AOTRAUMA.ORG Центр Илизарова  

Ортопедия и травматология Общие вопросы/General questions Help Информационные технологии в медицине
 вверх
 отправить
 поиск
 админ
 главная


Анкилоз ВНЧС
Help Отправлено Дмитрий Калиновский 28 Февраль 2005, 23:56
Уважаемые коллеги! Представляю на ваше обсуждения следующий клинический случай. Заранееблагодарен всем.
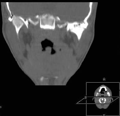
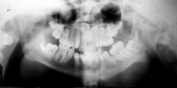
Пациент В., 13 лет. Диагноз: Костный анкилоз левого височно-нижнечелюстного сустава (ВНЧС), левосторонняя микрогения. Болеет с 2-х летнего возраста. Возможная причина развития анкилоза – воспалительный процесс (в первые 1,5 года жизни часто болел простудными заболеваниями, травму родители отрицают). В 3 и 5 лет проводилась редрессация – безуспешно.Прилагаются: ортопантомограмма, кадры СКТ с 3Д реконструкцией. Вопросы: определение тактики лечения – вид и сроки реконструктивно-пластической операции (этапов операции), а именно – неоартропластики и устранения микрогении, медикаментозная терапия в до- и послеоперационный период, ортодонтическое лечение.

<  |  >

 

  • Сообщения о Help
  • Также Дмитрий Калиновский
  • Связаться с автором
  • Ответить

    Мнение коллег из СПбМАПО
    Дмитрий Калиновский 20 Март 2005, 15:12
    Уважаемые коллеги!
    Представленный мною случай был обсужден на кафедральном совещании сотрудников кафедры челюстно-лицевой хирургии и хирургической стоматологии СПбМАПО (зав. - проф. Васильев А.В.)Вот их мнение - Наиболее опытным специалистом в данной области среди сотрудников кафедры является доц. Мушковская Светлана Сергеевна.
    Вкратце её мнение можно представить следующим образом:
    Возможно проведение традиционной остеотомии с введением дермо-жирового трансплантата в линию остеотомии. Сроки ортодонтического лечения необходимо обсуждать совместно с ортодонтом и планировать начало лечения до и после оперативного вмешательства. Не исключено применение в дальнейшем остеотомии убоальвеолярных отростков с целью коррекции прикуса.
    Мнение, высказанное специалистами из Питера, совпадает с нашим мнением и на следующей неделе мы планируем проведение указанного оперативного вмешательства (1-ый этап лечения). Если кому-то интересно, напишите мне на личный e-mail, представлю дальнейшие материалы по данному случаю.
    С уважением, Калиновский Д.К.

    [ Ответить ]


    ( Ответить )

    Powered by Zope  Squishdot Powered MedLink
    Посетитель: 0000114
      "По форме правильно, а по существу - издевательство" В.И.Ленин
    ©2001-2019Orthoforum Coordinator.
    [ Главная | Отправить сообщение | Поиск | Админ ]