ВХОД ДЛЯ ПАЦИЕНТОВ
вверх
поиск
админ
главная
|
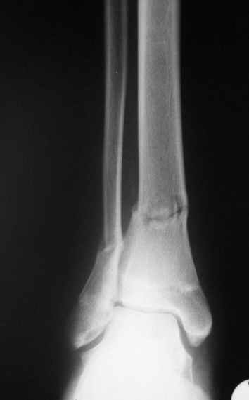
дистальный тиб.фиб. перелом |
 |
 |
 |
Прислано Evgueny Tschekashkin 26 Март 2005, 01:31
из
Уважаемые коллеги,
Больной 17 лет , 3 недели с момента травмы, был переведен в наше отделение из соседнего
госпиталя.
Попытка закрытой ручной репозиции, предпринятая ранее в этой больнице,оказалась безуспешной, что и явилось причиной перевода к нам.
Чтобы вы предложили в данной ситуации?
Показана ли фиксация перелома малоберцовой кости в данном случае или в этом нет необходимости?
Евгений Чекашкин
Обратите внимание: Поля с жирными названиями обязательны.
Старайтесь отвечать в рамках обсуждаемой темы, а не начинать новые обсуждения.
Указывайте адекватную тему сообщения, чтобы было ясно, о чем оно.
Не послайте сообщений не по теме (оффтопик), раздраженных, грубых или обидных комментариев. Здесь это неуместно.
|