ВХОД ДЛЯ ПАЦИЕНТОВ
вверх
поиск
админ
главная
исходное
|
Re: Дефект тканей
послал Djoldas Kuldjanov 01 Апрель 2005, 18:40
|
Всех благодарю за присланные рекомендации.
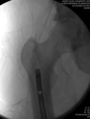
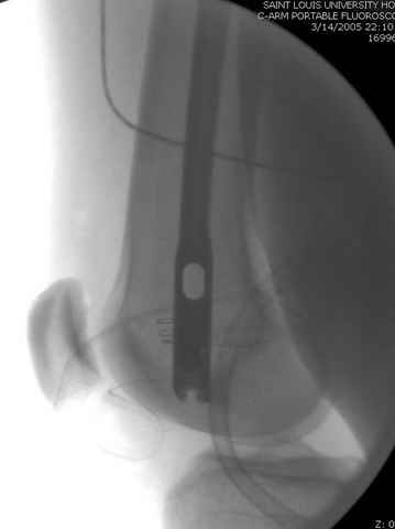
03.14.2005
больному 42, автоавария, политравма, открытая черепномозговая травма, безсознании, открытый перелом бедра, размозжение мягких тканей, дефект кожи на передней поверхности бедра около 13 см2 от ожога, компартмент синдром.
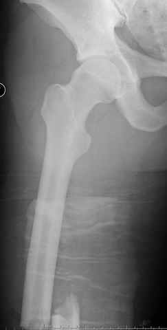
По поводу открытого перелома больной ургентно взят на ретроградное интрамедулярное штифтование, после рутинного дебрайдмента и фасциотомии на бедре и на голени.
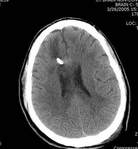
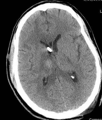
Наблюдается службой травмы и нейрохирургии (ICP) Increased Intracranial Pressure by ventricular cateter
03.19.2005 дебрайдмент - закрытие медиальной раны
03.24.2005 закрытие латеральной раны и кожная пластика на бедре вызванным специалистом (plastic surgeon)
03.28.2005 вена кава фильтер, для профилактики ДВТ
больной без сознания, со слов нейрохирурга, наблюдается положительная динамика в нейрохирургическом статусе.


 перелом бедра
|

 интраоперационные
|

 постоперационные
|


 монииторинг
|
 вид медиальной фасциотомии
|
 вид латеральной фасциотомии
|
 закрытие медиальной фасциотомии
|

 натягивающее резиновые швы
|
 перед кожной пластикой
|
 закрытие латеральной стороны
|


 кожная пластика
|



 закрытие ваккуум
|
|
| Послать ответ |
Обратите внимание: Поля с жирными названиями обязательны.
Старайтесь отвечать в рамках обсуждаемой темы, а не начинать новые обсуждения.
Указывайте адекватную тему сообщения, чтобы было ясно, о чем оно.
Не послайте сообщений не по теме (оффтопик), раздраженных, грубых или обидных комментариев. Здесь это неуместно.
|