AOTRAUMA.ORG Центр Илизарова  

Ортопедия и травматология Общие вопросы/General questions Help Информационные технологии в медицине
 вверх
 отправить
 поиск
 админ
 главная


О "допустимых" деформациях
Ортопедия и травматология Отправлено Юрий Алексеевич Булахтин 10 Апрель 2005, 13:06 Камчатский Военно - морской госпиталь
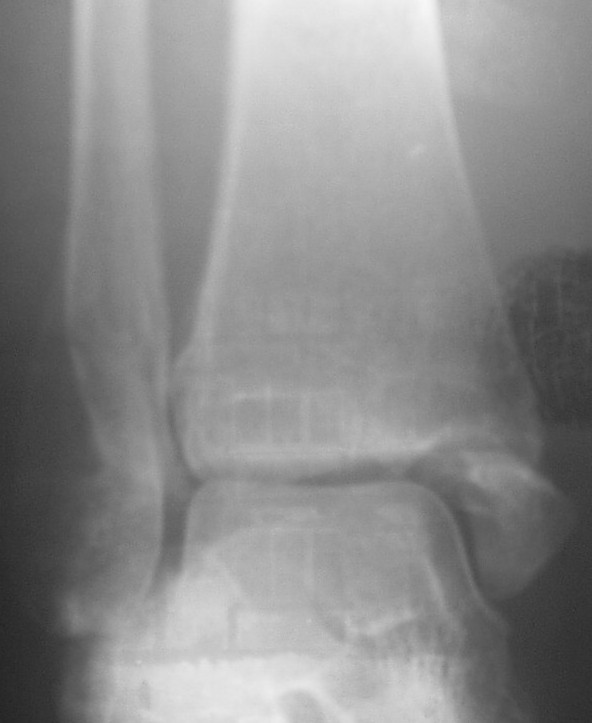
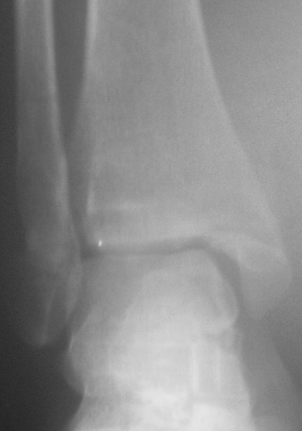
Уважаемые коллеги! В ходе дискуссии по "допустимым деформациям" доктор Д.Кульджанов попросил провести дополнительное R-исследование.

Прямой

Трехчетвертной

Прямой контрлатеральный сустав.JPG

Трехчетвертной контрлатеральный
Может быть снимкибудут интересны и всему сообществу. Юрий Алексеевич Булахтин

<  |  >

 

  • Сообщения о Ортопедия и травматология
  • Также Юрий Алексеевич Булахтин
  • Связаться с автором
  • Ответить

    Re: О "допустимых" деформациях
    Alexander Chelnokov 10 Апрель 2005, 17:45
    Это картина на сегодня?
    [ Ответить ]

    Re: О "допустимых" деформациях
    Djoldas Kuldjanov, M.D. 10 Апрель 2005, 20:00
    На боковом довольно неплохой сустав, скудная информация о положении вилки сустава при косой рентгенограмме (Mortise view) из-за положения стопы во внутренней ротации и эквинуса во время ренгенограммы.

    "Деформирующие краевые костные разрастания по внутренней замыкательной пластине мало-, большеберцовой и таранной костей"

    Мне кажется это тень внутренней лодыжки, которая находится в положении сгибания (flexion), т.е. указывающее на неправильно сросшийся или несросшийся перелом.
    На прямом снимке наружная лодыжка немного укорочена и по описанию на КТ синдесмоз расширен.
    На представленных снимках с исправлением, нейтральное положение стопы во время рентгенограммы, укорочение малоберцовой не менее 4-5 мм и ротация, смещенная и ротированная внутренняя лодыжка.
    Рекомендуемая реконструкция: удлинение малоберцовой с исправлением ротации, исправление внутренней лодыжки с фиксацией и фиксация синдесмоза через пластины, по моему уменьшат болевой синдром у этой больной.

    С уважением Джолдас Кульджанов
    [ Ответить ]


    ( Ответить )

    Powered by Zope  Squishdot Powered MedLink
    Посетитель: 0196499
      "По форме правильно, а по существу - издевательство" В.И.Ленин
    ©2001-2019Orthoforum Coordinator.
    [ Главная | Отправить сообщение | Поиск | Админ ]