AOTRAUMA.ORG Центр Илизарова  

Ортопедия и травматология Общие вопросы/General questions Help Информационные технологии в медицине
 вверх
 отправить
 поиск
 админ
 главная


Болезнь Ларсена
Ортопедия и травматология Отправлено А.Э. Цориев 02 Март 2005, 14:53 Городская больница №40, Екатеринбург.
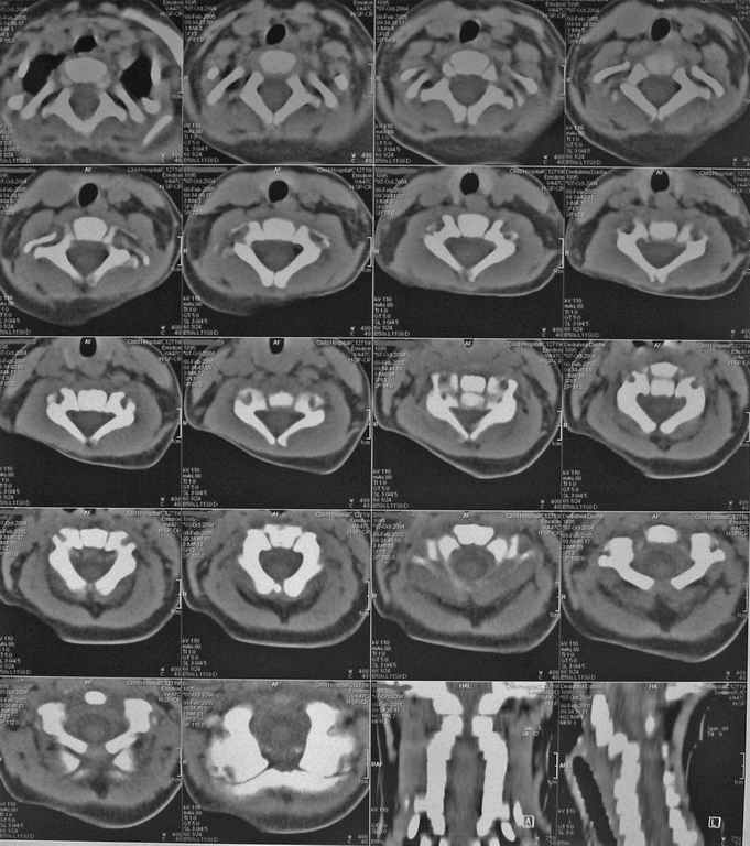
Девочка 5 месяцев, дочь коллеги, врача-анестезиолога, тетрапарез, в ногах спастический в руках - вялый, усугубившийся после "мануальной терапии".
Данные рентгена,КТ и МРТ прилагаются. Кроме того, имеется двухсторонний врожденный вывих бедра.По совокупности данных - болезнь Ларсена.В шейном отделе - дисплазия и гипоплазия суставных отростков С3-С5 с передним подвывихом и антелистезом, патологическим кифозом и стенозом позвоночного канала до 55% от исходного (5 мм при исходном 9 мм). Spina bifida occulta в 5 сегментах, в том числе расщепление задней дуги атланта, агенезия его передней дуги. Признаки спинальной компрессии и диффузной миелопатии на уровне стеноза.Вопрос - возможно ли в таком нежном возрасте оперативное лечение и вообще, какая должна быть тактика ?

<  |  >

 

  • Сообщения о Ортопедия и травматология
  • Также А.Э. Цориев
  • Связаться с автором
  • Ответить

    Re: Болезнь Ларсена
    Alexey Mozgounov 05 Март 2005, 18:52
    В аттачт файлах выборка из PubMed (html) и полный текст статьи (rtf)

    J Bone Joint Surg Am. 1996 Apr;78(4):538-45.
    Cervical kyphosis in patients who have Larsen syndrome.
    Johnston CE 2nd, Birch JG, Daniels JL.

    Если интересно, к статье могу выслать иллюстрации, но на личный e-mail (560 кб в PDF)













    [ Ответить ]

    Re: Болезнь Ларсена
    А.Э. Цориев 07 Март 2005, 18:43
    Статьи прочитали, спасибо за них. Где в нашей стране проводят операции по стабилизации позвоночника у малюток до года ?
    [ Ответить ]

    Re: Болезнь Ларсена
    Юлия 29 Ноябрь 2007, 15:45
    Здравствуйте.Моему 8-ми летнему сыну поставили диагноз Болезнь Сидинга-Ларсена-Йохансона надколенников.
    Я сбилась с толку,врачи мне ничего не обьясняют.Рекомендаций просто ноль.Мне так хочется по подробней узнать про это заболевание,его течение, лечение и последствия.Если Вы знаете про эту болезнь что-нибудь, то, пожалуйста, поделитесь со мной.Буду благодарна любой информации
    [ Ответить ]


    ( Ответить )

    Powered by Zope  Squishdot Powered MedLink
    Посетитель: 0181339
      "По форме правильно, а по существу - издевательство" В.И.Ленин
    ©2001-2019Orthoforum Coordinator.
    [ Главная | Отправить сообщение | Поиск | Админ ]