интрамедулярн
        Отправитель: Alexander Chelnokov 20 Январь 2005, 06:43
        Этот Файл размером 0 Kb, попробуйте перепослать.
        По поводу остальных - вспышкой пользоваться при съемке с негатоскопа не нужно.

        [ Ответить ]
        • Re: Потекли блокирующие винты, после интрамедулярн
          Отправитель: Пионтковский Валентин 21 Январь 2005, 02:20
          Не удается отправить первичные снимки. А что скажите по имеющимся?!

          [ Ответить ]
          • Re: Потекли блокирующие винты, после интрамедулярн
            Отправитель: А. Миронов 21 Январь 2005, 20:49
            Уважаемый Валентин!

            Выполненный остосинтез нестабилен. Штифт надо заменить по "размеру" на солидный, дистльно три запирающих винта. Успехов!

            С уважением А.Миронов

            [ Ответить ]
          • Re: Потекли блокирующие винты, после интрамедулярн
            Отправитель: Alexander Chelnokov 21 Январь 2005, 21:31
            Перелом спиральный, то есть низкоэнергетический, так что со сращением дело обстоит уже неплохо, лишь бы "костоеда" не развилась. Отломки выглядят уже стабилизированными костной мозолью, так что довводить винты, наверно, уже незачем. Разве что при клинической оценке подвижность еще есть - тогда можно для стабилизации наложить простейший аппарат, не опасаясь контакта его элементов с гвоздем, поскольку места в дистальном метафизе оставлено более чем достаточно.

            [ Ответить ]
            • Re: Потекли блокирующие винты, после интрамедулярн
              Отправитель: Djoldas Kuldjanov, M.D. 21 Январь 2005, 23:48
              С Александром согласен, нет необходимости делать дополнительные усилия для сращения, не большая компрессия аппаратом из двух колец и полная нагрузка доделает работу.

              Джолдас Кульджанов


              [ Ответить ]
              • Re: Потекли блокирующие винты, после интрамедулярн
                Отправитель: А.Миронов 23 Январь 2005, 11:48
                Потекли блокирующие винты.
                Удалять их всё равно придётся.
                Уже имеется какое-то сращение. А в этих условиях выполнить реостеосинтез гвоздём не дольше, чем "накинуть" аппарат из двух колец. Ходить можно сразу с полной нагрузкой, да и качество жизни пациента без аппарата лучше.

                С уважением А. Миронов

                [ Ответить ]

     

    ( Ответить )

    Powered by Zope  Squishdot Powered MedLink
    Посетитель: 0180041
      "По форме правильно, а по существу - издевательство" В.И.Ленин
    ©2001-2019Orthoforum Coordinator.
    [ Главная | Отправить сообщение | Поиск | Админ ]